안녕하세요.
압구정 어린이 교정 치과입니다.
오늘은 어린이 교정 소개해드리겠습니다.
어린이 비대칭 치료에 전통적으로 써오던 장치는?
모노블록입니다.

모노블록 장치는 이렇게 생겼습니다.
위 아래가 한덩어리로 된 장치라서 장치를 낀채로 말을 할 수 없고 비염이 있을 때 입으로 숨을 쉬어야 하는 상황에서는 장치를 끼기 힘든 단점이 있습니다.
인비절라인 어린이교정장치에는 Mandible Advance(MA) 라는 기능이 있습니다.
이 기능은 모노블럭의 효과와 같지만 모노블럭에 비해 훨씬 큰 장점이 있습니다.
MA 기능은 보통 아래턱이 작은 무턱일때 아래턱 성장을 조절하기 위해 쓰지만, 뼈의 비대칭을 개선하는데도 유용하게 쓰입니다.
오늘은 이 MA 기능을 이용하여 어린이 골격적 비대칭을 어떻게 치료하는 지 보여드릴게요.

23.12~25.03
23년 6월, 교정치료를 위해 만7세 어린이가 내원했습니다.
고치고 싶은 것은 비대칭
학교 구강검진에서 중심선이 안맞으니 치료가 필요하다 들어서 오셨습니다.
인비절라인퍼스트의 MA 기능을 이용하여 비대칭을 개선하기로 합니다.
하지만 아직 앞니 중 측절치가 덜 내려온 상황이라 치료를 몇개월 미루기로 합니다.
가운데 앞니 (중절치 또는 대문이)만 나온 상태에서도 치료시작은 가능하지만 앞니 4개가 모두 나온 상황에서
시작을 해야 좀 더 장치 접합도나 치료 진행이 안정적입니다.
그래서 23년 11월 다시 내원하여 앞니 4개가 모두 나온 것을 확인하고 정밀진단을 했습니다.

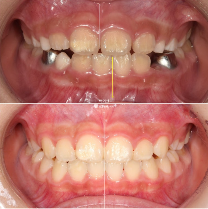
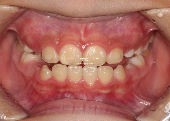
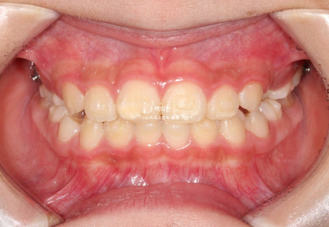
23.12
앞니 중심선이 맞지 않고

엑스레이에서 아래턱의 골격적 비대칭으로 진단이 되었습니다.



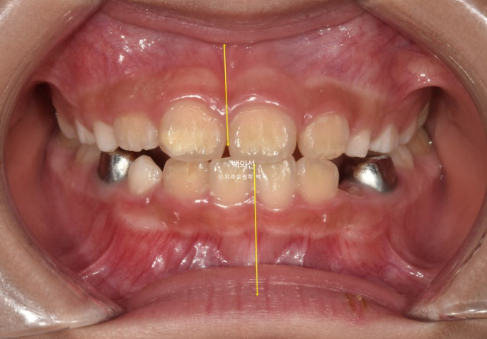
23.12
이날 공간은 별로 부족하지 않습니다.
인비절라인퍼스트 치료를 권유드렸고 아래턱의 위치를 중앙으로 재위치시키는 Mandible Advance(MA) 기능을 통해 비대칭 개선을 목표로 치료계획을 세웠습니다.
이친구의 치료계획입니다.
초반 몇 달간 영구치 맹출공간 분배와 앞니 배열 개선을 먼저 진행한 뒤 치료 중반부부터는 아래턱의 위치를 잡아주는 MA 기능이 시작됩니다.
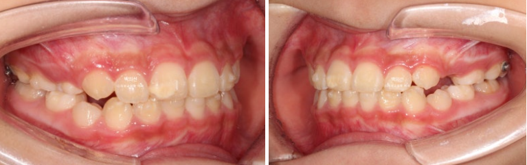
24년 8월까지, 9개월간 첫 세트의 30개 장치를 다 낀 후 모습입니다.

24.08
중심선은 잘 맞게 되었지만,앞니 교합이 절단교합입니다.
한쪽으로 틀어진 턱의 위치가 바로잡히는 과정에서 아래턱이 반대쪽으로 회전을 하면서 소량 앞으로 나오게 되기 때문입니다.
추가장치에서 이 부분은 개선해야 합니다.

