안녕하세요
오늘은 인비절라인 라이트 소개해드리겠습니다.
인비절라인 라이트는 14개 장치안에서 해결 가능한 라이트한 부정교합에 쓰는 짧은 프로그램이지만
가위교합, 과개교합, 거미스마일, 아래 앞니 발치, 반대교합 등등 인비절라인 라이트로 고칠 수 있는 부정교합이 상당히 많습니다.
지난번에 이어 어쩌다보니 오늘도 "인비절라인 라이트로 어디까지 치료 가능할까?" 입니다.

24.01~25.05
제가 인비절라인 교정을 많이 하지만, 모든 케이스에서 인비절라인 교정이 잘 되는건 아닙니다.
환자분이 인비절라인으로 치료를 원해도 큰어금니가 쓰러져 다른 어금니에 걸려있는 경우, 인비절라인 보다는 클리피씨와 같은 브라켓 - 철사교정을 권유드리고 있습니다.
쓰러진 큰어금니를 세우는데는 정출력이 많이 필요하고 투명교정은 치아에 정출력을 제대로 전달하기 어렵기 때문입니다.
하지만 부분적으로 클리피씨 브라켓을 붙여 철사의 힘이 필요한 부분만 <부분교정>으로 먼저 개선하여 틀을 잡아놓고 나머지 부분은 투명교정장치를 쓰기도 합니다.
오늘은 그런 이야기를 해보겠습니다.
이 포스팅 환자분의 인비절라인 교정스토리는 유튜브에서도 만나보실 수 있습니다.
작년 1월, 교정치료를 위해 내원한 20대 환자분입니다. 동생과 같이 오셨는데 두 형제가 모두 훈훈한 외모에 성격도 좋고 매너도 좋은 그런 분들이었습니다.
유튜브 촬영도 흔쾌히 수락해주셨습니다. 다시 한번 감사합니다.

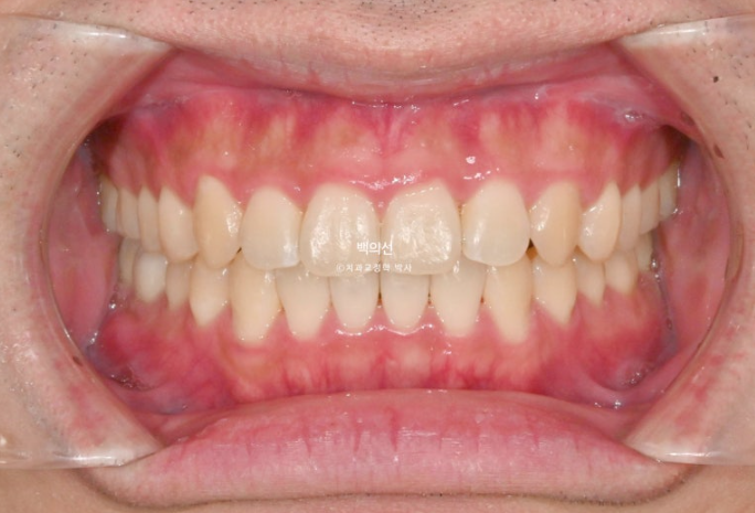
24.01
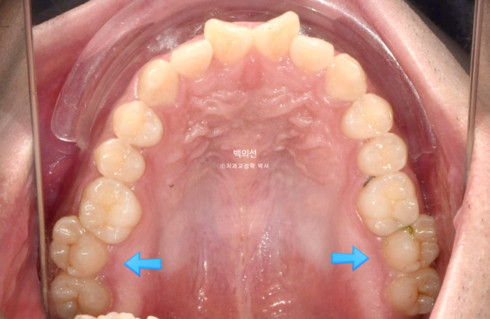
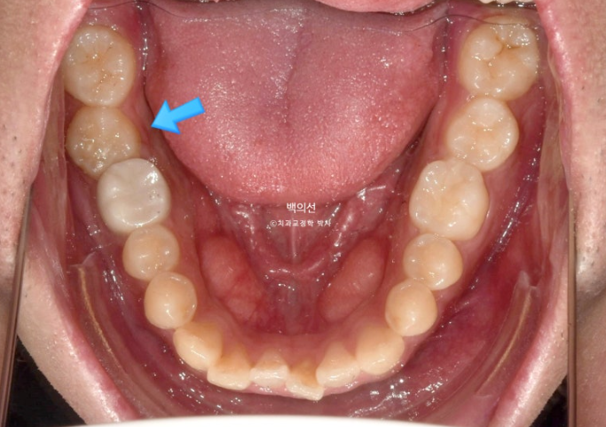
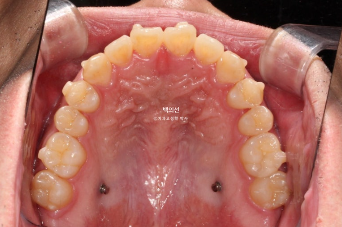
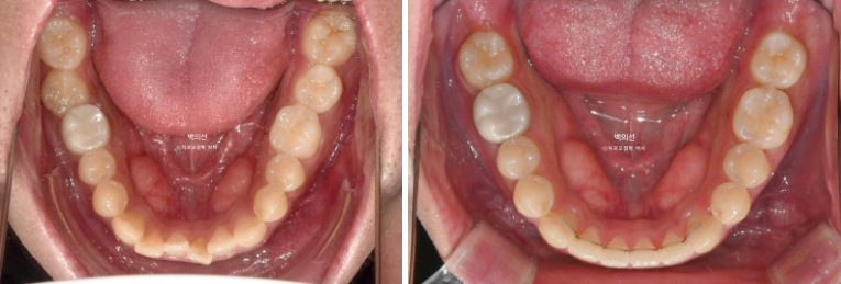
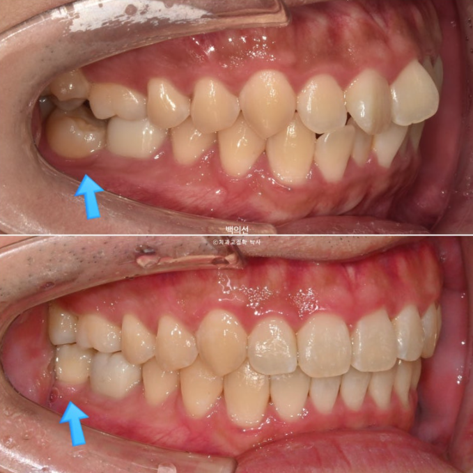
앞니가 삐뚤하고 소위 나비치아 입니다. 맨 뒤 큰어금니가 바깥으로 덧니처럼 뻗쳐있습니다.

