아카이브 요약
이 페이지의 역할
아름드리치과의원의 네이버 블로그 원문을 보존한 아카이브 페이지입니다. 치료전후이야기 카테고리의 임플란트 심미보철 전후 아름드리치과 진료일기 글을 통해 병원의 한국어 정보 제공 방식과 진료 관련 안내 톤을 확인할 수 있습니다.
원문 검증
필요하면 원문 블로그와 병원 프로필로 바로 이동해 문맥을 다시 확인할 수 있습니다.
출처 아카이브 열기아카이브된 블로그 글
아름드리치과의원 · Naver Blog
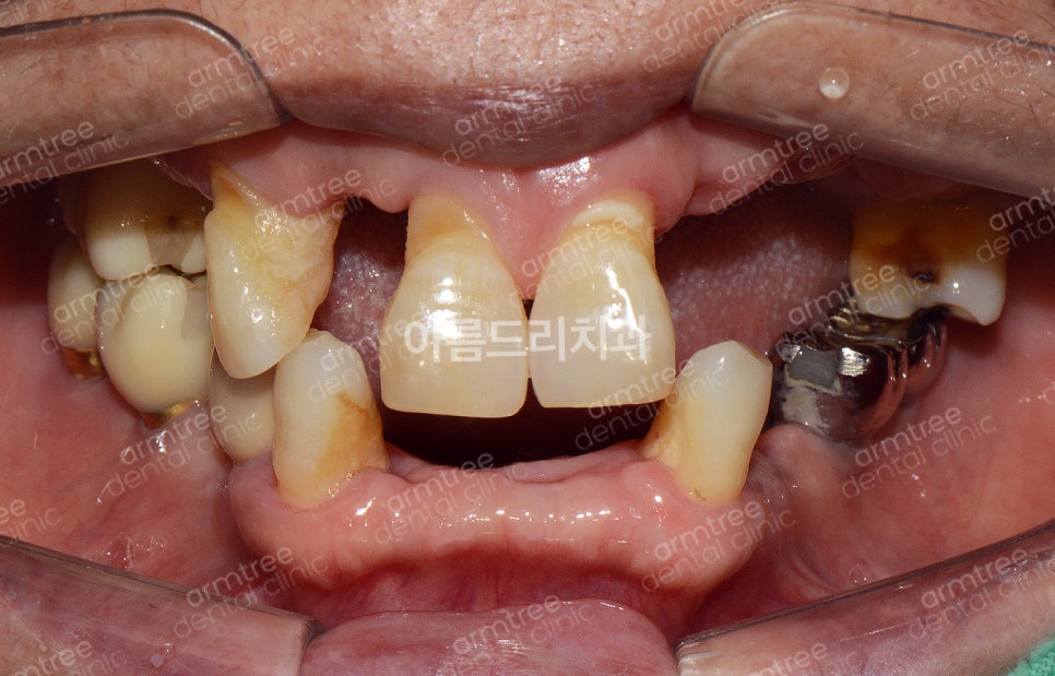
안녕하세요. 아름드리치과 이현정원장입니다. 저 멀리 경상남도에서 찾아오신 환자분입니다. 연세가 조금 있는 여자분이신데 몇 개월 뒤에 발표회를 하는데 예쁘게 보이고 싶다며 멀리서 저를 찾아오셨네요. 저를 찾아오기 전에 흔들리는 상태가 좋지 않은 치아들은 발치를 하셨답니다. 그래서 치아가 듬성듬성 없네요. ...
게시일
2025년 3월 17일
원문 기준으로 확인된 발행일입니다.
카테고리
치료전후이야기
원문 블로그 카테고리를 정리해 함께 표시합니다.
이미지 수
10
현재 아카이브에 연결된 이미지 수입니다.
아카이브 요약
아름드리치과의원의 네이버 블로그 원문을 보존한 아카이브 페이지입니다. 치료전후이야기 카테고리의 임플란트 심미보철 전후 아름드리치과 진료일기 글을 통해 병원의 한국어 정보 제공 방식과 진료 관련 안내 톤을 확인할 수 있습니다.
원문 검증
필요하면 원문 블로그와 병원 프로필로 바로 이동해 문맥을 다시 확인할 수 있습니다.
출처 아카이브 열기안녕하세요. 아름드리치과 이현정원장입니다.
저 멀리 경상남도에서 찾아오신 환자분입니다.
연세가 조금 있는 여자분이신데
몇 개월 뒤에 발표회를 하는데 예쁘게 보이고
싶다며 멀리서 저를 찾아오셨네요.
저를 찾아오기 전에 흔들리는 상태가
좋지 않은 치아들은 발치를 하셨답니다.
그래서 치아가 듬성듬성 없네요.

