아카이브 요약
이 페이지의 역할
연세바로치과의원의 네이버 블로그 원문을 보존한 아카이브 페이지입니다. 인비절라인 퍼스트 카테고리의 어린이 투명교정 인비절라인 틴 덧니 교정 후기 글을 통해 병원의 한국어 정보 제공 방식과 진료 관련 안내 톤을 확인할 수 있습니다.
원문 검증
필요하면 원문 블로그와 병원 프로필로 바로 이동해 문맥을 다시 확인할 수 있습니다.
출처 아카이브 열기아카이브된 블로그 글
연세바로치과의원 · 치과미슐랭
안녕하세요. 압구정 교정치과 입니다. 오늘은 어린이 투명교정 이야기를 들려드리겠습니다. 어린이 투명교정이지만, 인비절라인 퍼스트가 아닌 인비절라인 틴 이라는 치료를 보여드리겠습니다. 어린이 투명교정 인비절라인 틴은 청소년용 인비절라인 입니다. 성인 인비절라인 교정과 다른 점은 성장기 무턱이나 비대칭에 쓰이는 약정형 장치...
게시일
2025년 7월 22일
원문 기준으로 확인된 발행일입니다.
카테고리
인비절라인 퍼스트
원문 블로그 카테고리를 정리해 함께 표시합니다.
이미지 수
18
현재 아카이브에 연결된 이미지 수입니다.
아카이브 요약
연세바로치과의원의 네이버 블로그 원문을 보존한 아카이브 페이지입니다. 인비절라인 퍼스트 카테고리의 어린이 투명교정 인비절라인 틴 덧니 교정 후기 글을 통해 병원의 한국어 정보 제공 방식과 진료 관련 안내 톤을 확인할 수 있습니다.
원문 검증
필요하면 원문 블로그와 병원 프로필로 바로 이동해 문맥을 다시 확인할 수 있습니다.
출처 아카이브 열기안녕하세요.
압구정 교정치과 입니다.
오늘은 어린이 투명교정 이야기를 들려드리겠습니다.
어린이 투명교정이지만, 인비절라인 퍼스트가 아닌 인비절라인 틴 이라는 치료를 보여드리겠습니다.

어린이 투명교정 인비절라인 틴은 청소년용 인비절라인 입니다.
성인 인비절라인 교정과 다른 점은 성장기 무턱이나 비대칭에 쓰이는 약정형 장치 기능을 하는 MA(mandible advance) 라는 기능을 추가할 수 있습니다.
그러나 기본적으로 영구치열의 청소년은 성인과 동등하게 보기 때문에 비용이나 보증기간은 성인용 프로그램과 같습니다.
만약 아이가 유치가 남은 상태에서는 나이만 만 11세 이하라면 인비절라인 퍼스트 어린이 교정이 가능합니다.
인비절라인 퍼스트는 비용은 성인이나 청소년용보다 저렴하지만 보증기간이 18개월로 비교적 짧습니다.
즉 어린이지만 치아 나이가 또래보다 빨라서 유치가 일찍 바져버린 경우에는 부득이하게 인비절라인 퍼스트는 적용이 불가능합니다.
인비절라인 틴으로 장치 주문을 넣어야 합니다.
오늘은 인비절라인 틴으로 치료한 어린이 교정 이야기를 해드리겠습니다.

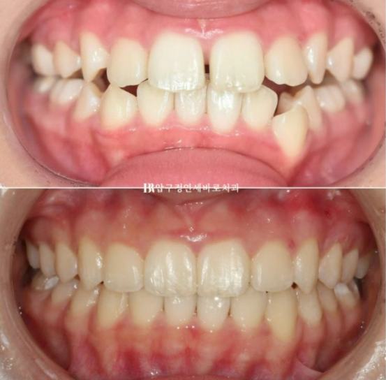
22.07
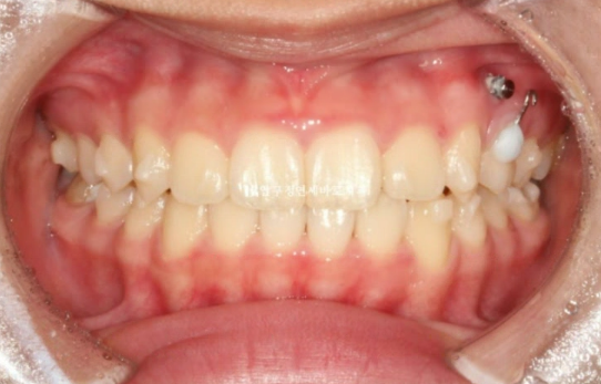
22년 7월 본원에 교정치료를 위해 내원한 만 10세 어린이 입니다.
이미 다른 소아치과에서 교정 중 내원했고 모델활동하는 친구여서 앞니가 가지런해야 했습니다.
일찍이 앞니 4개에 배열용 2D 장치를 부착하고 배열하고 있습니다.
헤드기어라는 상악골 억제 장치도 꼈습니다.

