안녕하세요
압구정 교정치과입니다.
오늘은 합죽이를 방지하기 위해 입매를 유지한채 벌어진 공간을 마무리 하는 교정에 대해 알려드리겠습니다.

24.05
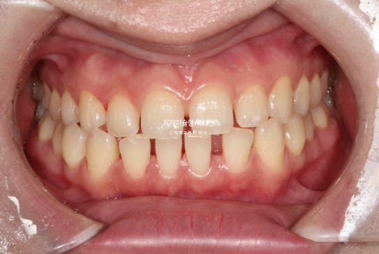
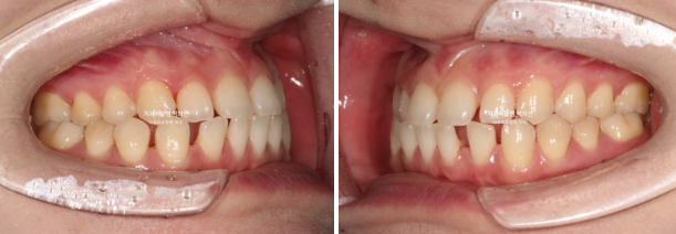
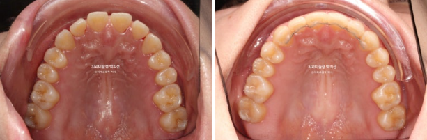
앞니 벌어짐으로 온 30대 환자분 입니다.

벌어진 양이 꽤 많습니다.
단순하게 공간을 다 없앤다면 앞니가 뒤로 쏙 들어가는 상황입니다.


24.05
앞니는 절단교합 내지 반대교합을 보입니다.

24.05
환자분의 초진 입매에서 보듯 앞니가 뒤로 들어가면 안 되는 상황입니다.
그럼 방법은 어금니를 앞으로 끌어와서 (근심이동 시켜) 공간을 마무리 하는 것 입니다.
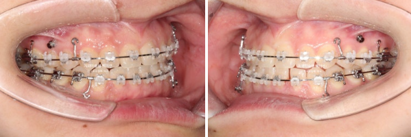
환자분은 클리피씨 치료 원하셨으며 바로 치료 들어갔습니다.

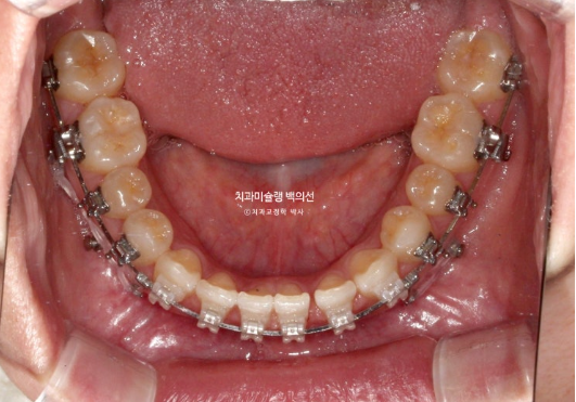
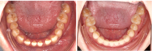
25.04
어금니를 앞으로 당겨오기 위해서는 교정용 나사가 4개가 필요합니다.
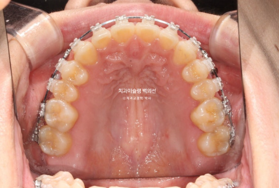
25년 4월 공간이 거의 닫혔을 때 모습입니다.


아래 앞니에만 약 1mm 공간이 남아있습니다.
치료를 이어가다가 25년 9월 공간이 마무리가 되어 치료를 마무리 했습니다.

25.09
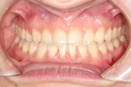
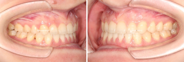
중심선은 잘 맞고 블랙트라이앵글은 거의 생기지 않았습니다.

어금니 교합은 좋습니다.
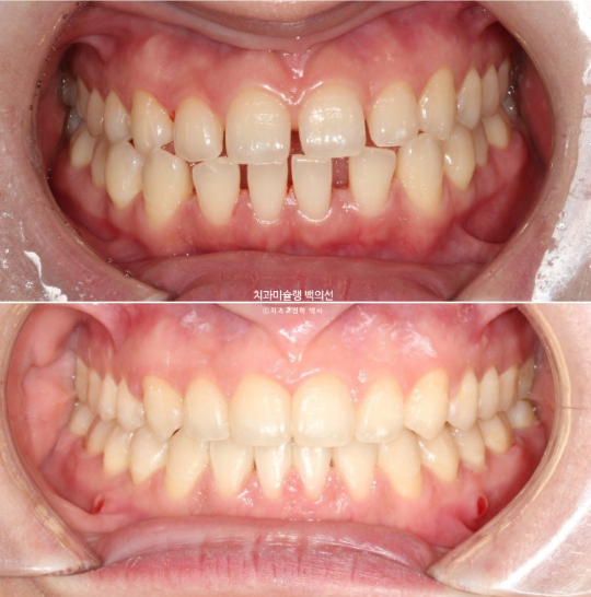
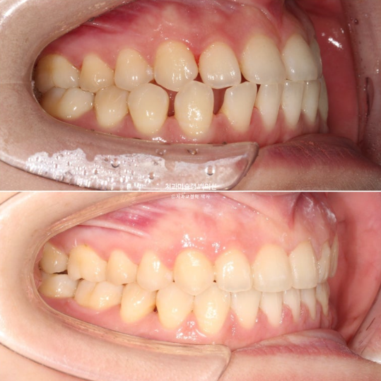
이제 전후 비교 보겠습니다.
총 치료기간은 1년 4개월 입니다.

24.05~25.09

24.05~25.09
치아 사이사이 접촉은 타이트하게 마무리 되었습니다.

24.05~25.09

24.05~25.09
아랫니가 윗니보다 뒤로 들어가며 절단교합이 해소가 되었습니다.

24.05~25.09
깔끔해진 미소가 돋보입니다.

24.05~25.09

24.05~25.09
많은 공간을 닫았음에도 입매는 잘 유지가 되었습니다.
입매가 안 예뻐질까봐 교정치료를 망설이는 분들에게 이 포스팅이 도움이 되길 바랍니다.

