아카이브 요약
이 페이지의 역할
연세바로치과의원의 네이버 블로그 원문을 보존한 아카이브 페이지입니다. 인비절라인 카테고리의 인비절라인 비발치 앞니 돌출 교정 치료기간 2년 5개월 글을 통해 병원의 한국어 정보 제공 방식과 진료 관련 안내 톤을 확인할 수 있습니다.
원문 검증
필요하면 원문 블로그와 병원 프로필로 바로 이동해 문맥을 다시 확인할 수 있습니다.
출처 아카이브 열기아카이브된 블로그 글
연세바로치과의원 · 치과미슐랭
안녕하세요 오늘은 인비절라인 컴프레헨시브로 치료한 증례들을 보면서 비발치로 앞니돌출과 덧니를 개선하는 과정을 보여드리겠습니다 특히 많은 예비교정인들이 궁금해 하시는, 인비절라인 치료과정상 부득이 어금니가 떠서 잘 안물리는 부분에 대한 이야기도 할 예정입니다. 2022.10~2025.03 돌출입과 비대칭을 주소로 인비절라인...
게시일
2025년 7월 24일
원문 기준으로 확인된 발행일입니다.
카테고리
인비절라인
원문 블로그 카테고리를 정리해 함께 표시합니다.
이미지 수
21
현재 아카이브에 연결된 이미지 수입니다.
아카이브 요약
연세바로치과의원의 네이버 블로그 원문을 보존한 아카이브 페이지입니다. 인비절라인 카테고리의 인비절라인 비발치 앞니 돌출 교정 치료기간 2년 5개월 글을 통해 병원의 한국어 정보 제공 방식과 진료 관련 안내 톤을 확인할 수 있습니다.
원문 검증
필요하면 원문 블로그와 병원 프로필로 바로 이동해 문맥을 다시 확인할 수 있습니다.
출처 아카이브 열기안녕하세요
오늘은 인비절라인 컴프레헨시브로 치료한 증례들을 보면서 비발치로 앞니돌출과 덧니를 개선하는 과정을 보여드리겠습니다
특히 많은 예비교정인들이 궁금해 하시는, 인비절라인 치료과정상 부득이 어금니가 떠서 잘 안물리는 부분에 대한 이야기도 할 예정입니다.

2022.10~2025.03
돌출입과 비대칭을 주소로 인비절라인 교정치료를 위해 찾아 온 환자분입니다.
멀리 지방에서 오느라 내원간격이 중요한 분이었습니다.
집중할 때 꽉 무는 버릇 때문에 평소 턱이 아픈 증상도 있었습니다.

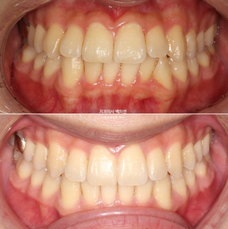
2022.10
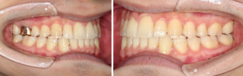
중심선 불일치가 보입니다.
골격적 비대칭은 경미하나 앞니 중심선이 많이 달라 비대칭감을 크게 느끼고 있는 상태입니다.

2022.10
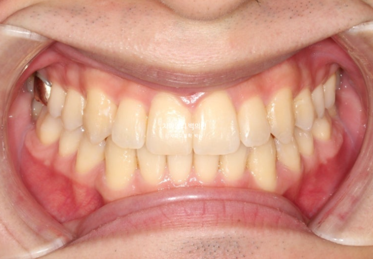
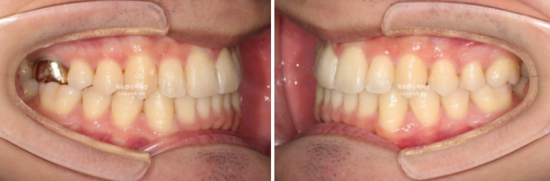
구치부 교합은 3급이며 앞니 뻗침이 보입니다.
입술이 돌출된건 아니지만 말하거나 웃을때 앞니가 뻗쳐있어 돌출감을 느끼는 상태입니다.

