안녕하세요
압구정 교정치과입니다.
오늘은 50대 치아교정 이야기를 해보겠습니다.
투명교정 인비절라인은 난이도, 즉 치료기간에 따라 여러가지 프로그램을 두고 있습니다.
즉 치료 난이도에 따라 비용을 달리 책정합니다.
장치 7개 안에 해결이 가능한 경미한 부정교합은 인비절라인 익스프레스
장치 14개 안에 해결이 가능한 부정교합은 인비절라인 라이트
장치 26개 안에 해결가능한 부정교합은 인비절라인 모더레이트
그 이상의 전체교정은 장치갯수의 제한이 없는 인비절라인 컴프리헨시브로 치료하게 됩니다.
그간 인비절라인 라이트 케이스에 대해서 많은 포스팅을 해왔습니다.
그렇다면 인비절라인 익스프레스는 대체 언제 쓰는가 궁금하시죠.

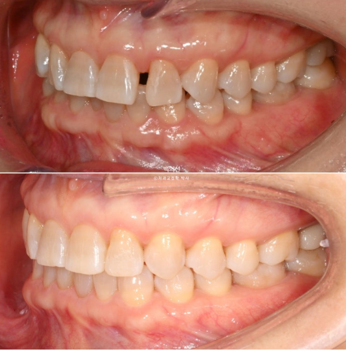
25.02~25.08
오늘은 인비절라인 익스프레스로 치료한 증례를 보시겠습니다.
25년 2월, 교정치료를 위해 내원한 환자분입니다.
위 앞니 사이가 점점 벌어지고 아래 앞니는 점점 틀어진다 라는 이유로 오셨습니다.

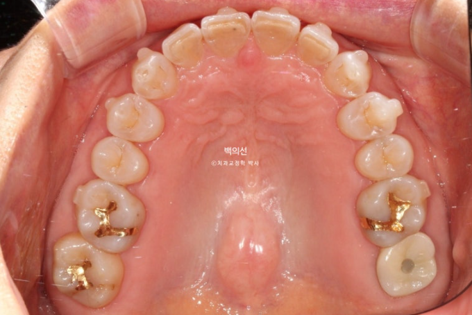
25.02
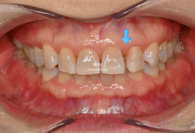
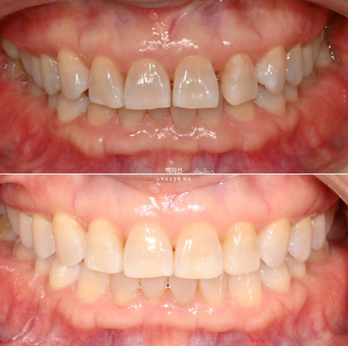
앞니가 깊게 물리는 과개교합이 보입니다.
파란 화살표는 벌어진 틈을 레진으로 메꿔놓은 곳 입니다.

25.02
레진 치료를 감쪽같이 잘 해놓으셨습니다.

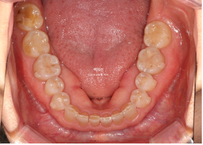
25.02
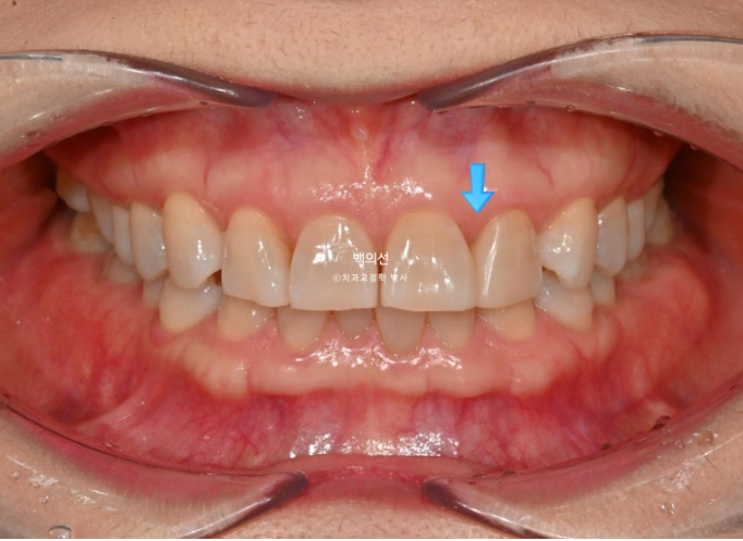
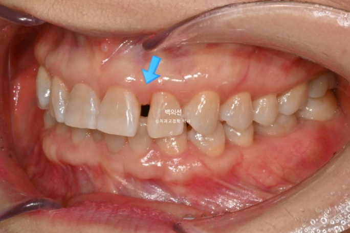
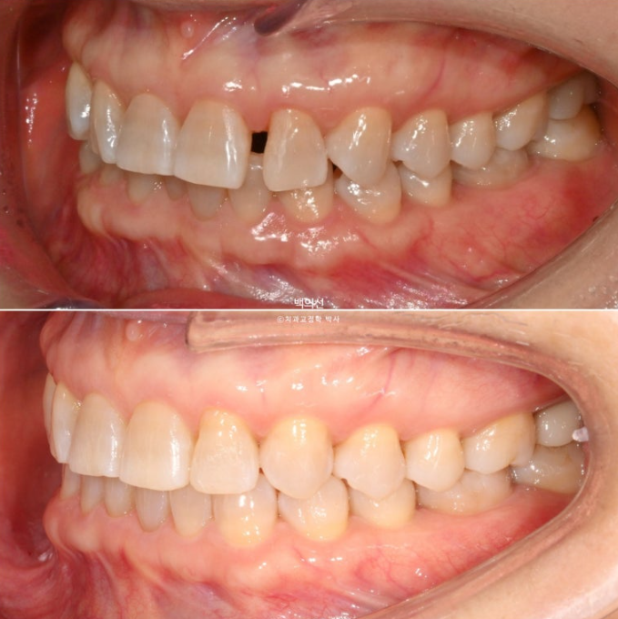
앞니의 뻗침이 있습니다.

