안녕하세요
40대 인비절라인 교정 소개해드리겠습니다.
빈 공간을 오래 방치하면 대합치가 내려오면서 임플란트가 힘들어지는 경우가 많습니다.
이런경우 대합치를 교정으로 함입시켜 다시 올려줘야 하고 교정이 여의치 않으면 임플란트 공간을 확보하기 위해 내려온 치아를 깎아 크라운을 씌우기도 합니다.

2024.10~2025.07
오늘도 다소 문제가 많아 복잡한 케이스를 보면서 인비절라인 라이트라는 짧은 프로그램으로 어떻게 치료하는 지 보여드리겠습니다.
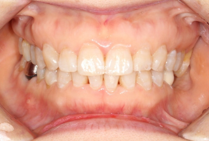
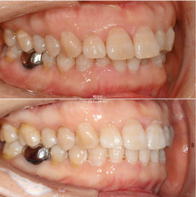
작년 9월, 앞니 돌출과 삐뚠치아 배열을 위해 오신 환자분입니다.

24.10
정면에서는 아래 앞니 일부가 윗니에 가려져 안 보일정도의 심한 과개교합을 보입니다.

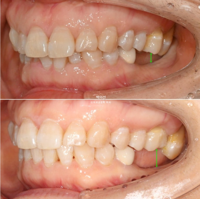
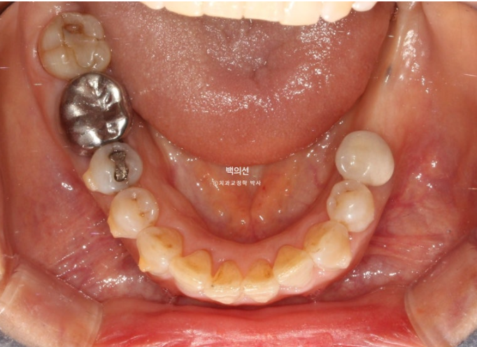
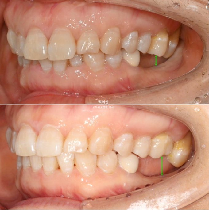
좌측 아래는 어금니가 빠진 지 오래된 상태입니다.
임플란트가 필요한 부분을 장기간 방치하면 대합치가 조금씩 솟아 내려오게 됩니다.
파란화살표 임플란트를 해넣기 위해서는 교정으로 내려온 대합치를 합입 시켜 올려야 합니다.

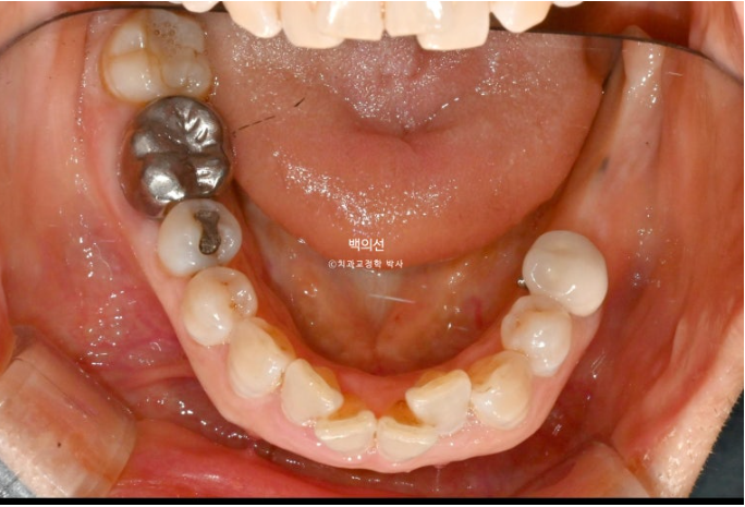
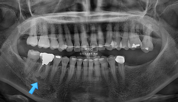
특히 내려온 큰어금니들 중 맨 뒤 제2대구치는 살릴 수 없어 타병원에서 발치진단이 나온 상태입니다.
잇몸이 뿌리끝까지 내려가 상태가 좋지 않습니다.
이 경우 치아를 미리 빼기 보다는, 불편함이 없다면 전략적으로 교정치료에 힘을 보태는데 이용하다가 교정치료가 끝나면 발치합니다.

