아카이브 요약
이 페이지의 역할
연세바로치과의원의 네이버 블로그 원문을 보존한 아카이브 페이지입니다. 인비절라인 카테고리의 인비절라인 비발치 덧니 교정 반대교합 치료 후기 글을 통해 병원의 한국어 정보 제공 방식과 진료 관련 안내 톤을 확인할 수 있습니다.
원문 검증
필요하면 원문 블로그와 병원 프로필로 바로 이동해 문맥을 다시 확인할 수 있습니다.
출처 아카이브 열기아카이브된 블로그 글
연세바로치과의원 · 치과미슐랭
안녕하세요 압구정 인비절라인 치과입니다. 덧니가 심하면 발치교정이 필요하지만 사랑니 공간을 이용하면 비발치로도 교정이 가능합니다. 오늘은 인비절라인으로 사랑니 공간을 이용해 어금니를 뒤로 밀어넣는 비발치 덧니 교정 증례를 보여드리겠습니다. 덧니쪽으로 쏠려있는 앞니 중심선이 얼굴에 맞춰지는 과정을 중심으로 봐주시면 좋습니다...
게시일
2025년 8월 1일
원문 기준으로 확인된 발행일입니다.
카테고리
인비절라인
원문 블로그 카테고리를 정리해 함께 표시합니다.
이미지 수
24
현재 아카이브에 연결된 이미지 수입니다.
아카이브 요약
연세바로치과의원의 네이버 블로그 원문을 보존한 아카이브 페이지입니다. 인비절라인 카테고리의 인비절라인 비발치 덧니 교정 반대교합 치료 후기 글을 통해 병원의 한국어 정보 제공 방식과 진료 관련 안내 톤을 확인할 수 있습니다.
원문 검증
필요하면 원문 블로그와 병원 프로필로 바로 이동해 문맥을 다시 확인할 수 있습니다.
출처 아카이브 열기안녕하세요
압구정 인비절라인 치과입니다.
덧니가 심하면 발치교정이 필요하지만 사랑니 공간을 이용하면 비발치로도 교정이 가능합니다.

오늘은 인비절라인으로 사랑니 공간을 이용해 어금니를 뒤로 밀어넣는 비발치 덧니 교정 증례를 보여드리겠습니다.
덧니쪽으로 쏠려있는 앞니 중심선이 얼굴에 맞춰지는 과정을 중심으로 봐주시면 좋습니다.
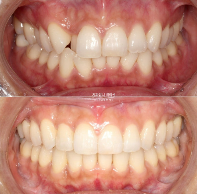
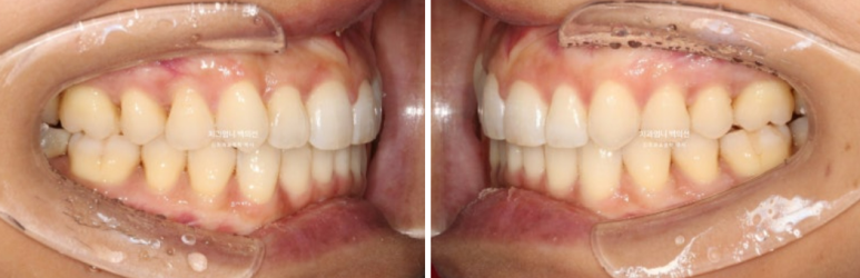
23년 9월 교정치료를 이해 내원하신 분입니다.
고치고 싶은 것은 3가지 입니다.
덧니, 비대칭, 입이 잘 안다물어지는 것

위 아래 앞니 중심선 불일치가 보입니다.
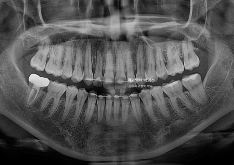
엑스레이를 찍어보면 뼈의 비대칭은 없으나 덧니때문에 위 앞니 중심선이 한쪽으로 쏠려서 비대칭감을 느끼는 상태입니다.

입천장으로 들어가있는 측절치는 아랫니와 반대로 물리는 반대교합 입니다.


