안녕하세요.
압구정 교정치과 입니다
무삭제 라미네이트를 하려면 전제조건이 있습니다.
치아가 가지런해야 합니다.
오늘은 인비절라인으로 교정 후 치아삭제 없이 젤라미로 색과 치아모양까지 개선한 증례를 보여드리겠습니다.

23.10~25.05
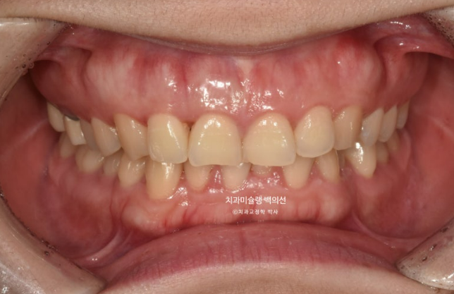
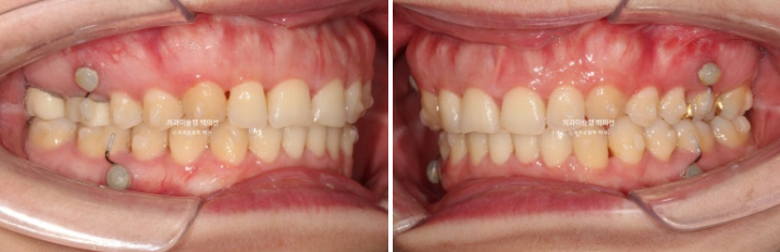
23년 10월, 교정치료를 위해 온 환자분입니다.

23.10
치아가 작고 앞니 끝단에 마모와 깨짐이 보입니다.
윗니가 아랫니를 많이 덮는 과개교합, 중심선 불일치도 보입니다.

어금니 교합은 좋은편입니다.

위 앞니 배열이 고르지 않아서 이 상태에서 무삭제 라미네이트를 하려면 치아도 깎아야 하고, 모양 및 투명도도 썩 예쁘지 않습니다.

23.10
아래 작은어금니는 안으로 들어가 있습니다. 이소맹출치아 쉽게 말해 덧니 입니다.
환자분이 고치고 싶은 것은 윗니가 나와보인다. 였습니다.
분석결과 윗니 뻗침은 없으나 치아가 가지런하지 않아 배열상 튀어나온 부분이 있고, 웃을 때 잇몸이 많이 보이는 부분 때문이라 판단하여 교정치료를 먼저 하기로 했습니다.
덧니 해결을 위해 작은어금니를 빼는 대신 큰어금니들을 사랑니 공간으로 밀어내어 공간을 얻기로 했습니다.

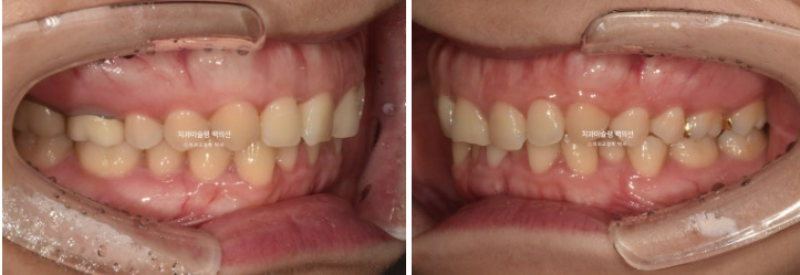
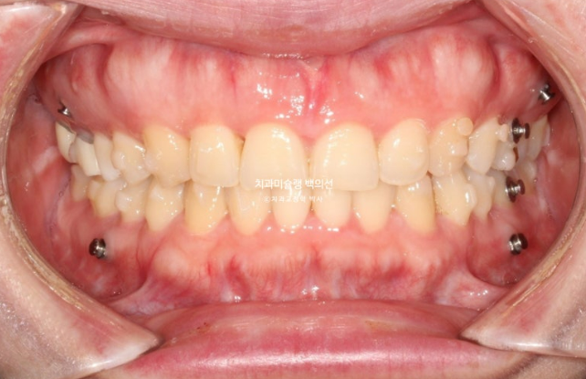
24.08
첫세트 장치는 56개가 나왔습니다.
교정용 나사를 총 4개 심어 어금니 후방이동을 도모합니다.
23년 10월부터 25년 1월까지, 1년 3개월간 56개 장치를 모두 낀 후 모습니다.

