안녕하세요.
압구정 교정치과 입니다.
오늘도 인비절라인 돌출입 발치교정 이야기를 해보겠습니다.

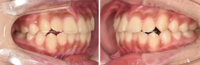
23.10~25.09
23년 10월 교정치료를 위해 온 중학생 환자입니다.

23.10
고치고 싶은 것은 돌출입
덧니도 있고 치열도 삐뚤하여 작은어금니 4개 발치가 필요한 상황입니다.




23.10
아래턱이 작은 무턱이지만, 아래턱 성장을 유도하는 성장교정을 할 시기는 지났고
돌출입만 해소가 되어도 무턱이 완화되어 보임을 설명드리고 치료에 들어갔습니다.
인비절라인을 선택하셨고 첫 세트 장치는 88개가 나왔습니다.

24.11
치료시작 1년 1개월차 모습입니다.
51번 장치를 끼고 있던 시기입니다.

24.11
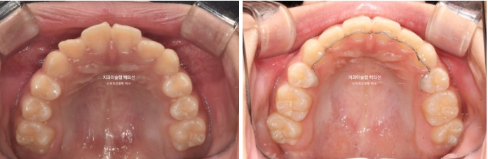
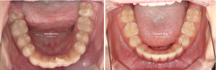
발치공간은 1/3가량 남아있으며 덧니는 해소가 되었습니다.

24.11
배열은 많이 좋아졌지만 일부 장치가 안 맞는 부분이 있어 일찍이 재제작에 들어갔습니다.
남은 52~88개 장치는 아깝지만 폐기하게 됩니다.
한달간의 장치 재제작을 기다려 24년 12월부터 두번째세트 장치를 끼기 시작합니다. 두번째 세트 장치는 16개가 나왔습니다.
치료 중 약 4달간 환자의 사정으로 치료를 중단하는 일이 있었습니다.
이 때 치아가 원래 자리로 돌아가지 않게 하기 위해 장치를 밤에만 끼면서 유지는 하되 진도를 나가지는 않습니다.
그렇게 25년 9월, 16개 추가장치를 모두 낀 후 치료를 마무리 했습니다.

25.09
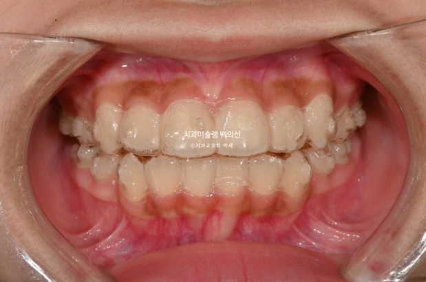
중심선은 잘 맞으며 앞니 교합은 적절합니다.

어금니 교합은 1급이고 좋습니다.

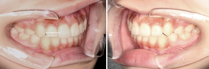
25.10~25.09
그 사이 두번째 큰어금니까지 모두 나와 잘 배열되었습니다.

이제 안보비교 보겠습니다.
총 치료기간은 1년 11개월, 중간에 쉰기간을 빼면 실제로 1년 9개월정도 됩니다.
나이가 어릴수록 치아이동에 변수가 적고 원활하여 전체교정기간은 짧아집니다.

25.10~25.09

25.10~25.09
돌출입 해소로 무턱이 개선되어보이는 효과입니다.
아직 성장기인 친구라 아래턱이 실제로도 앞으로 자라나오기도 했습니다.

25.10~25.09

25.10~25.09
앞니각도는 적절하며

25.10~25.09
무턱이던 턱 라인이 예뻐졌습니다.
치료기간동안 아래턱의 성장이 바람직하게 일어나서 실제로 무턱이 좋아졌습니다.

25.10~25.09
치료기간 내 치근흡수는 없고 치근평행도는 좋습니다.
돌출입으로 발치교정을 고민 중인 분들에게 이 포스팅이 도움이 되길 바랍니다.