덧니가 심하고 입이 잘 안다물어 지기는 하지만 입매 분석시 입술 돌출이 없어서 작은어금니 발치는 하지 않았습니다.
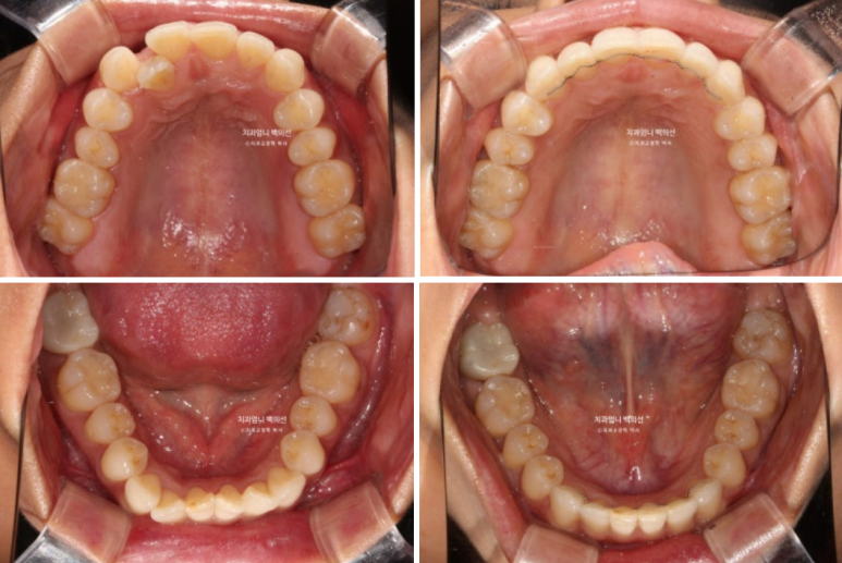
대신 사랑니 공간이 충분해서 사랑니 공간으로 어금니 후방이동을 통해 덧니를 배열하기로 합니다.
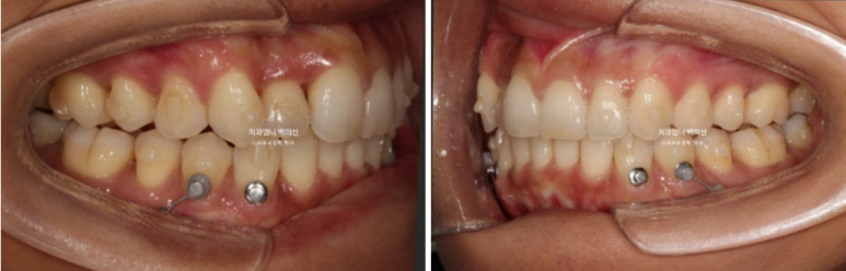
어금니 후방이동에 교정용 나사인 미니스크류는 꼭 필요합니다.
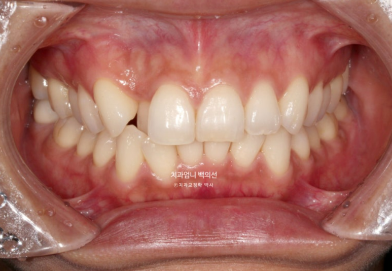
멀리서 오시기에 내원간격 때문에 인비절라인 치료를 선택하셨고 23년 10월부터 24년 8월까지 첫세트 44개 장치를 모두 낀 후 모습입니다

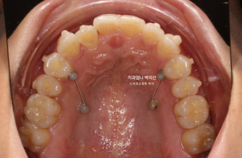
중심선은 잘 맞으나 입천장에 위치했던 축절치가 아직 완벽하게 제자리를 찾지 못했습니다.
덧니의 머리부분은 앞으로 잘 나와 있지만

교합면에서 보면 입천장에 위치했던 덧니 뿌리 부분은 아직 입천장 쪽에 위치해 있습니다.
여담으로 앞니 반대교합이 해소되는 과정에서는 대합치와 엉킨부분이 풀리는 과정에서 서로 먼저 닿는 조기첩촉 시기가 있습니다.
중간 과정상 불가피한 부분이지만 이 시기에는 먼저 닿아 어금니가 잘 안 닿고 해당치아끼리 자주 부딪쳐 불편합니다.

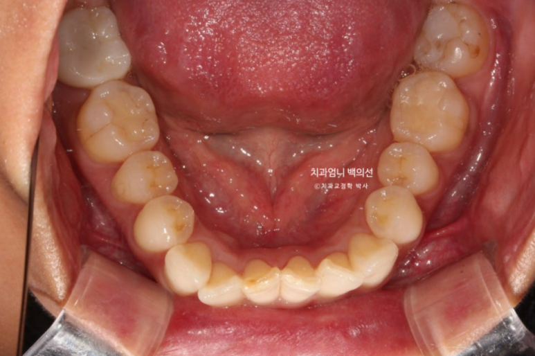
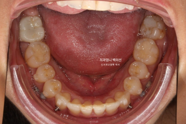
아래치열은 더 이상 고칠 것이 없어보입니다.

