아카이브 요약
이 페이지의 역할
연세바로치과의원의 네이버 블로그 원문을 보존한 아카이브 페이지입니다. 인비절라인 카테고리의 인비절라인 익스프레스 토끼이빨 앞니교정 ? 글을 통해 병원의 한국어 정보 제공 방식과 진료 관련 안내 톤을 확인할 수 있습니다.
원문 검증
필요하면 원문 블로그와 병원 프로필로 바로 이동해 문맥을 다시 확인할 수 있습니다.
출처 아카이브 열기아카이브된 블로그 글
연세바로치과의원 · 치과미슐랭
안녕하세요. 오늘은 인비절라인 익스프레스 소개해드리겠습니다. 토끼이빨 앞니교정 치료 케이스입니다. 토끼이 교정은 쉽고 빠르게 치료가 되는 대표적인 부정교합입니다. 혹시 토끼이빨 앞니교정 하고 싶으신 분들이 있으시다면 교정치과에 내원하셔서 상담 받아보세요. 인비절라인으로 토끼이 앞니 부분교정을 치료하기도 합니다. 인비절...
게시일
2025년 7월 23일
원문 기준으로 확인된 발행일입니다.
카테고리
인비절라인
원문 블로그 카테고리를 정리해 함께 표시합니다.
이미지 수
18
현재 아카이브에 연결된 이미지 수입니다.
아카이브 요약
연세바로치과의원의 네이버 블로그 원문을 보존한 아카이브 페이지입니다. 인비절라인 카테고리의 인비절라인 익스프레스 토끼이빨 앞니교정 ? 글을 통해 병원의 한국어 정보 제공 방식과 진료 관련 안내 톤을 확인할 수 있습니다.
원문 검증
필요하면 원문 블로그와 병원 프로필로 바로 이동해 문맥을 다시 확인할 수 있습니다.
출처 아카이브 열기안녕하세요.
오늘은 인비절라인 익스프레스 소개해드리겠습니다.
토끼이빨 앞니교정 치료 케이스입니다.
토끼이 교정은 쉽고 빠르게 치료가 되는 대표적인 부정교합입니다.
혹시 토끼이빨 앞니교정 하고 싶으신 분들이 있으시다면 교정치과에 내원하셔서
상담 받아보세요.
인비절라인으로 토끼이 앞니 부분교정을 치료하기도 합니다.
인비절라인은 치료 난이도에 따라 크게 세가지 카테고리 프로그램을 두고 있습니다.
장치 7개 안에서 해결이 가능한 부정교합이면 인비절라인 익스프레스
장치 14개 안에서 해결이 가능한 부정교합이면 인비절라인 라이트
그 이상의 장치가 필요한 복잡한 부정교합은 인비절라인 컨프리헨시브

인비절라인 익스레스 24.02~24.07
오늘은 인비절라인 익스프레스로 토끼이 덧니 교정 치료한 증례를 보고 이야기 해보겠습니다.

24.02
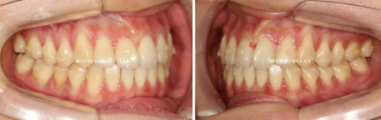
올해 2월에 앞니 덧니를 치료하고자 오신 환자분입니다.
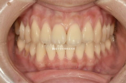
앞에서 보면 별 문제 없어 보이죠?

앞니 두 개가 튀어나온 토끼이이고 특히 우측 앞니가 많이 들려있습니다.

어금니 교합은 좋은 상태여서 인비절라인 익스프레스를 권유드렸습니다.
인비절라인 익스프레스는 장치가 단 7개가 배송이 되어 오고 재제작 1회가 남아있습니다.

