아카이브 요약
이 페이지의 역할
연세바로치과의원의 네이버 블로그 원문을 보존한 아카이브 페이지입니다. 인비절라인 카테고리의 40대 인비절라인 비수술 비발치 주걱턱 비대칭 교정 글을 통해 병원의 한국어 정보 제공 방식과 진료 관련 안내 톤을 확인할 수 있습니다.
원문 검증
필요하면 원문 블로그와 병원 프로필로 바로 이동해 문맥을 다시 확인할 수 있습니다.
출처 아카이브 열기아카이브된 블로그 글
연세바로치과의원 · 치과미슐랭
안녕하세요 교정만으로 골격적인 주걱턱과 비대칭을 고칠 순 없습니다. 양악수술이 필요합니다. 하지만 교정만으로도 앞니 반대교합과 틀어진 중심선은 정상교합처럼 만들어 줄 수 있습니다. 양악수술 없이, 즉 뼈의 문제는 그대로 두고 교합을 정상화 시키는 치료를 절충치료 라고 합니다. 23.12~25.03 오늘은 인비절라인으로 양...
게시일
2025년 7월 11일
원문 기준으로 확인된 발행일입니다.
카테고리
인비절라인
원문 블로그 카테고리를 정리해 함께 표시합니다.
이미지 수
19
현재 아카이브에 연결된 이미지 수입니다.
아카이브 요약
연세바로치과의원의 네이버 블로그 원문을 보존한 아카이브 페이지입니다. 인비절라인 카테고리의 40대 인비절라인 비수술 비발치 주걱턱 비대칭 교정 글을 통해 병원의 한국어 정보 제공 방식과 진료 관련 안내 톤을 확인할 수 있습니다.
원문 검증
필요하면 원문 블로그와 병원 프로필로 바로 이동해 문맥을 다시 확인할 수 있습니다.
출처 아카이브 열기안녕하세요
교정만으로 골격적인 주걱턱과 비대칭을 고칠 순 없습니다.
양악수술이 필요합니다.
하지만 교정만으로도 앞니 반대교합과 틀어진 중심선은 정상교합처럼 만들어 줄 수 있습니다.
양악수술 없이, 즉 뼈의 문제는 그대로 두고 교합을 정상화 시키는 치료를 절충치료 라고 합니다.

23.12~25.03
오늘은 인비절라인으로 양악수술 없이 주걱턱과 비대칭을 어떻게 치료하는 지 보여드리겠습니다.
총 치료기간은 1년 3개월입니다 재제작 횟수는 1회입니다.

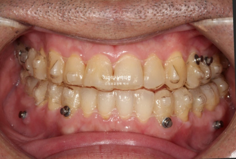
23.12
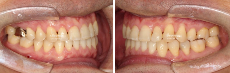
23년 12월 주걱턱 치료를 위해 오신 40대 환자분입니다.
골격적 주걱턱 뿐만 아니라 아래턱이 왼쪽으로 틀어진 비대칭도 보입니다.

23.12
앞니가 완전히 거꾸로 물립니다.

23.12

23.12
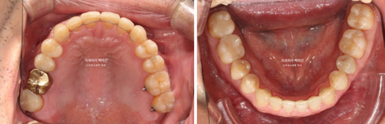
치열은 가지런한 편이나 앞니 반대교합으로 오랫동안 지내오면서 아래앞니에 부딫쳐 위 앞니 마모도가 심합니다.
인비절라인으로 비발치 교정 권유드렸습니다. 아래 전체치열을 사랑니 공간으로 밀어내어 앞니 반대교합과 중심선 불일치는 해결하기로 하고요

24.10
교정용 나사인 미니스크류를 아래쪽에 2개 심고 3급 고무줄을 걸며 치료를 진행중입니다.
치료시작 10개월차 첫세트의 장치를 모두 낀 후 모습입니다.

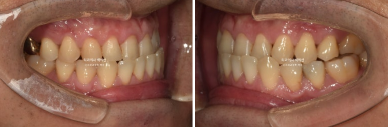
24.10
큰 공사는 끝났으나 미진한 부분들이 보입니다.
앞니 반대교합은 해결 되었으나 여전히 중심선이 미세하게 안 맞고

