안녕하세요
오늘은 치아교정 소개해드릴 압구정 교정치과 입니다.
저희 치과에는 유학생 환자분들이 많습니다.
보통 일년에 2번 여름, 겨울 잠깐 들어올 수 있습니다.

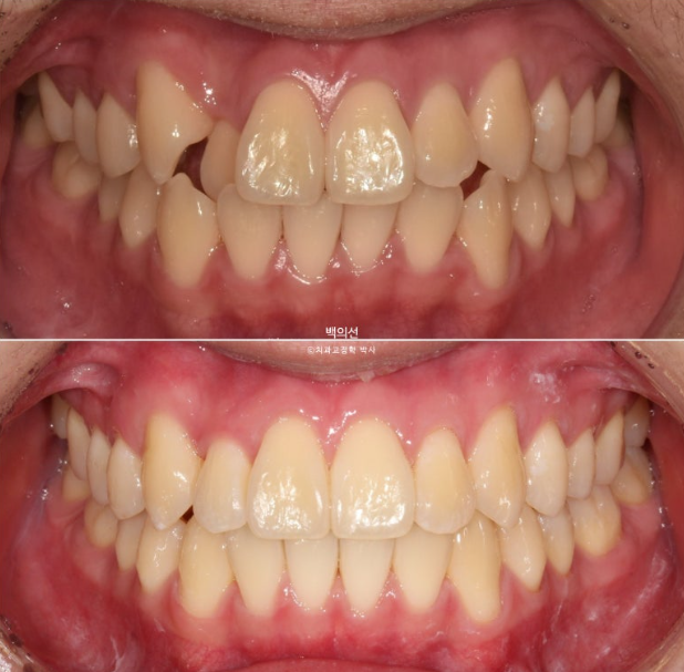
24.04~25.07
1년에 두 번 밖에 내원을 못하더라도 인비절라인 치료결과는 늘 좋습니다.
오늘은 인비절라인 라이트로 일년에 2번 밖에 못오는 상황에서 어떻게 교정치료를 하는 지 알려드리겠습니다.
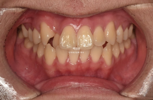
24년 2월, 교정치료를 위해 온 환자분입니다.
인비절라인 회사 직원의 가족이였습니다.
유학생이라 겨울방학에 한국 들어온 차에 겨울방학이 끝날때쯤 교정을 시작하러 내원한 것 입니다.
유학생분들 하나 추천드리자면 방학 시작하자마자 와주세요.
인비절라인 교정은 장치 오더 하고 1달반 후에 장치가 나와서 시작할 수 있답니다.

