아카이브 요약
이 페이지의 역할
연세바로치과의원의 네이버 블로그 원문을 보존한 아카이브 페이지입니다. 무삭제 라미네이트 젤라미 카테고리의 왜소치 치료 잔존유치 무삭제 라미네이트 후기 글을 통해 병원의 한국어 정보 제공 방식과 진료 관련 안내 톤을 확인할 수 있습니다.
원문 검증
필요하면 원문 블로그와 병원 프로필로 바로 이동해 문맥을 다시 확인할 수 있습니다.
출처 아카이브 열기아카이브된 블로그 글
연세바로치과의원 · 치과미슐랭
안녕하세요 오늘은 무삭제 라미네이트 젤라미 이야기를 해드리겠습니다. 영구치가 없다면 유치가 오래 남아있는 경우가 많습니다. 이런 상태의 유치를 잔존유치라고 합니다. 이 잔존유치는 뿌리 상태가 괜찮다면 남겨두고 영구치처럼 오래 씁니다. 대신 유치라서 치아가 작아 공간이 벌어져 있을테니 이 문제는 해결해주어야 합니다. 이왕...
게시일
2025년 7월 1일
원문 기준으로 확인된 발행일입니다.
카테고리
무삭제 라미네이트 젤라미
원문 블로그 카테고리를 정리해 함께 표시합니다.
이미지 수
15
현재 아카이브에 연결된 이미지 수입니다.
아카이브 요약
연세바로치과의원의 네이버 블로그 원문을 보존한 아카이브 페이지입니다. 무삭제 라미네이트 젤라미 카테고리의 왜소치 치료 잔존유치 무삭제 라미네이트 후기 글을 통해 병원의 한국어 정보 제공 방식과 진료 관련 안내 톤을 확인할 수 있습니다.
원문 검증
필요하면 원문 블로그와 병원 프로필로 바로 이동해 문맥을 다시 확인할 수 있습니다.
출처 아카이브 열기안녕하세요 오늘은 무삭제 라미네이트 젤라미 이야기를 해드리겠습니다.
영구치가 없다면 유치가 오래 남아있는 경우가 많습니다.
이런 상태의 유치를 잔존유치라고 합니다.

이 잔존유치는 뿌리 상태가 괜찮다면 남겨두고 영구치처럼 오래 씁니다.
대신 유치라서 치아가 작아 공간이 벌어져 있을테니 이 문제는 해결해주어야 합니다.
이왕 쓰기로 한 거 유치여도 10년 20년 이상씩 쓰는 분들도 많아서 무삭제 라미네이트로 형태와 사이즈 회복을 해주면 좋습니다.
오늘은 잔존유치가 함께 있는 상태에서 무삭제 라미네이트로 어떻게 치료가 진행되는 지 보여드리겠습니다.

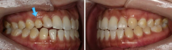
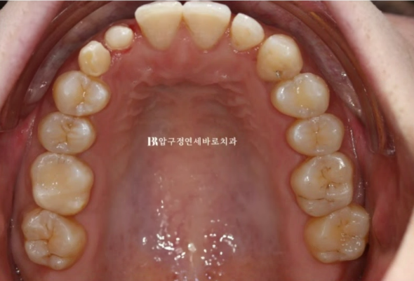
23.02
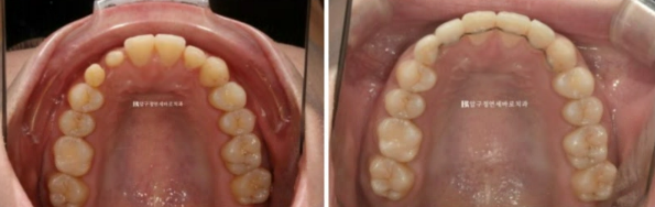
오른쪽 송곳니 파란 화살표 부분에 유치가 남아있는 환자분입니다.
영구치 송곳니가 없어서 그렇습니다.
반대쪽 같은 부위 정상 송곳니에 비하여 사이즈가 많이 작습니다.
유치라 어쩔 수 없지만 앞니 부분교정으로 적절하게 공간을 벌어주면 무삭제 라미네이트 젤라미로 송곳니만큼 사이즈를 회복할 수 있습니다.

