아카이브 요약
이 페이지의 역할
연세바로치과의원의 네이버 블로그 원문을 보존한 아카이브 페이지입니다. 무삭제 라미네이트 젤라미 카테고리의 앞니 선천적 결손 벌어짐 잔존 유치 무삭제 라미네이트 글을 통해 병원의 한국어 정보 제공 방식과 진료 관련 안내 톤을 확인할 수 있습니다.
원문 검증
필요하면 원문 블로그와 병원 프로필로 바로 이동해 문맥을 다시 확인할 수 있습니다.
출처 아카이브 열기아카이브된 블로그 글
연세바로치과의원 · 치과미슐랭
안녕하세요 태어날때부터 치아가 없는 것을 선천적 결손 이라고 합니다. 특히 가운데 앞니 말고 옆 앞니, 즉 측절치는 선천적 결손 빈도가 높은 치아입니다. 측절치가 없으면 송곳니가 나올 때 측절치 차리로 밀려 나오는 경우가 많고 유치송곳니는 제때 빠지지 못해 남아있는 경우가 많습니다. 이렇게 빠지지 못 하고 남아있는 유치를...
게시일
2025년 7월 25일
원문 기준으로 확인된 발행일입니다.
카테고리
무삭제 라미네이트 젤라미
원문 블로그 카테고리를 정리해 함께 표시합니다.
이미지 수
15
현재 아카이브에 연결된 이미지 수입니다.
아카이브 요약
연세바로치과의원의 네이버 블로그 원문을 보존한 아카이브 페이지입니다. 무삭제 라미네이트 젤라미 카테고리의 앞니 선천적 결손 벌어짐 잔존 유치 무삭제 라미네이트 글을 통해 병원의 한국어 정보 제공 방식과 진료 관련 안내 톤을 확인할 수 있습니다.
원문 검증
필요하면 원문 블로그와 병원 프로필로 바로 이동해 문맥을 다시 확인할 수 있습니다.
출처 아카이브 열기안녕하세요
태어날때부터 치아가 없는 것을 선천적 결손 이라고 합니다.
특히 가운데 앞니 말고 옆 앞니, 즉 측절치는 선천적 결손 빈도가 높은 치아입니다.
측절치가 없으면 송곳니가 나올 때 측절치 차리로 밀려 나오는 경우가 많고 유치송곳니는 제때 빠지지 못해 남아있는 경우가 많습니다.
이렇게 빠지지 못 하고 남아있는 유치를 잔존유치 라고 합니다.

25.03
잔존유치는 꼭 빼야할 필요는 없습니다. 유치지만 뿌리가 견고하다면 쓸때까지 오래 쓰는 것이 좋습니다. 단 유치이기 때문에 마모나 파절에 취약한데 이 경우 무삭제 라미네이트로 모양을 회복해주면 좋습니다.

25.03
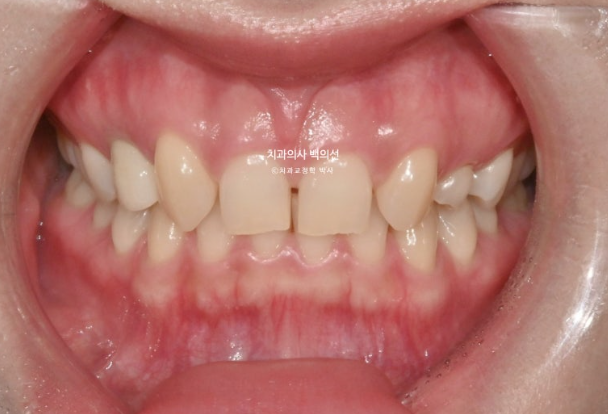
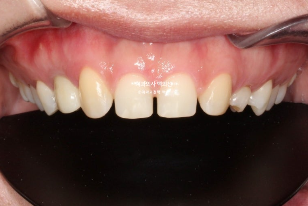
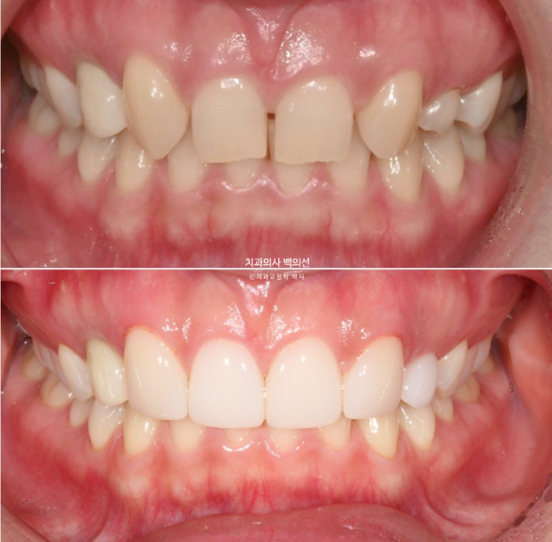
무삭제 라미네이트 젤라미 치료를 위해 내원하신 분 입니다.
앞니 사이 벌어진 틈을 교정보다는 무삭제 라미네이트로 해결하는 것이 더 나은 케이스입니다.
단 과개교합이 있어 무삭제 라미네이트 전 끝단 마모되어 얇게 남은 부분을 정리하고 길이를 소량 줄이는 것이 좋습니다.

