아카이브 요약
이 페이지의 역할
연세바로치과의원의 네이버 블로그 원문을 보존한 아카이브 페이지입니다. 치아교정 카테고리의 급속 교정 앞니부분교정 치료 무삭제 라미네이트 후기 글을 통해 병원의 한국어 정보 제공 방식과 진료 관련 안내 톤을 확인할 수 있습니다.
원문 검증
필요하면 원문 블로그와 병원 프로필로 바로 이동해 문맥을 다시 확인할 수 있습니다.
출처 아카이브 열기아카이브된 블로그 글
연세바로치과의원 · 치과미슐랭
안녕하세요 오늘 급속교정 앞니부분교정 치료 후기 들려드리겠습니다. 왜소치 덧니 단기 교정치료입니다. 급속교정 앞니 부분교정 그리고 무삭제 라미네이트 젤라미까지 치료 한 후기입니다 23.10~24.05 덧니와 왜소치, 과개교합, 중심선 불일치 등 문제가 복잡해보이지만, 앞니 부분교정으로 단기간에 어떤 결과까지 가능한...
게시일
2025년 7월 18일
원문 기준으로 확인된 발행일입니다.
카테고리
치아교정
원문 블로그 카테고리를 정리해 함께 표시합니다.
이미지 수
16
현재 아카이브에 연결된 이미지 수입니다.
아카이브 요약
연세바로치과의원의 네이버 블로그 원문을 보존한 아카이브 페이지입니다. 치아교정 카테고리의 급속 교정 앞니부분교정 치료 무삭제 라미네이트 후기 글을 통해 병원의 한국어 정보 제공 방식과 진료 관련 안내 톤을 확인할 수 있습니다.
원문 검증
필요하면 원문 블로그와 병원 프로필로 바로 이동해 문맥을 다시 확인할 수 있습니다.
출처 아카이브 열기안녕하세요 오늘 급속교정 앞니부분교정 치료 후기 들려드리겠습니다.
왜소치 덧니 단기 교정치료입니다.
급속교정 앞니 부분교정 그리고 무삭제 라미네이트 젤라미까지 치료 한 후기입니다

23.10~24.05
덧니와 왜소치, 과개교합, 중심선 불일치 등 문제가 복잡해보이지만, 앞니 부분교정으로 단기간에 어떤 결과까지 가능한지 보여드리겠습니다.
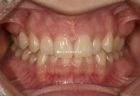
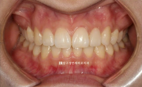
송곳니 덧니 등 앞니를 가지런하게 만들고 싶어 내원하신 분 입니다.

23.10
결혼을 앞두고 계셔서 전체교정은 부담스럽다 하셨고 최소한의 개입만으로 단기교정치료를 원하셨습니다.
다행히 어금니 교합이 양호한 편이고 앞니 부분교정도 권유드렸습니다.
앞니 부분교정만으로도 전체교정 못지 않은 좋은 결과를 얻을 수 있을 때에만 앞니 부분교정을 권유드립니다.
전체교정이 불가피하다면 앞니부분교정을 권유드리지 않습니다.

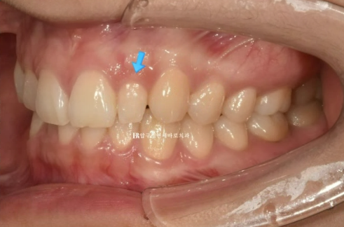
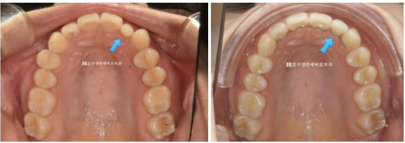
23.10
파란 화살표는 왜소치이고 앞니를 제외한 뒤쪽 어금니 배열은 양호합니다.

23.10
파란 화살표는 왜소치입니다.
덧니나 왜소치가 있는 경우라면 앞니 중심선이 그쪽으로 쏠려있는 경우가 많습니다.
앞니 부분교정에서는 중심선을 포기하는 경우가 많지만 이 왜소치를 정상 사이즈로 회복하는 라미네이트 치료를 하게 되면
중심선까지 맞춰서 마무리가 가능합니다.
따라서 앞니 부분교정 후에 왜소치 무삭제 라미네이트 치료도 추천드렸습니다.

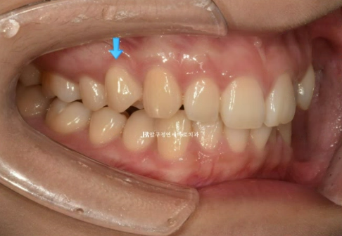
23.10
우측 사진에서 첫번째 작은어금니 교합이 떠 있는 것이 보입니다.
통상 앞니 부분교정은 송곳니에서 송곳니까지 6개 앞니만을 대상으로 하지만, 작은 어금니 교합도 개선하기 위해서
송곳니 뒤쪽 1개씩 총 8개 치아에 장치를 붙이기로 했습니다.

24.05
치료 마무리 단계의 사진입니다.
위 8개 아래 8개 앞니에만 장치를 붙여서 부분교정 진행중입니다.
왜소치에 라미네이트가 들어갈 공간 확보를 위해 스프링이 들어가있습니다.

24.05
7개월 후 교정이 마무리가 되었으며 왜소치 근처에 라미네이트가 들어갈 공간이 마련되어 있습니다.

24.05
이 공간을 이용해서 무삭제 라미네이트 라미네이트 젤라미까지 완료한 모습입니다.

24.05
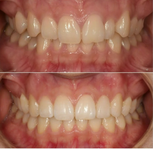
반대쪽 치아와 같은 사이즈와 모양으로 왜소치가 회복이 되었습니다.

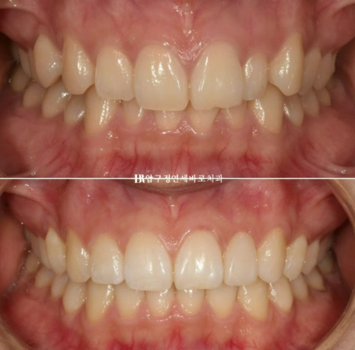
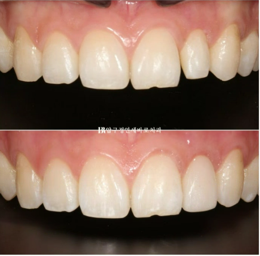
23.10~24.05
파란 화살표 왜소치는 정상크기로 치료가 되었습니다.

23.10~24.05
삐뚤한 앞니도 가지런해졌습니다.

23.10~24.05
교합이 떠 있던 작은어금니도 제자리를 찾았습니다.

앞니가 깊게 물리는 과개교합도 어느정도 해결이 되었습니다.
중심선 개선도 눈에 띕니다.

23.10~24.05
앞니 교정으로 이 많은 것들이 좋아졌습니다.
미소는 자연스럽게 개선이 됩니다.
앞니부분교정은 워낙 단기 치료라 일부 치아들에 한해서 진행이 됩니다.
사실상 1~2년이 걸리는 전체교정과 비교하면 많은 것들을 포기해야 한다고 알기 쉬운데요
적절한 치료 계획화 실력이 있다면 부분교정으로도 많은 것들을 해결할 수 있습니다.
고민이신 분들에게 도움이 되시길 바랍니다.