가운데 말고 옆 앞니에 얼룩덜룩한 부분은 레진으로 왜소치를 치료한 흔적입니다.
레진은 시간이 지나면 변색이 되는 단점이 있습니다.
그래서 이번 기회에 오래된 레진을 제거하고 무삭제 라미네이트 젤라미를 하셨습니다.

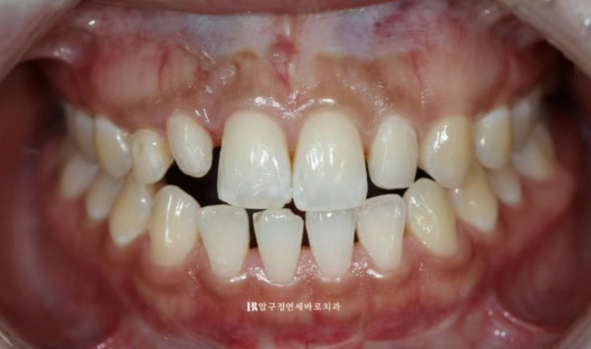
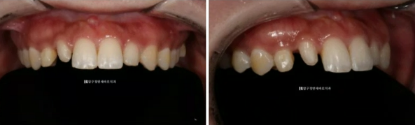
23.02

첫날 측절치의 레진을 제거한 모습입니다. 레진을 제거하고 나니 좌우 남는 공간이나 위치가 많이 다르네요 이 상태에서 무삭제 라미네이트 사이즈가 좌우 같게 제작되기는 어렵습니다.
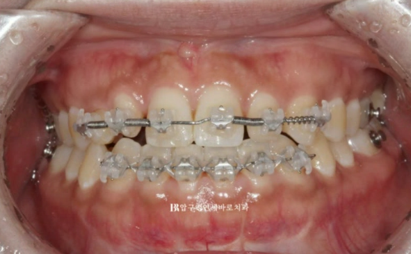
또 지금처럼 윗니가 아랫니를 덮지 않고 끝과 끝이 일자로 만나는 절단교합 상태에서는 라미네이트 치료 후 깨지거나 떨어지거나 교합 불편감이 생깁니다.
앞니에 절단교합이나 반대교합이 있다면 몇 개월 단기 앞니 교정으로 교합을 좋게 만든 후에나 무삭제 라미네이트가 가능합니다.
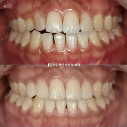
이 분도 라미네이트 치료에 앞서 앞니 부분교정을 먼저 하고 하는 김에 아랫니 벌어진 부분 개방교합도 함께 해결하기로 했습니다.
얕은 교합을 깊게 만들기 위해서는 스스로 고무줄을 걸 수 있는 클리피씨 장치가 효과적입니다.

23.05
치료 시작 4개월째 교정이 거의 완성된 모습입니다.
유치를 교정 치료 계획에 포함시킬때 가장 중요한 원칙은 유치는 함부로 움직이면 안된다입니다.
유치 특성상 교정력에 잘 반응하지도 않고 엄하게 치근흡수만 일어납니다.

23.05
좌우 라미네이트 두께와 사이즈가 밸런스 있게 제작이 되도록 공간 분배가 끝났고

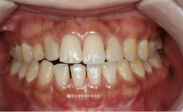
23.08
교정 시작 7개월째 교정장치를 제거한

23.08
삭제 없이 라미네이트가 들어간 모습입니다.
가운데 앞니 두개는 본래 치아이고 파란 화살표 부분만 무삭제 라미네이트입니다.

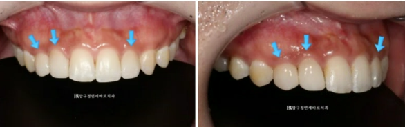
23.08
좌우 사이즈가 달랐던 부분을 교정으로 적절히 공간분배를 했기 때문에 동일한 사이즈와 라미네이트가 각각 들어갈수 있었습니다.

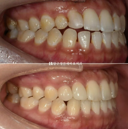
23.02~23.08

23.02~23.08

23.02~23.08
결론!
무삭제 라미네이트 하려면 앞니 교합이 좋아야합니다.
단기 앞니 부분교정을 먼저 병행해야 가장 좋은 결과를 얻을 수 있습니다.
유치라도 영구치 대신 오래 쓸거면 무삭제 라미네이트를 추천합니다.

