안녕하세요
압구정 연세바로치과입니다.
인비절라인 교정에서 가장 중요한 것은
의사의 치료전략
환자의 협조도
이 두가지 입니다.
옥니, 덧니, 과개교합, 반대교합, 중심선 불일치 등 다소 복잡해 보이지만 환자분이 잘 껴주어 예상보다 치료가 빠르게 마무리된 케이스를 보겠습니다.

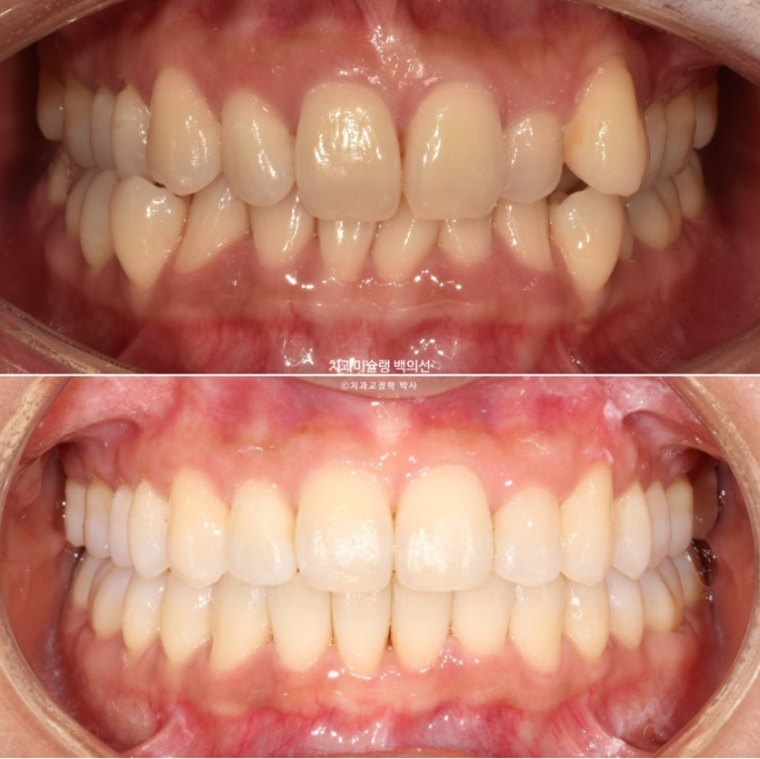
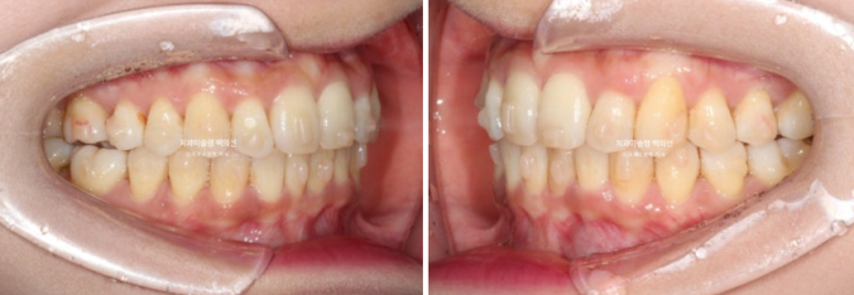
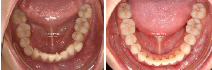
24.08~25.08
치료기간을 1년 반 예상했지만 환자분이 장치를 잘 껴준 덕에 1년만에 마무리가 되었습니다.
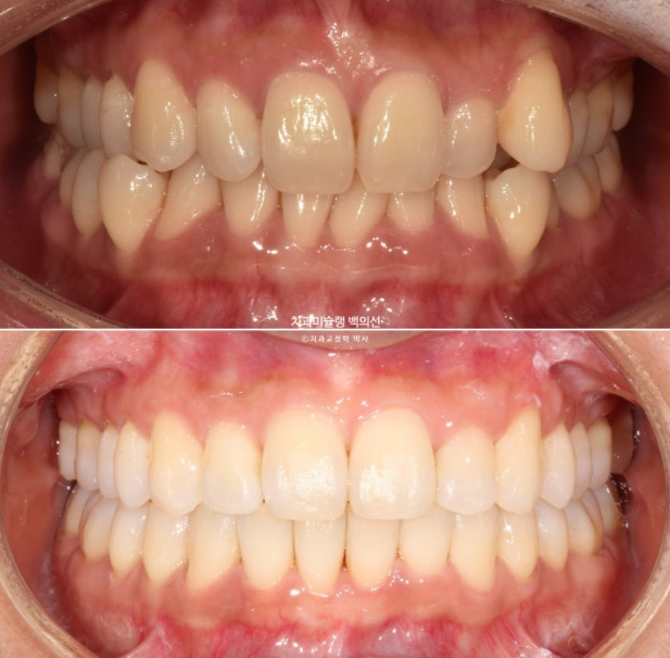
1년 전, 교정치료를 위해 온 환자분입니다.

