안녕하세요.
그간 치아가 없는 경우 임플란트 없이 교정으로 마무리 하는 과정에 대해 다양하게 소개해드렸었습니다.
하지만 사분악증 같은 분악에 치아가 2개나 연달아 없는 경우는 최소 한 개의 임플란트를 해 넣는 것이 좋습니다.
그렇지 않으면 결손치가 2개나 되니 중심선 쏠림 현상과 앞니가 너무 뒤로 들어가 옥니가 되는 것을 피할 수 없습니다.

23.08~25.06
앞니가 너무 뒤로 들어가 옥니가 되면 심미적으로 보기에 안 좋은 걸 떠나서 아래턱이 뒤로 밀리며 턱관절이 나빠지는 경우도 생깁니다.
오늘은 이런 경우 재교정, 특히 역교정이 어떻게 진행되는 지 보여드리겠습니다.
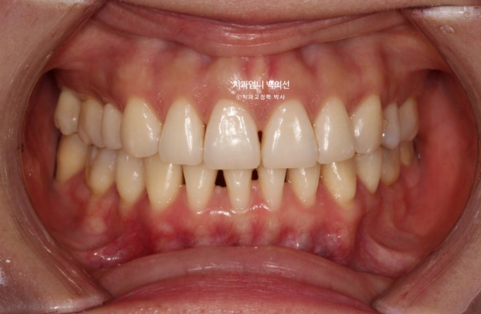
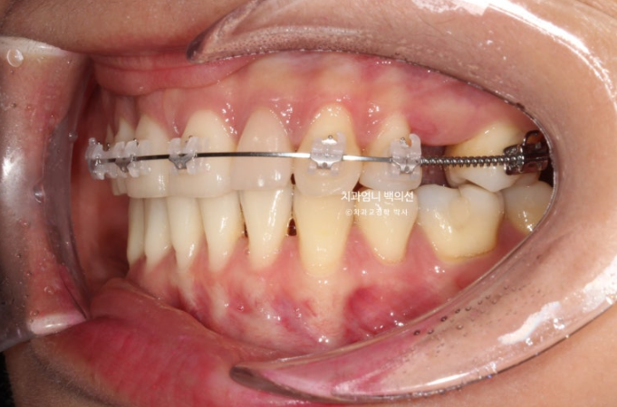
23년 8월, 재교정치료를 위해 내원한 환자분입니다.

23.08
블랙트라이앵글과 중심선 불일치가 보입니다.
잇몸이 얇은 편이라 작은어금니 부분에 잇몸퇴축도 보입니다.

얼굴에 비해 위 앞니 중심선이 좌측으로 돌아간 상태인데

원인은 좌우 치아 갯수 차이에 있었습니다.
오래 전 했던 발치교정으로 작은어금니 4개가 없는 상태인데 좌측 첫번째 큰어금니 1개가 추가로 더 없습니다.
상악 좌측에만 치아갯수가 2개나 없는거죠.

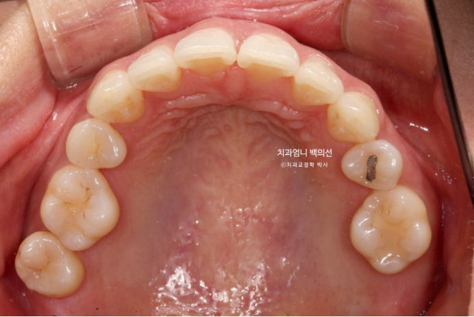
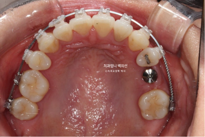
23.08
엑스레이상 좌측 위 첫번째 작은어금니 쪽으로 두번째 작은어금니가 쓰러지며 공간이 없어진게 보입니다.

어금니 교합관계 2급 입니다.
역교정을 진행할지는 신중해야 하죠. 발치교정 후 옥니나 입매를 개선하기 위한 재교정 상담을 많이들 오십니다.
하지만 실제로 환자분께 역교정을 권하는 경우는 매우 드물어요.
치아가 다시 앞으로 나오면서 잇몸이 내려갈 가능성을 염두해두어야 하기 때문입니다.

