아카이브 요약
이 페이지의 역할
연세바로치과의원의 네이버 블로그 원문을 보존한 아카이브 페이지입니다. 인비절라인 카테고리의 양악수술 교정 인비절라인 주걱턱 교정 치료 후기 글을 통해 병원의 한국어 정보 제공 방식과 진료 관련 안내 톤을 확인할 수 있습니다.
원문 검증
필요하면 원문 블로그와 병원 프로필로 바로 이동해 문맥을 다시 확인할 수 있습니다.
출처 아카이브 열기아카이브된 블로그 글
연세바로치과의원 · 치과미슐랭
안녕하세요. 오늘은 양악수술 인비절라인 교정을 알려드리겠습니다. 양악수술 없이 교정만으로 되면 가장 좋지만, 양악수술을 하지 않으면 교정을 안 하느니만 못한 경우도 있습니다. 양악수술과 인비절라인 투명교정의 조합은 수술 결과도 좋기도 하고 교정도 빠르게 잘 됩니다. 자 그럼 오늘은 양악수술 교정 인비절라인으로 어떻...
게시일
2025년 7월 4일
원문 기준으로 확인된 발행일입니다.
카테고리
인비절라인
원문 블로그 카테고리를 정리해 함께 표시합니다.
이미지 수
13
현재 아카이브에 연결된 이미지 수입니다.
아카이브 요약
연세바로치과의원의 네이버 블로그 원문을 보존한 아카이브 페이지입니다. 인비절라인 카테고리의 양악수술 교정 인비절라인 주걱턱 교정 치료 후기 글을 통해 병원의 한국어 정보 제공 방식과 진료 관련 안내 톤을 확인할 수 있습니다.
원문 검증
필요하면 원문 블로그와 병원 프로필로 바로 이동해 문맥을 다시 확인할 수 있습니다.
출처 아카이브 열기안녕하세요.
오늘은 양악수술 인비절라인 교정을 알려드리겠습니다.
양악수술 없이 교정만으로 되면 가장 좋지만,
양악수술을 하지 않으면 교정을 안 하느니만 못한 경우도 있습니다.
양악수술과 인비절라인 투명교정의 조합은 수술 결과도 좋기도 하고 교정도 빠르게 잘 됩니다.
자 그럼 오늘은 양악수술 교정 인비절라인으로 어떻게 하는 지 소개해드릴게요.
일반적인 술전교정 - 양악수술 - 휴식기 1달 - 술후 교정 순서를 따른 경우입니다.

23.7~24.8
양악수술을 고려 중인 환자분이 내원하셨습니다.
양악수술 병원은 이미 여러군데 비교상담을 다녀오셨고
수술교정은 인비절라인으로 하고 싶다며 내원하셨습니다.

23.07

반대교합과 주걱턱이 심한 겨웅여서 양악수술 없이는 교정이 불가능한 상황입니다.
이 부분은 환자분도 알고계셨습니다.

23.07
겨울 방학을 이용해서 양악수술을 하기로 하였고
술전교정도 진행했습니다.
7월은 초진이고 장치수령까지 한달 반의 시간이 소요가 되어서 8월부터 본격적으로 교정치료가 시작되었습니다.
양악수술 시 교합이 안정적이도록 하는 것이 술전교정의 목적입니다.
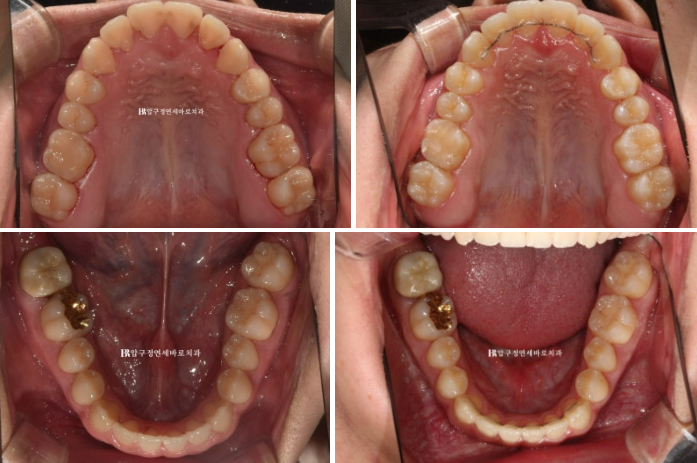
주걱턱 (3급 부정교합)에서는 상악 맨 뒤 큰 어금니가 대합치가 없어 내려와 있는 경우가 많습니다.
이 부분 해결을 위해 입천장에 교정용 나사 미니스크류를 심고 술전교정을 진행했습니다.
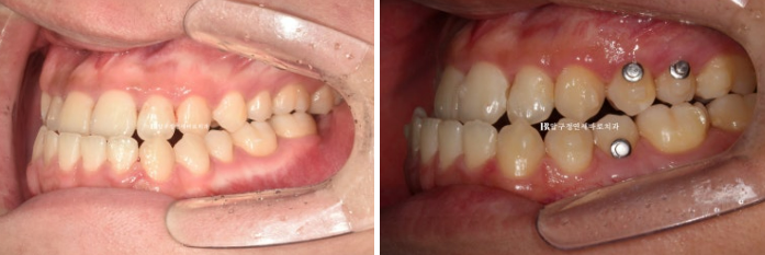
약 4개월의 술전교정 후 모습입니다.