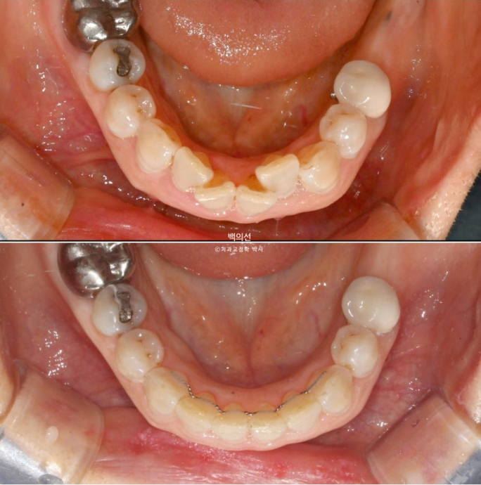
앞니 두 개가 튀어나와 돌출이며

아래 앞니는 치아가 많이 겹쳐져 있습니다.
특히 가운데 앞니와 옆 앞니는 50% 정도가 겹쳐진 상태
치아가 많이 겹쳐진 부위는 가지런히 배열이 끝나면 블랙트라이앵글이 크게 생깁니다.
블랙트라이앵글은 100% 없앨 수 없지만 치간삭제를 통해 줄여서 마무리할 수 있습니다.

24.10
다른 문제가 하나 더 있습니다. 파란 화살표 치아는 신경치료 된 치아인데 뿌리끝에 염증이 있습니다.
이 치아 역시 타병원에서 쓸때까지 쓰다가 문제 생기면 발치 후 임플란트 하는 걸로 알고 계셨습니다.
인비절라인이 이와같이 치근단 염증이 있거나 잇몸이 약해 교정력이 가해지지 않아야할 치아들이 있는 경우 큰 장점이 있습니다.
치료의 처음부터 끝까지 치아이동이 없게끔 치료계획을 세우면, 약간 치아에 무리가 가지 않게 나머지 타겟치아들만 움직이면서 교정이 가능합니다.
환자분은 다른 교정치과에서 인비절라인 라이트는 안되고 인비절라인 컴프리헨시브를 해야한다는 진단을 받고 왔으나 인비절라인 라이트로 충분히 가능해보여 인비절라인 라이트로 권유드렸습니다.
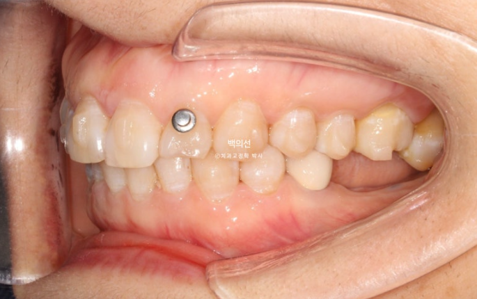
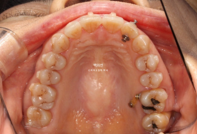
단 빈공간으로 내려와 있는 큰어금니를 합입시킬때에는 교정용 나사가 필요합니다.
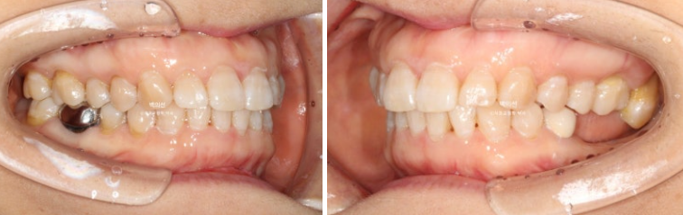
24년 10월부터 25년 2월까지 4개월간 인비절라인 라이트가 허용하는 14개 장치를 모두 낀 후 모습입니다.

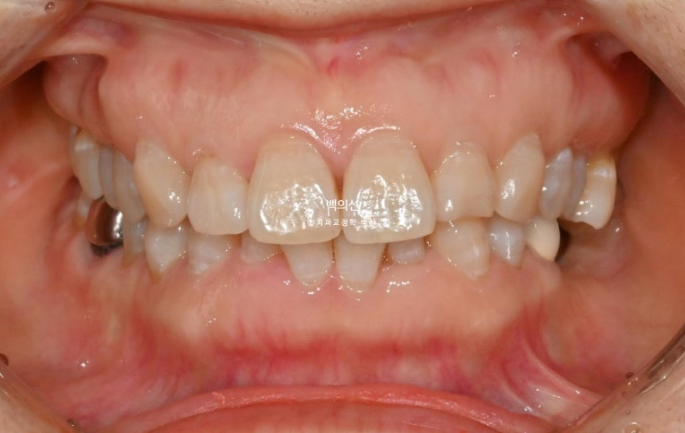
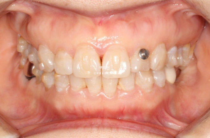
25.02
중심선은 정확히 맞고 과개교합은 개선이 되었습니다.
사진상 금속부분은 고무줄 거는 고리이고 치료 도중 해당치아의 이동이 원활하지 않아서 고무줄의 힘을 더하기 위한 부착물입니다.

