안녕하세요
압구정 교정치과입니다.
요즘 교정상담을 하다보면 환자분들이 가장 걱정하는 것은 <전보다 입매가 안 예뻐질까봐> 입니다.
특히 발치교정 후 입이 너무 들어가거나 얼굴이 길어지거나 인중이 길어지거나 입술이 발려들어가거나 등등의 입매 부작용을 가장 많이 걱정하시죠.
진단과정에서 발치냐 비발치냐의 결정에서 저의 제 1 우선순위는 의사입장에서 치료의 편의가 아닌 환자의 입매에 초점을 맞추고 있습니다.
난이도가 높거나 손이 많이 가더라도 환자분의 입매에 기준을 맞춰 치료를 합니다.

23.07~25.04
오늘은 덧니가 심해 부득이하게 발치가 필요한 상황이나 입이 들어가는 것을 우려하는 환자분의 치료에 대해 보여드리겠습니다.

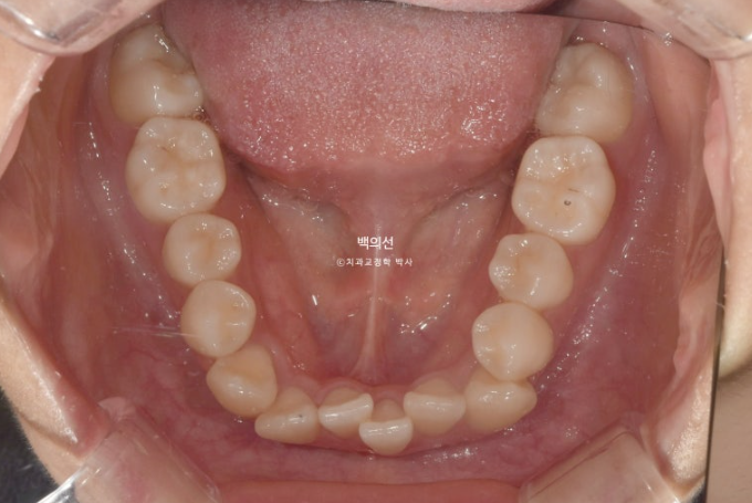
23.07
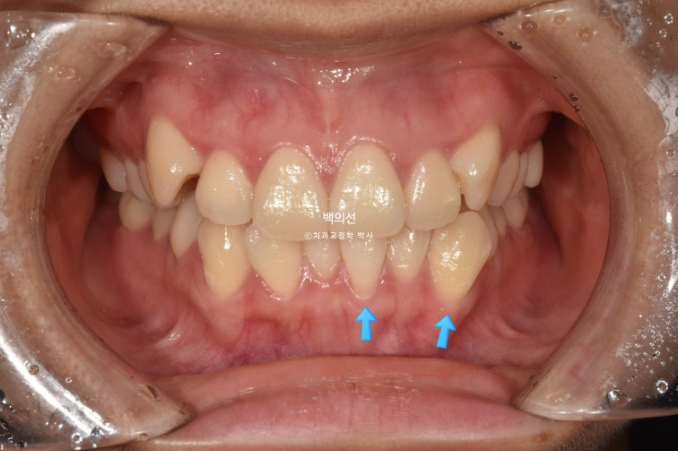
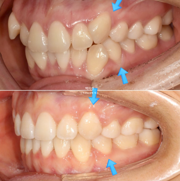
23년 7월 교정을 위해 내원한 환자분입니다.
덧니가 심한 편 입니다.
잇몸이 얇아서 20대 초반의 나이임에도 불구하고 덧니를 포함한 일부 치아의 잇몸이 내려가 있습니다.

군데군데 잇몸이 내려가 뿌리 노출된 부분들이 있습니다.
교정치료로 한 번 내려간 잇몸이 다시 차오르지는 않지만 , 발치교정을 통해 최소한 뿌리를 안쪽으로 넣어주어
더 이상 내려가는 것을 막아줄 순 있습니다.



덧니 펼 공간이 많이 필요하고 잇몸도 얇아 비발치로 치료 시 잇몸이 더 내려갈수도 있는 상태입니다.

