안녕하세요
압구정 인비절라인 치과입니다.
오늘은 선천적으로 치아가 없거나 매복되어 있는 경우 유치가 남아있는 경우가 많습니다.
이를 잔존유치라고 합니다.
이 유치를 빼고 임플란트를 하기도 하고 교정으로 공간을 없애기도 하고 유치를 남겨서 쓸때까지 쓰기도 합니다.

24.10~25.07
오늘은 인비절라인 라이트로 교정을 마치고 마무리로 잔존유치를 크라운으로 수복한 케이스를 보여드릴게요.
인비절라인에서 최근 새로 런칭한 디지털 진단 프로그램 '스마일 아키텍트' 사용 후기도 적어보겠습니다.

24.10
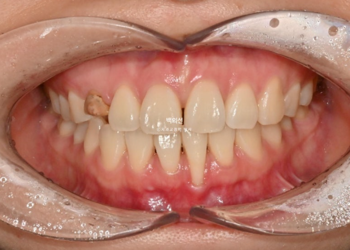
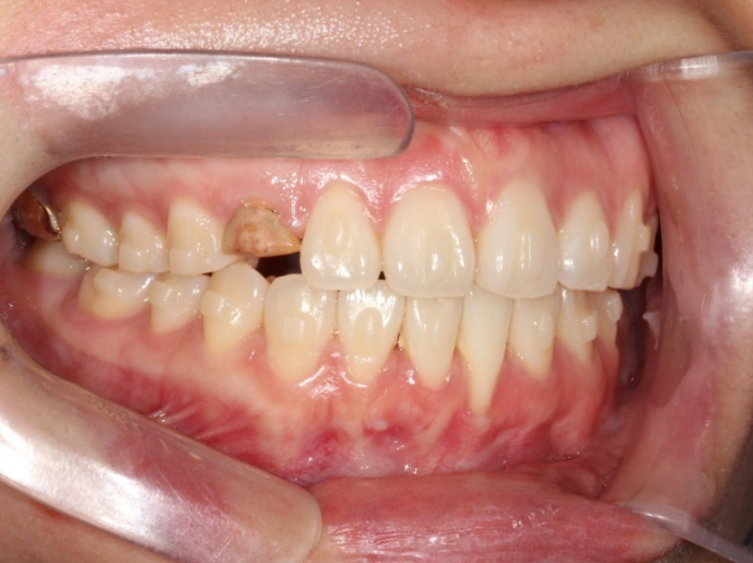
작년 가을 교정치료를 위해 내원한 환자분입니다.
오래 전 교정치료를 이미 받은 상태로 철사유지장치가 붙어있는 상태에서 오셨습니다.
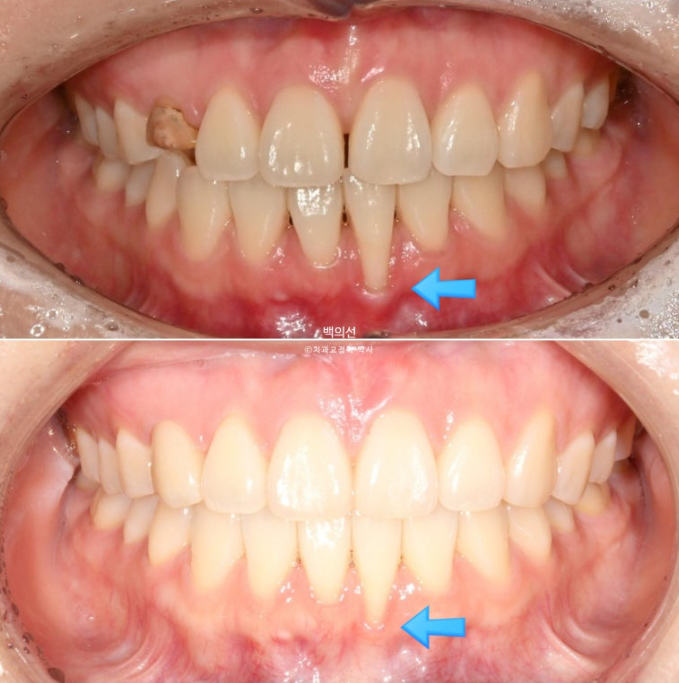
아래 앞니 하나가 뿌리가 바깥으로 나가면서 잇몸퇴축이 심합니다.