25.02
파란 화살표는 틈을 메워놓은 레진 입니다.

25.02
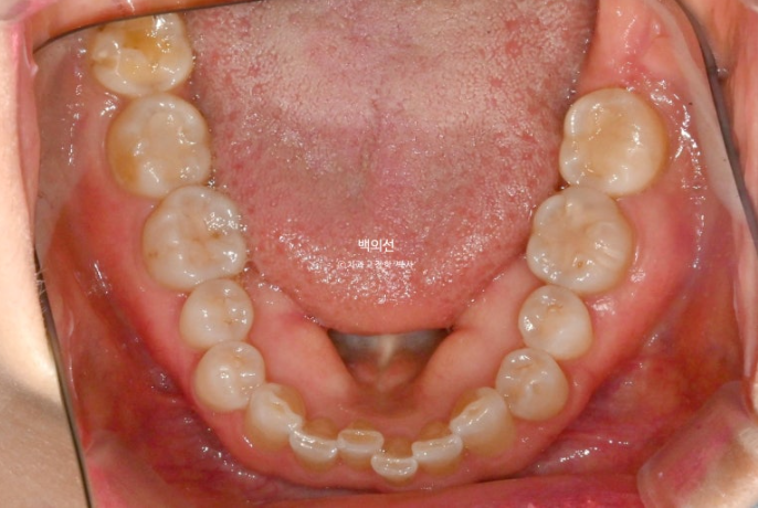
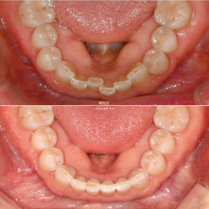
아래 앞니는 누구나 나이가 들면서 점점 틀어집니다.
앞니를 잡는 뼈가 약해지기도 하고, 평행에 걸쳐 교합력이 어금니들을 앞으로 밀어내는 방향으로 작용하기 때문입니다.
아직 많이 안 틀어졌을 때 배열을 한 번 잡아주는 것이 좋습니다.

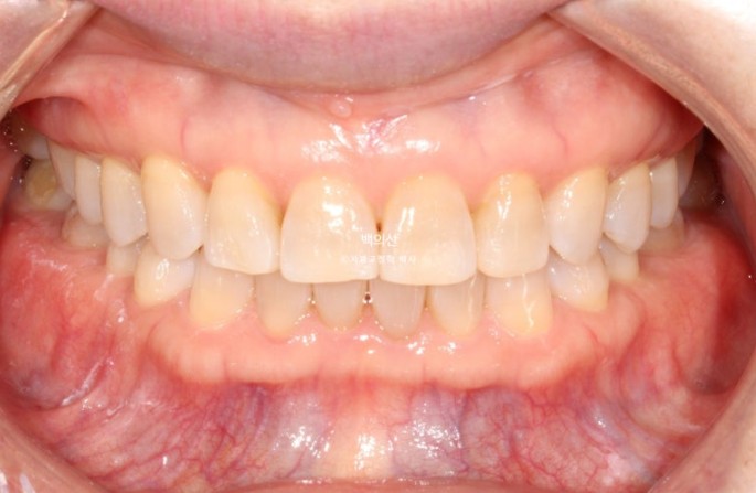
25.02
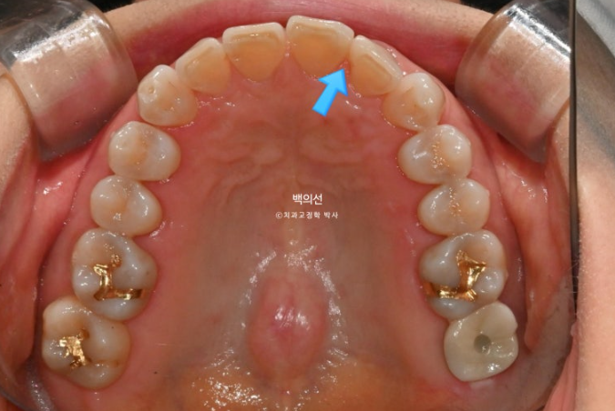
벌어진 틈을 메워놓는 레진을 제거한 모습입니다.