22.10
송곳니가 많이 회전이 되어있고

22.10
송곳니를 포함한 앞니 치아들이 겹쳐져 있습니다.
의대생 환자분이 본과생으로 재학중인 대학병원에서 진단 받기로는 작은어금니 4개 발치를 하지 않으면 입이
처음보다 나올 거라고 진단을 받았다고 합니다
저의 진단은 다릅니다. 입술 돌출이 없고 사랑니 공간이 충분하니 작은어금니 발치 없이 사랑니 공간으로 어금니를 밀어내어 앞니 뻗친 각도와 덧니를 개선하는 치료를 권유드렸습니다.
만약 환자분이 입술돌출이 있고 사랑니 공간이 없었다면 저 역시 작은어금니 발치교정을 권유했을 것 입니다.
잠깐 다른 이야기를 해보자면, 초진 진단 상담 시 상담 마지막에
<다른 병원에서는 발치교정이 인비절라인으로 안된다고 하던데 왜 여기서는 된다고 하죠?>
라고 물으시는 분들이 있습니다.
이 경우라면 안된다고 했던 원장님에게 왜 안된다고 하는 지 물어보는게 빠를 수 있습니다.
교정 원장님이 권유하는 치료는 그 원장님이 가장 자신있는 치료입니다.
자신 있다는 말은 치료 경험이 많고 결과가 보장된다는 말입니다.
환자가 아닌 원장 입장에서 당연하지만 많은 환자분들이 간과하는 사실을 알려드리겠습니다.
실력과 관계없이 어느정도 진료 경험이 누적이 되었다면
과연 A방법으로 치료했을 때 치료가 잘 될지 잘 안될지는 원장입장에서는 충분히 예측이 됩니다.
치료가 잘 안될 것 같다면 또는 A라는 치료방법에 대한 경험이 전무하다면 당연히 환자분에게 그 치료법으로 치료하면 결과가 안 좋습니다.라고 설명을 하겠죠.
원장님이 치료 결과에 대한 기준이 어느정도 높다는 전제하에 치료가 잘 진행이 안되면 환자분과 병원 모두 힘듭니다.
당연히 안되는 치료는 안된다고 말씀드립니다.
어떤 원장님이 권유하는 치료법은 그 원장님이 가장 자신있고 결과를 책임질 수 있는 치료구나 라고 생각하시면 됩니다.
환자분은 작은어금니 4개 발치교정이 필요하다라는 대학병원 진단과는 별개로 저희 진단과 치료계획을 믿고 치료를 시작하셨습니다. 늘 이야기 하지만 좋은 원장님을 만나서 교정치료가 잘되는 것은 환자분의 복입니다.
첫 세트 장치는 79개가 나왔고 일주일씩 교체한다면 1년 8개월이 예상이 됩니다.
물론 이 기간은 환자분의 착용 시간과 협조도에 따라 달라집니다.

환자분이 지방에 거주하여 3달에 한번씩 내원했고 중간중간 장치 교체 주기가 7일보다 길어진 시기도 있습니다.
그래서 79개 장치를 다 끼는데 예상보다 길어진 1년 11개월이 걸렸습니다
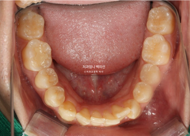
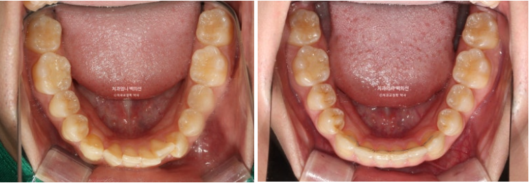
22년 10월에서 24년 9월까지 1년 11개월간 79개 장치를 모두 낀 후 모습입니다.

24.09
앞니 중심선 불일치가 많이 좋아졌으나 아직 완벽하게 맞진 않습니다.

24.09
어금니 교합도 교합관계 자체는 1급으로 좋아졌으나 위아래 틈이 보입니다.
교합과 중심선을 좀 더 개선하고자 추가장치 재제작에 들어갔습니다
24년 10월부터 25년 3월까지 고무줄을 끼면서 6개월간 추가장치 치료까지 하고 모든 치료를 마무리 했습니다.