23.08
하지만 이 경우는 옥니나 입매 등 단순 미적 목적으로 역교정이 필요한 경우와는 다릅니다.
이전 교정에서 윗니의 무리한 후방이동으로 아래턱이 뒤로 밀리는 증상이 뚜렷하여 안모를 심하게 해칠 뿐 아니라 턱관절에 무리가 오는 경우라서 역교정을 해서라도 턱의 위치를 개선하는 것이 좋습니다.
위 앞니 중심선을 회복하고 치아 갯수의 밸런스 및 교합을 개선하기 위해 결손된 큰어금니 1개는 교정으로 공간을 다시 벌려 임플란트를 하기로 합니다.
환자분 잇몸이 얇은 편이라 잇몸이 내려가지 않도록 또한 블랙트라이앵글이 더 커지지 않도록 주의하며 치료해야 합니다.
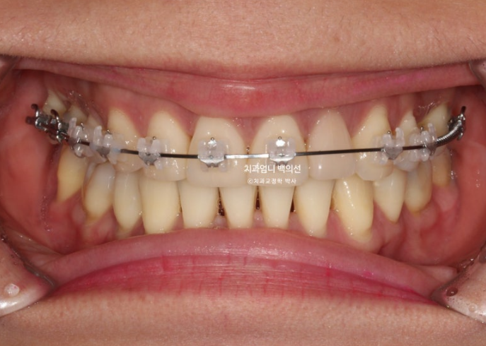
클리피씨 교정을 선택했고 치료에 들어갔습니다.
아래보다는 위 치열에 해야할 것이 많아 위 치열부터 장치를 붙이고 치료를 먼저 진행합니다.
아래 장치는 최대한 나중에 붙여야 불편감도 덜고 재교정에 의한 잇몸 부담도 덜 수 있습니다.

24.04
치료시작 6개월차 모습입니다.
위에만 장치를 붙여서 치료를 진행하고 있습니다.

큰어금니 공간을 회복하면서 말입니다.

24.08
윗니 중심선이 코와 인중 및 얼굴과 맞아진 것은 치료시작 1년 후 입니다.
이때부터 아래 치아에도 클리피씨 장치를 붙이고 배열을 시작했습니다.
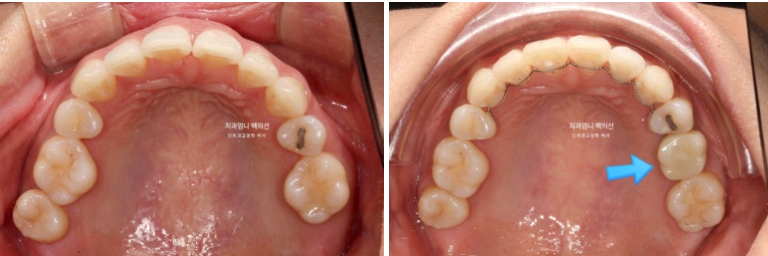
치료 시작 1년 3개월차 결손된 큰어금니 공간이 충분히 확보가 되어 드디어 임플란트를 식립했습니다.

24.11
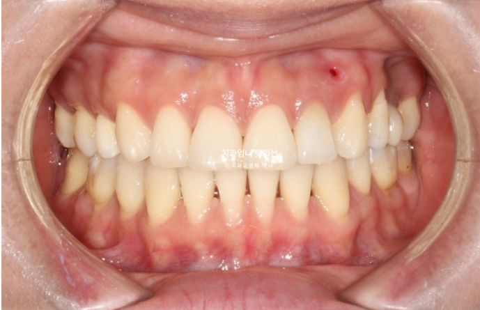
교합 안정화 및 마무리 과정을 거쳐 25년 6월, 드디어 재교정 치료를 마무리 했습니다.

25.06
총 치료기간은 1년 10개월 입니다.