24.08
환자분이 고치고 싶은 것은 덧니입니다.
송곳니와 작은어금니 덧니가 보이며 작은어금니가 거꾸로 물리는 반대교합도 보입니다.
앞니 중심선은 약 2mm 어긋나 있습니다.
위 앞니가 아래앞니를 많이 덮어 깊게 물리는 과개교합도 있습니다.

덧니로 배열에서 튀어나와있는 치아들은 잇몸이 내려가 있습니다.


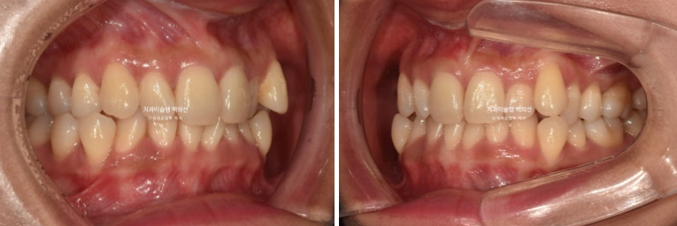
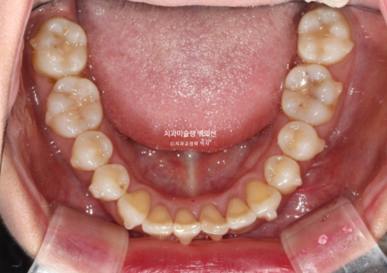
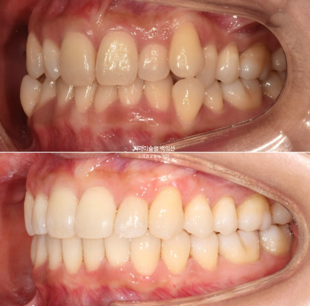
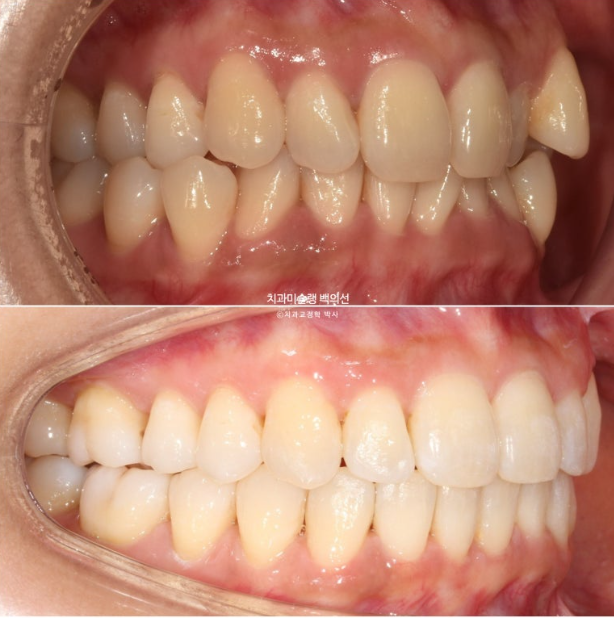
다행히 큰어금니 교합은 좋은 편

