안녕하세요
압구정 어린이 교정 소개해드리겠습니다.
요즘 저희 치과에는 교정하려는 어린이들이 많습니다.

23.12~25.06
단순 덧니가 아닌 비대칭 주걱턱 등 골격적 이슈가 있다면 성장기에 반드시 잡아주는 게 좋습니다.
성장이 끝난 후에는 고칠 방법이 양악수술 밖에 없기 때문입니다.
얼굴 비대칭이 있는 경우 어린이 교정치료가 어떻게 진행되는 지 체크해보시면 좋습니다.

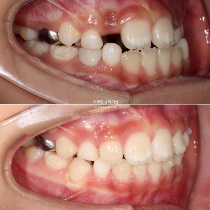
23.12
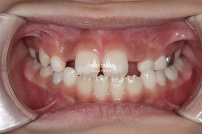
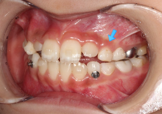
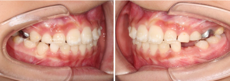
23년 12월 교정치료를 위해 내원한 만 8세 어린이 입니다.
타치과에서 반대교합, 비대칭, 공간이 부족하여 앞니가 못 나오고 있다는 이야기를 듣고 교정을 위해 내원했습니다.

중심선이 많이 어긋나 있으며 파란화살표는 위아래가 거꾸로 물리는 반대교합입니다.

노란색 아래턱의 중심, 흰색이 윗턱의 중심선입니다.
아래턱이 치아중심선 만큼 왼쪽으로 틀어진 비대칭입니다.

유치송곳니끼리 거꾸로 물리는 상태라 이 부분에 교합간섭이 있습니다.
교합간섭에 의해 턱을 한쪽으로 틀어서 물게 되는 경우가 있습니다.
이 경우 악궁확장으로 거꾸로 물리는 부분, 즉 교합간섭을 해결해주면 비대칭이 자연스럽게 좋아지기도 합니다.

윗니가 아랫니를 덮지 못하는 절단교합입니다.

측절치와 송곳니날 자리가 부족해서 악궁확장도 필요한 상황입니다.
인비절라인 퍼스트로 치료에 들어갔고 악궁확장으로 영구치 맹출공간 회복, 공간 분배, 반대교합 해소로 교합간섭 해소에 의한 아래턱 위치 개선으로 비대칭 해결 등을 목표로 치료에 들어갔습니다.

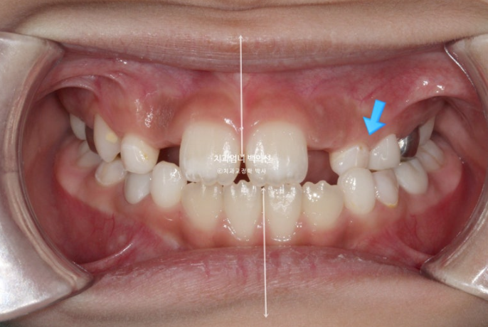
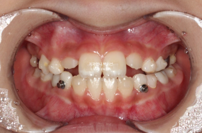
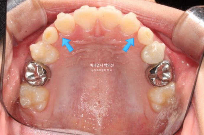
24.04
악궁확장으로 파란 화살표 반대교합이 해소가 되면서 교합간섭이 사라졌습니다.
아래 붙어있는 메탈 고리는 고무줄 거는 고리입니다.

교합간섭이 사라지니 턱이 제 위치를 찾으며 어긋났던 앞니 중심선도 자연스레 맞아졌습니다.

24.04
중심선 일치는 얼굴에서도 확인이 됩니다.

24.04
악궁확장으로 넓어진 악궁 덕분에 공간이 좁아 못 나오던 측절치도 잘 나오고 있습니다.
인비절라인 퍼스트 어린이 투명교정장치는 보증기한이 18개월입니다.
18개월 동안 성장 관찰 하다가 적시에 재제작이 가능합니다.
이 친구는 24년 4월부터 11월까지 7개월간 마지막 16번 장치를 잘 때만 유지용으로 끼고 영구치 맹출을 기다립니다.
새로 나온 측절치를 비롯하여 영구치가 어느정도 맹출되면 재제작에 들어갑니다.