22.07
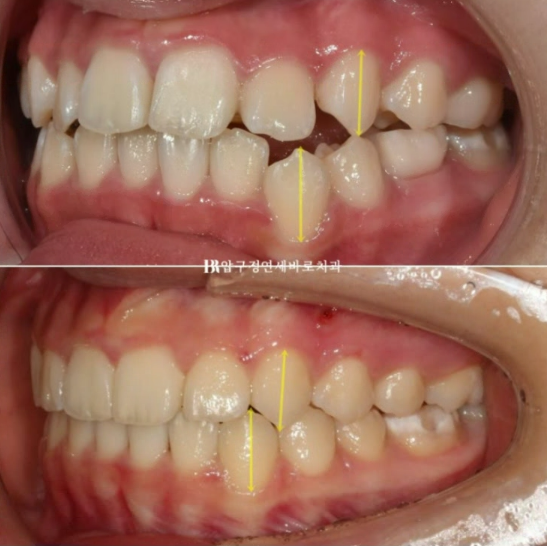
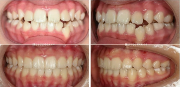
앞니는 가지런해졌지만 비대칭을 고치고 싶어하셨습니다.
엑스레이 분석 상 턱의 비대칭은 아니였고 단지 치아 중심선이 틀어진 것이므로 교정으로 해결이 가능했습니다.
실제로 얼굴 전체로 보면 인중에 비하여 위 앞니 중심선이 한쪽으로 쏠려있었습니다.
아마 본원 오기 전 타 치과에서 헤드기어로 치료했다고 하는데 좌우 힘의 균형이 안 맞으면서 생긴 부작용으로 생각됩니다.
악정형 장치는 악골에 힘을 주는 장치로 단순히 치아를 움직이는 힘보다도 훨씬 큰 힘을 줍니다.
따라서 치료 과정 내내 디테일한 조정과 모니터링이 중요합니다.
헤드기어라는 장치가 현재 아이 턱 성장 패턴에 유리하게 작용하는 장치는 맞아서 차라리 타원에서 끼던 헤드기어를 좀 더 끼고 유치가 다 빠지고 나면 교정치료를 들어가기로 했습니다.

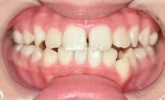
2022.12
6개월 후 정기체크를 했고 남아있던 유치가 빠지고 영구치가 올라오는 중입니다.
영구치가 완전히 올라올때까지 몇 개월 더 기다리기로 했습니다.
이후 7개월이 지났고 23년 8월에 드디어 인비절라인 교정치료 들어간 사진입니다.

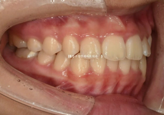
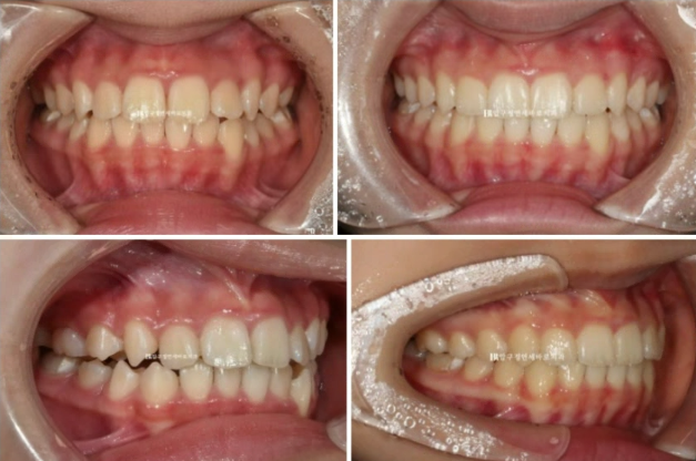
23.08
오른쪽 교합은 나쁘지 않습니다.