24.10
어금니 교합이 뜨는 부분이 있어 24년 10월 재제작에 들어갔습니다.
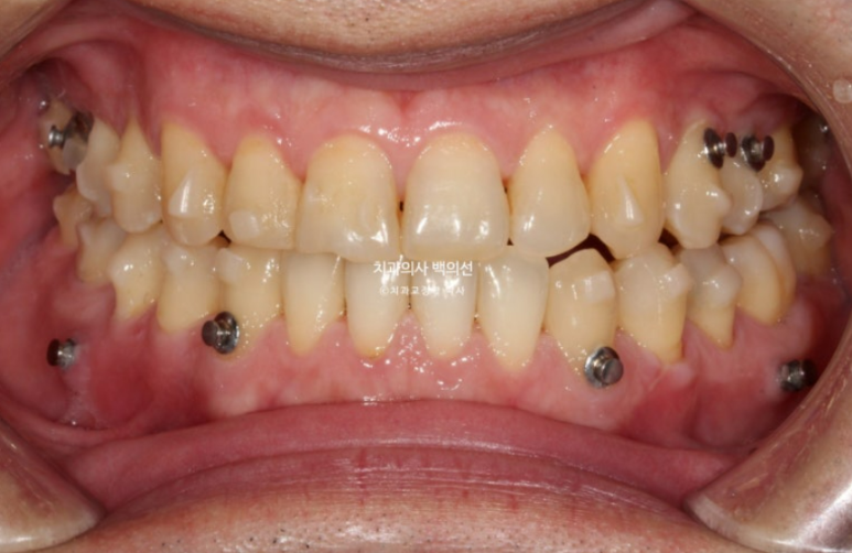
25년 3월까지 4개월동안 추가장치를 모두 낀 후 치료를 마무리 했습니다.

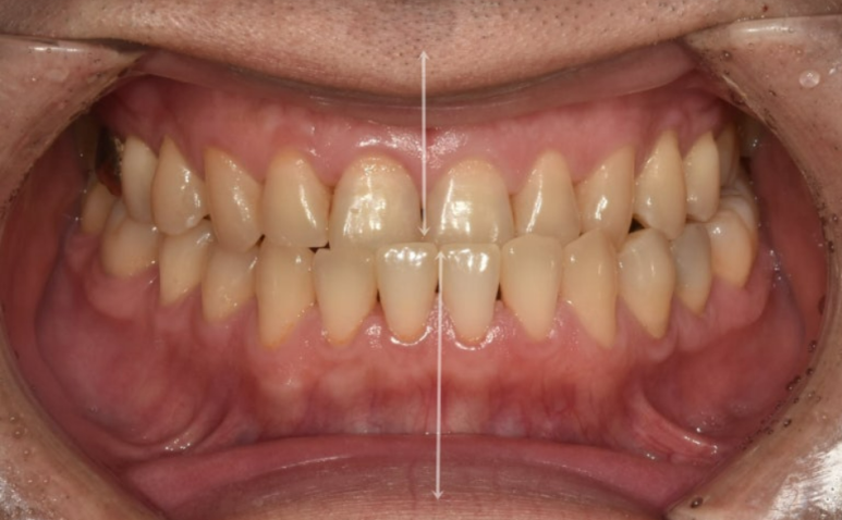
25.03
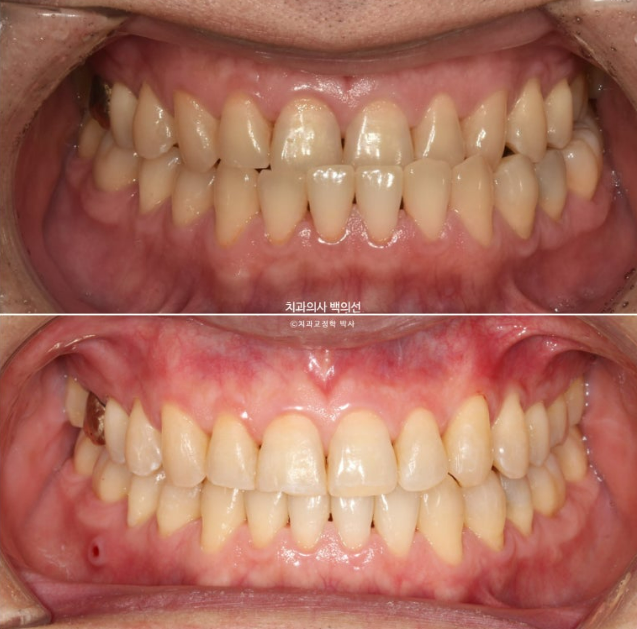
중심선은 잘 맞아졌습니다.

