아카이브 요약
이 페이지의 역할
연세바로치과의원의 네이버 블로그 원문을 보존한 아카이브 페이지입니다. 치아교정 카테고리의 30대 돌출입 발치교정 입술부전증 치료 글을 통해 병원의 한국어 정보 제공 방식과 진료 관련 안내 톤을 확인할 수 있습니다.
원문 검증
필요하면 원문 블로그와 병원 프로필로 바로 이동해 문맥을 다시 확인할 수 있습니다.
출처 아카이브 열기게시일
2025년 7월 30일
원문 기준으로 확인된 발행일입니다.
카테고리
치아교정
원문 블로그 카테고리를 정리해 함께 표시합니다.
이미지 수
20
현재 아카이브에 연결된 이미지 수입니다.
아카이브 요약
연세바로치과의원의 네이버 블로그 원문을 보존한 아카이브 페이지입니다. 치아교정 카테고리의 30대 돌출입 발치교정 입술부전증 치료 글을 통해 병원의 한국어 정보 제공 방식과 진료 관련 안내 톤을 확인할 수 있습니다.
원문 검증
필요하면 원문 블로그와 병원 프로필로 바로 이동해 문맥을 다시 확인할 수 있습니다.
출처 아카이브 열기안녕하세요
오늘은 30대 돌출입 교정을 위해 내원하신 분 이야기입니다.
발치하면 입이 너무 많이 들어가지 않나요?라는 걱정을 많이들 하십니다.
그렇지만 발치공간을 어떻게 마무리를 하냐에 따라 앞니 넣는 양은 주치의가 조절할 수 있습니다.
발치교정 다 끝났는데 합죽이가 되었다 혹은 옥니가 되었다 속상해하면서 역교정 상담 받으러 다니지 마시고 그전에 꼭 주치의와 중간중간 상의하는 것이 중요하다 라는 이야기입니다.

22.09~25.04
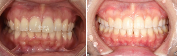
오늘은 입술부전증이 있는 돌출입 발치교정을 할 때 앞니 뒤로 들어가는 양을 어떻게 조절하는 지 보여드리겠습니다.

22.09
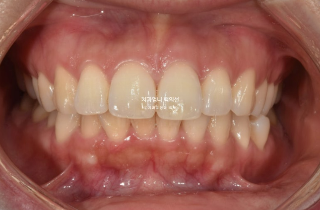
22년 9월, 교정치료를 위해 오신 30대 환자분입니다.

22.09
앞니 돌출에 의한 뚱한 인상 개선과 입술이 잘 안다물어짐을 고치고자 오신 분입니다.

22.09
작은어금니 4개 발치교정 권유드리고 치료에 들어갔고 클리피씨 교정을 선택하셨습니다.
치료시작 1년차인 2023년 9월 발치공간이 절반가량 남은 상황에서 앞니를 더 이상 뒤로 넣지 않는 것이 좋겠다고 판단되었습니다.
그래서 옆얼굴 엑스레이와 사진촬영 자료를 통해 환자분과 상의하고 향후 남은 공간은 어금니를 앞으로 당겨와 발치공간을 마무리 하기로 합니다.

앞니가 더이상 뒤로 들어가지 않도록 유지하며 발치공간을 마무리 하는 것으로 치료계획이 변경 되었습니다.

인류학적 평균치나 정상 범위라는 게 모든 학문에 존재하지만, 그 평균 수치가 내 얼굴과 어울리는 지는 스스로 챙겨보고 주치의의 의견도 듣고 잘 살펴야합니다.
큰어금니를 발치공간으로 끌어오는 방법은 교정용 나사를 앞쪽에 4개를 심고 어금니를 앞으로 끌어주는 고무줄을 겁니다. 큰어금니가 쓰러지지 않고 뿌리까지 잘 당겨져 오려면 힘의 작용점등 생역학적인 고려가 필수입니다.