25.02
생각보다 틈이 꽤 크죠?
하지만 이 정도의 벌어짐, 틀어짐에는 인비절라인 익스프레스가 적절합니다.
인비절라인 익스프레스에서 허용하는 7개 장치를 끼는 기간은 1주일에 하나씩 교체하면 총 두 달 입니다.
재제작 기회가 1번 있어서 이 부분까지 포함하면 총 치료기간은 6개월 봅니다.
2월부터 4월까지 두 달간 장치를 다 낀 후 모습입니다.

25.04

25.04
벌어져 있던 큰 틈은 사라졌고 앞니 뻗침은 개선이 되었습니다.

25.04
그러나 앞니 사이사이 치실이 헐렁하게 들어갈 정도의 미세한 틈은 남아있는 상태입니다.
재제작이 필요합니다.

25.04
아래 앞니 배열은 벌써 가지런해졌습니다.
재제작에 들어갔고 추가장치를 기다리는 1달간은 7번 마지막 장치를 잘 때만 끼면서 배열을 유지합니다.

25.08
25년 5월부터 7월까지 7개 추가장치를 모두 낀 후 치료를 마쳤습니다.

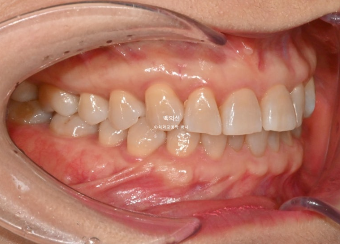
원래 좋았던 어금니 교합은 잘 유지가 되었씁니다.
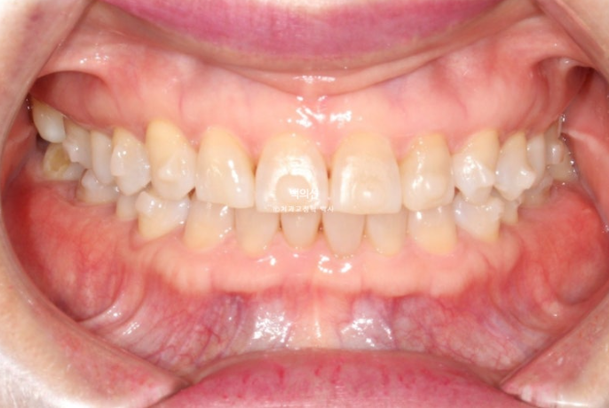
이제 전 후 비교 보겠습니다.

25.02~25.08
인비절라인 익스프레스로 과개교합 개선이 가능합니다.
앞니 교합이 얕아지면서 윗니에 가려 잘 안 보이던 아래 앞니가 이제 절반 이상 보이게 되었습니다.

25.02~25.08
레진으로 메꿔놓았던 틈은 교정으로 완벽하게 사라졌습니다.

25.02~25.08
앞니 뿐 아니라 송곳니가 튀어나왔던 부분도 배열이 개선이 되었습니다.

25.02~25.08
이제 안모 비교 보겠습니다.

25.02~25.08
깔끔해진 미소

25.02~25.08
7개 인비절라인 장치 안에서 해결할 수 있는 부정교합은 꽤 많습니다.
현재는 비베라 유지장치 제작 후 배송을 기다리는 중 입니다.
비베라나 썰컴 등등 다양한 유지장치 중에서 과개교합 개선 증례에서는 철저한 재발방지를 위해 비베라 유지장치를
권유드리고 있습니다.
인비절라인 익스프레스 치료에 대해 궁금하셨던 분들에게 이 포스팅이 도움이 되길 바랍니다.