잔존유치는 영구치 송곳니가 매복되는 바람에 남아있는 상태입니다.
잔존유치의 뿌리가 썩 튼튼하지는 않으나, 동요도는 전혀 없어 쓸때까지 쓰기로 합니다.
그런데 잔존유치에 교정력을 가할경우, 안그래도 약한 유치 뿌리가 녹을 수 있어서 잔존유치는 치료기간 내내 치아이동 없이 위치 잠금으로 계획해야 하고 어태치먼트조차 붙이지 않는 게 좋습니다.

색이 어두운 치아는 잔존유치에 레진을 덮어놓은 상태이고 이번기회에 재교정을 하면서 이 치아도 변색된 레진을 제거하고 라미네이트든 크라운이든 깔끔하게 치료를 원하셨습니다.

아래 앞니 뿐만 아니라 파란화살표 앞니도 뿌리가 앞으로 나가있습니다. 아직 아래앞니처럼 잇몸퇴축이 일어나지는 않았지만, 튀어나간 뿌리를 입천장쪽으로 데려오는 치료를 해야 잇몸이 내려가는걸 예방할 수 있습니다.

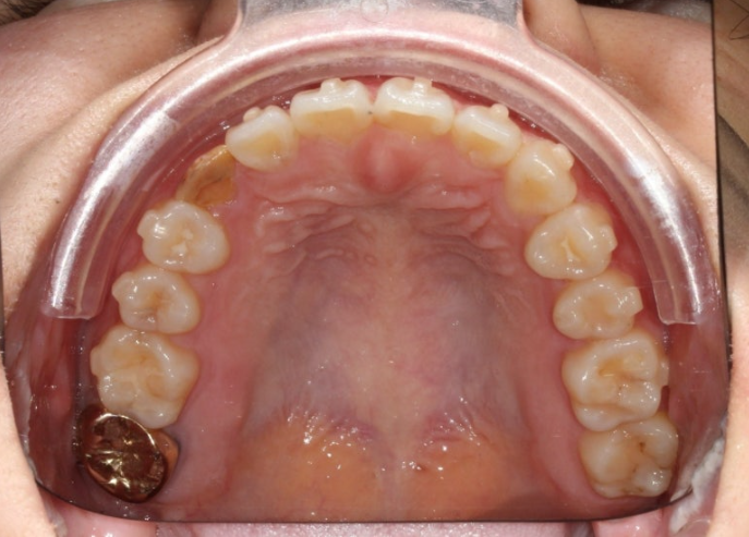
24.10
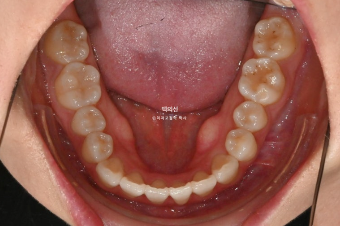
오래 전 했던 교정으로 어금니 교합은 나쁘지 않은 상태입니다.
인비절라인 라이트로 앞니 배열과 뿌리를 뼛속으로 깊이 넣어주는 치료를 권유드렸습니다.
또한 블랙트라이앵글 사이즈를 줄이기 위한 치간삭제도 계획하기로 했습니다.
인비절라인 치료계획 프로그램을 '클린체크'라고 합니다. 최근 이 클린체크 프로그램에 환자의 스마일 얼굴을 중첩해서 보여주는 기능이 런칭되었습니다. 이름은 스마일아키텍트 치열만 보지 않고 얼굴과의 조화까지 봐가며 치료계획을 세울 수 있습니다.

원래도 환자의 스마일 사진을 클린체크와 함께 띄워놓고 치아의 최종 위치를 세세하게 조정하고 있는데, 화면을 두개 안 띄워도 되는 편리함이 있습니다. 뿐만아니라 환자에게 치료 전, 교정 후, 최종 보철 수 모습을 시뮬레이션화 해서 보여줄 수 있어 환자분 입장에서도 치료 후 결과를 미리 확인할 수 있으니 좋죠.
위에서부터 순서대로 치료 전, 인비절라인 라이트 교정 후, 잔존유치의 보철완료 후 모습을 시뮬레이션화 한 모습입니다.

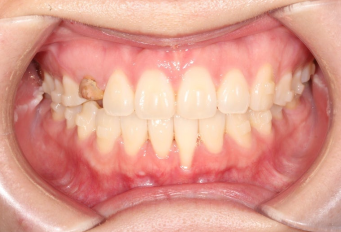
위 앞니가 한쪽으로 기울어져 있는데다가 한쪽 송곳니가 안보이니 앞니 교합평면 기울어짐이 심해보입니다. 캔팅이라고 하죠.
이런 부분까지 개선되도록 치료계획에 반영됩니다.
환자분께 치료과정과 치료목표를 시각화해서 보여드리고 인비절라인 교정 치료를 시작했습니다.