파란화살표는 결손된 측절치 자리로 나온 송곳니 입니다.

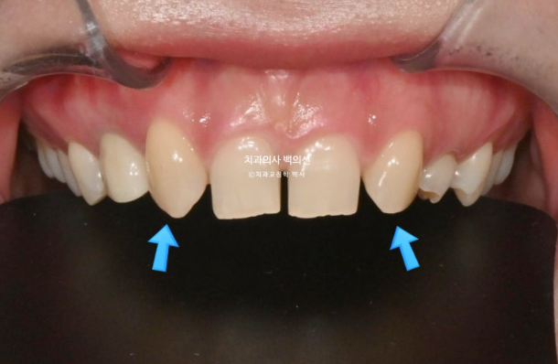
파란 화살표는 오래전 유치에 크라운을 씌워놓은 것 입니다. 색상은 애매하나 보철물 상태 자체는 나쁘지 않습니다.

반대쪽 잔존 송곳니 유치는 끝단이 마모된 상태입니다.
치료계획은 앞니 4개, 그리고 왼쪽 잔존유치 1개, 총 5개 치아를 무삭제 라미네이트 젤라미로 치료하는 것 입니다.
크라운 씌워놓은 유치 크라운은 나중에 때가 되면 교체를 하기로 하고 이번 치료에는 포함시키지 않았습니다.
이 치료에서의 관건은 두 가지 입니다.
송곳니 형태를 앞니처럼 보이게 하는 것
유독 색이 누렇고 어두운 송곳니와 가운데 앞니와 명도를 맞추는 것
입니다.
송곳니는 원래 앞니보다 잇몸라인도 높고 모양도 뾰족하고 앞면이 곡선으로 둥글기에 앞니처럼 보이게 하려면 뾰족한 부분을 일부 갈아야 합니다.

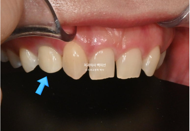
과개교합을 해결하기 위해서 앞니 끝단 얇게 남아있는 부분과, 송곳니 끝단 뾰족한 부분을 다듬은 모습입니다.
이후 피팅을 진행합니다.
초진 후 피팅까지 걸리는 시간은 7일입니다.

7일 후 피팅으로 젤라미 부착 후 상태를 임시 레진재료로 치아에 붙여 미리 재현합니다.
웃는 사진도 찍어 스마일라인, 좌우 높낮이 등을 세세하게 직접 확인 후 환자분이 원하는 바를 반영해서 젤라미를 제작했습니다. 젤라미 제작에 걸리는 시간은 10일이며 즉 초진부터 17일 후 드디어 무삭제 라미네이트 부착을 했습니다.

송곳니는 원래 앞니보다 더 어둡습니다. 무삭제 라미네이트는 삭제를 안 하는 만큼 두께가 0.n mm 단위로 얇은 것이 핵심이라 본래의 치아색이 비쳐나올 수 밖에 없습니다. 앞니와 송곳니 젤라미 재료의 쉐이드를 다르게 제작하고, 2차로 부착 전 접착레진의 명도를 조절하여 비쳐나오는 정도를 미세하게 조절해야 합니다. 이렇게 세밀한 조절을 거쳐야 비로소 송곳니와 앞니 색상이 자연스럽게 이어지고 송곳니인데 티가 안 납니다.
만약 삭제 라미네이트를 한다면 이런 과정이 필요없습니다. 삭제한만큼 라미네이트의 두께가 확보가 되니 본래의 치아색이 비쳐나올일도 없고 색도 무조건 동일하게 나옵니다.
대신 투명감 없는 그적 그런 라미네이트가 되겠죠.
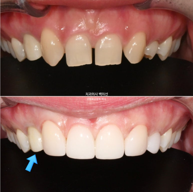
치료 전 후 사진을 보고 설명드릴게요

파란 화살표 치아는 오래전 했던 크라운이라 컬러가 맞지 않습니다.
하지만 색상을 제외하면 보철물 자체의 상태는 나쁘지 않아서 나중에 때가 되면 젤라미 색상에 맞춰서 교체하기로 했습니다.

