안녕하세요
압구정 교정치과입니다.
오늘은 오랜만에 어린이 투명교정 인비절라인 퍼스트 이야기를 해보겠습니다.
드림렌즈, 성장주사와 함께 강남엄마 3종세트로 불리우는 그 어린이 투명교정 이야기입니다.

23.07~25.07
어린이용 인비절라인인 인비절라인 퍼스트가 런칭된 이후, 교정이 한결 편해지고 결과도 좋아졌습니다.
예전 어린이교정은 단순 악궁확장 또는 반대교합해소 등 급한문제만 해결해놓고 마무리가 되어 나중에 성인이 되면 2차 교정이 필수였습니다.
하지만 인비절라인 퍼스트는 나중에 치열교정을 다시 할 확률을 많이 낮췄습니다.
물론 나중에 교정을 다시 안해도 될 정도가 되려면 단순 앞니 몇 개 배열, 악궁확장 조금
이렇게 간단히 치료를 마무리 해서는 나중에 다시 교정을 할 확률이 크게 줄어들지 않습니다.
인비절라인 퍼스트에서 정해놓은 보증기한 18개월을 아주 야무지게 써야하고 영구치가 잘 올라오도록 지속적인 맹출 관찰이 필요합니다.
또한 유지장치 디자인이나 시기도 전략적으로 들어가야 합니다.
이렇게 해야 비로소 나중에 다시 교정할 확률을 최소로 줄일 수 있습니다.

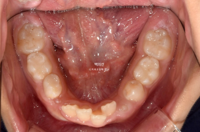
23.07
교정치료를 위해 온 만 9세 어린이입니다.
부모님이 클리피씨 철사 교정을 한 경험이 있어서 아이에게는 인비절라인 퍼스트 투명교정을 시키고 싶어
내원하셨습니다.
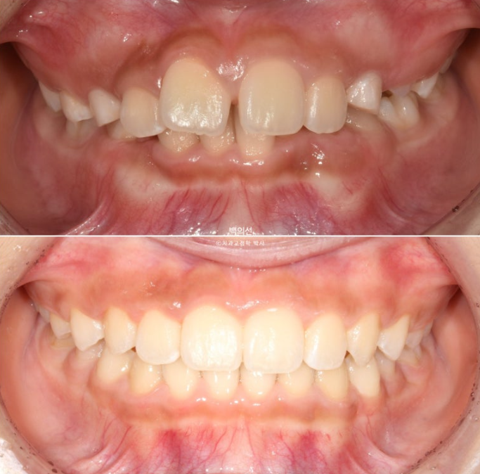
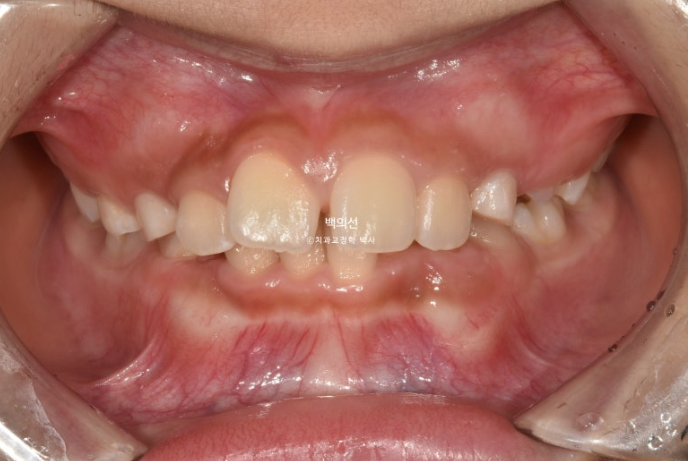
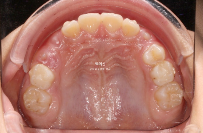
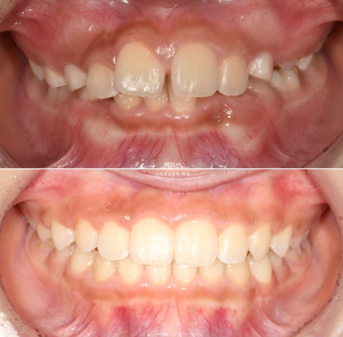
부모님이 고치고 싶은 것은 앞니가 깊게 물리는 과개교합
아래 앞니가 보이지 않을 정도의 심한 과개교합입니다.

