안녕하세요
압구정 교정치과입니다.
오늘은 주걱턱 즉 골격성 3급 부정교합을 소개해드리려고 합니다
골격성 3급 부정교합의 경우 정도에 따라 양악수술까지 필요한 경우가 있습니다.
특히 같은 주걱턱이여도 하관이 위아래로 긴 발산형 안모의 주걱턱은 양악수술이 더더욱 필요합니다.

24.01~25.07
하지만 환자분이 "양악수술 할 바엔 차라리 교정도 안한채로 그냥 살겠다."라는 정도로 수술에 대한 거부가 크다면 교정만으로 교합을 개선시키는 치료를 하기도 합니다.
오늘은 인비절라인으로 비수술 주걱턱 부정교합 교정치료가 어떻게 이루어지는지 보여드리겠습니다.

24.01
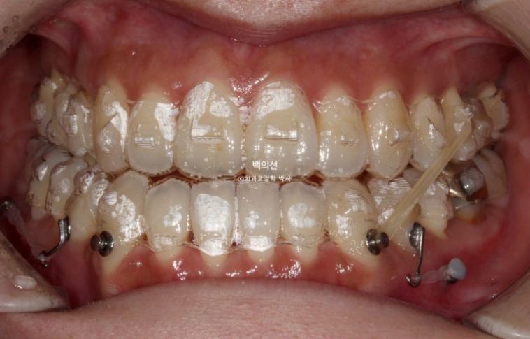
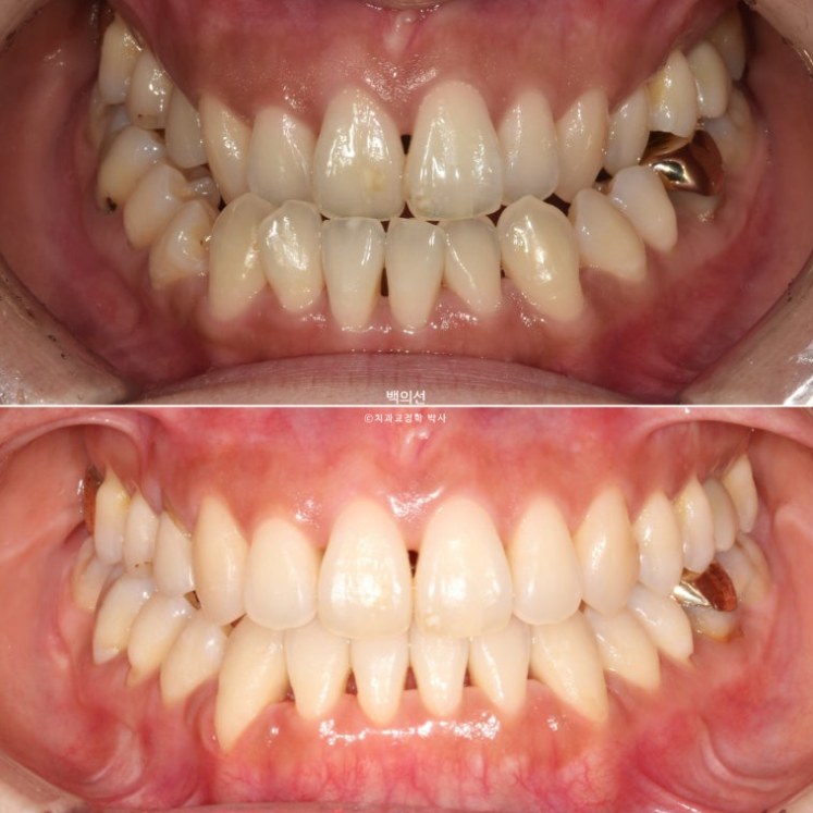
1년반전, 교정치료를 위해 오신 30대 환자분입니다.
오래 전 교정상담을 받은 적이 있고 양악수술을 권유받아 교정도 단념하고 살던 차에, 가족 교정상담차 오셨다가 함께 상담을 받게 되었습니다.
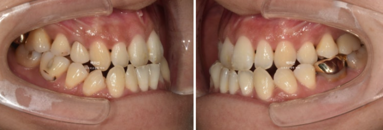
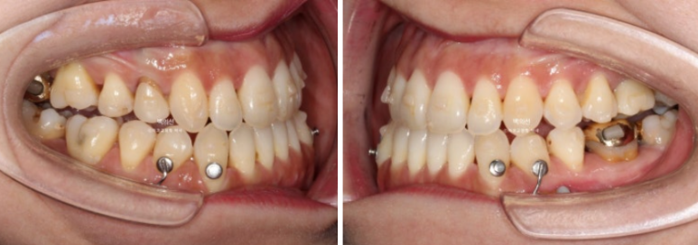
앞니뿐만 아니라 큰어금니까지 반대교합입니다.
앞니 중심선은 약 2mm 어긋나 있습니다.

어금니 역시 심한 3급 교합관계를 보입니다. 앞니는 반대교합으로 거꾸로 물립니다.