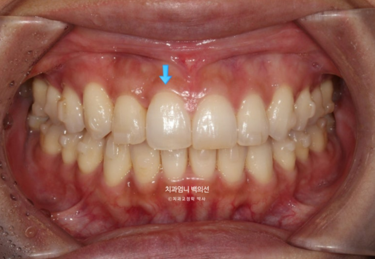
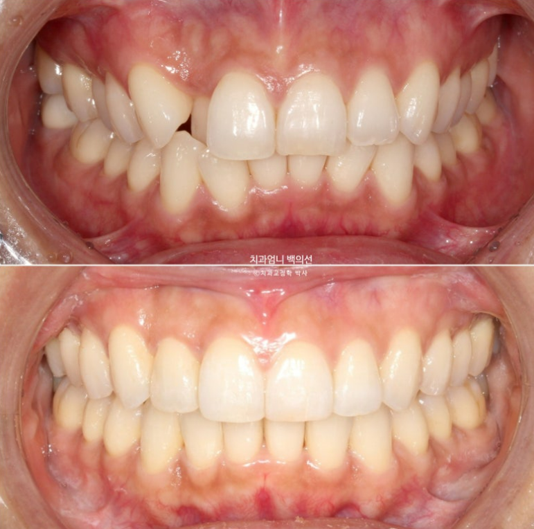
스마일 사진을 찍어 중심선 체크도 합니다

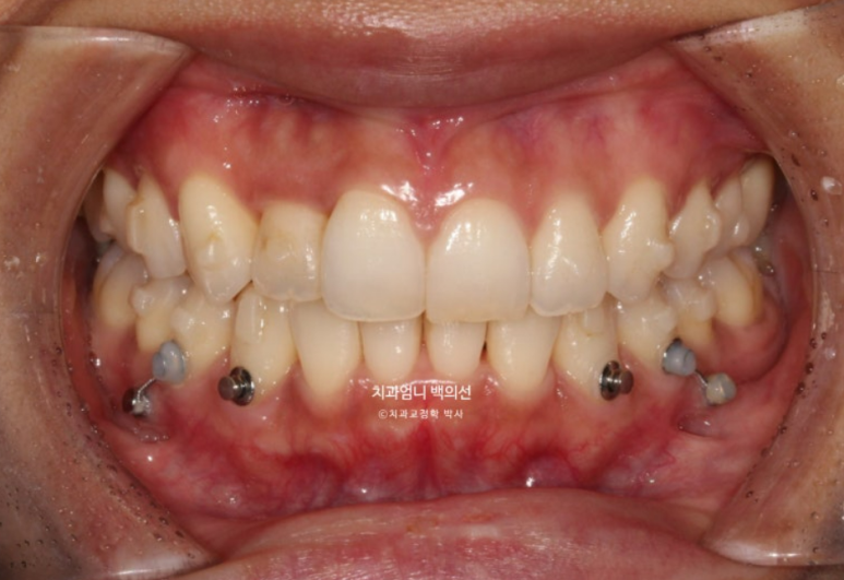
덧니쪽으로 쏠려있던 중심선은 이제 중앙을 찾았습니다.
큰 공사가 끝났으니 이제 자잘한 마무리 공사를 합니다.
재제작 기간은 추가장치 수령까지 약 1달 걸립니다.
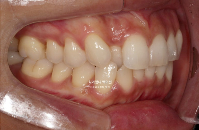
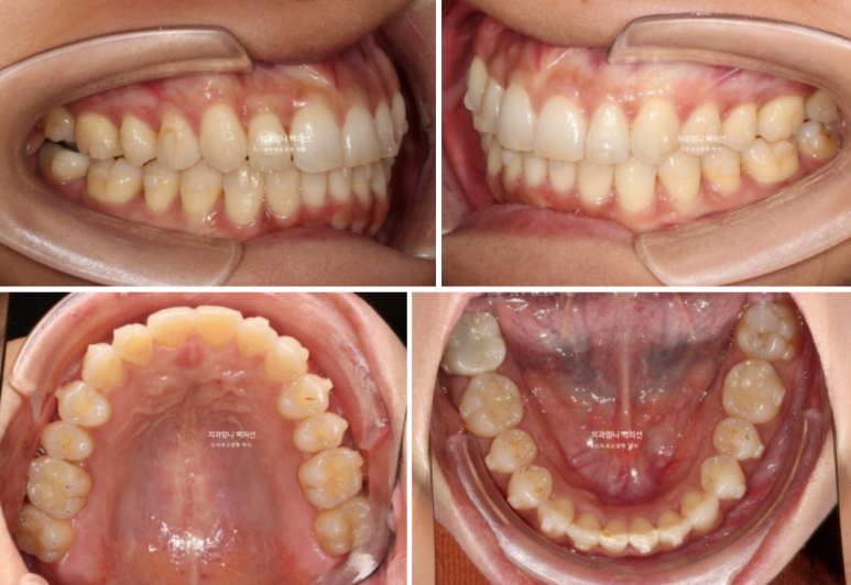
24년 9월부터 25년 1월까지 5개월간 추가장치를 다 낀 모습입니다.

