안녕하세요
압구정 인비절라인 치과입니다.
오늘은 인비절라인 돌출입 발치교정 이야기입니다.

23.01~25.07
23년 1월 교정을 위해 내원한 30대 환자분입니다.
고치고 싶은 것은 돌출입이였고 장치는 인비절라인 선택하셨습니다.

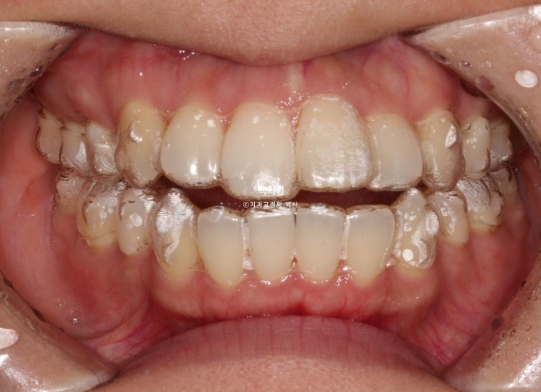
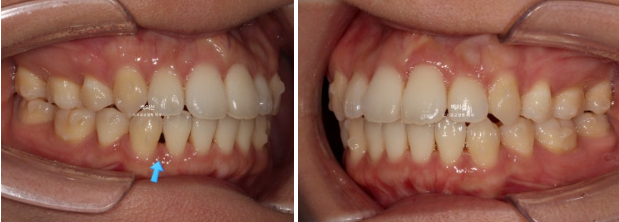
23.01
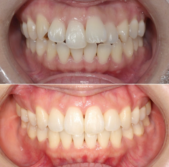
앞니 덧니가 보입니다.
중심선이 약 2mm 어긋나 있습니다.

앞니 뻗침은 심한 편 입니다.

23.01

인비절라인을 원하셔서 인비절라인 발치교정을 권유드렸습니다.
작은어금니 4개를 발치하기로 했습니다.
첫번째 세트의 장치는 총 80개가 나왔습니다.
일주일에 한 개씩 장치를 교체하며 진행했습니다.

24.01
치료시작 1년째 모습입니다.

24.01
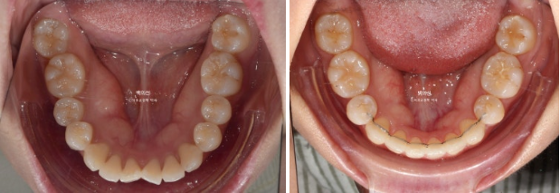
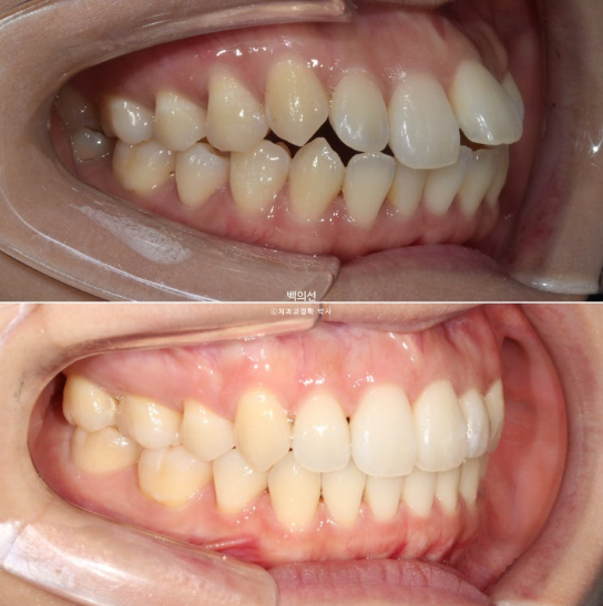
발치공간은 절반쯤 없어졌고

24.01
장치가 뜨거나 안 맞는 부분이 없이 치료가 잘 되어가고 있습니다.
드디어 80개 장치를 다 낀 것은 24년 8월입니다. 치료시작 1년 8개월째입니다.