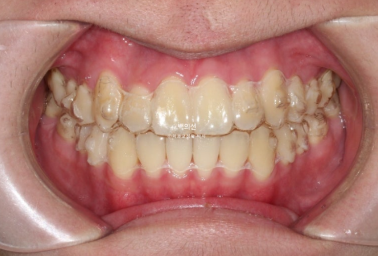
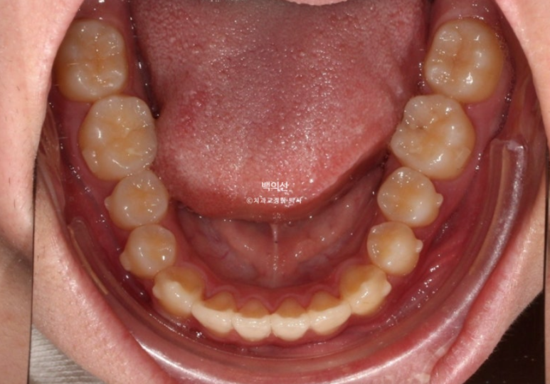
24.04
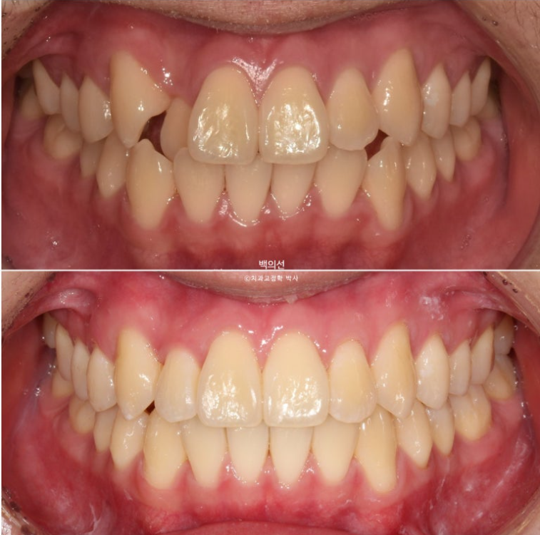
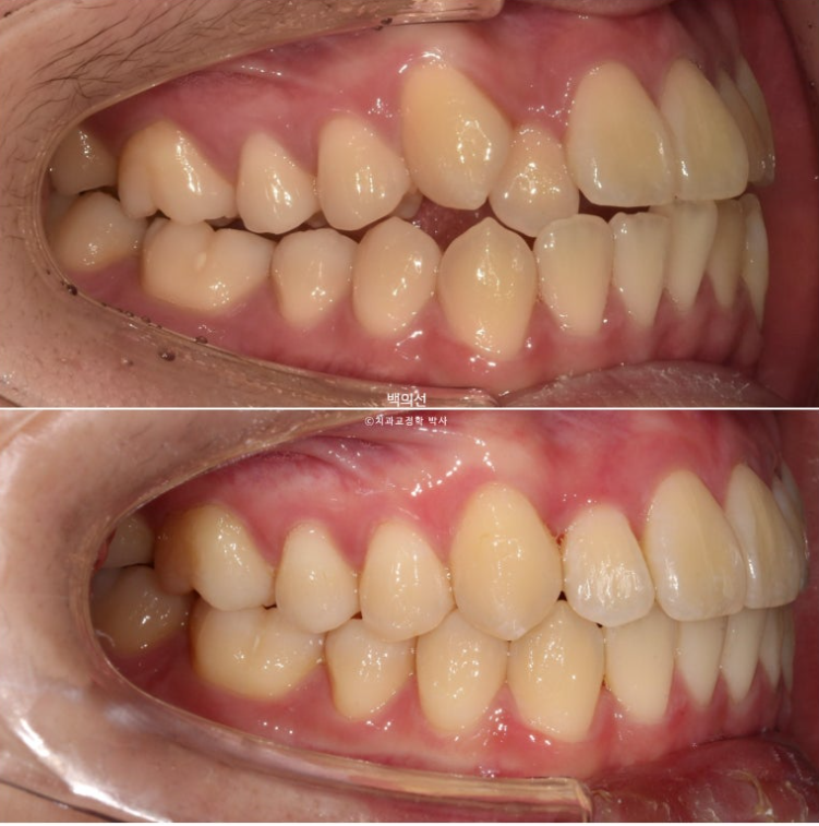
송곳니 덧니가 있고 덧니 옆 앞니는 입천장으로 나서 아랫니가 거꾸로 물리는 반대교합 입니다.

교합이 뜨는 부분들이 있습니다.


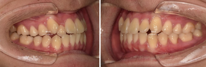
어금니 교합은 좋고 돌출이 없어서 치간삭제 소량 동반한 인비절라인 라이트 권유드렸습니다.
환자분은 유학생이라 여름과 겨울에 2번밖에 못 오는 상황이었습니다.
14개 장치를 통상 일주일씩 끼면 3달반이지만, 장치당 10일에서 2주로 늘려서 끼면 방학 스케줄에도 맞출수 있습니다.
24년 2월에 인비절라인 장치 주문을 했고 24년 4월 환자분이 잠깐 한국에 들어와 첫 장치를 껴보고 14개 장치를 모두 챙겨 출국했습니다.
12월까지 장치 하나당 열흘에서 2주씩 착용했고 12월 겨울방학이 되어 내원한 모습입니다.