비로소 덧니는 완벽히 제자리를 찾았지만
여전히 약 1mm 가량의 위 아래 중심선 불일치가 보여 환자분 기준 우측 가운데 앞니의 치축이 미세하게 기울어져 보입니다.

환자분도 만족하고 지금도 충분히 좋지만 앞니 중심선을 좀더 일치시키고 치축이 약간 기울어져 보이는 앞니 하나를 위해 2번째 추가장치 제작에 들어갑니다.
25년 2월에서 4월까지 3달간 두번째 추가장치를 모두 끼고 25년 4월에 드디어 치료를 마무리 했습니다.

총 치료기간은 1년 6개월 소요되었고 재제작은 총 2회입니다.
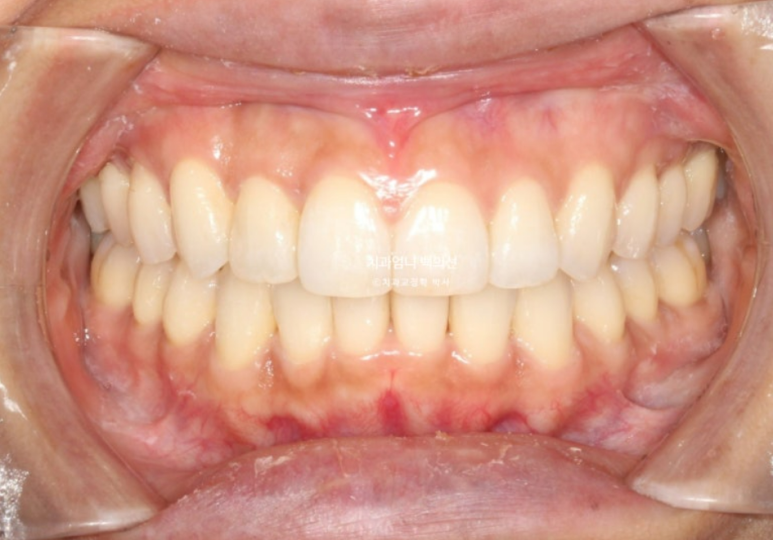
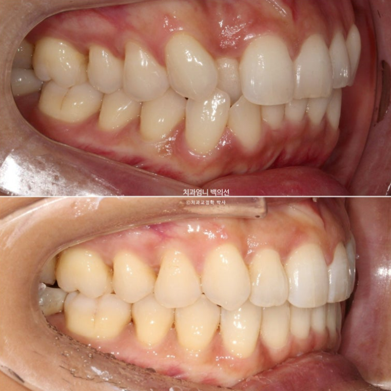
중심선은 잘 맞고 치축이 미세하게 기울어져 보이던 앞니도 개선이 되었습니다

교정치료의 기본은 교합입니다 교합이 좋지 않으면 교정치료를 마무리 짓지 않습니다.

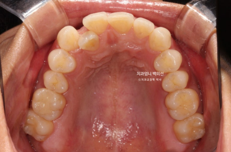
가지런해진 배열과 유지장치 모습입니다.

위 아래 앞니 중심선은 정확히 매치가 됩니다.

덧니는 잘 배열되었습니다.

깔끔하고 적절한 스마일라인

덧니쪽으로 쏠려있던 앞니 중심선이 코와 인중이 맞게 되었습니다.

앞니각도도 적절합니다.

원래 예뻤던 입매는 잘 유지가 되었습니다.

치근흡수는 없고 치근평행도는 좋습니다.
인비절라인 교정은 철사 브라켓 교정에 비해서 치아에 가해지는 힘이 약한 만큼 경험상 오래 걸리는 교정이여도 전반적으로 치근흡수는 거의 없습니다.
1년 6개월간 변화로 입술이 좀더 편하게 다물리게 되었습니다.
인비절라인 교정이 궁금하신 분들에게 이 포스팅이 도움이 되셨기를 바랍니다.