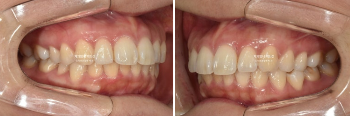
24.06

24.06
그렇게 어금니를 하나하나 끌어내다보니 처음 이야기한 치료기간인 2년이 넘어가기 시작했습니다.
단순히 앞니를 뒤로 넣으면서 발치공간을 없애면 2년만에 치료가 끝났겠지만, 앞니 위치를 지켜내어 어금니를 앞으로 당겨와야 하기때문에 시간이 오래 걸립니다. 특히 교합력이 센 경우 어금니 이동속도가 더딘데 이 경우가 그렇습니다.
그렇게 치료시작 2년 6개월째 후 드디어 치료가 마무리 되었습니다.

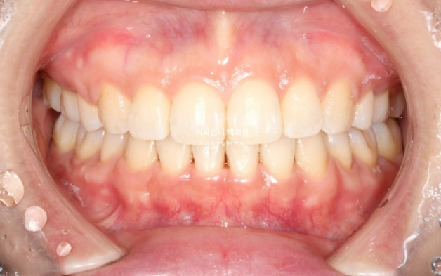
25.04
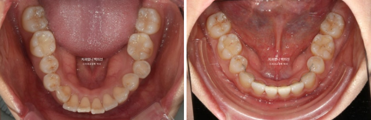
중심선은 잘 맞고

25.04
돌출입 발치교정 입술부전증 치료 후 교합도 좋습니다.
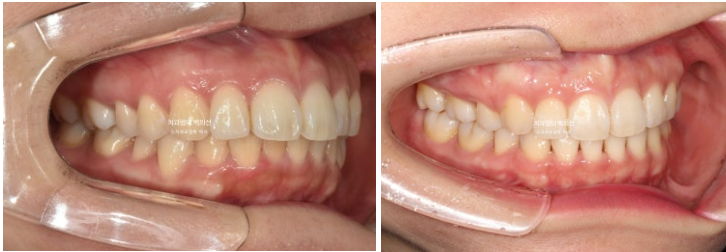
전 후 비교 보겠습니다.

22.09~25.04

22.09~25.04

22.09~25.04

22.09~25.04

22.09~25.04
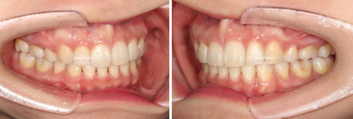
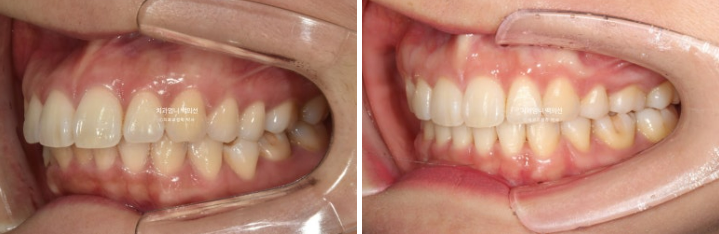
이제 돌출입 발치교정 입술부전증 치료 후 안모 비교 보겠습니다.

22.09~25.04
정돈된 스마일라인과 입동굴이 매력적입니다.

22.09~25.04
치료계획을 변경한 덕에 중간평가 이후 입매가 너무 들어가지 않고 적정선에서 마무리가 잘 되었습니다.

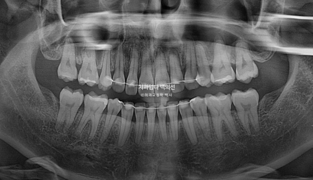
25.04
치근흡수는 없으며 치근평행도는 좋습니다.
돌출때문에 입이 안 다물어지던 입술부전증이 해소가되면서 입이 편하게 다물어 집니다.
돌출입 발치교정을 앞두고 입이 너무 들어갈까봐 걱정하셨던 분들에게 도움이 되길 바랍니다.

