안녕하세요
압구정 교정치과입니다.
오늘은 골격성 3급 부정교합 이야기를 해드리겠습니다.
즉 주걱턱이 있는 경우 앞니가 거꾸로 물리면서 아랫입술 돌출이 있습니다.
골격은 주걱턱일지라도 양악수술 없이 교정만으로 정상교합을 만들어주는 치료를 절충치료 라고 합니다.

24.01~25.06
오늘은 한쪽 소구치, 즉 작은어금니 한 개 결손된 상황에서 양악수술이나 추가적인 소구치 발치 없이 절출치료로 주걱턱 부정교합을 어떻게 치료하는 지 보여 드리겠습니다.
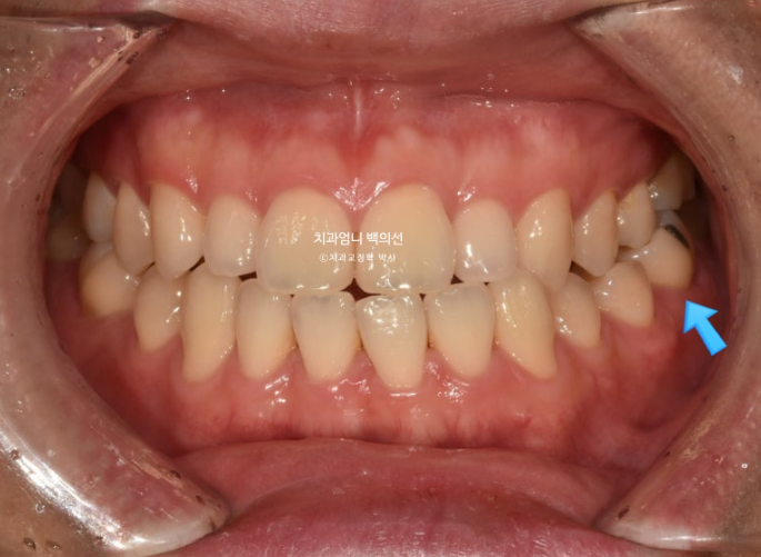
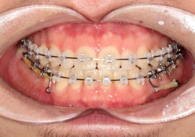
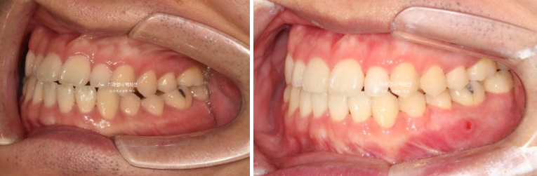
앞니 반대교합을 치료하러 오신 30대 후반의 환자분

24.01
파란화살표 작은어금니와 큰어금니가 반대교합입니다.

윗니가 아랫니를 덮지 못하는 반대교합과 절단교합이 보입니다.
어금니 교합은 3급입니다.

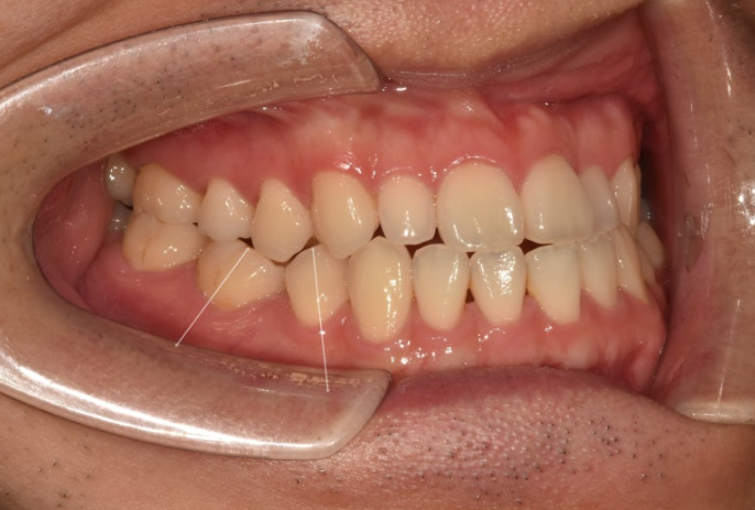
흰선 사이 작은어금니 하나가 결손상태이고 결손된 치아 쪽으로 주변 치아들이 쓰러져 있습니다.