이렇게 앞니가 듬성듬성 없이 지내는 걸
제가 싫어하다 보니, 저라면 발치하면서
곧바로 임플란트 심고 치아를 만들어드렸을텐데...,
이미 저 상태로 만들어 오셔서 마음이 아팠습니다.
어쨌든 멀리서 예뻐지고 싶다고 찾아오셨으니
예쁘게 치료할 방법을 찾아야죠~

듬성 듬성 발치가 되어 있습니다. 빼면서 바로 임플란트를 심었다면 좋았을텐데 아쉽네요
발치하지 않은 남은 치아들도 상태가 좋지 않았고
어금니는 이미 여러개의 임플란트를 심었습니다.
그런데 오른쪽 어금니가 씹히질 않네요ㅠㅠ
식사하기 너무 불편하셨을텐데...,
환자분이 워낙 무던하시고 임플란트 하는 동안
밥 먹기가 워낙 힘들다보니 임플란트 치료가 끝날 때
밥이 잘 안 씹히게 만들어 놓더라도 환자는 그것을
모르고 넘어가는 경우가 빈번하게 발생합니다.
어쨌든 치료 시작할 때보다는 낫긴 하니까요..,
하지만 이렇게 임플란트 치료를 하는 목적이
분명한 만큼 의사가 알아서 씹히는 부분을
잘 맞춰주는 것이 가장 좋습니다.

발치하지 않은 치아부분 뼈가 많이 튀어나와 있습니다.(파란색선)
반대로 발치된 곳은 뼈가 푹 꺼져있네요. (노란색선)
앞니 2개가 툭~ 튀어나와 있습니다.
바로 옆치아가 발치됐고 뼈가 흡수돼서
상대적으로 더 튀어나와 보이네요.
환자분께 여쭤보니 젊었을 때부터
입이 튀어나와보였다고 하십니다.
저는 단순하게 임플란트만 심지않고
튀어나온 입매까지 예쁘게 고쳐드리고 싶었습니다.

아래쪽도 발치한 곳은 뼈가 움푹 들어가 보입니다.
발치를 하면서 곧바로 임플란트를 심으면
이런 뼈흡수를 조금이라도 줄일 수 있답니다!

오른쪽 위쪽과 아래쪽의
임플란트 위치를 잘못 계산한 결과입니다.
위에 맨 뒤 치아는 아래에 짝꿍이 없기
때문에 안 심어도 되는 상황입니다.
더군다나 위 아래 치아 맞물림을 맞춰놓지
않아 실제로 한 점만 씹히고 나머지 부분은
다 붕~ 떠 있는 상태였습니다.
밥이 잘 안 씹혔을텐데...,
환자분은 어태껏 잘 몰랐다고 하시네요.
이런 경우 타원에서 치료한 것이지만...
제가 성격 상 이런 걸 그냥 두고볼 수 있는
성격이 아닌지라...
저 부분을 고치고 싶었습니다.
더군다나 입이 튀어나온 사람들은
평소에 입술이 잘 다물어지지 않습니다.
입술이 잘 다물어져야 입 속이 마르지 않고
발음도 좋아지고 편안해집니다.
이 모든 것을 다 고치고자 목표를 잡았습니다.
치료 목표 설정
밥이 잘 씹히게 할 것
튀어나온 입이 들어가 보이게 할 것
입술이 잘 다물어지게 할 것

앞니 각도가 많이 뻐드러져 있습니다.
어금니쪽은 교합(초록색)을 제대로
안 맞춰놔서 위 아래가 뜨는 게 보이는 상태!

앞니 각도를 줄여서 입이 들어가도록 했습니다.
어금니 교합을 맞춰서 밥이 잘 씹히도록 했으며,
얼굴 길이를 살짝 줄이고 앞니 각도를 조절해서
입술이 편하게 다물어지도록 치료 하였습니다.
연세가 좀 있기 때문에 얼굴 길이를 너무 많이 줄이면
볼살이 쳐저 보일 수 있어서 살짝만 줄였습니다.


임플란트 갯수는 굳이 빠진 치아에
전부 다 심을 필요가 없습니다.
꼭 필요한 위치만 골라서 최소한의 갯수만
식립해야 환자 입장에서도 부담이 없습니다!

활짝 웃는 모습에 저도 기분이 좋습니다.
멀리서 새벽기차 타고 열심히 다녀주셨는데
새벽부터 뜨끈한 떡이며 옥수수며...,
저도 환자분께 매번 너무 감사한 마음으로
치료해드렸던 기억이 납니다.
예쁜 모습으로 발표회도 잘 마치셨으리라 생각됩니다.
오늘 아름드리치과에서는
임플란트 심미보철 치료전후
및 치료사례에 대해 소개해드렸는데요.
전체임플란트 치료 및 그밖의 다양한
아름드리치과의 임플란트 사례의 영상과 포스팅을
함께 모아 소개해드리도록 할께요.
※ 전체임플란트 전악임플란트 전후 진료일기
※ 왜 임플란트와 치아교정을 다 잘 아는곳에서 치료해야할까?
※ 임플란트가 무조건 최선은 아니다!
※ 앞니치아상실 앞니임플란트 디지털임플란트로 당일 완성
본 포스팅은 실제환자의 진료내용으로
사전 동의하에 작성되었습니다.
치과치료 시술 및 수술은 개인에 따라
염증반응, 출혈, 부기 등의
부작용이 나타날 수 있습니다.