
안녕하세요
40대 교정 소개해드리겠습니다.
40대 인비절라인 라이트 케이스 입니다.
투명교정 인비절라인은 비사다고 생각해서 당연히 철길 교정보다 비싸겠지? 라고 생각하실 수 있는데
간단한 부정교합에 쓰는 부분교정용 인비절라인라이트를 야무지게 쓰면 클리피씨 교정 비용으로 인비절라인 교정을 할 수 있습니다.

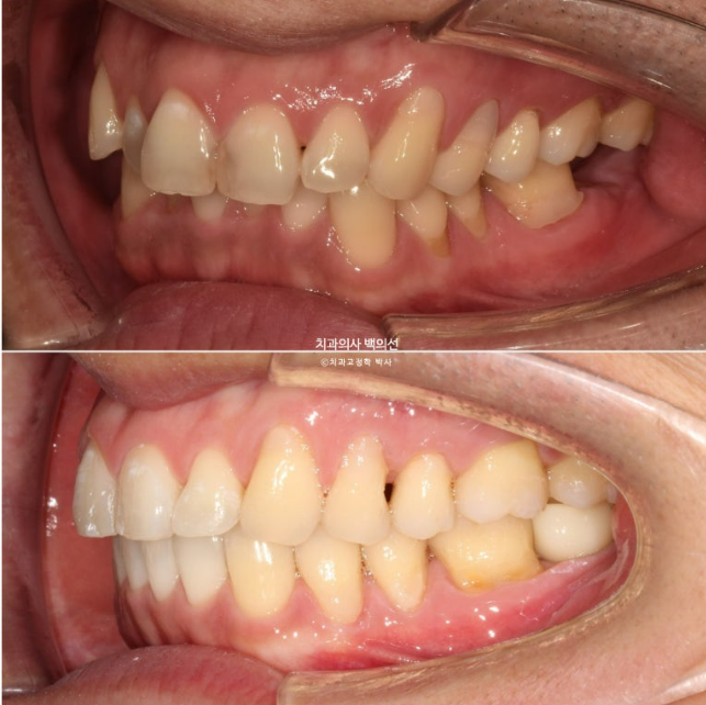
24.05~25.03
오늘은 인비절라인 라이트로 쓰러진 어금니도 세우고 과개교합도 해결하고 덧니도 야무지게 고친 이야기를 해드릴게요
또 과잉치가 있는 경우 교정치료가 어떻게 진행되시는 지 보시면 좋습니다.

24.05
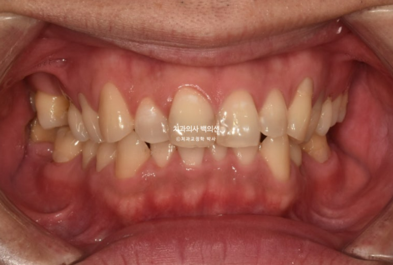
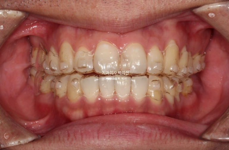
1년 전 교정을 위해 오신 환자분 입니다.
가족의 교정 상담을 위해 같이 있다가 얼떨결에 교정상담 시작하셨던 분.
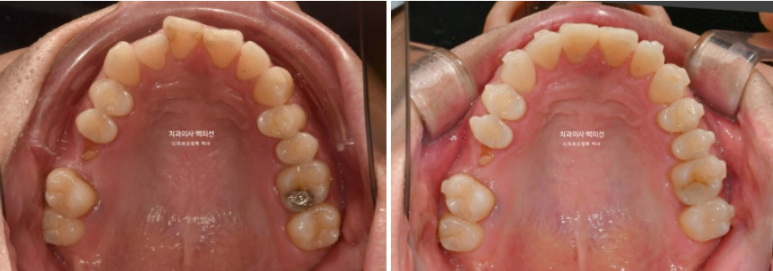
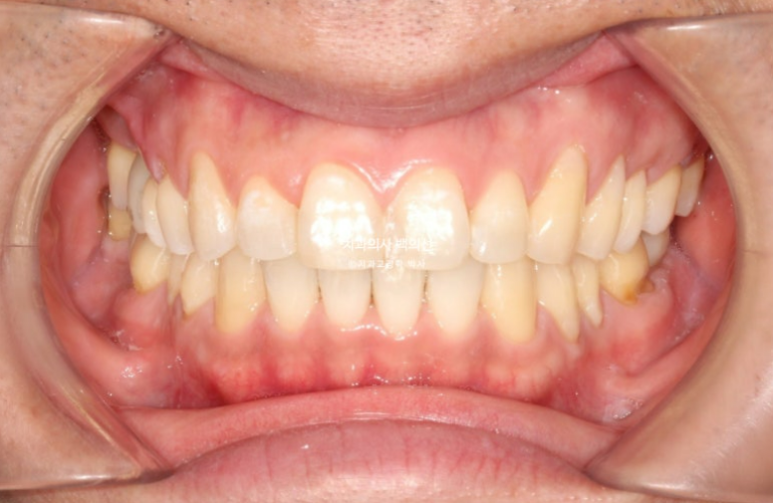
중심선 불일치와 심한 과개교합, 송곳니 덧니 등이 보입니다.