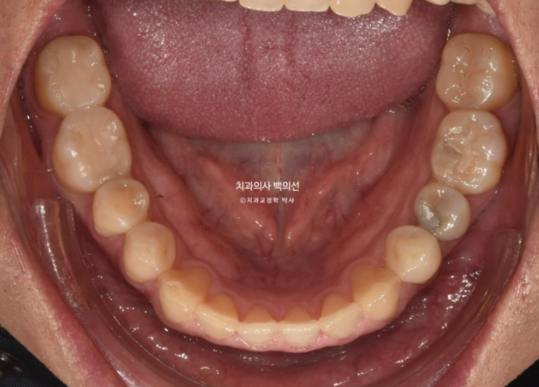
25.03
어금니 교합은 좋고

25.03
유지장치까지 붙은 모습입니다.
처음에 예상 치료기간은 1년 반 설명드렸으나 치료가 1년 3개월만에 잘 마무리가 되었습니다.
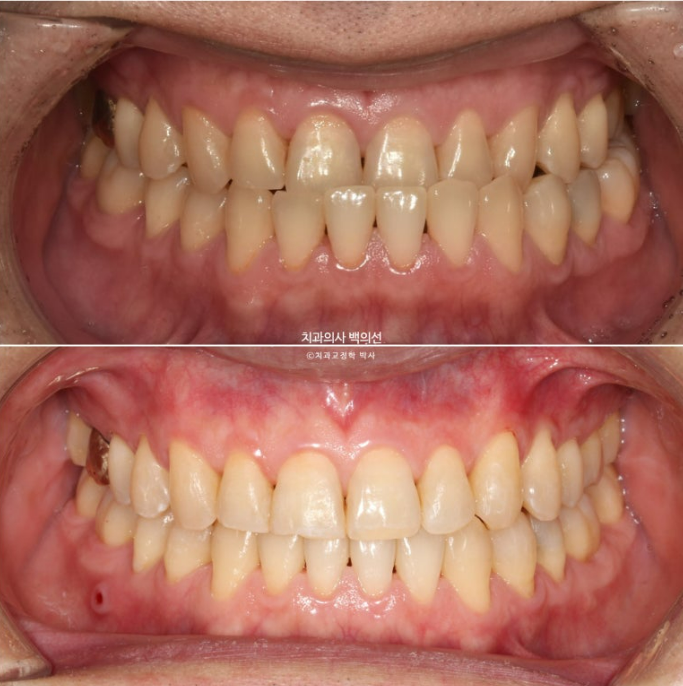
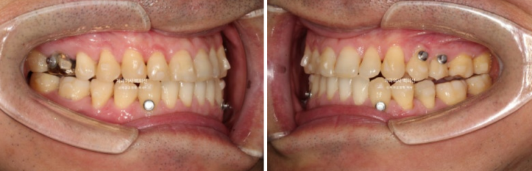
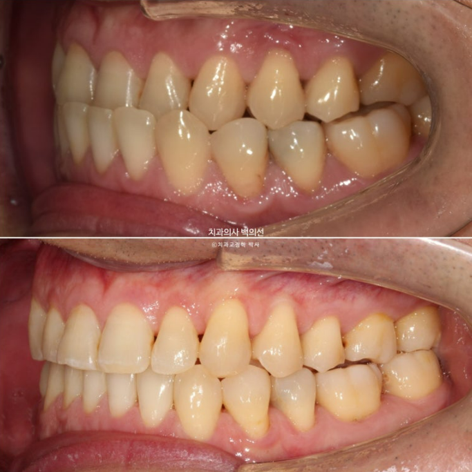
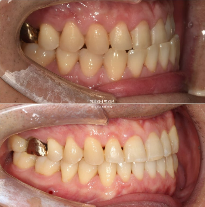
치료 전 후 비교 보겠습니다.

23.12~25.03

23.12~25.03

23.12~25.03

23.12~25.03

23.12~25.03

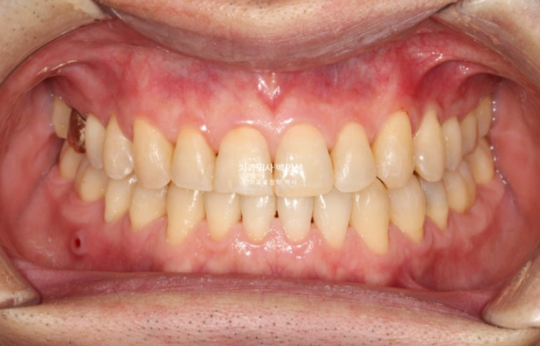
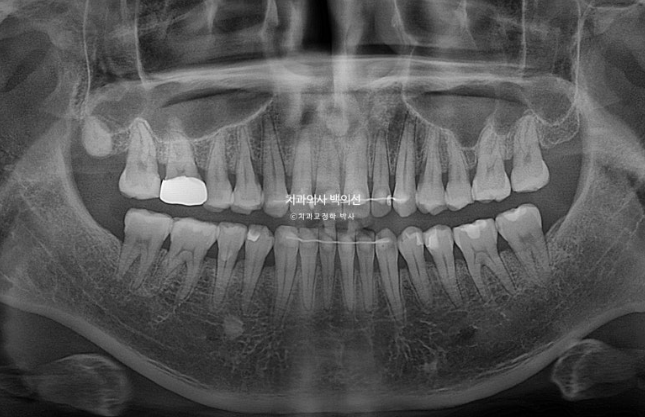
25.03
교정 후 파노라마 엑스레이상 치근흡수는 없으며 치근형행도는 좋습니다.
어려워 보이는 비수술 주걱턱 비대칭 치료, 그것도 인비절라인으로 치료했음에도 불구하고 빠르게 잘 끝나 이유는 교합력에 있습니다.
무는 힘이 쎈 경우 인비절라인 치료가 빠르게 잘 끝나는 경우가 많습니다. 평소 무는 힘이 세면 투명장치가 치아에 찰싹 달라붙은 채로 힘 전달에 유리합니다.
인비절라인 치료는 장치의 밀착도가 그만큼 중요합니다.