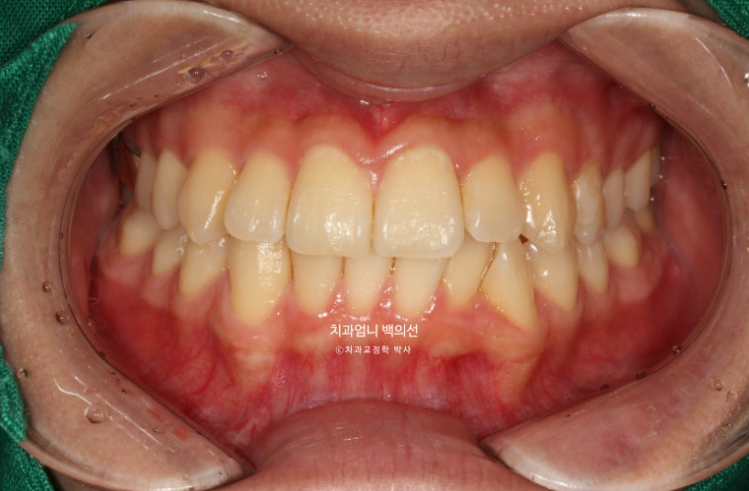
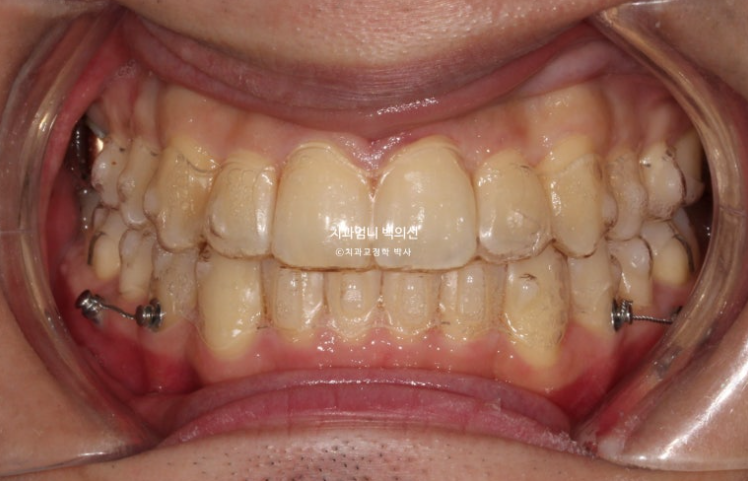
25.03
치료 후 중심선은 완벽하게 맞습니다.
여기서 잠깐 인비절라인 교정은 교합이 안 좋게 끝난다 라는 썰에 대한 설명을 해드리겠습니다.

25.03
1급 교합관계가 드디어 달성이 되었다라는 전제하에 (교합관계조차 엉망인데 교합이 안 좋게 끝난다라는 상황은 제외) 사진과 같이 위아래 어금니가 약간 뜨는 현상이 생깁니다.
그 이유에 대한 sci 논문입니다.
이해하기 쉽게 정리를 해드리겠습니다.
인비절라인은 치아 옆부분에만 장치가 들어가는 철사교정과 다르게 씹는 면 즉 교합면을 장치가 덮습니다.
상악 하악 장치 두께를 합친 것 만큼 교합면에 씹히는 장치 부분이 부득이하게 존재하고 이것때문에 의도치 않아도 어금니가 0.9mm 가량 함입이 됩니다.
씹는 힘이 치아를 뼛속 방향으로 밀어넣는 함입력으로 작용하는 것 입니다.
무는 힘이 센 분들은 이 현상이 더 두드러집니다.
구치부 함입의 원인이 장치 씹힘 이기때문에 인비절라인 치료 후 장치를 더 이상 안 끼게 된다면 장치가 씹히는 현상 때문에 함입이 되었던 어금니가 자연스레 다시 생리적인 원래 위치를 찾으면서 소량 내려옵니다.
즉 구치부 교합 안정화가 일어나 어금니가 잘 안닿던게 잘 닿게 됩니다.
이 기간은 통상 2주 정도 입니다.