교합면 사진에서 나비치아와 바깥으로 나가있는 두번째 큰어금니가 잘 보입니다.

파란 화살표 치아끼리 엇갈려 물리는 가위교합으로 교합이 안되는 상태입니다.
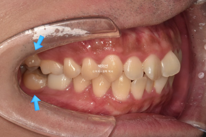
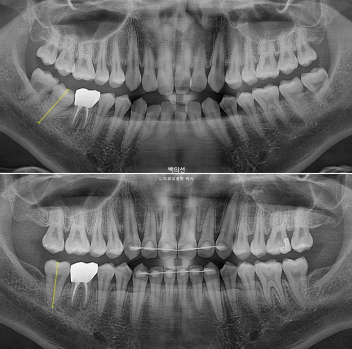
특히 아래 두번째 큰어금니는 쓰러져 있습니다.

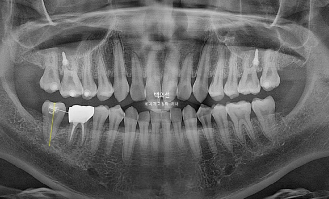
노란선이 쓰러져 있는 큰어금니죠. 사랑니를 빼고 세워야 합니다.

문제의 쓰러진 큰어금니는 앞의 큰어금니에 걸려있는 상태로, 인비절라인 투명교정장치 만으로 세우기는 힘들어요.
클리피씨와 같은 브라켓을 붙이고 철사의 힘을 빌려야 합니다.
환자분은 투명교정을 원했기 때문에 투명교정장치 제작 전 쓰러진 어금니와 가위교합을 먼저 개선해놓고, 나머지 앞니 삐뚠 부분은 인비절라인 라이트로 해결하기로 했습니다.

24.04
치료시작 3개월차 사진입니다. 먼저 4군데 사랑니를 다 뽑았습니다.
쓰러진 큰어금니와 그 앞의 큰어금니에 총 2개의 브라켓을 붙이고 철사를 넣어 치아를 세웠습니다.

24.01~24.07
그 사이 입천장에는 가위교합 개선을 위해 교정용 나사 미니스크류를 심고 바깥으로 뻗쳐있던 큰어금니를 제 위치 시켰습니다.

