안녕하세요
압구정 교정치과입니다.
양악수술과 인비절라인의 조합은 요즘말로 "꿀조합"입니다.
수술 직후 치근흡수도 적고 치아이동도 빠른 교정치료의 황금기가 존재하는데 이 기간을 적절히 이용하면 교정기간이 많이 단축됩니다.

24.10~25.08
오늘은 돌출입수술 (ASO) 후 필수적으로 생기는 공간을 인비절라인 라이트를 이용하며 마무리한 케이스를 보여드리겠습니다.
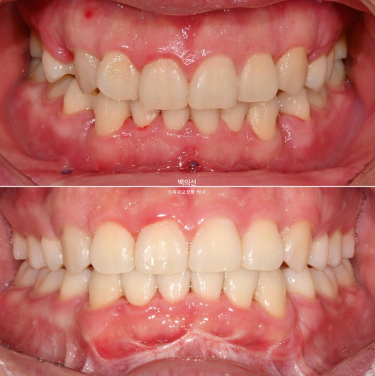
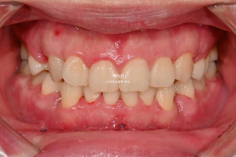
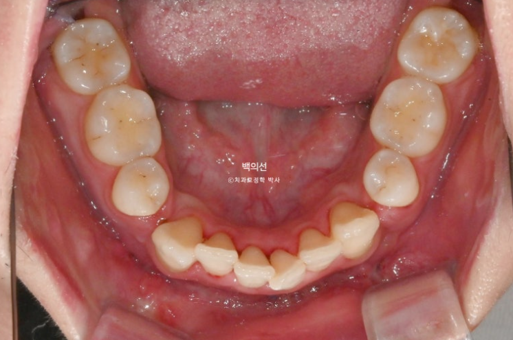
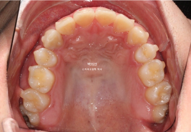
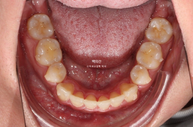
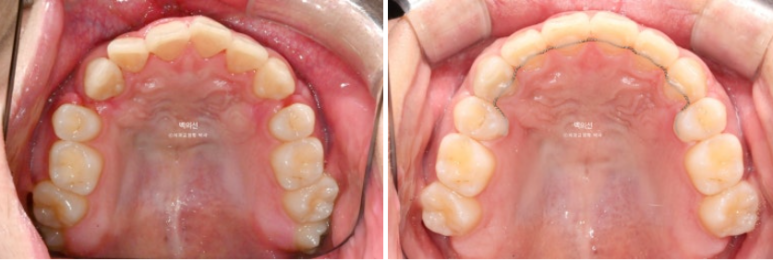
24년 10월, 돌출입 수술 한달 후 내원한 환자분 입니다.

24.10
돌출입 수술은 약칭 ASO 라고 부르며 작은어금니 공간만큼의 뼈를 잘라내어 앞니를 뒤로 넣어주는 수술입니다.
돌출이 심하거나 골격의 한계로 교정만으로는 만족스러운 개선이 안 될경우, 돌출입 수술을 고려해볼 수 있습니다.
양악수술에 비해 훨씬 안전한 수술입니다.


24.10
돌출입 수술을 하면 수술 테크닉적으로 작은어금니가 있던 공간이 약 2mm 이상이 남게 됩니다.

송곳니 뒤쪽에 2mm 의 공간이 각각 남았습니다.

이렇게 애매하게 남은 공간을 앞니 배열을 위한 공간으로 사용하는 것이 돌출입 수술교정의 핵심입니다.
이 정도의 남은 공간은 14개의 장치 안에서 해결 가능하기에 인비절라인 라이트로 충분합니다.
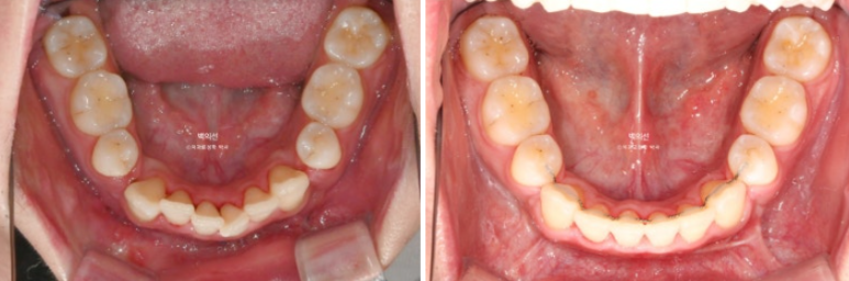
24년 10월에 장치 주문, 24년 11월부터 장치를 끼기 시작했습니다.

