아카이브 요약
이 페이지의 역할
연세바로치과의원의 네이버 블로그 원문을 보존한 아카이브 페이지입니다. 치아교정 카테고리의 앞니 단기 부분교정 재교정 개방교합 교정 후기 글을 통해 병원의 한국어 정보 제공 방식과 진료 관련 안내 톤을 확인할 수 있습니다.
원문 검증
필요하면 원문 블로그와 병원 프로필로 바로 이동해 문맥을 다시 확인할 수 있습니다.
출처 아카이브 열기아카이브된 블로그 글
연세바로치과의원 · 치과미슐랭
앞니 개방교합 치료방법 중 가장 교정 후 재발이 적고 하관이 짧아지는 효과도 볼 수 있는 것은 어금니 합입치료 입니다. 교벙용 나사를 이용하여 어금니를 함입 시키는 개방교합 교정의 원리는 같으나 그 치료 방법은 인비절라인 투명교정이 될 수도 있고 클리피씨와 같은 통상의 철사교정일 수도 있습니다. 어금니 합입을 통해...
게시일
2025년 8월 7일
원문 기준으로 확인된 발행일입니다.
카테고리
치아교정
원문 블로그 카테고리를 정리해 함께 표시합니다.
이미지 수
18
현재 아카이브에 연결된 이미지 수입니다.
아카이브 요약
연세바로치과의원의 네이버 블로그 원문을 보존한 아카이브 페이지입니다. 치아교정 카테고리의 앞니 단기 부분교정 재교정 개방교합 교정 후기 글을 통해 병원의 한국어 정보 제공 방식과 진료 관련 안내 톤을 확인할 수 있습니다.
원문 검증
필요하면 원문 블로그와 병원 프로필로 바로 이동해 문맥을 다시 확인할 수 있습니다.
출처 아카이브 열기앞니 개방교합 치료방법 중 가장 교정 후 재발이 적고 하관이 짧아지는 효과도 볼 수 있는 것은 어금니 합입치료 입니다.
교벙용 나사를 이용하여 어금니를 함입 시키는 개방교합 교정의 원리는 같으나 그 치료 방법은 인비절라인 투명교정이 될 수도 있고 클리피씨와 같은 통상의 철사교정일 수도 있습니다.
어금니 합입을 통해 하악골 자가회전이 일어나 하관이 짧아지는 효과를 볼 수 있기에 무턱이나 하관이 긴 분들에게는 유리한 치료법입니다. 앞니 개방교합도 자연스럽게 닫히죠.
단 하악골 자가회전은 하관 짧아짐과 함께 턱끝이 앞으로 소량 나오는 현상이 늘 같이 일어납니다.
만약 골격성 3급 즉 아래턱이 크거나 턱끝이 나와보이는 경우는 하악골 자가회전을 유도하지 않는 것이 좋습니다
또 어금니 합입 치료는 전체교정이 필요하고 기간도 1년 반 정도는 걸리기에 간단한 치료를 원하는 경우에는 맞지 않습니다.