24.01
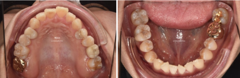
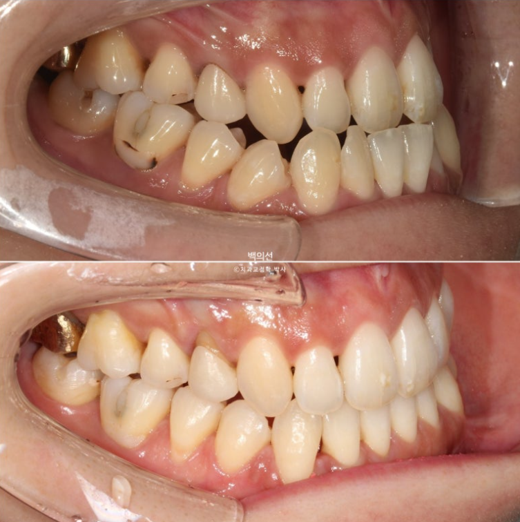
왼쪽 위 큰어금니 1개가 임플란트이며 앞니가 삐뚤삐뚤합니다.
주걱턱 부정교합은 아래 앞니를 지지하고 있는 치조골이 얇은 경우가 많습니다.
그만큼 블랙트라이앵글의 발생 위험도 높죠. 이부분을 개선하기 위한 치간삭제가 들어가겠지만 그래도 어느정도 블랙트라이앵글은 감안해야 하는 부분입니다.
양악수술이 필요한 상황이었으나 수술에 대한 의지가 전혀 없다면, 교합이라도 정상화 시키는 절충치료를 고려해볼 수 있습니다.
주걱턱이 심한 편이라 양악수술 없이 교정만으로 모든 것을 정상화 시키기에는 당연히 어느정도 한계가 있지만, 현재 상태로 지내는 것 보다 훨씬 나은 선택이 될 것 입니다.
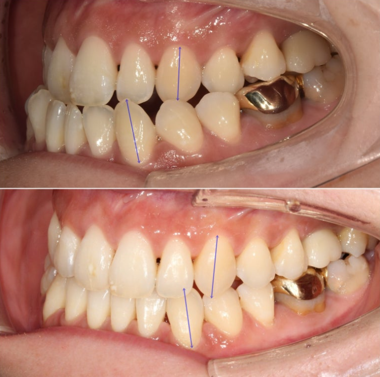
아래 전체치열을 사랑니 공간을 이용하여 뒤로 밀어내어 최종적으로 아래 앞니가 뒤로 움직이고 앞니 교합을 정상화 시키기로 합니다.
인비절라인을 선택하셨고 치료에 들어갔습니다.

24.11
첫세트의 장치는 45개가 나왔습니다.
아래에는 교정용 나사인 미니스크류를 양쪽 1개씩 심고 환자가 스스로 뺏다 꼈다 하는 악간고무줄 처방도 같이 들어갑니다.
11개월에 걸쳐서 장치를 모두 낀 후 모습입니다.

24.11
앞니 반대교합은 해소가 되었고 아래 앞니 배열이 개선되면서 생긴 블랙트라이앵글이 보입니다.

24.11
아직은 어금니가 뜨고 교합이 잘 안되는 상태입니다.

미니스크류와 연결된 작은어금니의 회전을 바로 잡기 위해 안쪽에도 고무줄 고리가 붙어있습니다.
미진한 부분들을 개선하기 위한 추가장치 재제작에 들어갔고 24년 12월부터 25년 6월까지 25개의 추가장치를 모두 낀 후 치료를 마무리 했습니다.

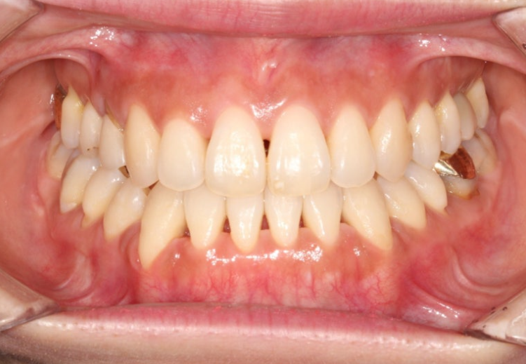
블랙트라이앵글은 아쉽지만 중심선은 거의 맞고 교합이 깔끔해졌습니다.

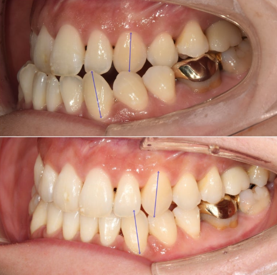
24.01~25.07

삐뚤 앞니는 가지런해졌습니다.
이제 전후 비교 보겠습니다. 총 치료기간은 1년 반, 재제작은 1회 했습니다.

24.01~25.07
앞니 뿐만 아니라 어금니 반대교합도 함께 개선되었습니다.
중심선은 개선되었습니다.

