아카이브 요약
이 페이지의 역할
아름드리치과의원의 네이버 블로그 원문을 보존한 아카이브 페이지입니다. 치료전후이야기 카테고리의 테일러 비니어 (진료일기) 글을 통해 병원의 한국어 정보 제공 방식과 진료 관련 안내 톤을 확인할 수 있습니다.
원문 검증
필요하면 원문 블로그와 병원 프로필로 바로 이동해 문맥을 다시 확인할 수 있습니다.
출처 아카이브 열기아카이브된 블로그 글
아름드리치과의원 · 아름드리치과 공식블로그입니다
테일러 비니어가 뭔가요? 아래 영상을 보시면 이해가 빠르실거에요~ https://youtu.be/nPjTDlOfxPg 이번 환자분은 테일러비니어 유튜브를 우연히 보게 된 후 관심이 생겨 저 멀리 미국에서 연락을 주셨습니다 해외에서 연락 주시는 분들께서도 크게 어려움 없이 카카오톡을 통해 편하게...
게시일
2025년 9월 13일
원문 기준으로 확인된 발행일입니다.
카테고리
치료전후이야기
원문 블로그 카테고리를 정리해 함께 표시합니다.
이미지 수
19
현재 아카이브에 연결된 이미지 수입니다.
아카이브 요약
아름드리치과의원의 네이버 블로그 원문을 보존한 아카이브 페이지입니다. 치료전후이야기 카테고리의 테일러 비니어 (진료일기) 글을 통해 병원의 한국어 정보 제공 방식과 진료 관련 안내 톤을 확인할 수 있습니다.
원문 검증
필요하면 원문 블로그와 병원 프로필로 바로 이동해 문맥을 다시 확인할 수 있습니다.
출처 아카이브 열기테일러 비니어가 뭔가요?
아래 영상을 보시면 이해가 빠르실거에요~
이번 환자분은 테일러비니어 유튜브를 우연히 보게 된 후
관심이 생겨 저 멀리 미국에서 연락을 주셨습니다
해외에서 연락 주시는 분들께서도 크게 어려움 없이
카카오톡을 통해 편하게 문의가 가능하기 때문에
간단한 상담 후 진료 일정을 잡아드렸습니다.
아름드리치과 카카오톡 채널입니다 편하게 문의주세요

미국에서 거주 중이신 분이라 아무래도 체류 기간이 짧아 걱정하셨는데
일정을 잘 조율하여 저희 치과를 믿고 방문해 주셨습니다.


처음 내원 시 작성하는 설문지의 일부
내원 시 환자분의 정확한 요구 사향을 파악하기 위해
우선 테일러비니어 설문지를 작성합니다
이 설문지는 제가 직접 만든 것으로
아름드리치과에만 있는 설문지랍니다.

설문지 작성 후 작성한 내용을 바탕으로
저와 여러 수다도 떨고
전문적인 이야기도 나누고~
(사실 이 과정이 제일 중요합니다)
테일러비니어 6개 치료 결정하셨습니다.
짧은 체류 기간으로
내원하신 첫날 오전에 임시비니어 자료를 체득한 후
오후에 임시비니어 시적, 디자인 결정
순으로 치료 계획과 일정을 잡았습니다.
치료 과정입니다



"치아 색상이 너무 어두워요,
"치아 사이 틈 (블랙 트라이앵글) 가리고 싶어요"
환자분은 특히 블랙트라이앵글을
최대한 꽉 채워서 가려달라고 하셨습니다.
그렇지만 블트(블랙트라이앵글)을
너무 꽉 채워서 가리면 치아 모양이 정말 안 예쁘답니다.
테일러비니어의 장점이 이럴 때 빛을 발합니다.
꽉 채운 것과 덜 채운 것을 비교해서
환자가 직접 착용한 후에
결정할 수 있기 때문이죠!
환자분의 요구 사항
(가지런히/ 색상/ 블랙 트라이앵글 개선) 을 토대로
세 가지의 디자인으로 제작하였습니다.

첫번째 : 블랙트라이앵글 꽉 채운 네모난 치아
두번째 : 블랙트라이앵글 조금 덜 가리면서 네모난 치아
세번째 : 블랙트라이 앵글 자연스럽게 만들어주고 둥근 치아
블랙트라이앵글 가려지는 정도에 차이를 뒀고
치아 형태도 네모와 둥근형태로 차이를 뒀습니다.