23.07
초진 입매를 보면 입술돌출은 거의 없지만 상기의 이유로 작은어금니 4개 발치교정을 결정하였습니다
환자분은 치주건강상의 이슈로 발치의 이유는 납득을 하지만 발치로 인해 입이 너무 들어가지 않게 해달라고 요청하셨습니다.
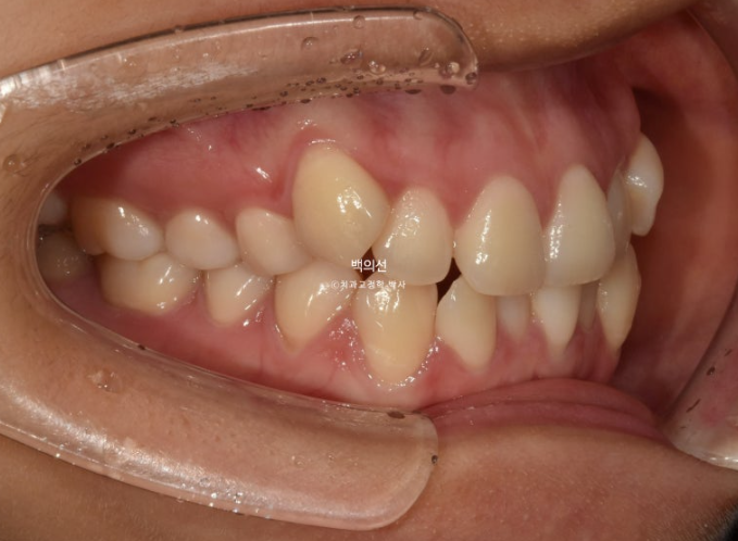
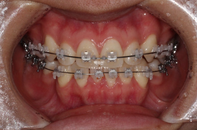
클리피씨 선택 후 치료에 들어갑니다.

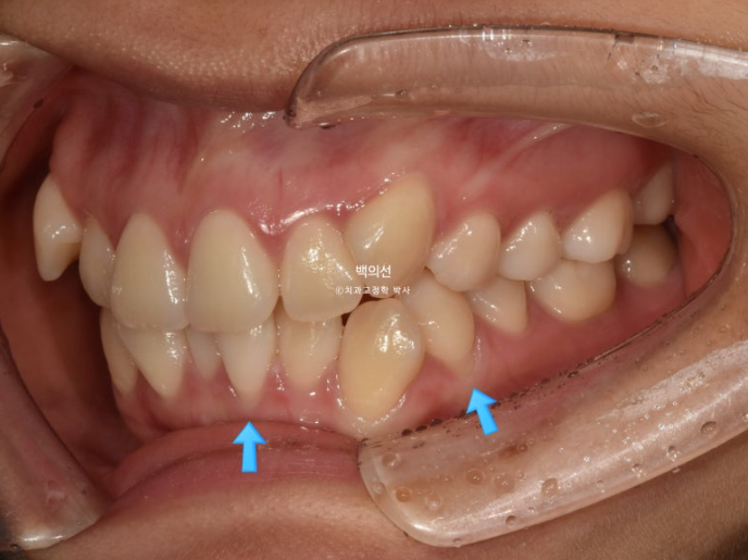
24.01
치료시작 6개월째 모습입니다.
상대적으로 하악 보다 상악이 덧니가 심해 상악을 먼저 붙여서 4개월 정도 덧니배열을 먼저 한 후 하악을 나중에 붙였습니다 브라켓 장치 붙이는 시간을 최소화 해야 환자분이 편합니다.

치료 기간 내내 앞니가 뒤로 들어가는 것을 최소화 하고자 발치공간으로 어금니를 하나씩 앞으로 당겨오는 치료를 했습니다.
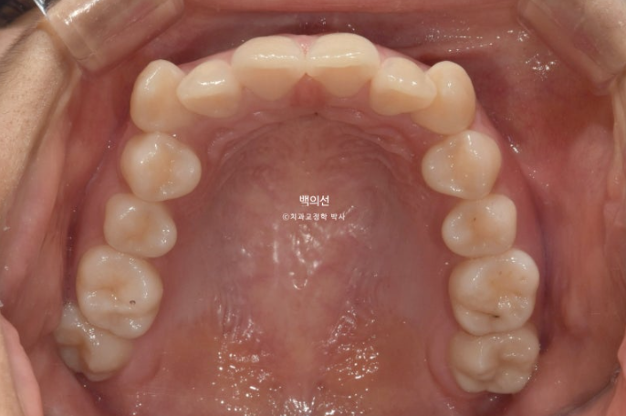
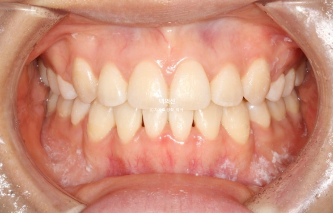
25년 4월까지, 1년 9개월간 치료 후 치료를 마무리 했습니다.