24.01~24.07
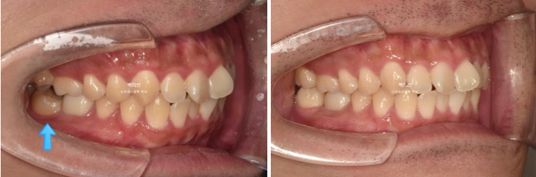
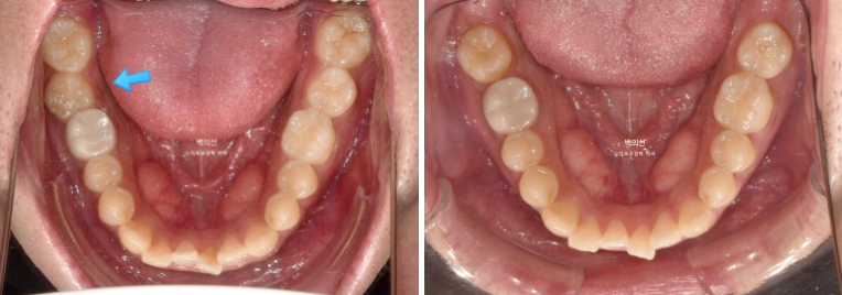
치료시작 6개월차, 쓰러진 큰어금니가 서고 가위교합이 해소가 되었습니다.

24.01~24.07
이제 사전 부분교정으로 큰공사를 끝냈으니 본격적으로 투명교정을 시작해야하죠.
스캔 후 인비절라인 장치 제작에 들어갑니다.
24년 8월에 첫 장치를 끼기 시작합니다.

24.11
24년 8월부터 12월까지 3달 반 동안 14개 장치를 모두 낀 후 모습입니다.

24.11
배열은 좋아졌으나 아직 중심선이 미세하게 안 맞네요.



24.12
미진한 부분들을 더 개선하고자 추가장치제작에 들어갑니다. 25년 5월까지 추가장치를 모두 낀 후 드디어 치료를 마무리 하였습니다.

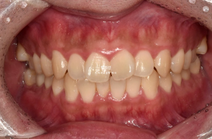
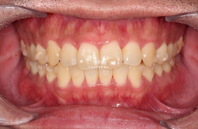
25.05
중심선은 잘 맞고

25.05
교합은 좋습니다.
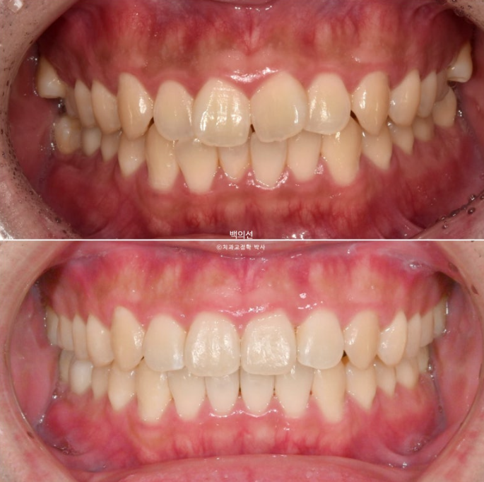
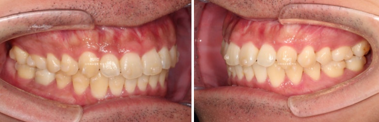
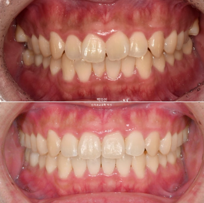
치료 전 후 비교해보겠습니다.
좌 치료 전 / 우 치료 후

24.01~25.05

총 치료기간은 1년 4개월이며 인비절라인으로 치료한 기간은 9개월 입니다.

24.01~25.05


24.01~25.05
앞니 돌출의 개선

24.01~25.05
깔끔해진 미소가 돋보이네요.

24.01~25.05
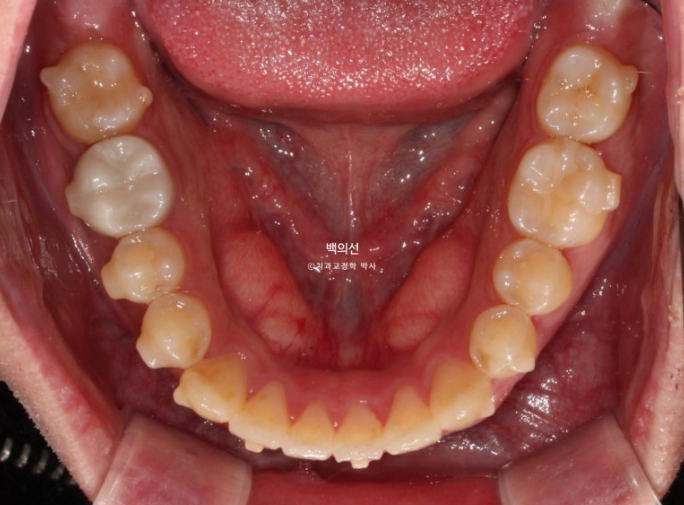
치근흡수는 없고 치근평행도는 좋습니다.
풍부한 진료 경험을 바탕으로 되는 것과 안되는 것을 확실히 구분하여 치료계획 단계에서부터 전력적으로 접근하면, 환자가 원하는 바도 이루고 좋은 결과도 얻을 수 있습니다.