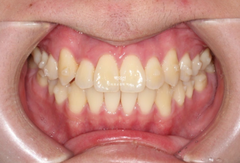
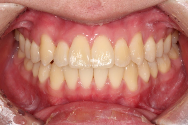
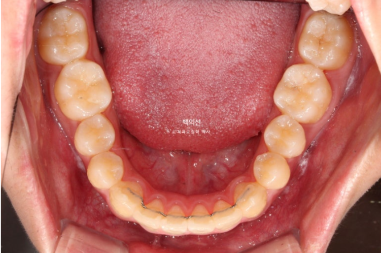
24.12

24.12
덧니와 반대교합은 해소가 되었습니다.

교합은 좋고 양쪽 다 1급 교합관계를 보입니다.

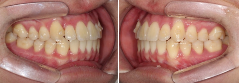
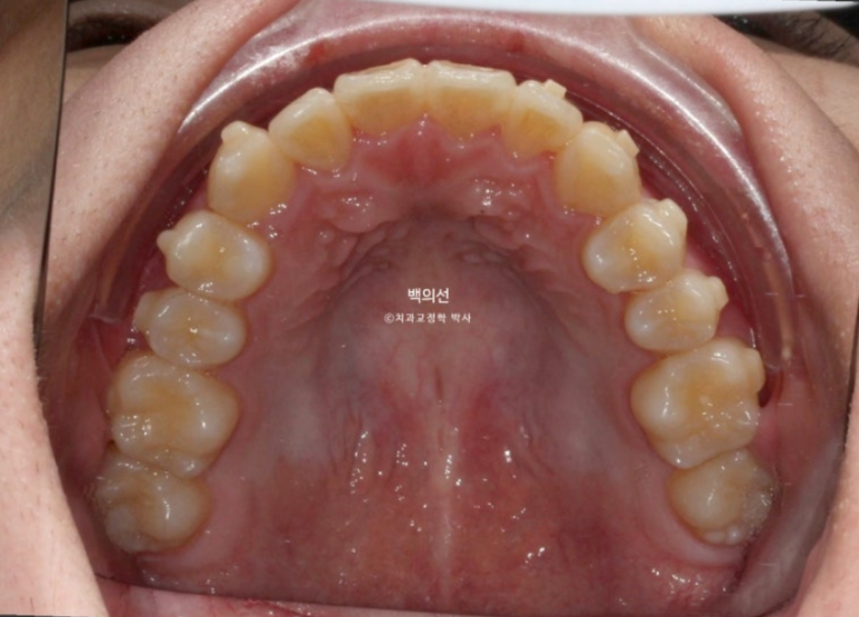
24.12

배열도 완벽 합니다.
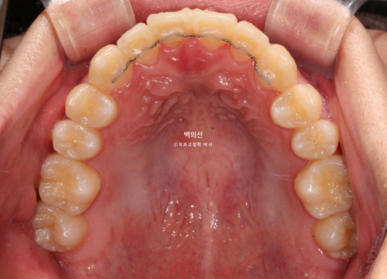
지금도 충분히 좋지만 추가장치 제작에 들어갔고 25년 2월부터 25년 7월까지 추가장치를 다 낀 후 치료를 마무리 했습니다.
마찬가지로 14개 추가장치를 모두 챙겨가 해외에서 바꿔끼면서 치료를 진행했습니다.
치료 마무리까지 총 내원 횟수는 약 5회 입니다.
초진
첫 장치 끼는 날 내원
14개 장치를 다 긴 후 추가장치 제작 하러 내원
추가 장치 끼는 날 내원
14개 추가장치 다 끼고 내원

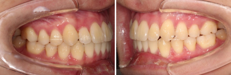
25.07

25.07

25.07

전 후 비교 보겠습니다.

24.04~25.07

24.04~25.07

24.04~25.07

24.04~25.07
교정치료가 필요한 유학생분들께 이 포스팅이 도움이 되길 바랍니다.