24.05
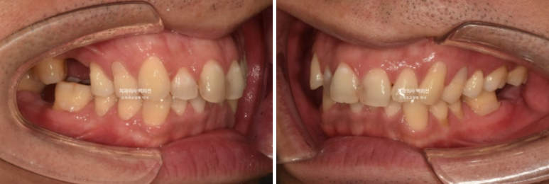
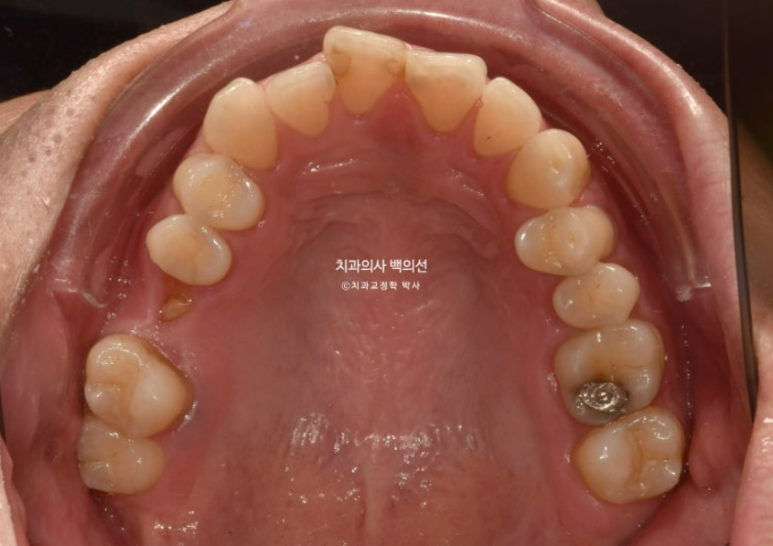
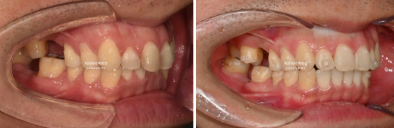
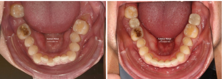
사진에 듬성듬성 보이는 총 3군데의 빈공간은 어금니가 없는 상태입니다.
언젠가는 임플란트를 해야지 하고 없는 채로 시간이 흘러 주변 어금니들이 빈공간으로 쓰러진 상태입니다.


24.05
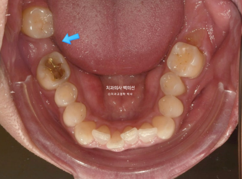
특히 파란 화살표 공간은 뒤 사랑니가 앞으로 많이 쓰러져서 임플란트가 힘든 상황입니다.
이렇게 좁아져버린 임플란트 공간을 회복하기 위해 쓰러지고 내려온 주변치아들을 정돈하는 교정을 보철교정이라고 합니다.

