아카이브 요약
이 페이지의 역할
연세바로치과의원의 네이버 블로그 원문을 보존한 아카이브 페이지입니다. 인비절라인 카테고리의 투명교정 인비절라인 덧니 교정 치료기간 알아보기 글을 통해 병원의 한국어 정보 제공 방식과 진료 관련 안내 톤을 확인할 수 있습니다.
원문 검증
필요하면 원문 블로그와 병원 프로필로 바로 이동해 문맥을 다시 확인할 수 있습니다.
출처 아카이브 열기아카이브된 블로그 글
연세바로치과의원 · 치과미슐랭
안녕하세요 압구정 인비절라인 치과입니다. 오늘은 심한 덧니가 있는 경우 인비절라인 발치교정 치료과정 소개하겠습니다. 22.09~25.04 교정 발치의 이유는 두 가지 입니다. 덧니가 심하거나 돌출이 심하거나 두 경우 똑같은 발치교정 이지만 인비절라인으로 치료할 때는 치료계획 어태치먼트 배치 고무줄의 위치나 방향 등 등 모...
게시일
2025년 7월 17일
원문 기준으로 확인된 발행일입니다.
카테고리
인비절라인
원문 블로그 카테고리를 정리해 함께 표시합니다.
이미지 수
19
현재 아카이브에 연결된 이미지 수입니다.
아카이브 요약
연세바로치과의원의 네이버 블로그 원문을 보존한 아카이브 페이지입니다. 인비절라인 카테고리의 투명교정 인비절라인 덧니 교정 치료기간 알아보기 글을 통해 병원의 한국어 정보 제공 방식과 진료 관련 안내 톤을 확인할 수 있습니다.
원문 검증
필요하면 원문 블로그와 병원 프로필로 바로 이동해 문맥을 다시 확인할 수 있습니다.
출처 아카이브 열기안녕하세요
압구정 인비절라인 치과입니다.
오늘은 심한 덧니가 있는 경우 인비절라인 발치교정 치료과정 소개하겠습니다.

22.09~25.04
교정 발치의 이유는 두 가지 입니다.
덧니가 심하거나
돌출이 심하거나
두 경우 똑같은 발치교정 이지만 인비절라인으로 치료할 때는 치료계획 어태치먼트 배치 고무줄의 위치나 방향 등 등 모든 것이 다릅니다.
오늘은 덧니 때문에 발치교정을 한 경우에 대해 알려드리겠습니다.
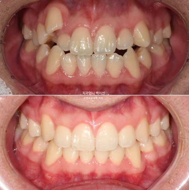
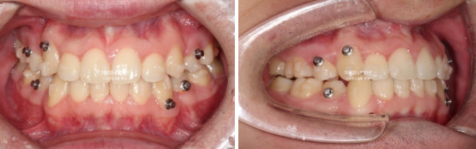
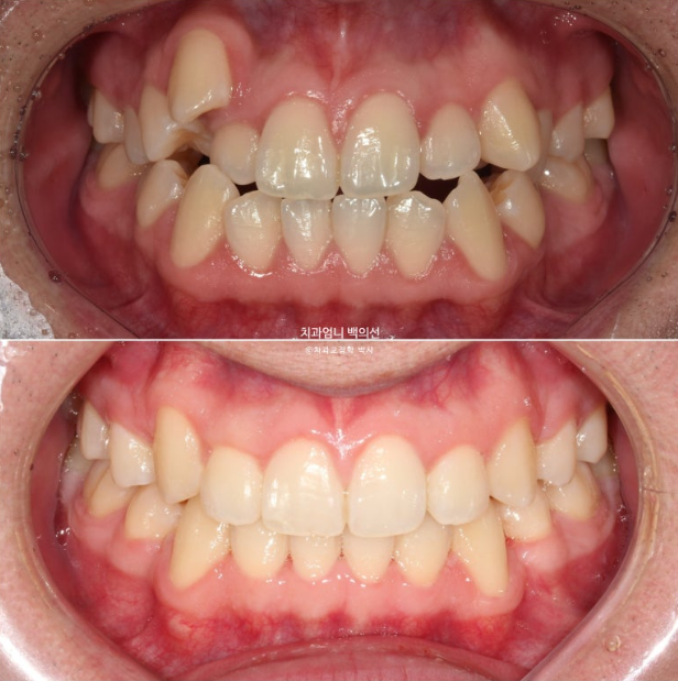
2022년 가을, 덧니 교정을 위해 오신 환자분입니다.

