아카이브 요약
이 페이지의 역할
연세바로치과의원의 네이버 블로그 원문을 보존한 아카이브 페이지입니다. 치아교정 카테고리의 덧니교정 앞니부분교정 치간삭제 후기 글을 통해 병원의 한국어 정보 제공 방식과 진료 관련 안내 톤을 확인할 수 있습니다.
원문 검증
필요하면 원문 블로그와 병원 프로필로 바로 이동해 문맥을 다시 확인할 수 있습니다.
출처 아카이브 열기게시일
2025년 7월 3일
원문 기준으로 확인된 발행일입니다.
카테고리
치아교정
원문 블로그 카테고리를 정리해 함께 표시합니다.
이미지 수
14
현재 아카이브에 연결된 이미지 수입니다.
아카이브 요약
연세바로치과의원의 네이버 블로그 원문을 보존한 아카이브 페이지입니다. 치아교정 카테고리의 덧니교정 앞니부분교정 치간삭제 후기 글을 통해 병원의 한국어 정보 제공 방식과 진료 관련 안내 톤을 확인할 수 있습니다.
원문 검증
필요하면 원문 블로그와 병원 프로필로 바로 이동해 문맥을 다시 확인할 수 있습니다.
출처 아카이브 열기안녕하세요
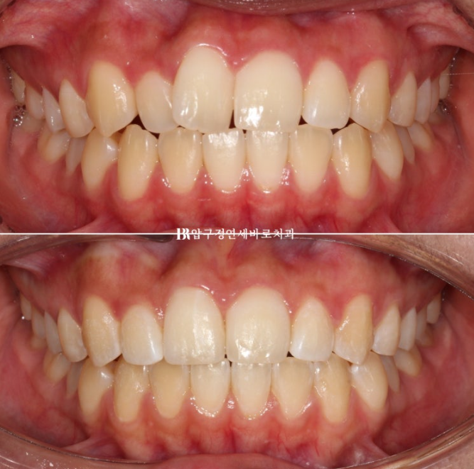
오늘은 덧니교정 앞니부분교정 소개해드리겠습니다.
6개월에 걸친 간단한 앞니 부분교정입니다.

23.12~24.06
단기 앞니 부분교정이지만 절단교합때문에 MTA나 2D와 같은 간단한 장치 말고 클리피씨로 치료한 증례입니다.
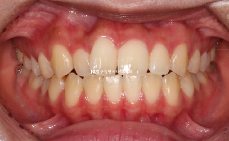
23년 12월 수능 후 환자분이 교정치료를 위해 내원했습니다.

23.12
뻗침도 없고 돌출도 없습니다.
해결하고자 하는 부분은 틀어진 덧니 입니다.

23.12
어금니 교합은 나쁘지 않은 편이라 단기 앞니 부분교정을 권유드렸습니다.

23.12
앞니 부분교정은 배열 이외에 별다른 기능이 없는 대신 작고 심플한 MTA 미니튜브나 설측 2D 교정장치를 사용합니다.
하지만 이 환자분은 덧니 이외에도 앞니 물리는 것이 얕은 절단교합을 보였기 때문에 앞니 배열 후 고무줄을 걸어 절단교합도 어느정도 해결하기로 했습니다.
따라서 고무줄 거는 기능이 있는 장치 클리피씨를 부착하고 교정을 진행했습니다.

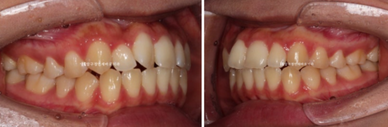
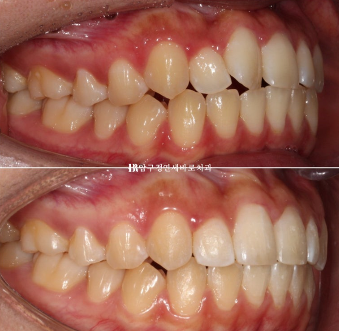
24.05
치료시작 5개월째의 모습입니다.
앞니 부분교정은 앞니 6개에만 장치를 붙여서 진행합니다.
덧니는 거의 해결이 되었고 고무줄을 걸어서 앞니 교합이 깊어지도록 도모했습니다.
심한 덧니를 가지런하게 하기 위해 치간삭제도 소량 했습니다.
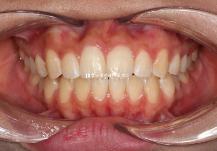
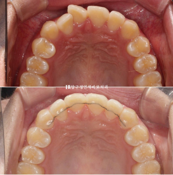
그리고 한달 후 24년 6월 드디어 치료를 마무리 했습니다.

24.06
배열은 가지런해졌고 앞니 교합도 처음에 비하여 깊어졌습니다.

24.06
유지장치까지 붙은 모습입니다.
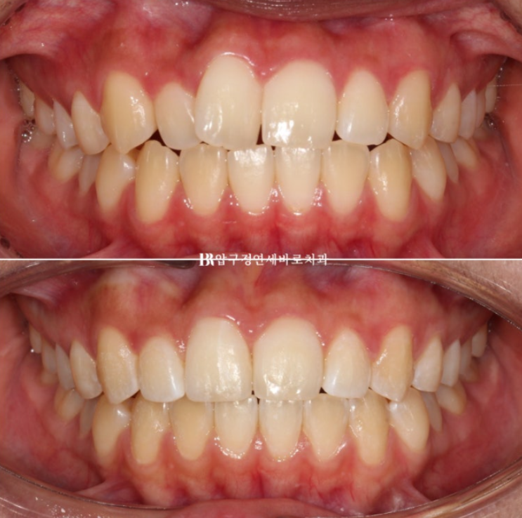
전 후 비교 보겠습니다.
토탈 치료 기간은 6개월 입니다.

23.12~24.06

23.12~24.06

23.12~24.06

23.12~24.06

23.12~24.06
심해보이는 덧니도 적절하게 치료하면 의외로 짧고 간단하게 교정이 마무리가 될 수 있습니다.
가까운 교정치과에 내원하여 상담부터 받아보세요.
긴 글 읽어주셔서 감사합니다.