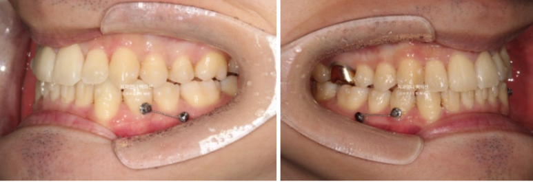
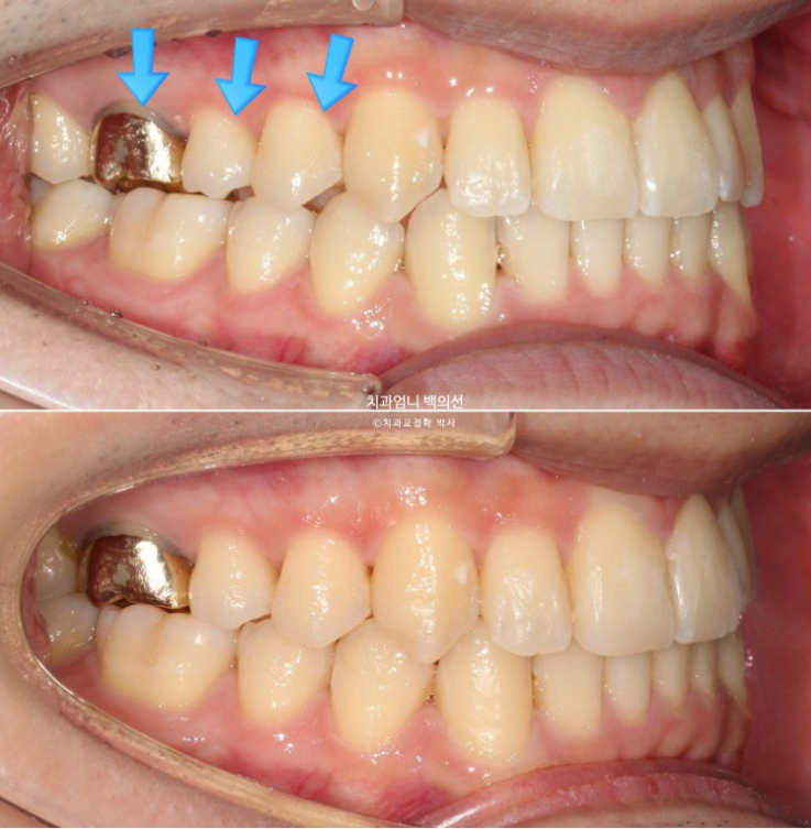
2주 후
2주간 마지막 인비절라인 장치의 어금니 부분을 잘라내고 잘 때만 끼면 사진과 같은 변화가 나타납니다.
어금니에 타이트하고 이븐한 교합이 자연스레 형성됩니다.

2주 후

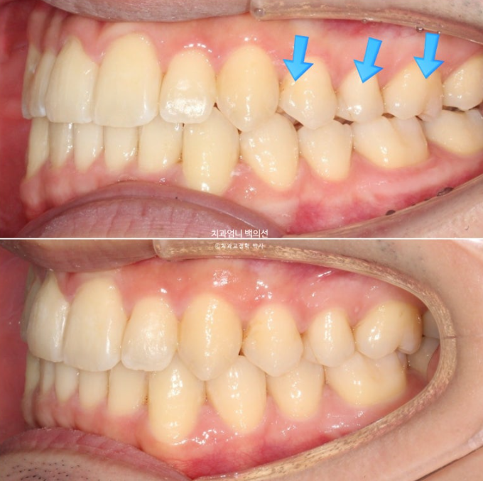
2주 후
파란 화살표 부분이 치료 마무리 직후 논문대로 어금니 교합이 0.9mm 떠있는 상태라고 보시면 됩니다.
아래 사진은 2주간 교합 안정화를 거쳐 어금니가 잘 닿게 된 모습입니다.
특히 환자분은 교정 후 가철식 유지장치로 비베라를 원했는데 비베라 제작을 위해서는 먼저 어금니 교합 안정화가 반드시 선행이 되어야 합니다.
어금니가 뜬 상태로 비베라가 제작이 되면 안되겠죠?
만약 썰컴 유지장치를 제작한다면 이야기가 좀 다릅니다.