앞니 돌출이 있으며

악궁전반부가 좁습니다.

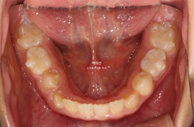
아래도 마찬가지로 악궁확장이 필요합니다.
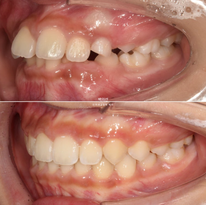
이 날 공간이 부족하여 앞니가 삐뚤게 나왔고 곧 나올 송곳니는 공간이 부족하여 덧니로 나올 상황입니다.
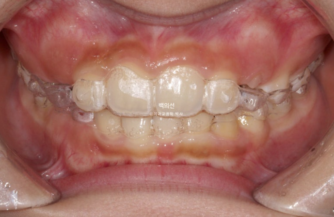
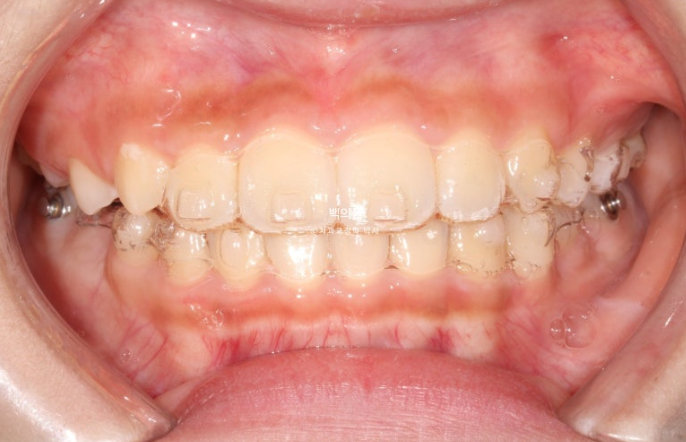
인비절라인 퍼스트를 권유드렸고 23년 8월부터 장치를 끼기 시작했습니다.

24.02
첫 세트의 장치는 총 21개가 나왔습니다.
21개 장치를 다 낀 시점은 6개월 후인 24년 2월입니다.

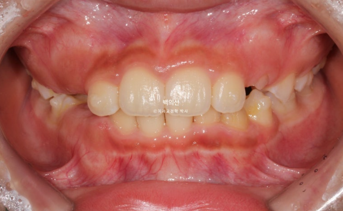
24.02
과개교합은 개선이 되어 아래앞니가 보이고 중심선은 잘 맞습니다.

앞니 뻗침과 돌출은 해결이 되었고 그 사이 남아있던 유치가 여러개 빠졌습니다.

좁았던 악궁이 넓어지면서 모양이 잡혔고

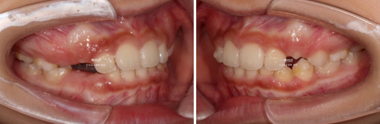
24.02
삐뚤했던 아래 앞니는 가지런해졌고 송곳니는 악궁확장을 통해 공간이 생기면서 제자리로 잘 올라오게 되었습니다.
이때 치료를 마무리 하는 원장님들도 계시지만 치료를 마무리 하지 않고 보증기한이 끝날때까지 추적관찰을 계속합니다. 보증기간 직전에 필요한 경우 장치 한세트를 재제작 하면, 새로 나온 영구치들까지 모두 장치에 포함시켜 배열함으로써 성인교정에 준하는 결과를 얻을 수 있기 때문입니다.
첫 세트의 장치를 열심히 끼면서 6개월 간 치료를 한 후 24년 2월부터 24년 11월까지 9개월동안 첫 세트의 마지막 단계 장치를 잠에만 유지용으로 끼며 쉬는 시간을 가졌습니다.
영구치가 올라오길 기다리는 시간입니다.

24.11
9개월 후 모습을 보면 송곳니와 작은어금니들이 많이 올라온 게 보입니다.