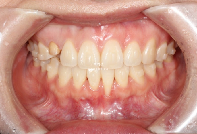
25.03
24년 11월, 1번 장치를 끼기 시작했습니다. 25년 3월까지 14개 장치를 모두 낀 후 모습입니다.

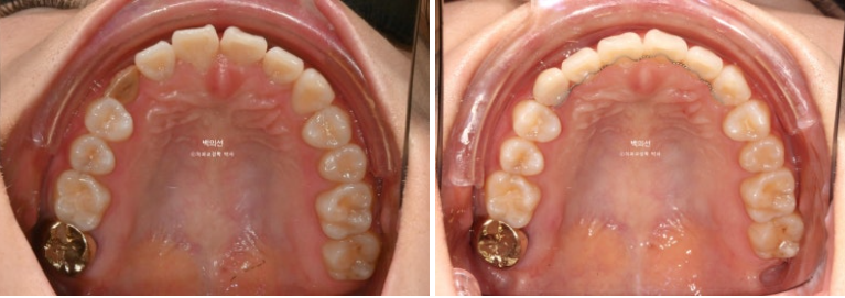
25.03
기울어져있던 앞니 치축은 똑바로 개선되었으며 블랙트라이앵글 사이즈는 많이 줄었습니다. 중심선은 아직 개선이 필요합니다.


25.03
잇몸퇴축이 있는 위 앞니, 아래앞니 뿌리를 좀 더 안으로 집어넣는 치료계획을 세워 추가장치를 한세트 더 쓰기로 했습니다.
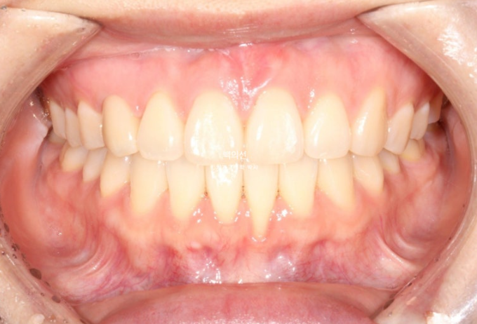
25년 4월부터 7월까지, 추가장치를 모두 낀 후 모습입니다.

25.07
기울어져있던 앞니 치축은 완전히 개선되었으며 중심선은 잘 맞습니다.

변색된 레진을 제거하고 모습을 드러낸 잔존유치 입니다. 이제 보철 준비를 해야합니다. 안정성을 위해 라미네이트 대신 크라운으로 수복하기로 합니다.

25.07
크라운 수복이 끝난 후 어태치먼트를 전부 제거하고 치료를 마쳤습니다.

25.07
어떤게 크라운이고 어떤게 자연치 송곳니인지 분간이 잘 되지 않습니다.

25.07
교합은 좋습니다.
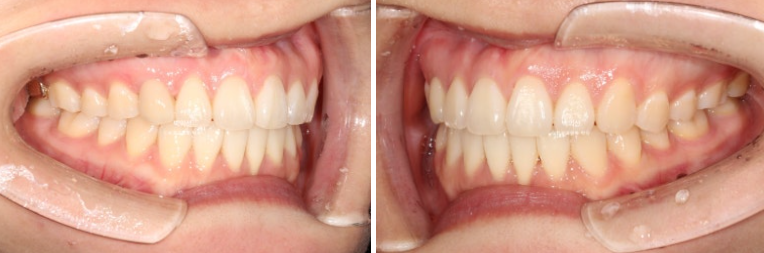
이제 전후비교 보겠습니다.

24.10~25.07
치료기간은 10개월 입니다.

24.10~25.07
주목할만한 점은 바로 치료 후 잇몸퇴축이 완화된 점입니다.
잇몸이 내려간 치아의 튀어나온 뿌리를 안으로 넣어줌으로써, 잇몸이 내려가 뿌리가 노출된 면적이 줄어들었습니다.
그외 소량의 치간삭제를 통한 틀랙트라이앵글의 개선도 눈에 띕니다.

24.10~25.07
개선된 미소와 스마일라인, 비스듬히 기울어진 앞니 각도의 개선

24.10~25.07
깔끔한 스마일라인이 돋보입니다.
이 환자분처럼 철길 까는게 부담되어 교정을 미루던 분들이 인비절라인 교정을 경험해보고 "진작 할껄~" 하는 경우가 많습니다.
영구치 매복이나 결손으로 교정치료를 고민중인 분들께 이 포스팅이 도움이 되길바랍니다.