오늘은 앞니 개방교합을 가장 간단하게 치료하는 방법에 대해 알려드리겠습니다.
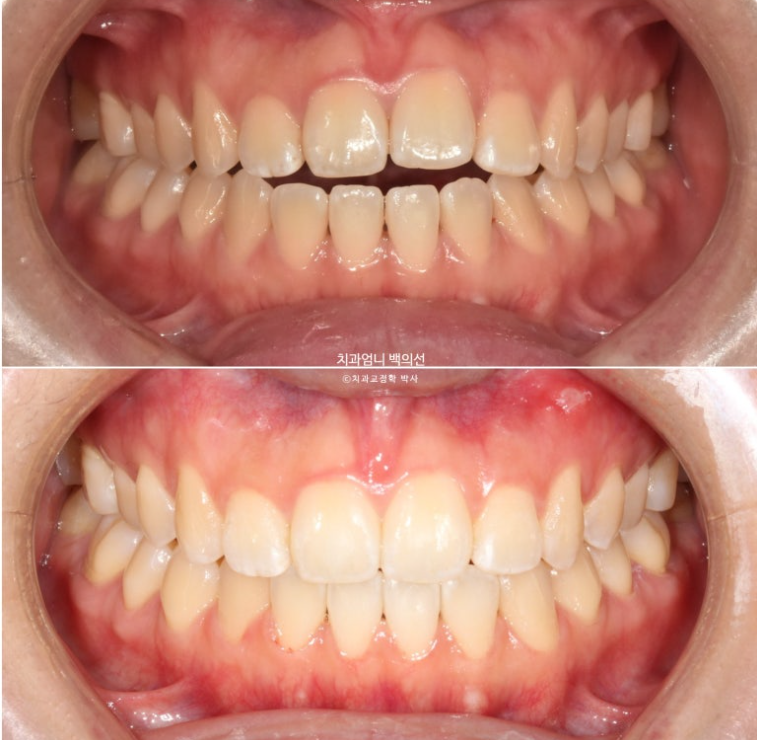
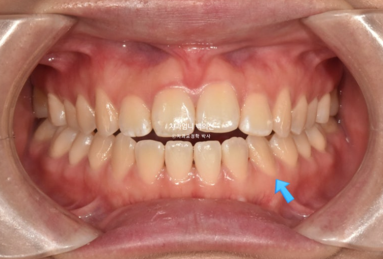
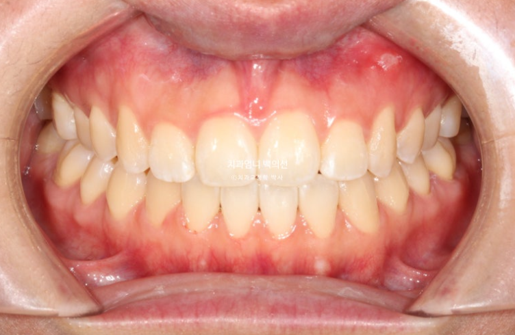
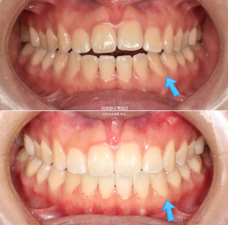
24년 12월에 재교정을 위해 내원하신 분 입니다.
중학교때 교정을 했으나 철사유지장치가 떨어지면서 앞니가 다시 틀어진 상태입니다.

앞니 높낮이 단차와 개방교합도 보입니다.
파란 화살표 송곳니는 안쪽으로 쓰러져 있습니다.


위 앞니 하나가 올라간 것은 철사가 떨어져서가 맞습니다.
파란 화살표 접착제가 까맣게 보이는 것은 접착제가 치아와 분리된 상태이기 때문입니다.

24.12
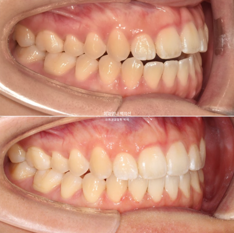
하지만 아래는 철사가 떨어진 부분도 없고 떨어진적도 없습니다. 철사가 붙어 있는 상태에서 철사 자체의 변형으로 치열이 틀어지는 경우가 있습니다. 와이어신드롬 이라고 합니다.

골격 분석시 정상과 주걱턱의 경계에 있는 골격관계라 이미 지금도 턱끝이 좀 도드라져 보이는 편 입니다.
어금니 함입을 통해 개방교합을 해소하면 하악골 자가회전에 의해 처음보다도 턱끝이 더 도드라져 보이게 됩니다.
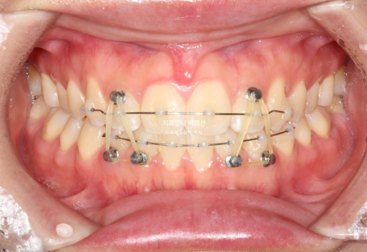
재교정이라 간단한 치료를 원하셔서 앞니 부분교정으로 개방교합을 해결하기로 합니다.