24.08
중심선은 잘 맞고 앞니 교합도 좋습니다.

24.08

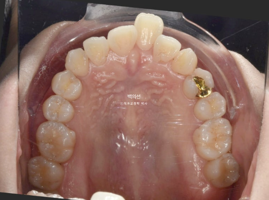
발치공간은 다 닫힌 것 처럼 보이지만 치실이 헐렁하게 들어가는 정도의 미세공간은 남아있습니다.
미진한 부분들을 개선하기 위해서 추가장치 재제작에 들어갔고 24년 9월부터 25년 4월까지, 25개의 추가장치를 다 낀 후 모습입니다.

25.04
모든 게 좋지만 환자분의 요구사항은 왼쪽 앞니 하나가 기울어져 것이었습니다.
이 부분을 해결하고자 추가장치를 한 번 더 쓰기로 합니다. 25년 5월부터 7월까지 10개의 추가장치를 더 낀 후 드디어 치료를 마무리 했습니다.

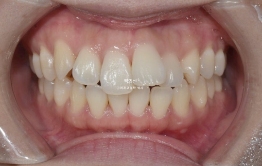
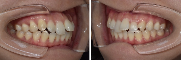
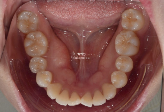
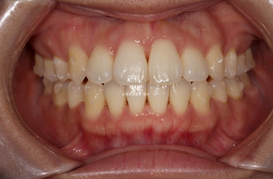
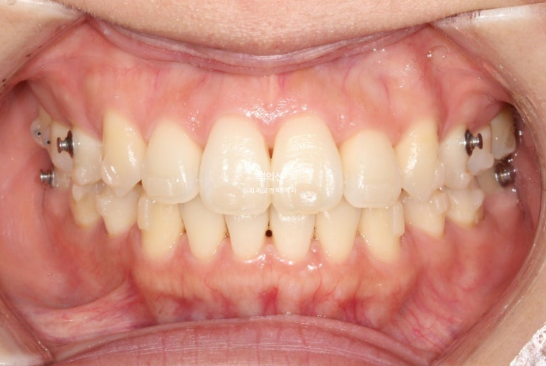
25.07
중심선은 일치하고

어금니 교합은 1급이고 물샐틈 없습니다.

23.01~25.07

23.01~25.07
유지장치까지 들어간 모습입니다.
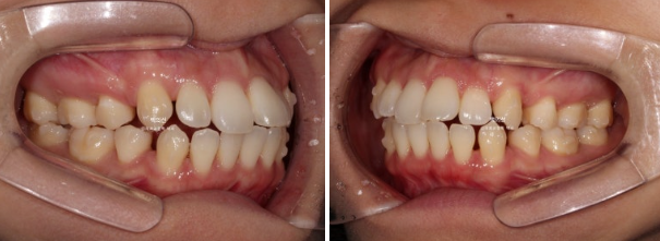
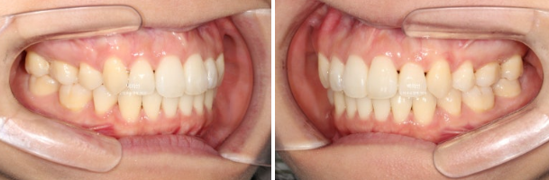
이제 전 후 비교해보겠습니다.
총 치료기간은 2년 6개월, 재제작은 총 2회 했습니다.

23.01~25.07

23.01~25.07
이제 안모 비교해보겠습니다.

23.01~25.07
스마일라인이 예쁩니다.

23.01~25.07
이상적인 앞니 각도가 돋보입니다.

23.01~25.07
앞니 뻗침이 해소가 되니 안 다물리던 입술이 이제 자연스럽게 다물립니다.
요즘 교정을 앞둔 환자분들과 이야기 하다보면, 발치교정 했을 때 입이 합죽이처럼 들어갈까봐 걱정이 많으십니다.
너무 과하게 들어가지 않은 적당한 입매를 찾기 위해 늘 노력합니다.
감사합니다.

