안녕하세요
압구정 교정치과입니다.
오늘도 인비절라인 라이트를 이용한 유학생 교정 이야기를 해보겠습니다.

25.02~25.08
겨울방학에 들어와서 장치를 제작하고 학기동안 해외에서 치료를 이어간 뒤 여름방학에 다시 들어와 재제작 없이 5개월만에 마무리한 케이스를 보여드리겠습니다.
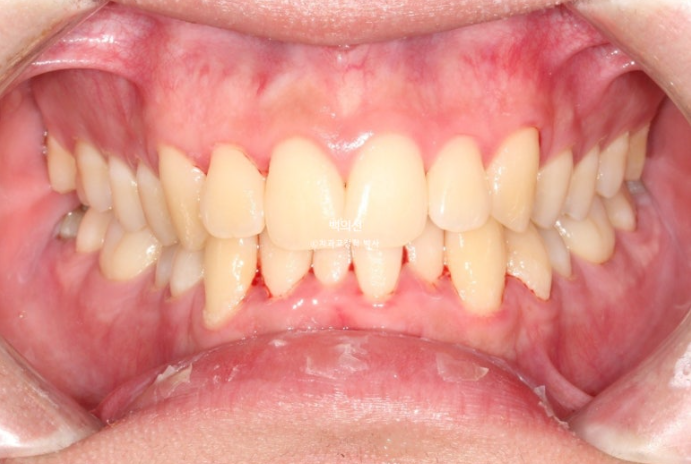
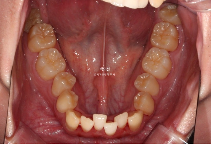
올해 초 교정치료를 위해 내원한분 입니다.

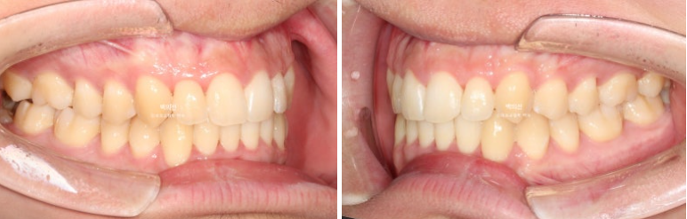
25.02
유학생 신분이라 여름에 한 번 겨울에 한 번 내원이 가능한 상황입니다.

25.02


특히 아래 앞니가 많이 삐뚤하며 작은어금니가 안으로 쓰러져 있습니다.
그러나 어금니 교합관계가 1급으로 좋은 편이고 부정교합의 유형이 치아회전이 많지 않아 14개 장치 안에서 해결가능한 경미한 부정교합에 사용하는 인비절라인 라이트로 충분하여 인비절라인 라이트 권유드렸습니다.
25년 2월에 처음 내원하여 장치제작을 기다리는 시간 한달을 기다려 3월에 재내원, 첫 장치를 껴보고 어태치먼트를 모두 붙인 후 출국하였습니다.
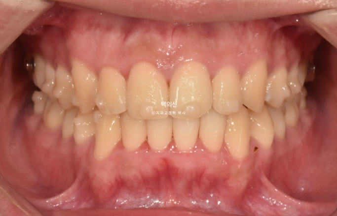
해외에서 4개월간 인비절라인라이트 장치 14개를 일주일씩 교체해가며 모두 낀 후 여름방학때 내원한 모습입니다.

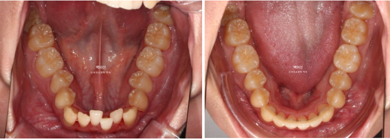
25.07

어금니 교합이 약간 뜨는 부분들이 있습니다.

앞니 배열은 좋아졌습니다.
인비절라인 라이트는 미진한 부분이 있을경우 1회의 추가장치 제작이 가능하지만, 추가장치 없이 마무리하는 경우도 많습니다.
이 경우도 굳이 추가장치 재제작 없이도 마무리가 가능한 상황
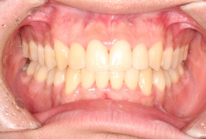
약 한달간의 교합 안정화 기간을 거쳐 8월, 치료를 마무리 했습니다.