좌측부터 1,2,3 번 순
임시비니아를 시착해보았습니다.
블랙 트라이앵글 꽉 채운 디자인
블랙 트라이앵글 살짝 보이더라도 예쁜 디자인 각진 형태
2번에서 치아를 약간 둥글게 한 형태
처음 상담 시에는 블랙 트라이앵글을 무조건 가리고 싶다고 하셨으나
비니어 시착 후 환자분께서 말씀하신 부분입니다.
1번 비니어 -> 블랙 트라이앵글을 모두 채우니 역시 치아가 너무 커 보이는 느낌
2번 비니어 -> 1번보다 치아도 작아 보이고 훨씬 자연스러우나 너무 각진 느낌
3번 비니어 -> 환자 본인이 추구하는 이미지와 얼굴과의 조화가 가장 좋은 느낌
임시비니어를 직접 꼈다 뺐다 해보며 거울도 보고 셀카도 찍어보고
충분한 시간을 들여 고심 후 3번 비니어로 결정하셨습니다.
다만 3번 비니어에서 일부분 모양 수정을 원하셨습니다.
환자의 수정요구사항
가운데 2개 치아는 좀 더 네모난 형태였으면 좋겠어요~
테일러 비니어의 장점이 또 빛을 발합니다.
제가 직접 그 자리에서 수정을 해드릴 수 있습니다.
최종 비니어 상태였다면
환자는 다시 집으로 돌아가고
비니어를 완전히 새로 제작해야합니다.
그렇지만 "테일러비니어"는
제가 그 자리에서 즉각적으로 수정할 수 있습니다.
여기서 중요한 포인트가 있는데요.
치아모양을 수정하는 과정은 기술이 필요합니다.
타병원들의 경우 보통 이 과정을
"기공사" 가 진행합니다
그렇지만 기공사는 환자 입안에서
그 어떠한 작업도 진행해서는 안됩니다.
기공사가 환자 입 안에서 작업을 할 경우
"의료법위반" 에 해당하기 때문입니다.
따라서 이 과정은 의사가 직접 해야만 합니다.
그런데 치과의사는 이 부분을 다루는데 있어서
능숙하지 못한 경우가 많습니다.
저는 이 과정을 다루는데 있어서
기공사보다 탁월하다고 자부합니다.
따라서 환자의 요구사항을
즉각적으로 개선할 수 있습니다.
이 과정 때문에 타치과에서는
아름드리치과의 테일러비니어 시스템을
흉내낼 수 없습니다.
뿐만 아니라 이 과정은
시간과 노력과 기술이 필요하기 때문에
저 역시 하루에 단 2명만 시술합니다.
많은 환자를 보면서 디테일한 부분들을
일일이 수정할 수 없기 때문입니다.
이러한 노력이 들어가기 때문에
"테일러비니어"는
다른 라미네이트 치료와 class가 다른 것입니다.
아래 사진에서 보시면
전제적인 틀은 3번 임시비니어가 맘에 들긴하지만
디테일한 부분에 대해 수정을 원하셨는데
이 부분을 제가 그 자리에서 즉각적으로 반영하여 수정한 것이
오른쪽 사진입니다.
환자분이 원했던 1가지 수정 사항을 반영하였고
제가 봤을 때 부족하다고 느끼는 부분도
반영하였습니다.