24.11
7개월간 휴식기를 가진 후 모습입니다.
아래턱의 위치는 잘 유지되고 있으며 이제 측절치가 충분히 나와 재제작에 들어갑니다.
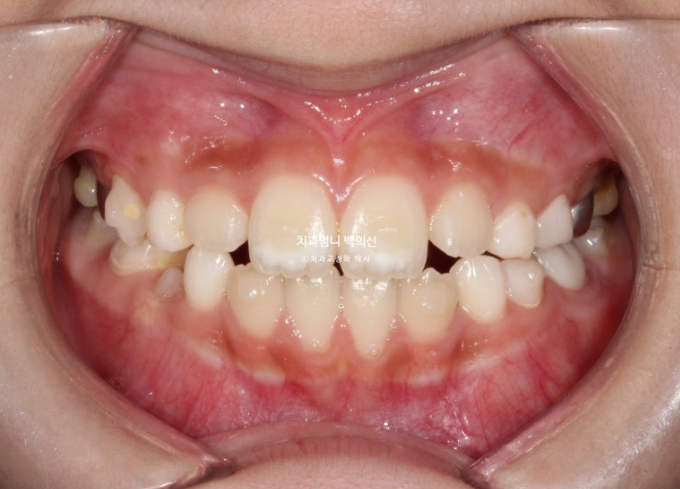
24년 12월부터 25년 6월까지 두번째 세트 19개 장치를 모두 낀 후 모습입니다.

측절치를 포함한 앞니는 잘 배열 되었습니다.

윗니가 아랫니를 잘 덮도록 앞니 교합이 개선되었습니다.

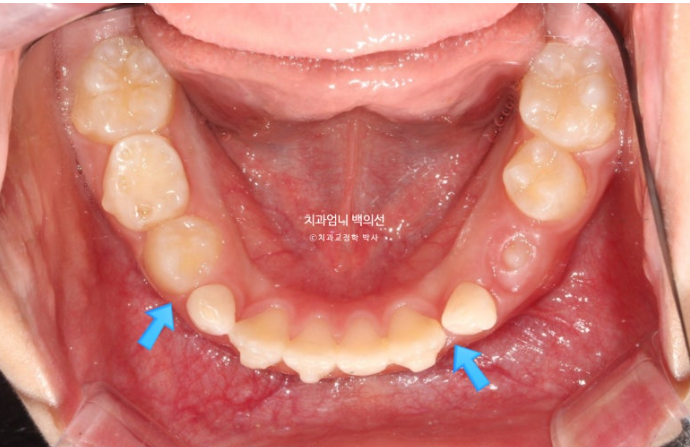
유치송곳니 벌어진 부분은 영구치 송곳니가 나올 때 공간이 부족하지 않도록 의도적으로 형성한 공간입니다.

영구치 맹출 공간은 충분하고 배열과 중심선 교합 모든 게 좋습니다.
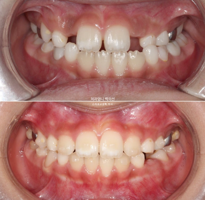
1년 6개월간의 변화를 보겠습니다.
장치를 낀 기간은 9개월이고 영구치 맹출을 기다리며 쉰 기간은 7개월 입니다.

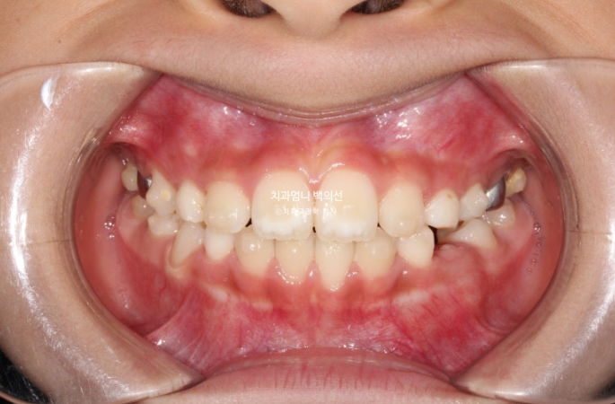
23.12~25.06
앞니 중심선은 정확히 맞고 배열은 좋습니다.

23.12~25.06
윗니가 아랫니를 정상적으로 덮지 못하는 절단교합 이었으나, 3급 고무줄로 적절한 앞니교합을 형성했습니다.
이제 안모 비교 보겠습니다.

23.12~25.06
앞니 중심선의 개선이 보입니다.

23.12~25.06
기준선을 그어 봅니다.

23.12~25.06
다물고 있을때의 얼굴사진을 보면, 틀어져 있던 아래턱이 가운데 위치로 개선된 것이 보입니다.

23.12~25.06

23.12~25.06
개선된 미소

골격성 주걱턱은 아니었지만, 절단교합으로 인해 상대적으로 돌출되어있던 아랫입술이 개선되며 입술 밸런스도 좋아졌습니다.
이정도면 이제 치료를 마무리 해도 되지만
조금 돌출처럼 보인다는 부모님의 의견을 수렴하여 앞니에 치간삭제를 해서 약간의 돌출해소를 도모하기로 하고
보증기한 종료 직전에 또 한번의 재제작을 준비하고 있습니다.
한계점을 설정해놓고 미진한점을 남겨놓지 않습니다.
성인교정을 안해도 될만큼 최대한 많은 치료를 해주고 또 성인이 될때까지 철저하게 유지하는 것이
저희 진료철학이자 목표입니다.
어린이교정 고민중이신 분들에게 도움이 되셨기를 바랍니다.