23.12
내려와있던 위 맨 뒤 큰 어금니는 제 위치로 잘 올라갔고 양악수술을 위해서 철사로 고정을 해둡니다.

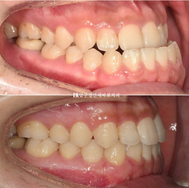
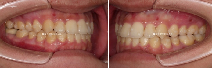
23.07~24.12
왼쪽은 초진이고, 오른쪽은 술전교정 마지막 모습입니다.
처음에 비하면 위 아래 앞니 간격이 오히려 더 커진 것 같은데요?
라고 말하실 수 있습니다.
술전교정에서는 주걱턱이 더 심해져 보이는 방향으로 치아를 움직여서 양악수술 직전 상태는 가장 부정교합이
심하고 불편한 상태가 됩니다.
그래야 수술 결과가 좋습니다.
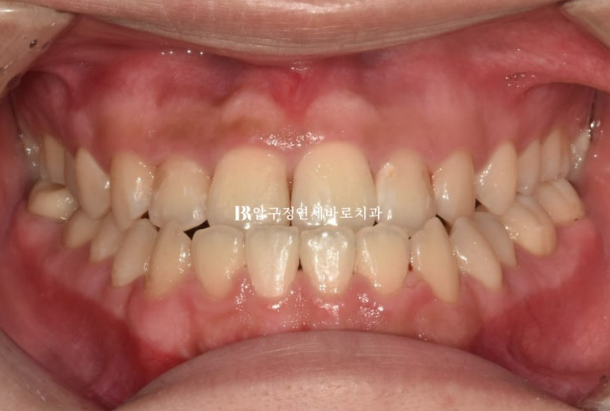
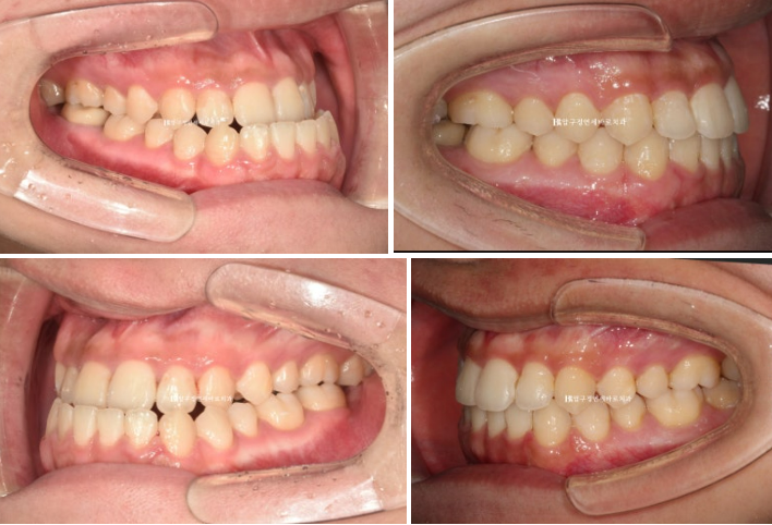
다음 사진은 구강악면외과에서 양악수술을 마친 뒤 한달간의 회복기를 가진 후 내원 시 모습입니다.

24.02
교합이 매우 좋습니다.

24.02
술전 교정도 워낙 잘 되고 구강악면외과 원장님도 수술을 잘 해주셔서
사실 술후교정으로는 별로 할 것이 없었습니다.
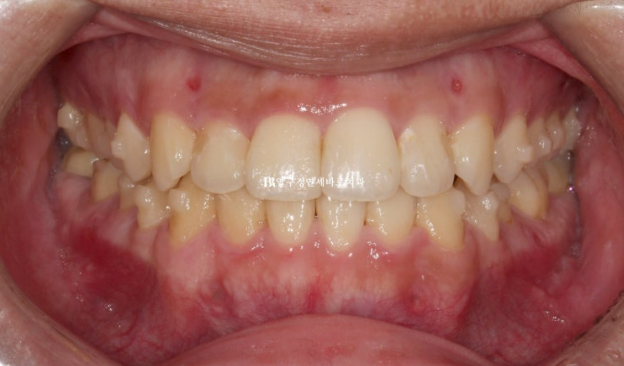
그래도 중심선과 좀 더 긴밀한 교합을 위해서 추가장치 제작을 합니다.
추가장치로 술후교정을 3개월부터 8월까지 약 5개월 진행했고 드디어 치료를 마무리 했습니다

23.07~24.08

23.07~24.08
중간에 수술과 회복기간, 장치제작기간을 제외하면 교정기간은 술전교정 4개월에 술후교정은 5개월 총 9개월이 걸렸습니다.

23.07~24.08
양악수술 교정 인비절라인으로 결과가 좋습니다.
양악수술이 필요하신 분들에게 도움이 되는 글이었으면 좋겠습니다.

