아카이브 요약
이 페이지의 역할
연세바로치과의원의 네이버 블로그 원문을 보존한 아카이브 페이지입니다. 무삭제 라미네이트 젤라미 카테고리의 반점치 반상치 치아 하얀 얼룩 치료하기 글을 통해 병원의 한국어 정보 제공 방식과 진료 관련 안내 톤을 확인할 수 있습니다.
원문 검증
필요하면 원문 블로그와 병원 프로필로 바로 이동해 문맥을 다시 확인할 수 있습니다.
출처 아카이브 열기아카이브된 블로그 글
연세바로치과의원 · 치과미슐랭
안녕하세요 오늘은 오랜만에 치아교정 이야기가 아닌 무삭제 라미네이트 이야기를 해보겠습니다. 무삭제 라미네이트 젤라미의 장점은 자연스러움에 있습니다. 따라서 환자분의 심미적 니즈가 자연스러움에 초점이 맞춰져 있다면 더 좋은 결과가 나옵니다. 반상치와 이갈이로 인한 치아 마모가 혼재된 경우 무삭제 라미네이트로 어떻게 치료...
게시일
2025년 7월 14일
원문 기준으로 확인된 발행일입니다.
카테고리
무삭제 라미네이트 젤라미
원문 블로그 카테고리를 정리해 함께 표시합니다.
이미지 수
11
현재 아카이브에 연결된 이미지 수입니다.
아카이브 요약
연세바로치과의원의 네이버 블로그 원문을 보존한 아카이브 페이지입니다. 무삭제 라미네이트 젤라미 카테고리의 반점치 반상치 치아 하얀 얼룩 치료하기 글을 통해 병원의 한국어 정보 제공 방식과 진료 관련 안내 톤을 확인할 수 있습니다.
원문 검증
필요하면 원문 블로그와 병원 프로필로 바로 이동해 문맥을 다시 확인할 수 있습니다.
출처 아카이브 열기안녕하세요
오늘은 오랜만에 치아교정 이야기가 아닌 무삭제 라미네이트 이야기를 해보겠습니다.
무삭제 라미네이트 젤라미의 장점은 자연스러움에 있습니다.
따라서 환자분의 심미적 니즈가 자연스러움에 초점이 맞춰져 있다면 더 좋은 결과가 나옵니다.

반상치와 이갈이로 인한 치아 마모가 혼재된 경우 무삭제 라미네이트로 어떻게 치료하는 지와 이갈이로부터 라미네이트의 수명을 늘리기 위한 전략이 뭔지 알려드리겠습니다.

25.04
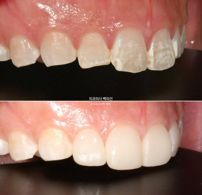
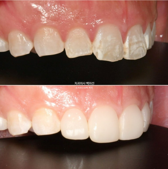
무삭제 라미네이트 치료를 위해 내원하신 분 입니다.
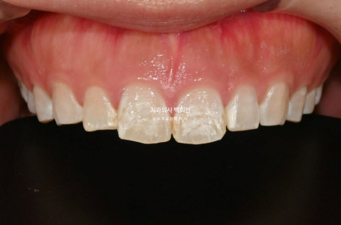
앞니 끝단이 마모로 인하여 사선이 갈려있고 앞니 전반적으로 반점치가 심한 편 입니다.

25.04
흰색 반점 즉 화이트스팟의 범위가 크기도 하고, 마모로 인한 문제도 있어서 무삭제 라미네이트를 원하셨습니다.

치료를 최소화 하길 원해서 상대적으로 백색반점이 적은 송곳니는 제외하고 앞니 4개만 치료하기로 했습니다.
환자분과 상담해보니 모양이나 색상 모두 최대한 자연스럽기를 원하고 맡겨주셔서 별도의 피팅 없이 진행했습니다.
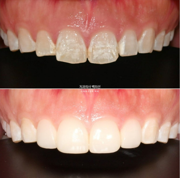
10일의 제작기간을 기다려서 무삭제 라미네이트 젤라미 부착 후 모습입니다.

25.04
마모되어 갈린 부분과 백색 반점 모두 자연스럽게 커버되었습니다.

25.04
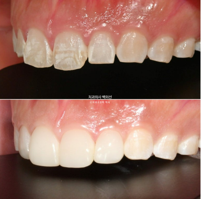
앞니 4개만 치료하는 경우 송곳니와 톤차이가 크면 안되어서 송곳니 톤에 맞춰서 자연스럽게 치료하는 것이 좋습니다.

25.04
우윳빛 투명감은 젤라미의 강점입니다.

25.04
깔끔해진 스마일라인

25.04
앞니 마모의 원인이 이갈이인 만큼 라미네이트 파절을 방지하려면 이갈이 장치를 하는 것이 좋습니다.
마침 교정 유지장치로 뺏다 꼈다 하는 가철식 유지장치가 필요한 상황이라, 이갈이 장치를 교정유지장치를 겸해서 끼기로 했습니다.
라미네이트와 같은 심미치료일수록 자기치아같은 자연스러운 치료가 오래보아도 예쁜 결과입니다.
오늘도 긴 글 읽어주셔서 감사합니다.