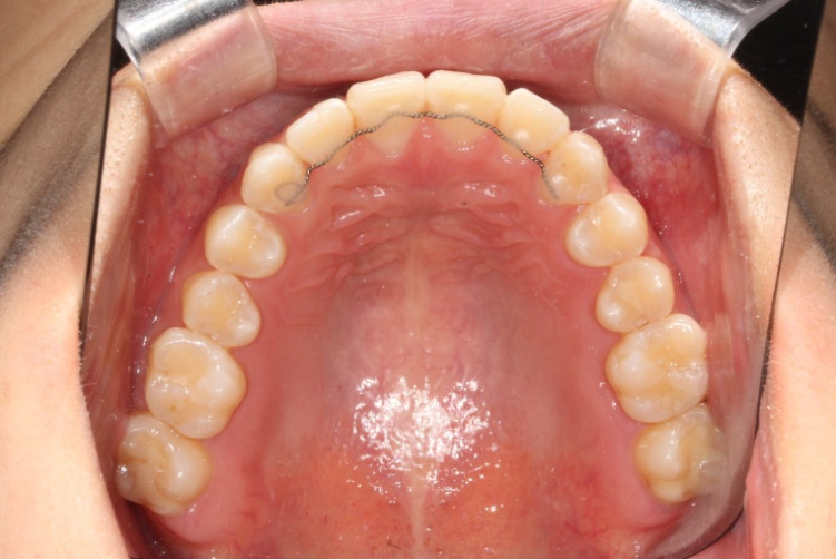
25.05
사용한 부분교정용 장치는 MTA 미니튜브 이고 고무줄 처방이 함께 들어갔습니다.
윗니가 아랫니를 앞에서 안정적으로 덮게 만들려면 아래 앞니에 치간삭제가 소량 필요합니다.
24년 12월부터 25년 6월까지 걸린기간은 총 6개월 입니다.

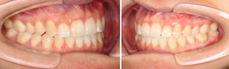
25.06
맞아진 앞니 높낮이와 적절한 앞니 교합

앞니 개방교합이 깔끔하게 해결되었습니다.


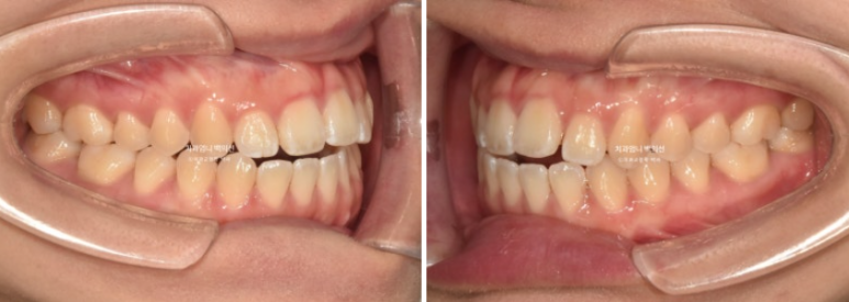
이제 전후 비교 보겠습니다.

24.12~25.06
개방교합 뿐 아니라 철사의 변형으로 쓰러져 있던 송곳니도 세웠습니다.


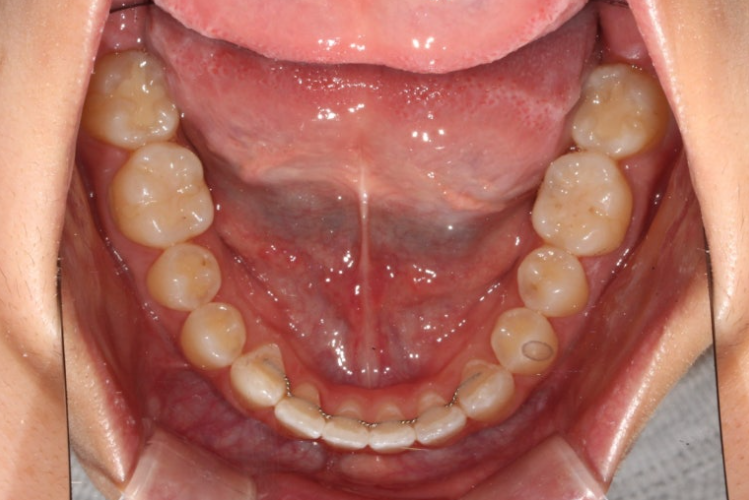
24.12~25.06
원래 좋았던 교합은 잘 유지가 되었습니다.

24.12~25.06
6개월간 앞니 부분교정의 변화 치고 드라마틱 합니다.

24.12~25.06
재교정은 신중해야합니다.
치아와 잇몸에 부담이 적은 간단한 방법이 있다면 더 좋겠죠.
치아 뿐 아니라 환자의 얼굴과 골격분석에 기초하여 가장 적절한 방법을 찾아드립니다.
개방교합으로 재교정 고민 중인 분들에게 도움이 되셨기를 바랍니다.