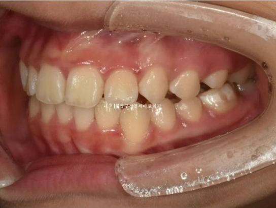
23.08
왼쪽은 3급 교합관계 때문에 왼쪽 어금니는 잘 안 물리고 이것이 앞니에 영향을 주어 위 앞니 중심이 인중과 얼굴에 비하여 틀어져 있습니다.
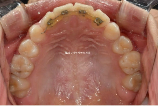
장치 제작에 들어갔고 23년 9월부터 드디어 첫 세트의 1단계 장치를 끼기 시작했습니다.

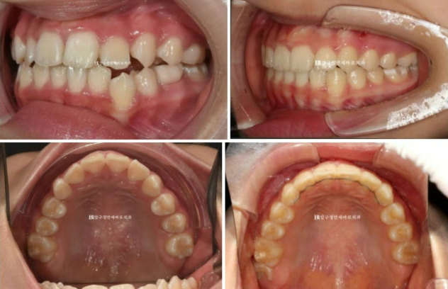
24.03
약 7개월에 걸쳐 첫번째 세트를 모두 낀 후의 모습입니다.

24.03
이미 한쪽으로 쏠려버린 중심선을 얼굴 및 인중과 맞추는 교정은 간단해 보이지만 간단하지 않습니다.
어금니의 문제가 앞니까지 이어온 것이므로 한쪽 어금니 전체의 이동이 수반이 되어야 합니다.
왼쪽 위 어금니를 앞으로 끌어오기 위해서 잇몸에 교정용 미니스크류도 심고 뺏다꼈다 하는 고무줄도 쓰면서 진행했습니다.
재제작 후 추가장치에서는 작은어금니를 뿌리까지 평행하게 땡겨오기 위한 장치가 추가되었습니다.

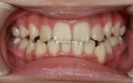
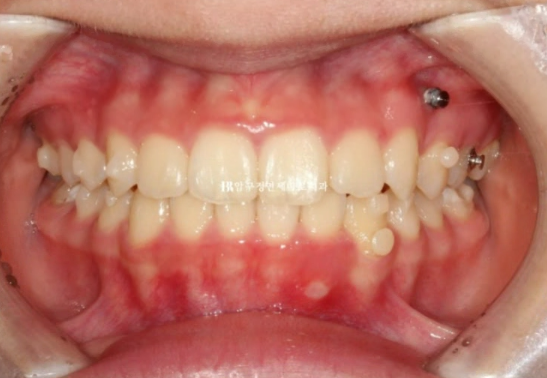
24.07
그리고 추가장치를 4달간 더 낀 후의 모습입니다.
중심선은 잘 맞아졌습니다.

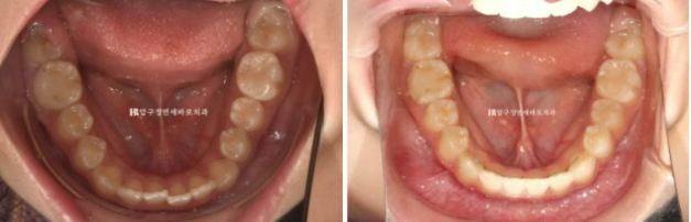
24.07
교합도 좋습니다.

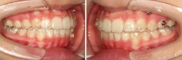
23.08~24.07
무엇보다 한쪽의 3급 어금니 교합관계는 1급이 되었습니다.
치료가 잘 끝났으니 1년간의 변화를 보겠습니다.



23.08~24.07

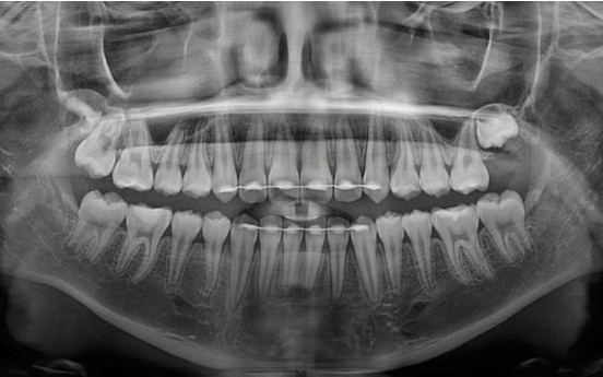
24.07
뿌리 평행도도 좋습니다.

22.12~24.07
어린이 교정에 있어서 소아교정의 한계를 설명하기 보다는 어린이 환자지만 성인때 교정을 안 해도 될만큼 완벽한 교합 만들기를 목표로 진료합니다.

