아카이브 요약
이 페이지의 역할
연세바로치과의원의 네이버 블로그 원문을 보존한 아카이브 페이지입니다. 치아교정 카테고리의 30대 주걱턱 비수술 비발치 교정 후기 글을 통해 병원의 한국어 정보 제공 방식과 진료 관련 안내 톤을 확인할 수 있습니다.
원문 검증
필요하면 원문 블로그와 병원 프로필로 바로 이동해 문맥을 다시 확인할 수 있습니다.
출처 아카이브 열기게시일
2025년 7월 15일
원문 기준으로 확인된 발행일입니다.
카테고리
치아교정
원문 블로그 카테고리를 정리해 함께 표시합니다.
이미지 수
18
현재 아카이브에 연결된 이미지 수입니다.
아카이브 요약
연세바로치과의원의 네이버 블로그 원문을 보존한 아카이브 페이지입니다. 치아교정 카테고리의 30대 주걱턱 비수술 비발치 교정 후기 글을 통해 병원의 한국어 정보 제공 방식과 진료 관련 안내 톤을 확인할 수 있습니다.
원문 검증
필요하면 원문 블로그와 병원 프로필로 바로 이동해 문맥을 다시 확인할 수 있습니다.
출처 아카이브 열기안녕하세요.
오늘은 30대 주걱턱 비수술 비발치 교정 후기를 들려드리겠습니다.
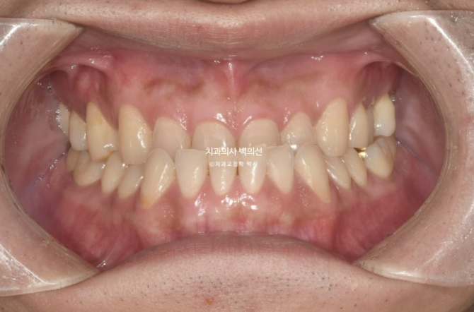
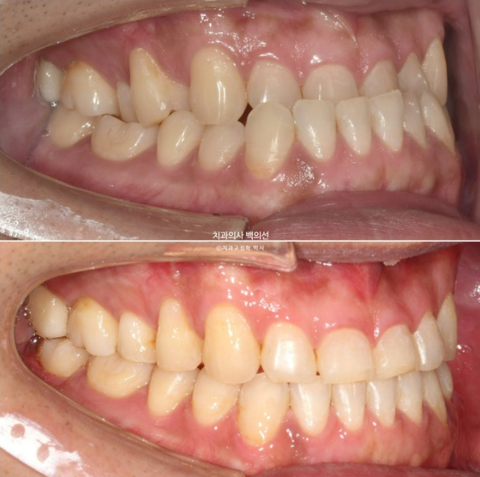
23년 7월 앞니 거꾸로 물림을 교정으로 해결하고자 내원하신 30대 남성분

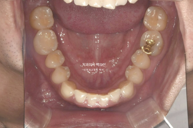
23.07
아랫니에 가려서 잘 보이지는 않지만

23.07
앞니 마모가 상당히 심합니다.
거꾸로 물리는 상태로 오래 지내오다보니, 아랫니와 닿는 부분들이 마모가 된 것입니다.
마모도를 보면 교합력도 상당히 센 편임을 알 수 있습니다.

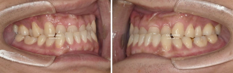
23.07

23.07

23.07
비발치로 아래 전체 치열을 사랑니 공간으로 밀어서 앞니 반대교합을 해소하기로 했습니다.
클리피씨 교정을 선택하셨고 먼저 아래 장치 부착 후 치료를 시작했습니다.
아래 장치 부착 4개월 후 위 장치 부착을 했습니다.

24.02
아래에 미니스크류를 심고 사랑니 공간으로 전체치열을 미는 중 입니다.
가려서 보이지 않던 윗니가 드디어 모습을 드러냈습니다.

교합을 맞추기 위해 고무줄도 끼고 25년 4월, 치료시작 1년 9개월 만에 치료를 종료했습니다

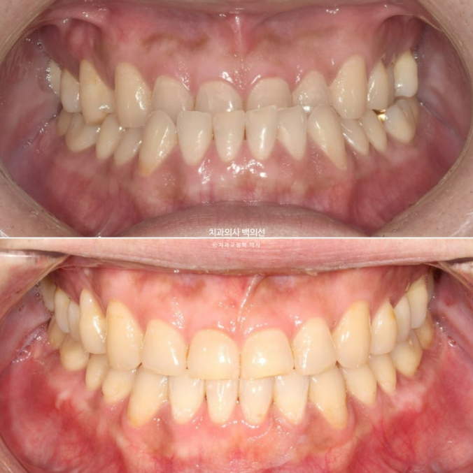
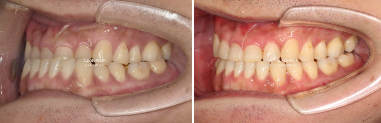
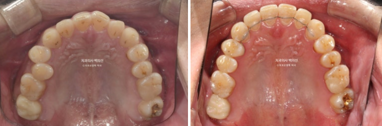
23.07~25.04
중심선은 잘 맞으며

23.07~25.04

23.07~25.04
어금니 교합은 좋습니다.

23.07~25.04

23.07~25.04
철사유지장치까지 부착된 모습입니다.

23.07~25.04
앞니 거꾸로 물리는 반대교합은 해소가 되었고

23.07~25.04

23.07~25.04
안모의 변화가 눈에 띕니다.
교정만으로 아래턱이 뒤로 들어가진 않지만 앞니 반대교합이 해결이 되면 아래 앞니가 뒤로 들어가면서 아랫입술이 뒤로 들어갑니다.
이로써 경우에 따라서 턱이 더 도드라져 보이는 경우도 있지만 입술 밸런스가 좋아지면서 오히려 주걱턱이 완화되어 보이는 경우도 있습니다.

25.04
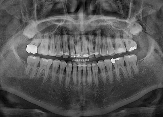
치근흡수는 없고 치근평행도는 좋습니다.
앞니 반대교합이 아래턱을 더 내밀어 물게 하는 경우가 있습니다.
이런 경우 교정만으로 턱이 제 위치를 찾으면서 디로 약간 들어가게 됩니다.
엑스레이 중첩에서 확인이 되듯이 말입니다.
오늘 포스팅이 비수술 비발치 주걱턱 교정 고민중이신 분들에게 도움이 되길 바랍니다.