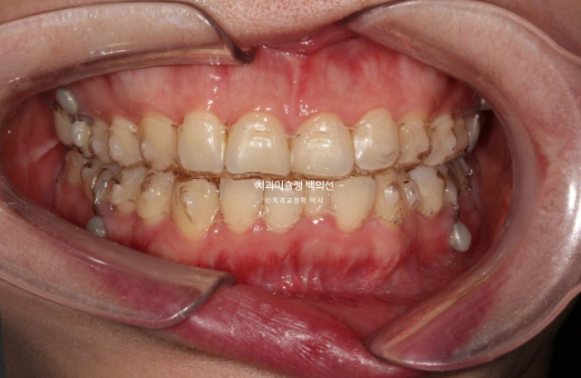
25.01
과개교합은 해결되었고 앞니 배열은 좋아졌으나 중심선이 아직 아쉽습니다.

25.01
어금니 교합은 좋습니다.

25.01

25.01
안모변화를 보겠습니다.

23.10~25.01
1년 3개월의 치료를 거미스마일과 약간의 캔팅이 개선되었습니다.
교정치료기간동안 인중축소술에 의해 인중의 길이가 짧아졌음에도 불구하고 잇몸노출도가 개선됨을 알 수 있습니다.
중심선 개선, 미세공간 폐쇄를 위해 마무리 추가장치 제작에 들어갑니다.
추가장치 갯수는 10개이며 25년 2월부터 5월까지 3개월간 꼈습니다.

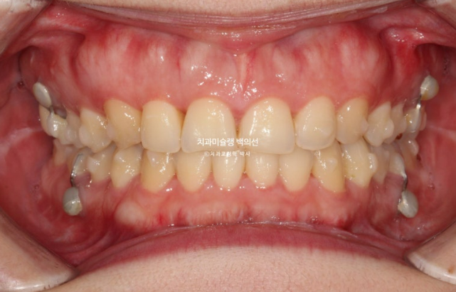
25.05
중심선은 잘 맞아졌으며 교합도 좋습니다.
이제 무삭제 라미네이트 준비에 들어갑니다.

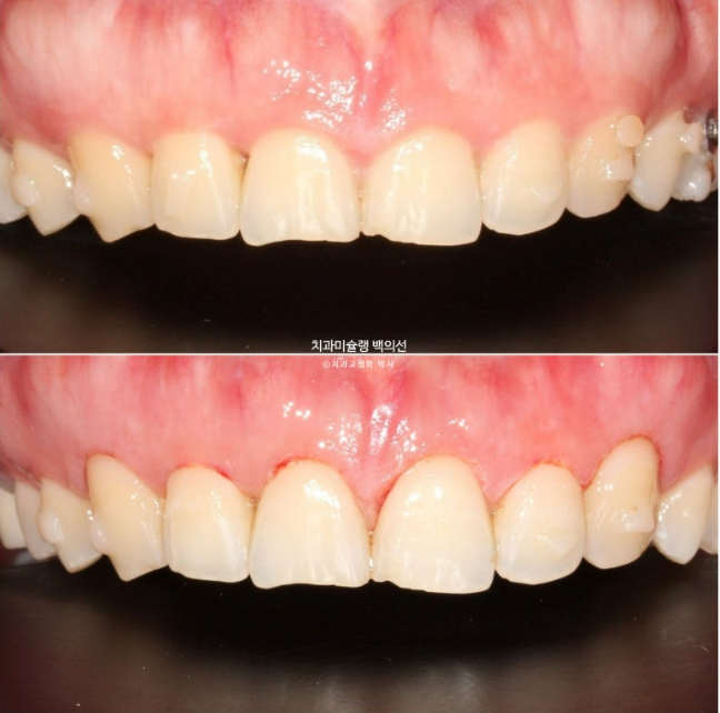
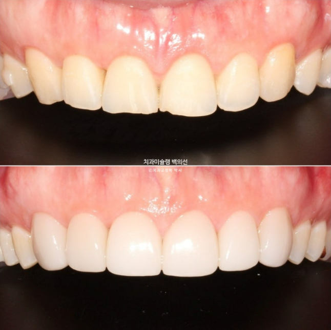
25.05
치아 길이가 짧아 잇몸성형을 먼저 진행합니다.
잇몸성형 후 약 열흘의 회복기간을 거쳐 잇몸이 아문 상태에서 앞니 6개에 무삭제 라미네이트를 붙입니다.