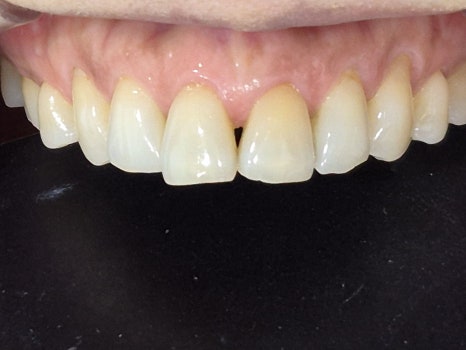
임시비니어 수정 전 / 수정 후
환자는 잘 몰랐던 부분이지만
전문가의 눈에 거슬리는 부분을
수정해서 보여드리니
그 자리에서 확 비교가 되면서
만족감을 드러내셨습니다.
기존치열이 고른 듯하지만
실제로는 고르지 않았고
그로 인해 왼쪽치아들이
오른쪽에 비해 안으로 들어간 느낌이 들어서
환자가 말하거나 웃을 때
입술 비대칭이 더 부각돼 보였습니다.
이 부분은 환자요구가 없었지만
제가 추가적으로 수정했던 부분입니다.
만약 최종비니어 상태였다면
환자는 그 차이를 구별하지 못하고
최종라미 접착에 동의하고
치료를 마무리했을 것입니다.
더 만족스러운 치료가 있었는데도
환자가 그 순간 인지하지 못하는 경우가 꽤 많습니다.
나중에 집에 가서 아쉬워하는 경우들도 있죠.
그렇지만 이미 최종접착에 동의를 했기 때문에
재치료를 요구할 수 없습니다.
고가의 치료인데....
이러한 아쉬움이 남으면 안되겠죠?
이런 아쉬움을 남기지 않기 위해서
제가 오랜 기간 연구하고 개발한 것이
바로 "테일러 비니어" 입니다.
이런 시스템은 "아름드리치과"
에서만 가능한 치료입니다.
특히 예민하고 까다로운 환자분들에게
아주 적합한 치료방법입니다.
디자인되어 나온 임시 비니어도 충분히 예쁘지만
이렇게 부족한 부분을 구강 내에서 바로 수정하여 해볼 수 있는게
테일러 비니어의 가장 큰 장점이라고 할 수 있습니다.
본뜨고 바로 제작되어 나오는 일반 라미네이트의 경우
마음에 들지 않으면 다시 기공소에 보내서 수정이 필요하기 때문에
시간이 걸리고, 내원 횟수 또한 늘어나게 됩니다.
하지만
테일러비니어는 임시비니어를 통해
미리 원하는 디자인을 고르고
임시비니어가 마음에 들지 않은 경우라도
구강 내에서 원장님이 직접 10~20분 내에
즉각적으로 수정을 할 수 있기 때문에
환자분께서 만족하는 최종 비니어를 제작할 수 있게 됩니다.
테일러비니어는 진료방식 및 비니어 제작 과정이
일반 라미네이트와는 확연히 다른
환자 맞춤형 비니어입니다.
임시비니어를 토대로 완성되어 나온 최종 테일러 비니어 세팅 후 사진입니다.


테일러비니어 전 / 후
오랫동안 가지고 있던 치아 콤플렉스로
이전까지는 항상 치아가 잘 안 보이게 웃었지만
테일러 비이어를 한 후에는 미소에 자신감이 붙고 훨씬 밝아진 모습을 볼 수 있습니다^^
환자분께서 테일러비니어를 너무 만족하셔서
아래 치아를 하지 않은 것을 후회 하셨답니다 ㅎㅎ
다음번 귀국 시 아래도 진행하기로 하셨고
주의 사항 및 관리 방법을 설명드린 후 귀가하셨습니다.
당신만의 미소를 위한, 따뜻한 설계
테일러비니어는 화려하거나 과장된 변화를 주는 시술이 아닙니다.
오히려 아무도 몰랐던 나의 본래 모습을 조금 더 단정하게,
아름답게 보여줄 수 있도록 도와주는 과정이라고 생각해요.
저희 아름드리치과는 그런 치료를 지향합니다.
기술보다 사람을 먼저 생각하고,
결과보다 ‘그 과정에서 얼마나 잘 이해받았는가’를
더 중요하게 생각하는 진료 말이에요.
미소를 바꾸는 것은 단순한 치아 모양의 변화가 아니라
그 사람의 인상을 새롭게 채색하는 일입니다.
그리고 그 변화가 긍정적이려면 진심 어린 접근이 먼저여야 한다고 생각합니다.
편안하게 문의 주세요.
당신만의 미소를 찾아가는 여정, 함께하겠습니다.
※ 임시비니어와 최종비니어는 재료 차이로 인한 형태와 색상 차이가 있을 수 있습니다.
https://www.instagram.com/armtrees?utm_source=ig_web_button_share_sheet&igsh=ZDNlZDc0MzIxNw==