24.11


24.11
이제 슬슬 재제작을 할 타이밍입니다.
2024년 11월에 재제작을 시작, 24년 12월부터 재제작한 장치를 끼기 시작했습니다.

25.02
25년 7월까지, 7개월간 추가장치를 무두 낀 후 마무리 하였습니다.

25.07
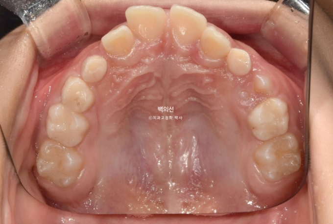
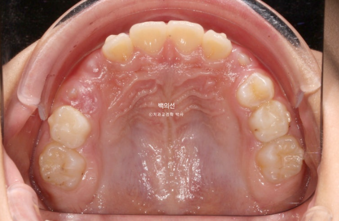
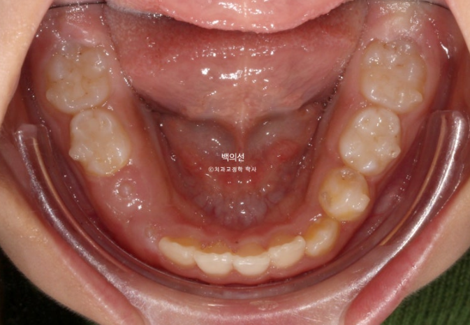
이제 남아있는 유치는 없고 모든 영구치가 제자리에 예쁘게 나왔습니다.

25.07
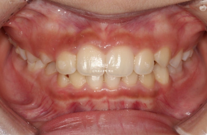
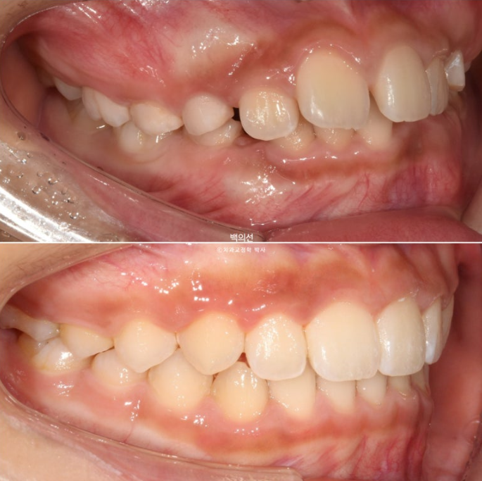
물샐틈 없는 1급 교합관계를 보입니다.
결과가 성인 2차교정결과에 준하는 만큼 유지장치도 성인교정 유지장치와 동일하게 들어갑니다.
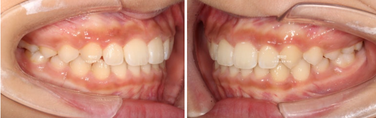
이제 전후 비교 보겠습니다.

23.07~25.07

23.07~25.07
1차 세트 6개월 치료, 9개월간 휴식기, 7개월간 2차세트 치료를 거쳐 마무리된 모습입니다.

23.07~25.07
덧니와 과개교합의 개선입니다.

23.07~25.07
앞니 돌출의 개선

23.07~25.07
교합의 개선
유지장치만 잘 껴준다면 나중에 성인이 되어 다시 교정할일은 없을겁니다.
어린이교정의 한계를 탓하기 보다는 2차교정을 다시 하지 않게끔 만드는 것이 늘 저의 목표입니다.
이제 안모비교 보겠습니다.

23.07~25.07
스마일라인은 깔끔합니다.

23.07~25.07
앞니 돌출이 해소가 되면서 미소가 예뻐졌네요.

23.07~25.07
앞니돌출이 해소되며 입매도 예뻐졌습니다.

23.07~25.07
2년간의 변화를 엑스레이로 비교하면 이렇습니다.
치근흡수는 없고 치근평행도는 좋습니다.
아이는 현재 가철식 유지장치를 밤에만 끼는 중입니다. 정기적인 사후관리로 최소한 성장이 끝날때 까지는 지속적으로 결과가 잘 유지되는 지 모니터링도 필요합니다.
어린이 교정을 고민중인 분들께 이 포스팅이 도움이 되길 바랍니다.