인비절라인 치료계획을 클린체크 라고 부릅니다.
이 환자분의 클린체크 보겠습니다.
앞니 부분교정에서 치아가 배열될 소량의 공간을 얻는 목적, 그리고 성인들 교정 후 필연적으로 생기는 블랙트라이앵글의 축소를 위한 목적의 두가지 목적으로 치간삭제를 앞니 사이사이 부위당 0.2~0.3m씩 배치했습니다.
클린체크에서 한 가지 더 주목할 점은 좋은 어금니 교합을 유지하기 위해서 큰어금니 위치를 이동없음 으로 설정해 놓는 것 입니다.
진회색으로 표시된 치아가 치료 전 후 이동이 전혀 없는 치아가 됩니다.
이 이동없음 설정이 필요한 경우는 꽤 많습니다.
이 환자분과 같이 7단계 안에 좋은 결과를 얻기 위해서 불필요한 치아이동량을 최소화 하기 위해서 이기도 하고
임플란트가 있는 경우 임플란트 치아를 이동없음으로 해놓기도 합니다.
또 영구치 결손으로 인해 잔존유치를 최대한 오래 보전하여 쓰기로 한 경우도 유치가 교정력을 받지 않도록 이동없음으로 설정해 놓습니다.
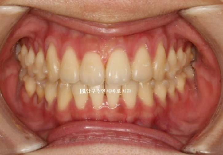
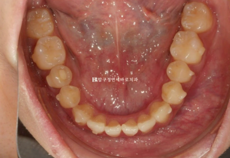
24년 3월부터 24년 4월까지 두달간 첫세트 7개의 장치를 다 낀 모습입니다.

24.04

24.04

24.04

24.04
앞니 배열은 97%정도 완료가 되었습니다.
미세하게 덜 돌아간 치아들과 미세한 공간들을 마무리 하기 위해 추가제작 즉 재제작에 들어갑니다.
재제작 후 장치를 기다리는 시간은 한 달 입니다.
한달간은 전 세트의 마지막 7번 장치를 잘 때만 끼면서 쉬는 시간을 갖게 됩니다.
그렇게 24년 7월까지 두 달간 추가로 나온 장치까지 다 낀 후 치료 마무리 했습니다.
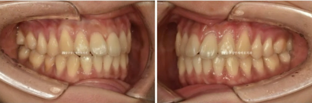
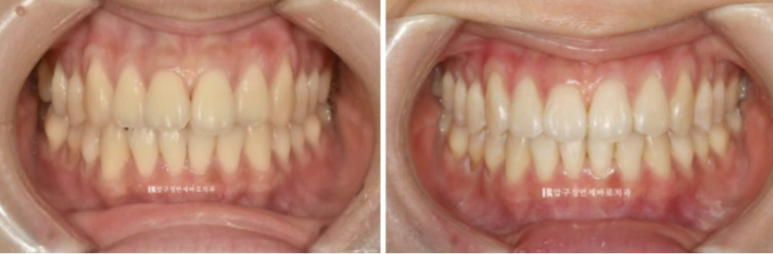
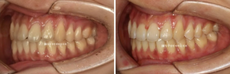
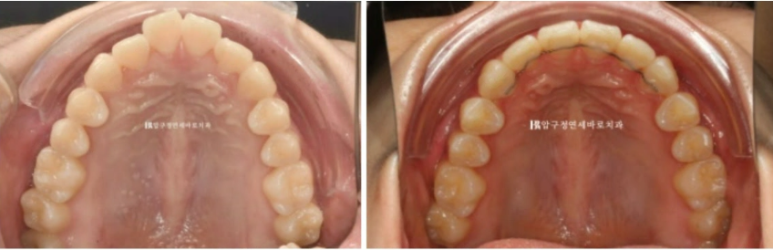
치료 전 - 후 입니다.
초진은 24.02 치료 종료는 24.07입니다.

24.02~24.07
소량의 치간삭제로 블랙트라이앵글 없이 치료를 마무리 했습니다.

24.02~24.07

24.02~24.07
좋은 교합은 유지가 되었고

24.02~24.07
토끼이는 정상 배열을 찾았습니다.

24.02~24.07

깔끔해진 미소 보이시죠?

장치 제작 기간을 제외한 실제 치료기간은 2개월씩 두 번 총 4개월입니다.
토끼이 교정이 하고 싶은데 보이는 장치가 부담스러워 교정치료를 망설이는 분들에게
도움이 되셨으면 좋겠습니다.