2022.09
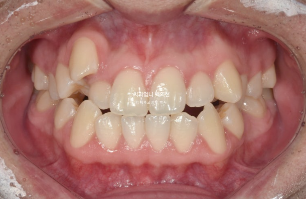
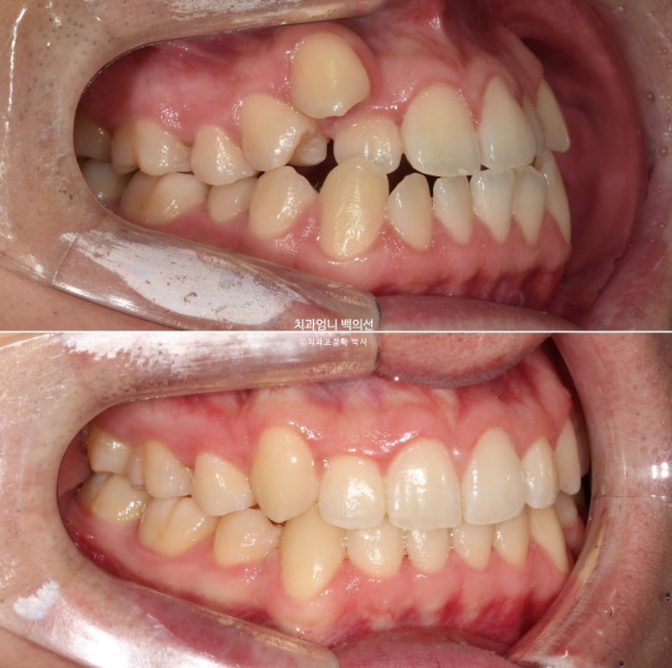
송곳니 덧니가 심합니다. high canine 하이캐나인 이라고 합니다.

2022.09

2022.09
덧니가 심해서 작은어금니 4개 발치가 불가피한 상황입니다.
약간의 입술돌출도 함께 해소하기로 했습니다.
인비절라인으로 치료 시작했으며 장치제작기간을 한달 반을 기다려 10월부터 인비절라인 1번 장치를 끼기 시작했습니다.

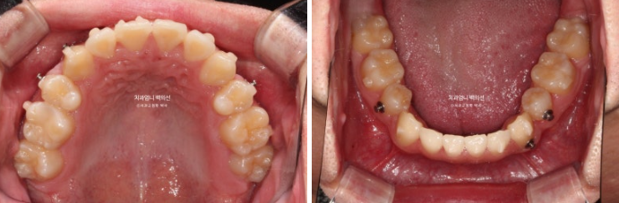
2023.09
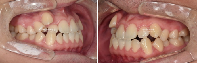
치료시작 11개월 차 모습입니다.
송곳니가 발치공간으로 잘 내려오고 있습니다.
24년 1월 쓰러진 작은 어금니 치축을 개선하기 위해 재제작에 들어갔고 11월까지 첫번째 추가장치를 다 낀 모습입니다.

24.11
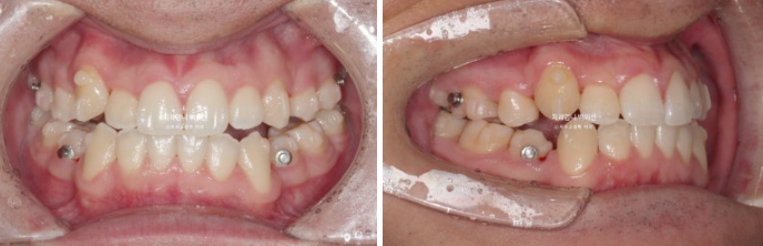
어금니 교합이 아직 미진하여 재제작을 한 번 더 했습니다.
어금니에 달린 동그란 것들은 고무주을 거는 고리 입니다.

24.11
배열은 좋습니다.
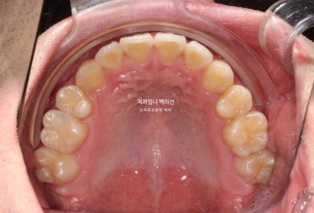
24년 12월부터 25년 4월까지 4개월간 두 번째 추가장치를 다 낀 후 치료를 종료하였습니다.

25.04

25.04
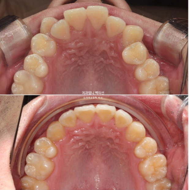
교정치료의 기본은 물샐틈 없는 이븐한 교합입니다.
교합이 좋지 않으면 교정치료를 마무리 짓지 않습니다.

25.04
환자분은 불편감에 대한 걱정 때문에 철사유지장치를 원치 않았습니다. 인비절라인 투명유지장치 비베라만 끼면서 유지하기로 하고 비베라까지만 제작했습니다.
이제 전 후 비교 보겠습니다.

22.09~25.04
재제작은 총 2회 하였으며 치료기간은 2년 6개월 입니다. 중간중간 장치제작기간을 제외하면 실제 치료기간은 2년 2개월 입니다.

22.09~25.04

22.09~25.04

22.09~25.04
안모 전 후 보겠습니다.

22.09~25.04

22.09~25.04
아랫입술이 뒤로 들어가며 입술 밸런스가 좋아졌습니다.

22.09~25.04
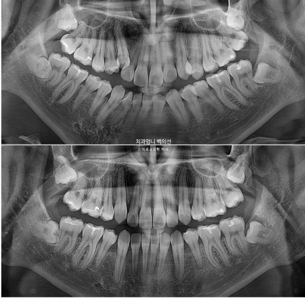
치근흡수는 없으며 치근평행도는 양호합니다