내려와 있던 제 1대구치가 원래위치로 많이 올라갔습니다.
이제 임플란트 심을 공간이 확보되었습니다.

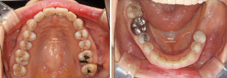
입천장에 교정용 나사인 미니스크류를 1개 심고 정출된 제1구치 함입을 도모합니다.

아래 앞니 배열은 많이 좋아졌으나 아직 배열이 완벽하진 않습니다.
더 좋은 결과를 위해 재제작에 들어갑니다.
25년 4월부터 7월까지, 4개월간 14개 추가장치를 모두 낀 후 모습입니다.

25.07

교합이 좋지 않으면 치료를 마무리 짓지 않습니다.

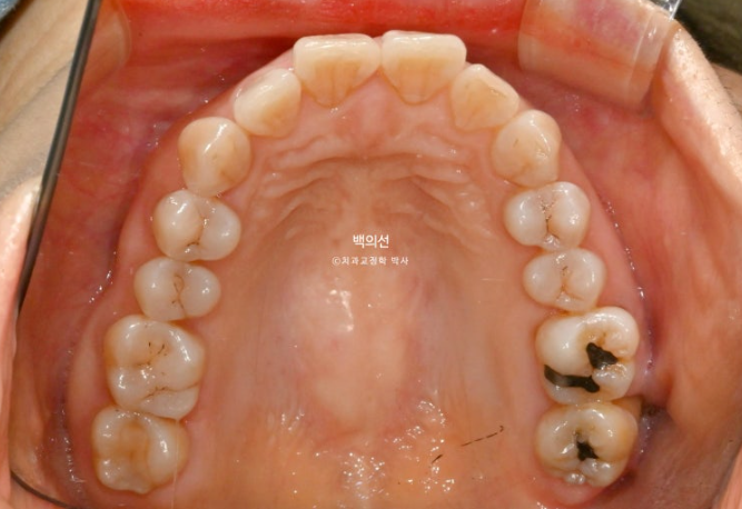
유지장치까지 깔끔하게 들어간 모습입니다.
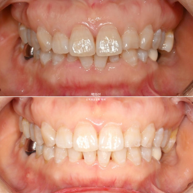
이제 전후 비교 보겠습니다.
총 치료기간은 10개월 입니다.

24.10~25.07
과개교합과 중심선의 개선.

내려오고 튀어나와 있던 가운데 앞니는 뒤로 이동하며 돌출감이 줄었습니다

24.10~25.07
빈공간으로 내려와있던 큰어금니를 함입시켜 비로소 임플란트 심을 공간이 확보되었습니다.
바로 뒤에 발치시기를 미루고 치료에 이용된 제 2대구치는 임플란트 수술과 함께 발치할 예정입니다.

24.10~25.07
가지런해진 아래 앞니

24.10~25.07
정돈 된 스마일라인이 돋보이네요

24.10~25.07
앞니돌출은 개선되었습니다.

25.07
파란화살표 문제의 치근단 염증은 초진에 비해 커지지 않고 잘 유지되었습니다. 치료계획상 이동이 전혀 일어나지 않도록 했기 때문입니다.
치근 평행도는 처음보다 좋아졌으며 치근흡수는 없습니다.
환자분은 임플란트 수술을 마치면 임플란트 치아까지 포함된 비베라 투명유지장치를 제작할 예정입니다.
여러가지 문제가 다소 복잡하게 얽혀 있더라도 잇몸과 치아에 무리를 최소화 하면 치료계획을 세우면 인비절라인 라이트와 같은 단기 교정 프로그램으로도 좋은 결과를 이끌어낼 수 있습니다.