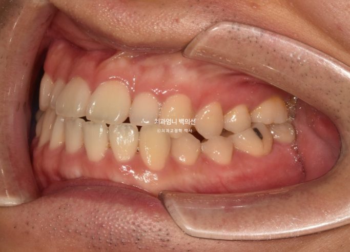
파란화살표 측절치는 정상보다 작습니다.
왜소치까지는 아니지만 작습니다.
작은 측절치 두 개를 라미네이트 등으로 사이즈를 키우면 윗니가 아랫니를 좀 더 확실하게 덮게끔 교합형성이 가능하지만 환자분은 원치 않으십니다.

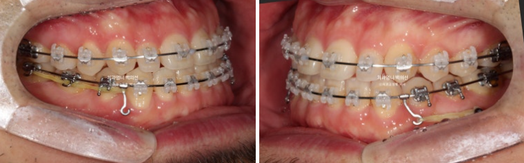
24.01
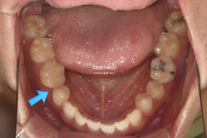
파란화살표에 작은어금니 하나가 없습니다.
치료계획을 크게 보면 아래 전치치아를 뒤로 밀면서 어금니 교합을 1급으로 맞추고 위 앞니가 아래 앞니를 덮도록 하는 것이 메인입니다.
이를 위해 아래 왼쪽 사랑니는 발치를 하고 작은어금니 하나가 없는 반대쪽은 사랑니 발치를 하지 않습니다.
사랑니 공간으로 치아들을 밀 때 불리하긴 하지만 좌우 치아 갯수 밸런스를 맞추기 위해서입니다.
클리피씨 교정 선택하셨고 치료에 들어갔습니다.
3급 부정교합에서는 아래 치열에 할게 많고 오래걸려서 아래를 먼저 최소 6개월 이상 진행시킨 후 상대적으로 시간이 덜 걸리는 위 치열에 장치를 붙이기 시작하죠 그래야 장치 부착기간도 줄이고 환자분도 편해집니다.
이 경우도 첫 7개월은 아래만 장치를 붙이고 진행을 하다가 위 치아들은 7개월 후 장치를 부착합니다.
치료 시작 10개월차 모습입니다. 교정용 나사인 미니스크류를 아래쪽에 심고 사랑니 공간으로 밀어냅니다.

24.11

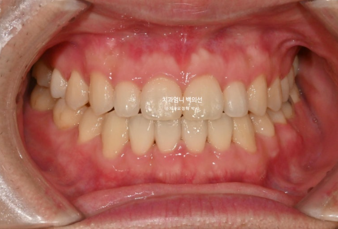
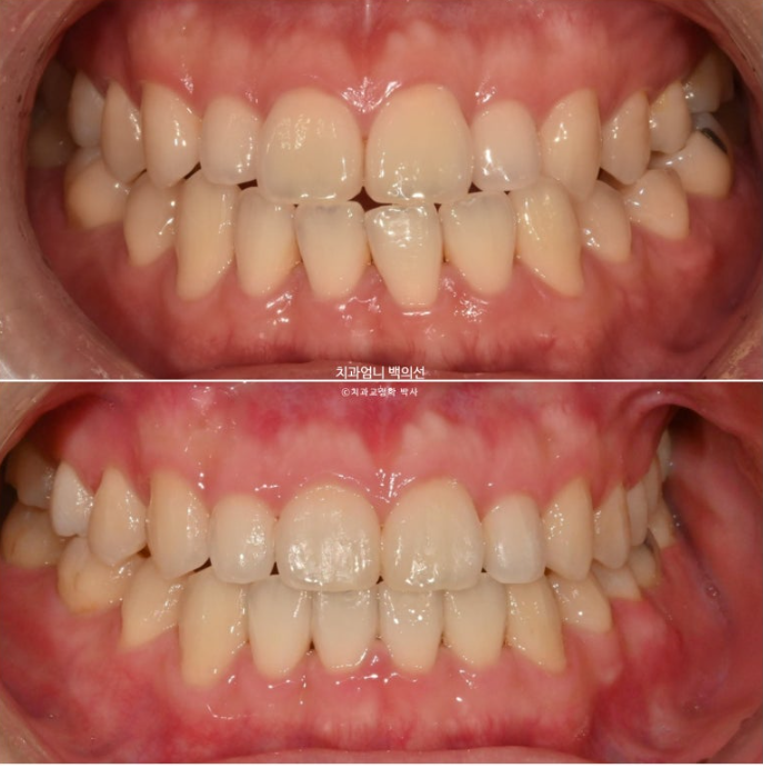
치료시작 1년 5개월 차 치료를 마무리 했습니다.