25.06
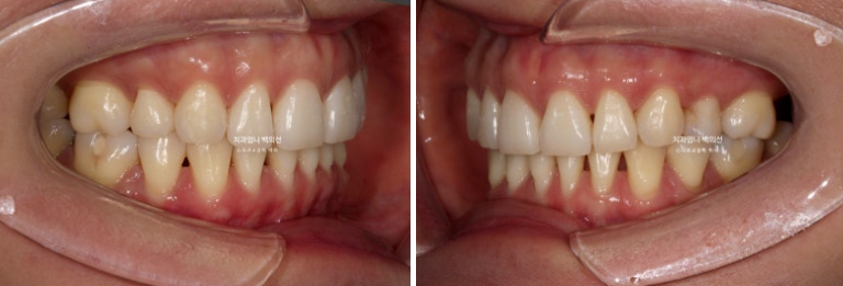
이제 앞니 중심선은 코와 인중과 정확히 맞습니다.

2급이었던 양측 어금니 교합관계는 비로소 1급이 되었습니다.

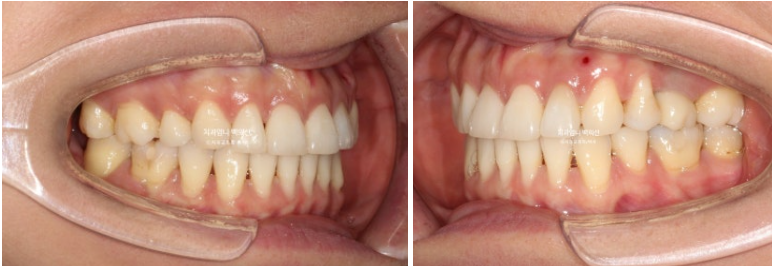
23.08~25.06
파란 화살표 임플란트가 들어가고 좌우 치아갯수가 맞아졌습니다. 덕분에 중심선도 개선하고 어금니 교합관계도 1급이 되었으며 앞니가 뒤로 쓰러진 옥니도 고칠 수 있었습니다.

23.08~25.06

23.08~25.06
소량의 치간삭제로 기존의 블랙트라이앵글 사이즈를 줄였습니다.
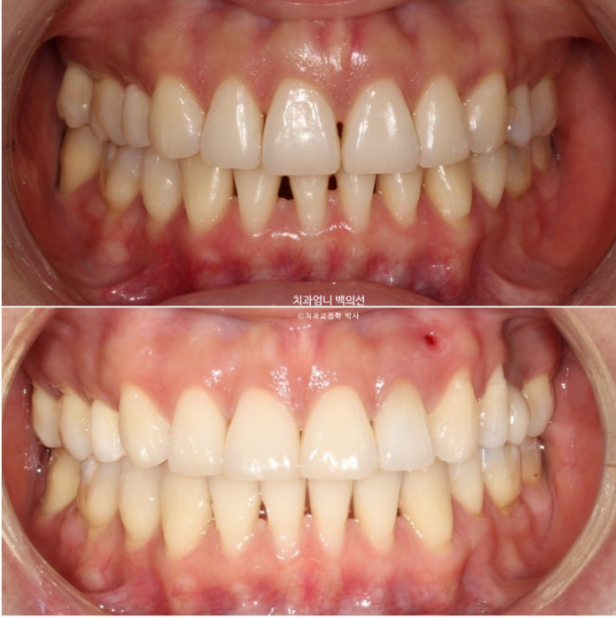
이제 안모 비교 보겠습니다.

23.08~25.06
옥니였던 위 앞니 각도의 개선이 뚜렷하며 뒤로 밀려있던 아래턱이 다시 나오면서 안모가 좋아졌습니다.

23.08~25.06
옆모습에서 아래턱의 위치 변화가 좀 더 뚜렷하게 확인됩니다.
옥니였던 앞니가 역교정을 통해 정상으로 개선되어 다물었을 때 뒤로 밀렸던 아래턱이 이제 편하게 물립니다.
아래턱이 뒤로 밀리는 바람에 무턱처럼 보였던 부분도 개선이 되었습니다.

1년 8개월에 걸친 재교정 기간동안 추가적인 치근흡수는 없었으며 치근 형행도는 처음보다 개선이 되었습니다.
재교정, 특히 역교정은 신중해야 합니다.
하지만 심미적인 개선을 넘어서 기능적으로, 턱관절 건강 측면에서 개선이 필요한 경우라면 신중하게 치료하면 부작용 없이 좋은 결과를 얻을 수 있습니다.
역교정을 고민중인 분들에게 이 포스팅이 도움이 되길 바랍니다.