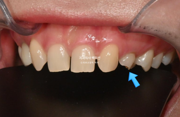
파란 화살표 잔존유치는 젤라미로 마모된 부분을 회복했습니다.
본래의 치아색이 은은하게 우러나오는 투명감은 젤라미 자연스러움의 이유입니다.

전 후 교합 사진 입니다.
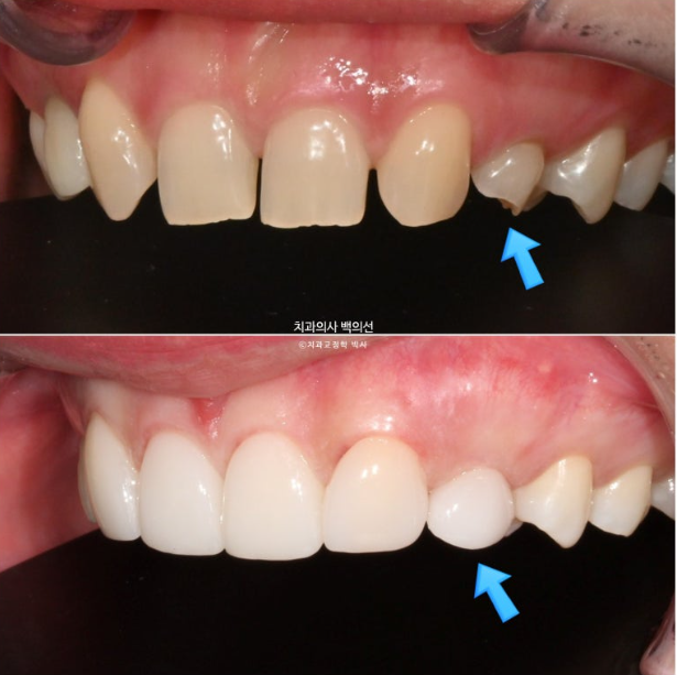
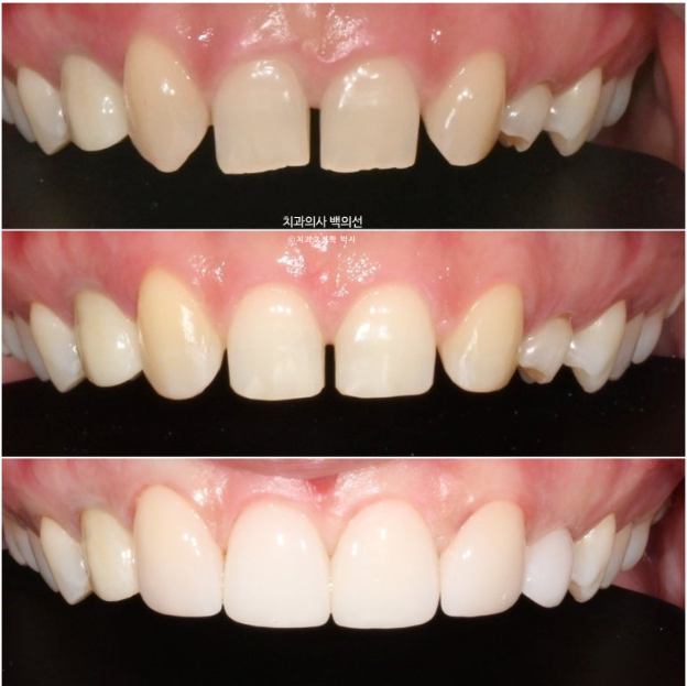
이제 치료 과정을 리뷰해보겠습니다.
차례대로 초진 - 끝단 모양 삭제 - 젤라미 부착 과정 입니다.

25.03
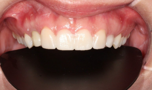
안모 사진으로 과정을 리뷰해보겠습니다.
차례대로 초진 - 피팅 후 - 젤라미 부착 후 모습입니다.

25.03
무삭제 라미네이트를 고민 중인 분들에게 도움이 되었기를 바라며 오늘의 포스팅을 마칩니다.