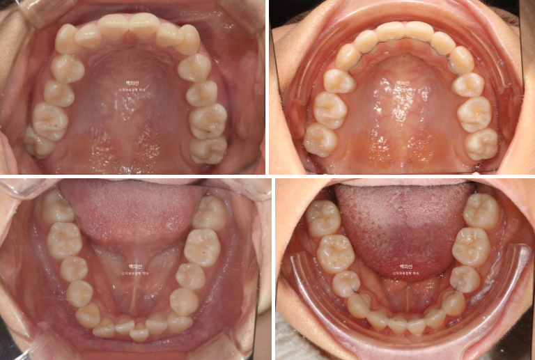
중심선은 잘 맞습니다.

어금니 교합 관계는 1급이고 물샐틈 없네요

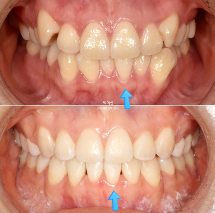
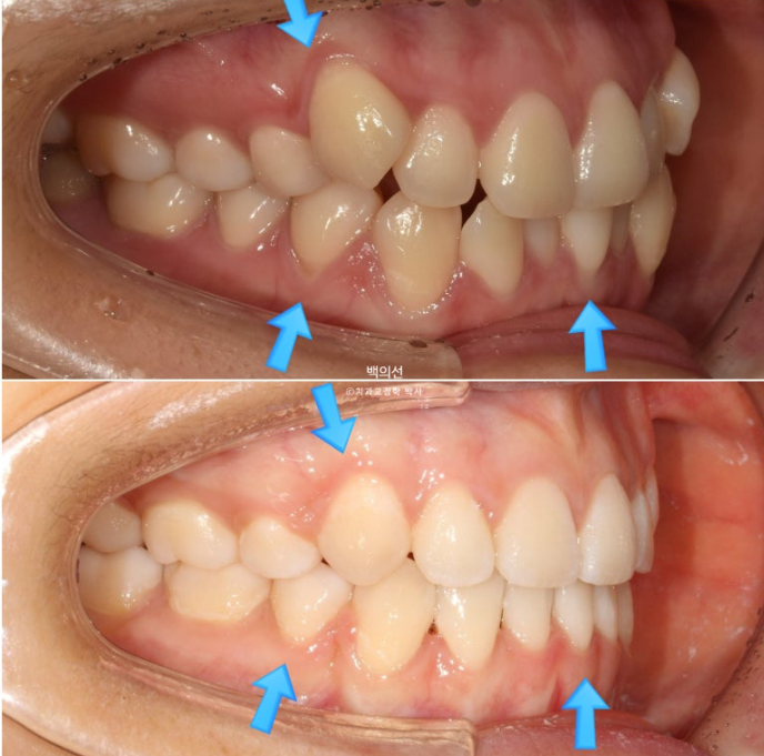
이제 전후 비교 보겠습니다
총 치료기간은 1년 9개월 입니다.

치아끼리 심하게 겹쳐져 있던 부위에 블랙트라이앵글은 아쉽지만 잇몸이 내려가 있었던 다수의 치아들에서 잇몸이 다시 차오른 것을 볼 수 있습니다.

통상 한 번 내려간 잇몸은 다시 차오르지 않는다고 알려져 있지만
잇몸이 내려간 원인이 만약 치아가 자리가 없어 밀려나 있었기 때문이라면, 발치교정을 통해 밀려난 위치에서 안정적인 위치로 움직이는 과정에서 잇몸이 다시 차오를 수 있습니다.
물론 20대 초반의 젊은 성인에서 가능한 이야기지만요.

발치교정은 왠지 멀쩡한 치아를 빼는 치료라서 장기적으로 치아건강에 해가 될 것 같다 라는 오해를 많이 하십니다.
하지만 실상은 발치를 함으로써 나머지 치아를 좀 더 안정적인 위치로 배치하여 치주건강에 도움이 됩니다.
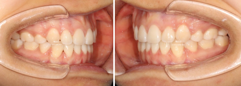
이제 안모 비교 보겠습니다.


이상적인 스마일라인

이상적인 앞니 각도


전반적으로 입매는 잘 유지가 되었습니다.

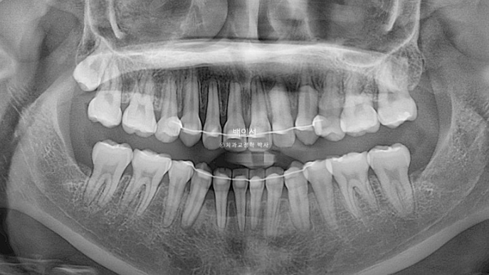
앞니 한두개에 경미한 치근흡수가 보입니다.
치근 평행도는 양호합니다.
발치교정 부작용 걱정에 교정 자체를 망설이는 분들에게 이 포스팅이 도움이 되길 바랍니다.