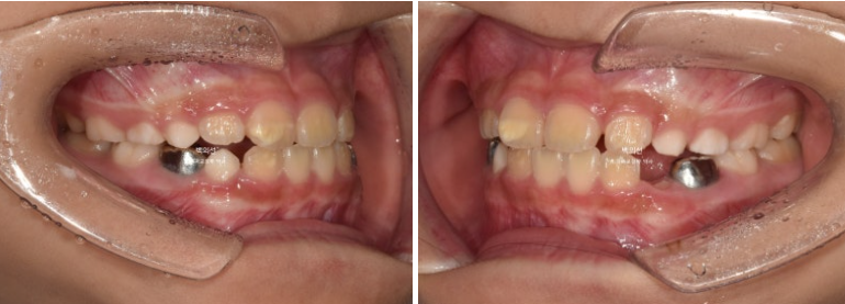
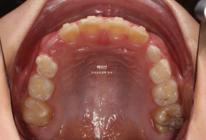
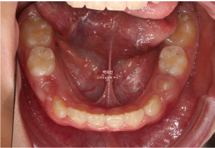
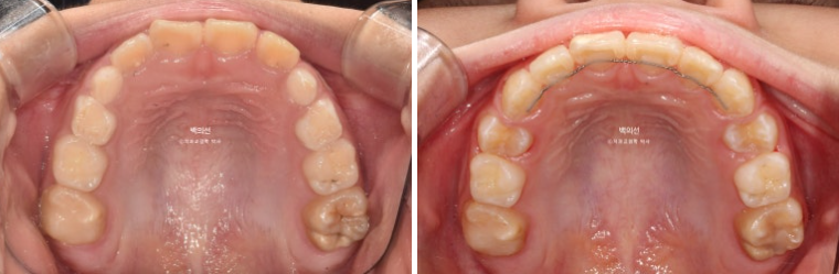
24.08

24.08
영구치들이 올라올 공간은 적절하게 분배가 되었습니다.
새로 올라온 영구치들을 좀 더 배열하고 앞니 교합을 개선하기 위해서 추가장치를 제작합니다.
추가장치에서 아래턱의 위치를 잡아주는 기능은 넣지 않았으며 치료 후 MA 없이도 턱의위치가 안정적으로 유지되는 지를 확인하는 과정입니다.
24년 10월부터 25년 3월까지, 16개 추가장치를 다 낀 후 모습입니다.

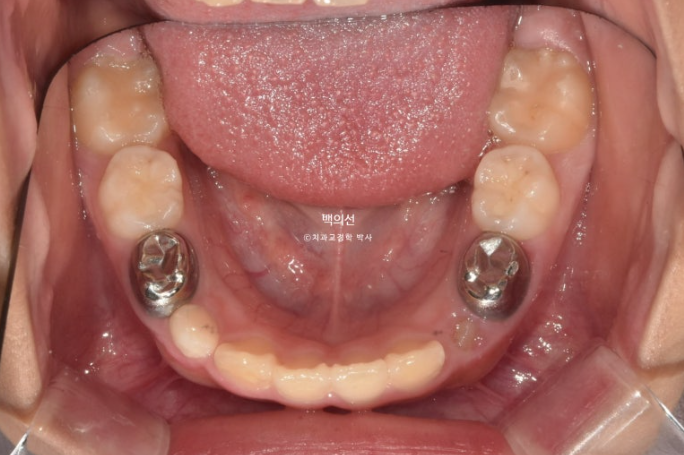
25.03
턱의 위치는 6개월간 자연스럽게 잘 유지가 되었고 치료를 마무리 합니다.
중심선도 아주 잘 맞습니다.

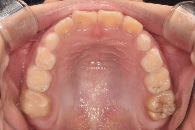
25.03
교합은 좋고 이제 막 첫번째 작은어금니가 맹출중입니다.

23.12~25.03
치료 결과가 좋은 만큼 유지장치도 성인에 준하게 송곳니부터 송곳니까지 들어갑니다.
소아교정이지만 결과가 이정도 되면 나중에 커서 2차교정을 안해도 됩니다.
이제 안모 변화 볼까요?
총 치료기간은 1년 4개월이며 재제작은 1회 했습니다.

23.12~25.06
턱끝 위치의 변화가 눈에 띕니다.

23.12~25.03
치아중심선은 잘 맞고

23.12~25.03
앞니 배열도 좋습니다.

23.12~25.03
입매도 잘 유지가 되었고

25.03
치근평행도는 좋습니다.
치료 마무리 시점 남아있는 유치는 4개이고 추후 자연스럽게 빠지고 나면 영구치가 적절하게 올라올 것 입니다.
현재는 아래턱 위치가 안정적이라 가철식 유지장치 없이 고저식 철사 유지장치만 붙인 상태로 유지중이고 성장이 끝날때까지 1년 간격으로 정기체크가 필요합니다.
만약 성장중 비대칭이 재발하는 양상이 보인다면, 잘때만 끼는 유지장치로써 모노블록을 고려해볼 수 있습니다.
아이가 비대칭이라 교정치료를 고민 중이신 부모님들께 이 포스팅이 도움이 되길 바랍니다.