25.08

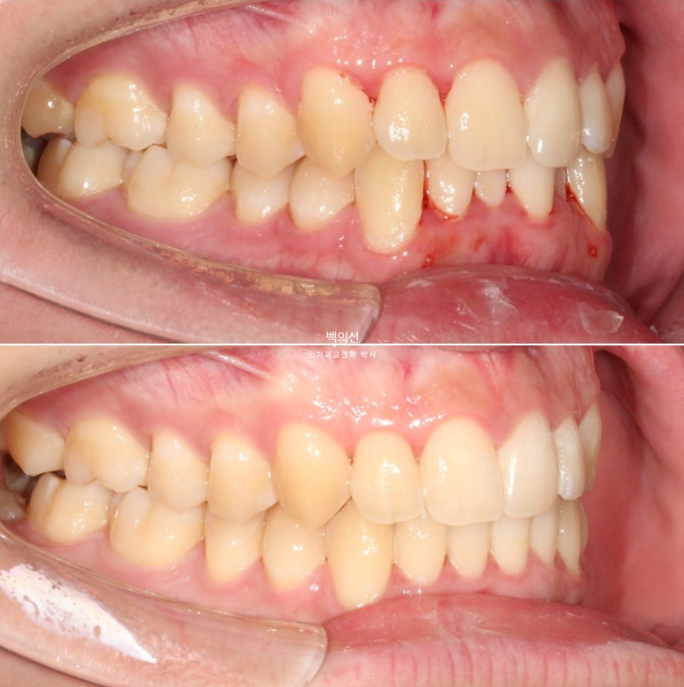
교합은 물샐틈이 없습니다.
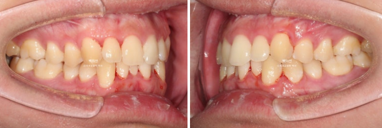
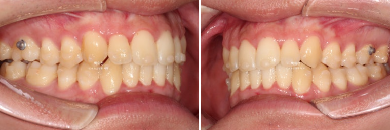
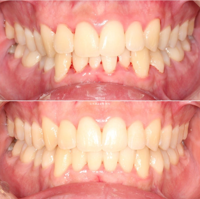
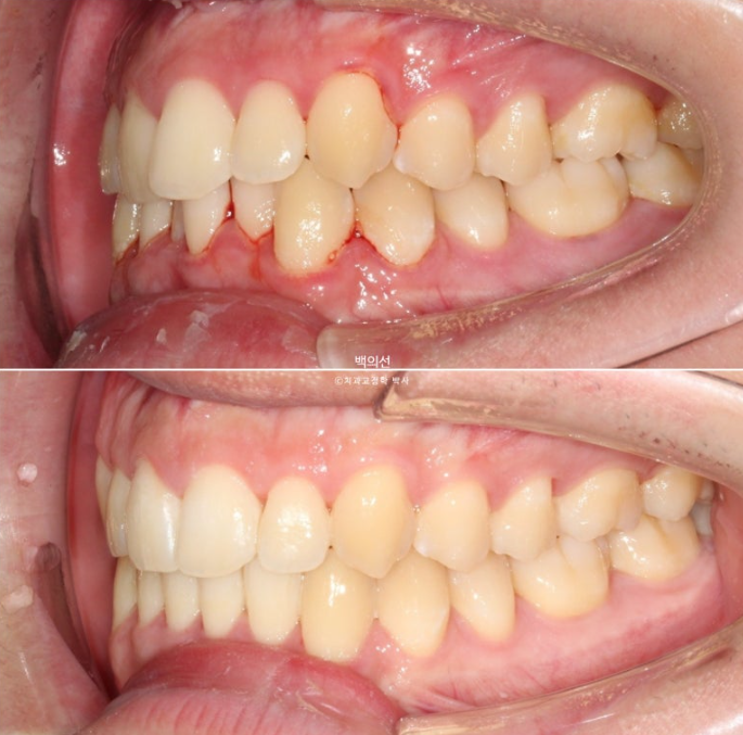
이제 전후 비교 보겠습니다.
토탈 치료기간은 3월부터 7월까지 5개월입니다.

25.02~25.08

25.02~25.08
아래 앞니의 배열 개선이 드라마틱 하네요. 안으로 쓰러진 작은어금니들 배열도 좋습니다.

25.02~25.08
교정 후 아래 앞니 잇몸 라인 높낮이가 자연스럽게 맞아진 것이 보입니다.
치아 높이가 교정으로 맞아지면 잇몸라인은 자연스럽게 맞아집니다.

25.02~25.08

25.02~25.08
이제 안모 비교 보겠습니다.

25.02~25.08

25.02~25.08
유학생 또는 해외거주로 교정을 망설이는 분들께 이 포스팅이 도움이 되길 바랍니다.