25.05
최소두께로 인한 우윳빛 투명감은 젤라미의 강점입니다.
앞니 끝단의 깨지고 마모된 부분이 커버되니 한결 깔끔합니다.

25.05

25.05

25.05
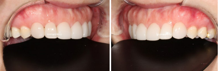
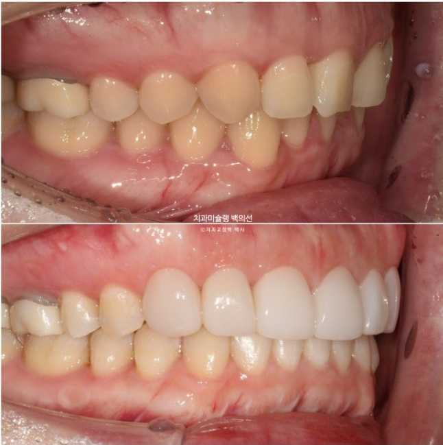
이제 전후비교 보겠습니다.
총 치료기간은 1년 7개월, 재제작은 1회 했습니다.

23.10~25.05

23.10~25.05

23.10~25.05

23.10~25.05
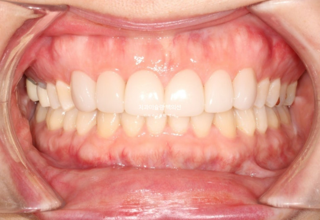
이제 안모비교 보겠습니다.

23.10~25.05
미소가 예쁘신 환자분

25.05
무삭제 라미네이트 치료는 깨지고 마모된 앞니에 가장 건강하고 좋은 치료방법이 아닐까 싶습니다,

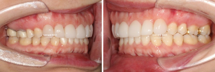
23.10~25.05
1년 7개월간의 미소를 변화를 보겠습니다.
위에서부터 초진 - 교정 후 - 젤라미 후 입니다.

23.10~25.05
교정을 선행하면 무삭제 라미네이트 결과가 좋습니다.
무엇보다 치아를 깎지 않아도 된다는 크나큰 장점이 있습니다.

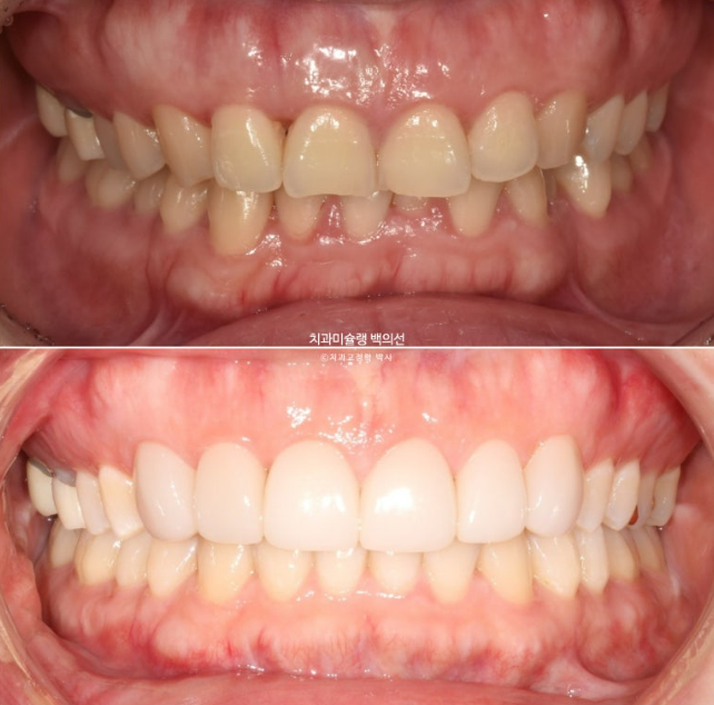
25.05
1년7개월의 치료기간동안 치근흡수는 없으며 치근평행도는 좋습니다.