24.08
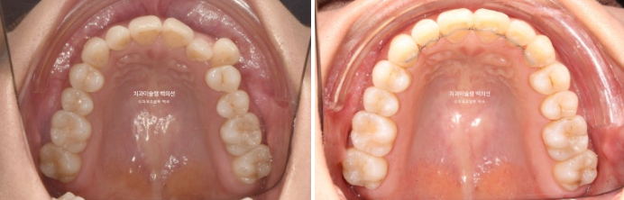
덧니쪽으로 중심선이 돌아가 있네요. 중심선이 돌아가 있으면 뼈의 비대칭이 비대칭처럼 보입니다.
이전 다른병원에서 교정상담을 받으면서 앞니가 옥니라는 진단도 받고 오셨죠.
옥니, 덧니, 과개교합, 반대교합, 중심선 불일치를 인비절라인으로 고치기로 합니다.
24년 8월부터 25년 4월까지, 31개 장치를 모두 낀 후 모습입니다.
31개 장치를 끼는 동안 중간 내원 횟수는 3회
환자분 협조도가 좋아서 나중엔 3달 간격으로 진료를 보았습니다.

25.04
중심선이 맞아지고 과개교합도 해결되었고 아래앞니 치축 기울어짐이 보입니다.

덧니가 배열되며 반대교합도 해소가 되었습니다.


25.04
아래 앞니 배열이 약간 아쉽습니다.
이 부분들을 고치기 위해서 재제작에 들어갔습니다.
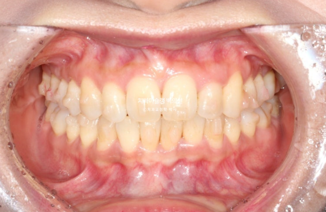
25년 5월부터 8월까지, 4달간 16개 추가장치를 모두 낀 후 치료를 마무리 했습니다.

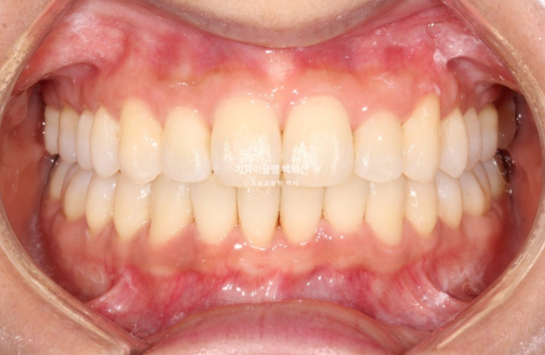
25.08
총 치료기간은 1년이고 재제작은 1회 했습니다.

25.08
교정치료의 완성은 예쁜 앞니와 어금니 교합입니다.
물샐틈 없는 교합이 되지 않으면 치료를 마무리 짓지 않습니다.
전후 보겠습니다.

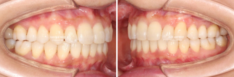
24.08~25.08
중심선, 과개교합, 덧니의 개선

24.08~25.08
옥니였던 앞니 각도가 정상각도를 찾았습니다.

24.08~25.08

24.08~25.08

철사 유지장치까지 붙은 모습입니다.
현재는 가철식 유지장치로 비베라를 제작중에 있습니다.
이제 안모 비교 보실게요

24.08~25.08
코와 인중이 맞아진 앞니 중심선

옥니의 개선은 미소에서도 확인됩니다.

24.08~25.08
옥니가 개선이 되며 윗입술의 볼륨감이 회복되었습니다.

1년간의 치료기간 동안 치근흡수는 없고 뿌리 평행도는 좋습니다
복잡해 보이는 부정교합도 정확한 진단과 원장의 적절한 치료계획과 노하우, 환자분의 훌륭한 협조도의 교집합인 경우 길지 않은 기간 내에 완벽한 결과가 나올 수 있습니다.

