안녕하세요 압구정 교정치과입니다.
압구정 인비절라인
오늘은 인비절라인 라이트 소개해드리겠습니다.
인비절라인 라이트는 앞니 위주의 부분교정에 사용하는 프로그램 입니다.
장치 갯수가 14개로 제한이 되어있는 만큼 14개 안에서 좋은 결과가 나오도록 치료계획을 특별히 더 신경써야 합니다.

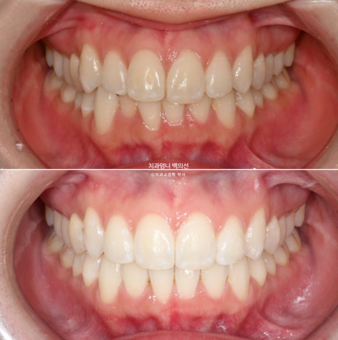
25.01~25.06
오늘은 5개월만에 재제작 없이 인비절라인 라이트로 교정치료를 마친 증례를 보여드리겠습니다.
올해 초 1월, 본원에서 교정치료를 끝낸 분의 소개로 오신 환자분 입니다.

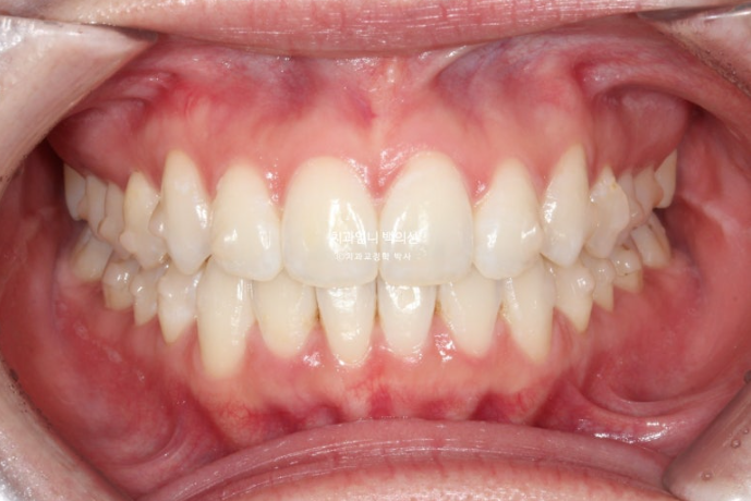
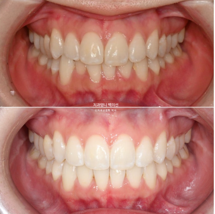
25.01
위 아래 치아중심선이 어긋나 있고 아래 앞니 하나가 솟으면서 뒤로 들어가 있습니다.


어금니 교합은 좋죠.
이런 경우는 인비절라인의 프로그램 중 인비절라인 라이트로 교정하면 기간 비용대비 환자분의 만족도가 가장 좋습니다.
간혹 인비절라인 라이트로 충분히 치료가 가능한데도 컴프레헨시브 이상의 고난이도용 프로그램을 권하는 치과들이 있는 듯 합니다.
라이트로 하시면 되겠어요 라고 하면 다른치과 상담에서는 컴프레헨시브 해야된다고 들었다는 말을 환자분들께 많이 듣거든요.
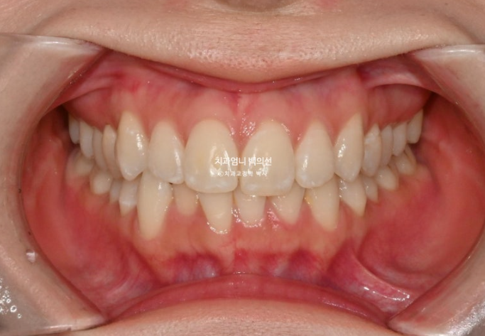
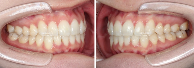
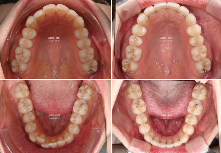
첫 세트 14개 장치를 모두 낀 후 모습입니다

중심선은 잘 맞고

원래 좋았던 어금니 교합은 잘 유지 되었고


배열도 좋습니다.
인비절라인라이트 재제작 기회가 1번 있지만 경과가 좋아 재제작 없이 마무리 했습니다.

25.01~25.06
중심선은 잘 맞고 과개교합도 좋아졌고 잇몸라인의 개선도 보입니다.
솟아있던 아래 앞니 덧니를 합입시켜 주변치아와 높이를 맞추었고 그 과정에서 잇몸라인도 자연스럽게 높낮이가 개선이 됩니다.

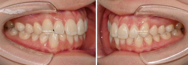
이제 안모 비교 보겠습니다.
총 치료기간은 5개월 입니다.


25.01~25.06
깔끔해진 스마일라인

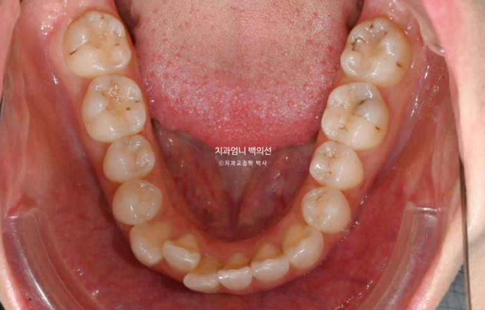
25.06
치근흡수는 없으며 치근평행도는 좋습니다.
교정이 오래걸릴까봐, 불편할까봐 몇 년 째 고민중이시라면 가까운 교정치과에서 상담 받아보세요.