24.01~25.07

24.01~25.07
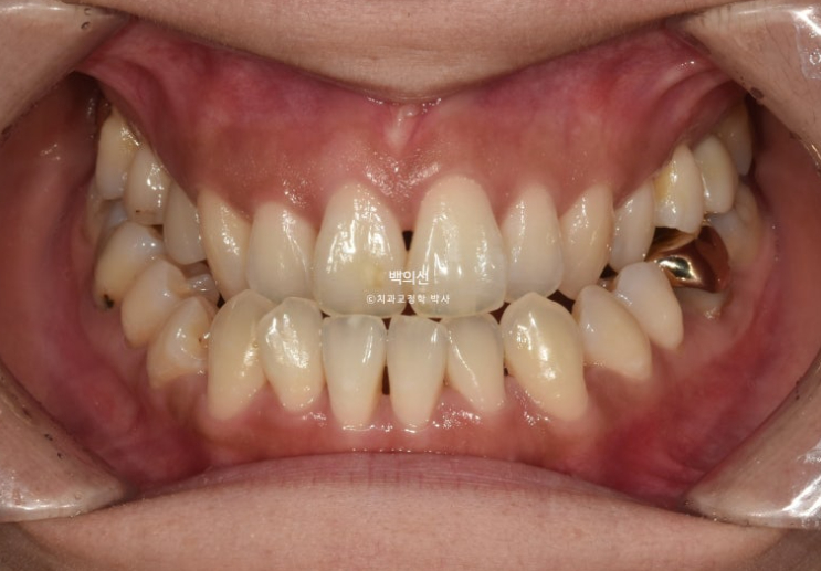
이제 안모 변화 보겠습니다.

24.01~25.07
정돈된 스마일라인과 개선된 미소

24.01~25.07

24.01~25.07
아랫 입술이 뒤로 들어가며 처음에 비하여 입매가 조화로워 보입니다.

24.01~25.07
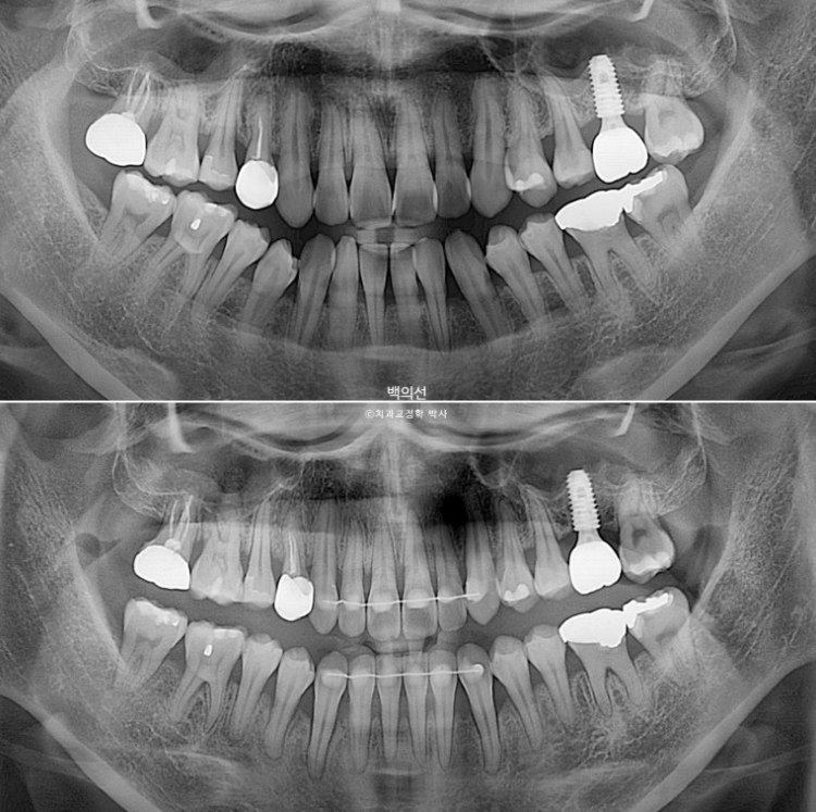
1년 반의 치료기간동안 치근흡수는 없고 치근평행도는 좋습니다.
특히 아래 치열이 뒤로 움직이면서 사랑니 공간이 많이 줄어든게 보입니다.
윗입술은 전 후 변화가 없고 아래앞니가 뒤로 들어가면서 아랫입술이 따라 뒤로 들어가는 것이 보입니다.
환자분은 철저한 재발 방지를 위해 비베라 유지장치를 꼼꼼하게 착용 중입니다.
양악수수을 동반했다면 골격적 수치나 치아의 각도 등 모든 것이 좀 더 정상수치에 준하게끔 마무리가 되었겠지만, 환자분의 협조도가 훌륭하여 양악수술 없이도 꽤 좋은 결과를 얻을 수 있었습니다.
양악수술이 무서워서 교정 자체를 망설이는 분들에게 이 포스팅이 도움이 되길 바랍니다.