24.05
좁아진 공간과 쓰러진 사랑니는 파노라마 엑스레이에서 확인됩니다.
이런 경우 사랑니를 빼버리면 간단하게 해결이 되지만, 이미 상해서 빠진 이가 많은 상태인데다가 사랑니가 잘 나와 대합치과 교합까지 잘 되는 상태라, 사랑니를 최대한 보존해서 쓰기로 합니다.

초진 정밀진단에서 확인되는 문제가 하나 더 있습니다.
앞니 사이의 과잉치입니다. 정가운데 위치한 과잉치를 정중과잉치 라고 합니다.
CT를 찍어 확인하니 과잉치의 위치가 신경관과 가깝고 깊어서 빼기가 쉽지 않습니다.
다행인점은 앞니의 이동을 최소화 하면 굳이 과잉치를 안 빼고도 교정치료가 가능한 상태라는 것입니다.
사랑니를 보존해서 쓰기로 한 점, 그리고 과잉치로 인해 앞니 이동이 제한이 된 점, 마지막으로 환자분이 선호하는 건 최대한 안 보이고 간단한 교정인점을 고려하여 치료 목표를 세웁니다.
사랑니를 발치하지 않으면 우측의 정1급 교합관계 달성이 어렵고 중심선이 정확히 맞지 못하는 한계점 설명 드리고 인비절라인 라이트로 짧게 치료하기로 계획을 세웠습니다.
인비절라인 라이트는 최대 14개 장치가 나옵니다.

24.11

장치를 열심히 껴준 환자분
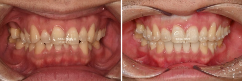
24년 5월부터 11월까지 6개월간 14개의 장치를 모두 낀 후 변화 모습을 보겠습니다.

24.05~24.11
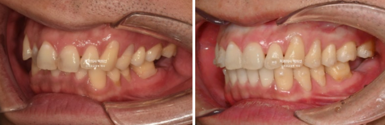
과개교합은 완벽히 개선이 되었고

24.05~24.11

24.05~24.11
교합은 좋습니다.

24.05~24.11

24.05~24.11
쓰러진 큰어금니를 세워 좁아진 임플란트 공간을 2mm 가량 더 확보했습니다.
배열도 개선이 많이 되었습니다.
처음보다 많이 좋아졌지만 임플란트 공간을 좀 더 확보하고 배열의 완성도를 높이고자 재제작에 들어갑니다.
24년 12월부터 25년 3월까지 4개월간 추가장치를 모두 낀 후 교정치료가 마무리 되었습니다.
이 후 임플란트를 심고 임플란트 보철을 올리기까지 3개월이 더 소요가 되어 25년 6월 드디어 교정과 임플란트 모든 치료를 마무리 했습니다.
교정 마무리 시점 이후로 임플란트 보철이 끝나는 시점까지 3개월간 투명유지장치를 잘 때만 착용하면서 교정 결과를 유지합니다.
결과 보겠습니다.

25.06

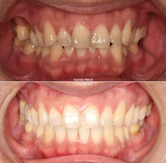
이제 전 후 비교 보겠습니다.
교정치료 시간은 총 10개월 입니다.

24.05~25.03

24.05~25.03

24.05~25.03
환자분이 열심히 껴준다면 10개월 만에도 좋은 결과가 나옵니다.

24.05~25.03

24.05~25.03
치근흡수는 없고 뿌리 평행도는 좋습니다.
임플란트는 아름답게 심어졌고 사랑니 교합도 좋습니다.

24.05~25.03
아랫입술과 평행한 적절한 스마일라인

24.05~25.03
깔끔한 앞니각도
얼떨결에 시작한 교정임에도 장치를 열심히 껴준 환자분 감사드리고
40대 인비절라인 라이트 과개교합 과잉치 덧니 교정 임플란트 보철 교정 후기 오늘 포스팅을 마칩니다.
