아카이브 요약
이 페이지의 역할
연세바로치과의원의 네이버 블로그 원문을 보존한 아카이브 페이지입니다. 인비절라인 카테고리의 압구정 인비절라인 라이트 과개교합 후기 글을 통해 병원의 한국어 정보 제공 방식과 진료 관련 안내 톤을 확인할 수 있습니다.
원문 검증
필요하면 원문 블로그와 병원 프로필로 바로 이동해 문맥을 다시 확인할 수 있습니다.
출처 아카이브 열기아카이브된 블로그 글
연세바로치과의원 · 치과미슐랭
안녕하세요 압구정 인비절라인 치과 입니다. 오늘은 인비절라인 라이트 후기 들려드리겠습니다. 인비절라인 라이트는 인비절라인 투명교정 프로그램 중 단기 부분교정용으로 나온 프로그램입니다. 14개의 장치 안에서 해결이 가능한 부정교합에 적용합니다. 같은 부정교합이라도 14개 안에서 해결이 가능한지 불가능한지는 원장님의 치료...
게시일
2025년 7월 16일
원문 기준으로 확인된 발행일입니다.
카테고리
인비절라인
원문 블로그 카테고리를 정리해 함께 표시합니다.
이미지 수
13
현재 아카이브에 연결된 이미지 수입니다.
아카이브 요약
연세바로치과의원의 네이버 블로그 원문을 보존한 아카이브 페이지입니다. 인비절라인 카테고리의 압구정 인비절라인 라이트 과개교합 후기 글을 통해 병원의 한국어 정보 제공 방식과 진료 관련 안내 톤을 확인할 수 있습니다.
원문 검증
필요하면 원문 블로그와 병원 프로필로 바로 이동해 문맥을 다시 확인할 수 있습니다.
출처 아카이브 열기안녕하세요
압구정 인비절라인 치과 입니다.
오늘은 인비절라인 라이트 후기 들려드리겠습니다.
인비절라인 라이트는 인비절라인 투명교정 프로그램 중 단기 부분교정용으로 나온 프로그램입니다.
14개의 장치 안에서 해결이 가능한 부정교합에 적용합니다.
같은 부정교합이라도 14개 안에서 해결이 가능한지 불가능한지는 원장님의 치료 경험과 노하우에 따라 다릅니다.
다른 치과에서는 인비절라인 라이트로는 안 된다고 해도 저희는 왜 인비절라인 라이트가 가능하냐고 하는 지 궁금하실 수 있죠.

그래서 저희 치과에서는 일년에 두 번씩 치료 증례를 모아서 증례북을 제작합니다.
대기실에 비치가 되어있으니 본인과 비슷한 부정교합의 환자들의 치료결과도 보면서 치과 선택에 도움이 되길 바랍니다.
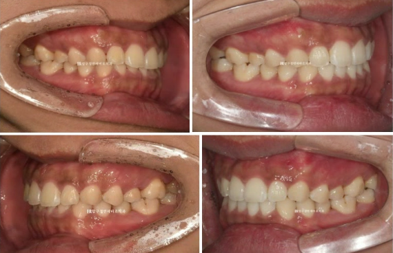
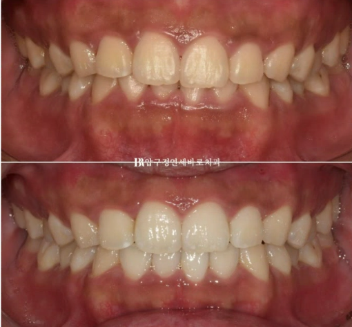
오늘은 인비절라인 라이트로 과개교합과 교합평면 문제를 해결하는 지 보여드리겠습니다.

24.02
웃을 때 왼쪽 치아가 내려와 보인다라는 이유로 교정치료를 위해 찾아오신 환자분입니다.
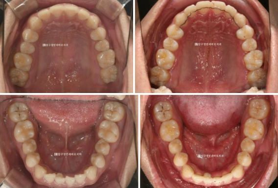
윗니가 아랫니를 너무 많이 덮는 것을 과개교합 이라고 합니다.
아랫니는 거의 안 보입니다.

실제로 웃는 사진에서 교합평면이 기울어져 있는 것이 보입니다.
환자분의 왼쪽 치아들이 더 아래로 내려가 있습니다.

24.02
윗니는 가지런했지만

24.02
아래 앞니 하나가 삐뚤합니다.
특히 아래 앞니 중 하나에 기형치도 보입니다.
뒤쪽으로 튀어나온 부분은 치아의 일부 입니다.
인비절라인 라이트로 교합평면 기울어짐 과개교합 모두 개선하기로 했습니다.
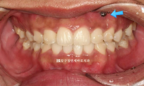
14개의 장치 안에서 이 모든 문제를 해결하려면 교정용 나사를 하나 심고 고무줄을 같이 걸어주는 것이 좋습니다.
인비절라인 장치가 도착한 것은 24년 3월 이때부터 장치를 끼면서 치료를 시작했습니다.

24.07
4개월 간 14개의 장치를 다 낀 후의 교합입니다.
파란 화살표 부위에 환자분이 고무줄을 열심히 걸어주었으며 4개월 간 교합평면 기울어짐, 과개교합은 잘 해결이 되었습니다

24.07
웃을 때 이제 더 이상 한쪽 치아가 내려와 보이지 않습니다.
결과도 좋고 환자분도 만족하여 재제작 없이 치료를 종료하기로 했습니다.

24.02~24.07
과개교합이 해소가 되면서 이제는 다물었을 때 아랫니도 보입니다.

24.02~24.07
삐뚤했던 앞니가 가지런해지고, 아래 앞니 기형치 부분은 그에 맞게 철사 유지장치가 제작이 되었습니다.
앞니 뒤 고정식 유지장치는 필수입니다.

24.02~24.07
압구정 인비절라인 라이트 4개월간의 변화입니다.
환자분의 훌륭한 협조도, 교정용 나사 미니스크류의 사용, 적절한 치료계획이 단기간에 좋은 결과를 만들었습니다.

24.02~24.07
기준선을 그으면 교합평면 기울어짐 개선이 더 잘 보입니다.

24.02~24.07
앞으로는 더 환하게 웃고 사시길 바랍니다.
교정치료는 오래 걸린다 불편하다 라고 생각하시는 분들에게 이 포스팅이 도움이 되셨기를 바랍니다.
이상 압구정 인비절라인 치과였습니다.