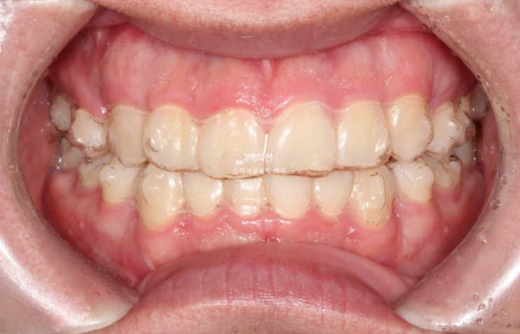
25.01
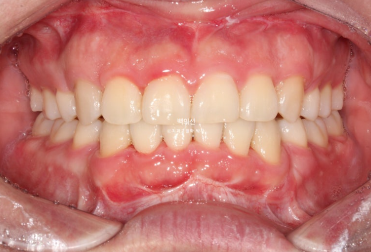
14개 장치를 다 낀 것은 25년 3월입니다.

25.03

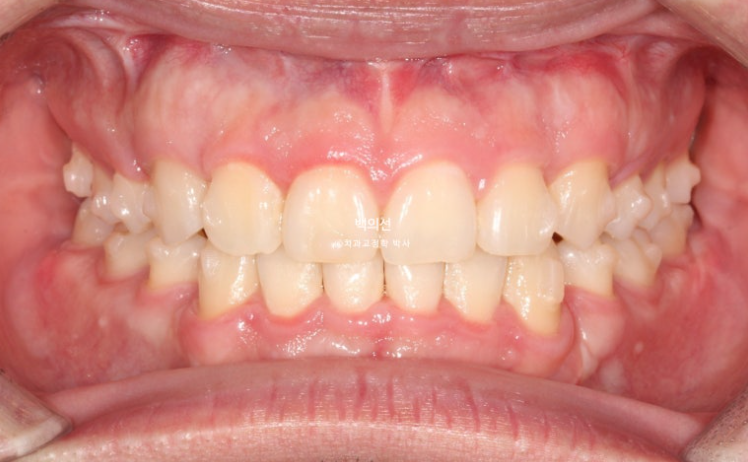
교합 배열 모든 게 좋습니다만


25.03
아직 미세하게 남아있는 공간을 없애고자 추가장치를 제작하기로 했습니다.
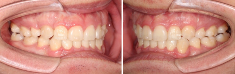
25년 4월부터 8월까지 5개월간 14개 장치를 모두 낀 후 모습입니다.

25.08

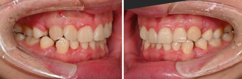
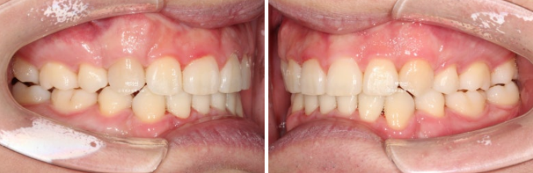
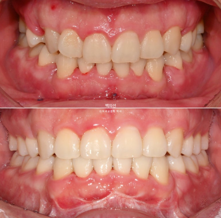
전 후 비교 보겠습니다.

24.10~25.08

24.10~25.08
남아있던 공간은 추가장치로 깔끔히 없어졌습니다.

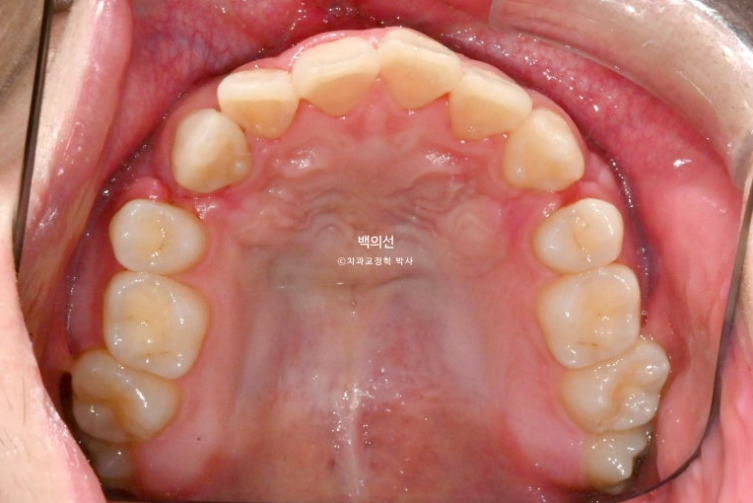
25.08
치근흡수는 없으며 치근평행도는 좋습니다.
이제 전 후 비교 보겠습니다.
총 치료기간은 10개월, 재제작 1회 입니다.

24.10~25.08
앞니가 깊게 물리는 과개교합도 좋아졌습니다.
이제 안모변화 보겠습니다.

24.10~25.08

24.10~25.08
돌출입수술 또는 양악수술을 앞둔 분들에게 이 포스팅이 도움이 되길 바랍니다.