25.06
중심선은 잘 맞고 한쪽 어금니 반대교합은 별도의 악궁확장 없이 좋아졌습니다.

24.01~25.06
결손된 작은어금니 쪽으로 쓰러져 있던 큰어금니는 잘 세워졌습니다.

교합은 좋습니다.

24.01~25.06
배열도 좋습니다
남겨둔 아래 사랑니도 잘 교합되고 있습니다.
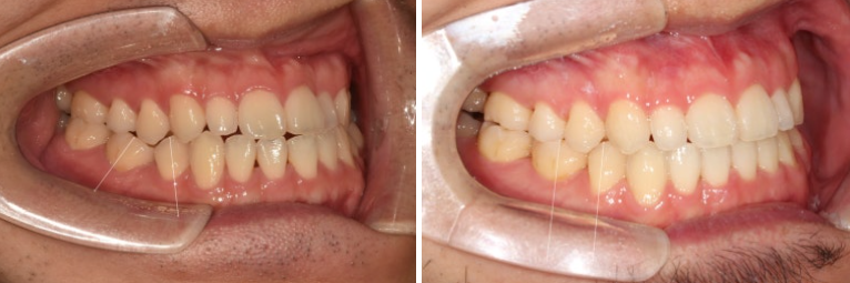
이제 전 후 비교해보겠습니다.



24.01~25.06
아래 전체치열 후방이동으로 아래앞니가 뒤로 들어가며, 결과적으로 아랫입술이 뒤로 들어가며 입술 밸런스가 좋아졌습니다.

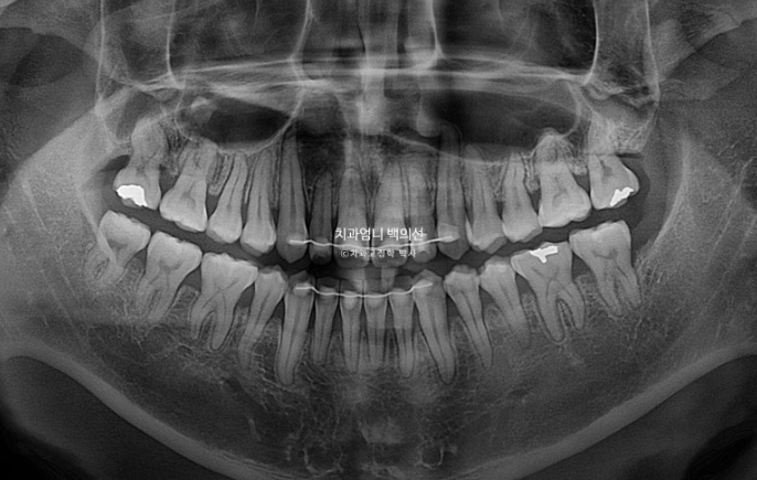
치근흡수는 없고 치근평행도는 좋습니다.
추가적인 발치나 양악수술 없이도 절충치료만으로 좋은 효과를 볼 수 있습니다
주걱턱이라 교정을 망설이는 분들에게 이 포스팅이 도움이 되길 바랍니다