2022.10~2025.03

2022.10~2025.03

2022.10~2025.03
아무리 비베라 유지장치를 끼더라도 철사 유지장치는 필수입니다.
안모에서는 어떤 변화가 있을까요?

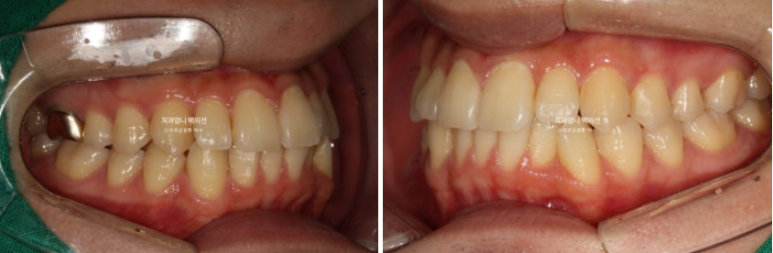
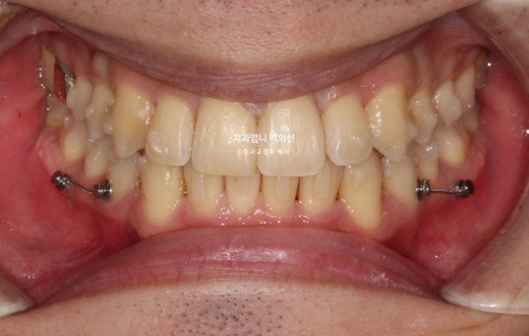
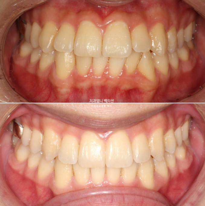
2022.10~2025.03
뻗쳐있던 앞니와 송곳니가 개선이 되고 스마일라인이 잘 정돈이 되었습니다.
앞니 기울기와 중심선이 개선이 되니 비대칭처럼 보이던 것도 해소됩니다.

2022.10~2025.03
앞니 뻗침이 개선이 되었습니다.

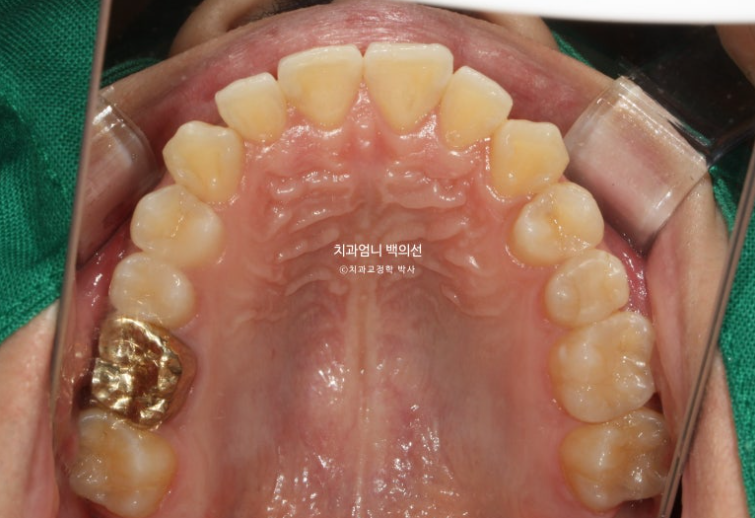
2022.10~2025.03
앞니가 뒤로 2mm 들어갔으나 윗입술은 변화 없고 아랫입술은 소량 뒤로 들어갔습니다.
아랫입술은 아래 앞니 후방이동량에 대한 변화가 predictable 하고 linear 하나 윗입술은 그에 비하면 덜한데 이에 대한 이야기를 하자면 또 길어지니 다음기회에 설명드리겠습니다.
환자분은 현재 비베라 착용 중이시며 이악물기 습관 개선을 위해 교정 완료 후 보톡스 치료도 받으셨습니다.
인비절라인 교정치료를 앞둔 분들에게 이 포스팅이 도움이 되길 바랍니다.

