아카이브 요약
이 페이지의 역할
연세바로치과의원의 네이버 블로그 원문을 보존한 아카이브 페이지입니다. 어린이교정 카테고리의 서울 인비절라인 덧니 교정 과개교합 후기 글을 통해 병원의 한국어 정보 제공 방식과 진료 관련 안내 톤을 확인할 수 있습니다.
원문 검증
필요하면 원문 블로그와 병원 프로필로 바로 이동해 문맥을 다시 확인할 수 있습니다.
출처 아카이브 열기게시일
2025년 7월 8일
원문 기준으로 확인된 발행일입니다.
카테고리
어린이교정
원문 블로그 카테고리를 정리해 함께 표시합니다.
이미지 수
12
현재 아카이브에 연결된 이미지 수입니다.
아카이브 요약
연세바로치과의원의 네이버 블로그 원문을 보존한 아카이브 페이지입니다. 어린이교정 카테고리의 서울 인비절라인 덧니 교정 과개교합 후기 글을 통해 병원의 한국어 정보 제공 방식과 진료 관련 안내 톤을 확인할 수 있습니다.
원문 검증
필요하면 원문 블로그와 병원 프로필로 바로 이동해 문맥을 다시 확인할 수 있습니다.
출처 아카이브 열기안녕하세요 서울 인비절라인 치과 입니다.
오늘은 덧니교정치료 이야기를 해드리겠습니다.
인비절라인 라이트 치료 증례입니다.
이정도의 덧니도 인비절라인 라이트 단기 교정이 가능하다는 부분에 초점을 두고 읽어주시면 좋습니다.

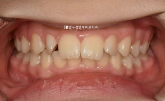
23.03
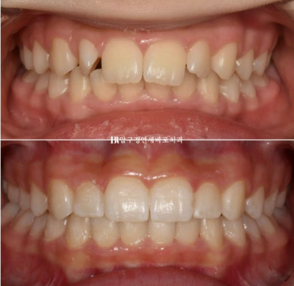
덧니교정을 위해 온 초등학생 아이입니다.
앞니가 갚게 물리는 과개교합이 보이고 앞니가 많이 돌아가 있습니다.
인비절라인 라이트는 장치 갯수가 14개 입니다.
돌아간 앞니를 회전시킬 양은 정해져 있습니다.
14개의 한정된 장치 안에서 그리고 1년이라는 한정된 기간 안에 모든 부정교합을 해결해야 합니다.
이런 이유로 이니절라인은 경험 그리고 노하우가 중요한 교정입니다.
이 정도 덧니에서 자신있게 인비절라인 라이트가 가능합니다. 라고 할 수 있는 이유로는
더 심한 덧니도 인비절라인 라이트로 치료한 경험이 많기 때문입니다.
성인이라면 인비절라인 라이트가 아니라 인비절라인 컴프리헨시브가 필요했을 수 있지만 나이를 고려했을 때
치아 이동이 성인보다 빠를 것으로 예상이 되어 인비절라인 라이트로 권유드렸습니다.

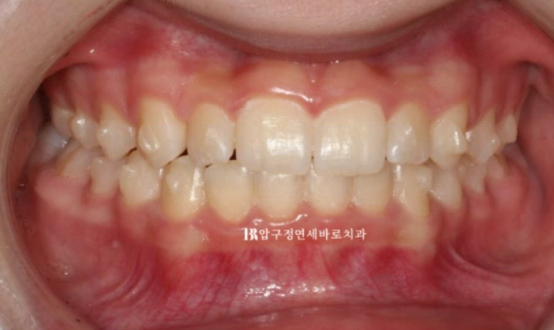
23.11
23년 4월부터 23년 11월까지 8개월 간 14개의 장치를 다 낀 후의 사진입니다.
덧니는 많이 개선이 되었으나 중심선이 맞지 않습니다.

여기서 다시 처음에 세웠던 치료 계획 시뮬레이션을 보면 중심선이 맞게 끝난다고 되어 있습니다.
가끔 클린체크 동영상처럼 치아 이동이 완벽하지 않으면 장치탓, 병원탓이라고 오해하는 경우가 계시는데요
클린체크 시뮬레이션 처럼 치아이동이 오차가 없다면 셀프 교정이 가능하겠죠.
그런데 입안 치주조직과 치아는 컴퓨터가 아닙니다.
살아있는 조직입니다. 사람마다 교정력에 대한 반응이 다릅니다.
따라서 치료방식도 다르고 중간중간 원장님의 개입은 필수입니다.
원장님이 인비절라인 치료를 많이 해봐야 사람마다 다름을 부정교합 상태마다 인비절라인 장치가 다르게 적용됨을 알고 적절한 처치를 할 수 있습니다.

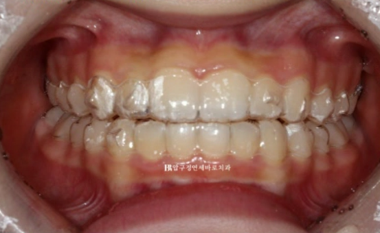
23.11
14단계를 모두 끼고 난 후 사진을 보면 파란 화살표 부분 덧니가 아직 100% 원래 자리로 돌아가지 못 했습니다.
이 부분은 처음부터 의도한 부분입니다.

클린체크를 보면 애초에 치료계획상에서 덧니를 80%만 돌린 것을 알 수 있습니다.
인비절라인 라이트는 14단계 안에 허용되는 범위 안에서만 부정교합 개선이 가능하기 때문입니다.
나머지 20%의 회전은 전략적으로 추가장치에서 잡으면 됩니다.
이렇게 하면 굳이 처음에 비용이 비싼 인비절라인컴프리헨시브로 하지 않아도 100% 개선이 가능합니다.
앞니 회전과 디테일한 부분을 추가로 개선하기 위해서 구강스캔을 하고 추가장치 제작에 들어갑니다.

23.11
추가장치 제작 기간 동안 약 한달의 쉬는 시간을 갖고 추가장치를 낍니다.

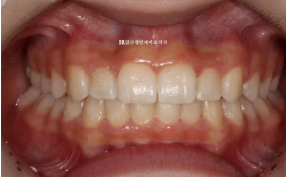
24.02
그리고 지난 달 치료가 마무리 되었습니다.
깊게 물리던 과개교합과 덧니가 깔끔하게 치료가 되었습니다.

24.02
덧니가 다시 재발이 되지 않도록 고정식 철사 유지장치도 붙이고 정기검진을 합니다.

23.03~24.02

23.03~24.02
5년만 늦게 왔으면 인비절라인 라이트로 자신있게 권유하지 못했을지도 모릅니다.
인비절라인 라이트로 해결해주기에는 덧니도 심한 편이고 성인은 치아이동이 초등학생들처럼 빠르지 않기 때문입니다.
시기 적절하게 내원해준 덕분에 빠르고 간단하게 9개월 만에 치료가 마무리 되었습니다.
어린이 교정, 타이밍이 중요합니다.

