안녕하세요.
압구정 인비절라인 치과입니다.
인비절라인은 난이도에 따라 프로그램을 세분화 해놨습니다.
인비절라인 익스프레스부터 라이트, 모더레이트, 컴프레헨시브 등등
각각 허용하는 장치갯수가 다르고 비용이 다릅니다.

인비절라인 익스프레스는 도대체 언제 쓰는 걸까? 에 대한 포스팅입니다.
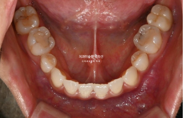
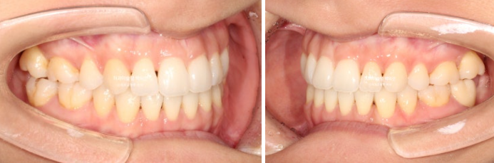
25년 2월 교정치료를 위해 온 환자분입니다.

오래 전 발치교정을 했는데 유지관리 단계에서 다시 틀어져 버렸습니다.
그 당시 원장님이 철사유지장치는 안해주고 뺏다꼈다 하는 유지장치만 줬다고 합니다.
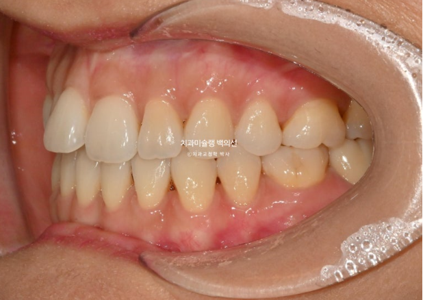
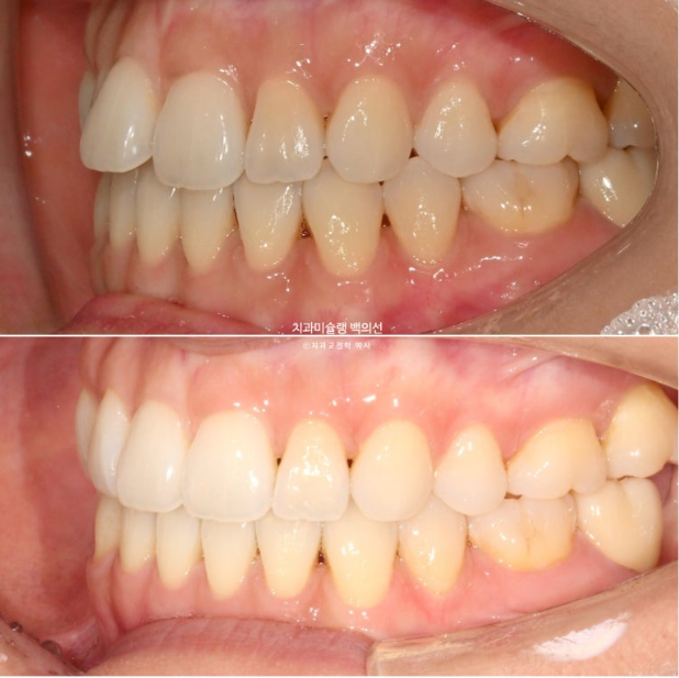
재교정을 해서 고치고 싶은 것은 튀어나온 위 앞니와 아래앞니의 블랙트라이앵글

앞니 하나가 들려있어요.


중절치 하나가 많이 나와있습니다.
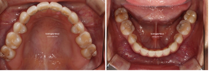
이렇게 철사 고정식 유지장치를 붙여놓지 않고 뺏다 꼈다 하는 유지장치로만 좋은 결과를 유지하는 것은 한계가 있습니다.
요즘은 철사 고정식 유지장치는 필수입니다.

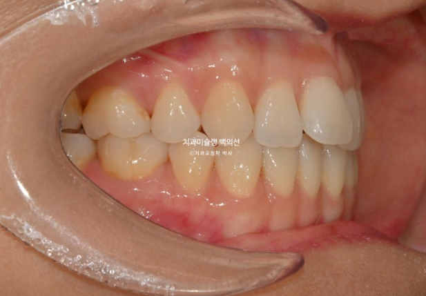
아랫니도 약간의 배열 불규칙이 보입니다.
이정도 재발에 유용하게 쓸 수 있는 게 바로 인비절라인 익스프레스 입니다.
장치 7개로 해결이 가능한 경미한 부정교합이나, 재발된 치아에 쓰는 장치입니다.
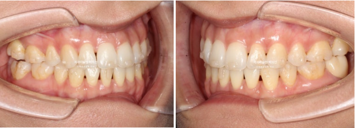
인비절라인 익스프레스 권유드렸고 상악은 배열 위주, 하악은 치간삭제를 통해 블랙트라이앵글 사이즈를 줄이고 배열을 잡기로 합니다.
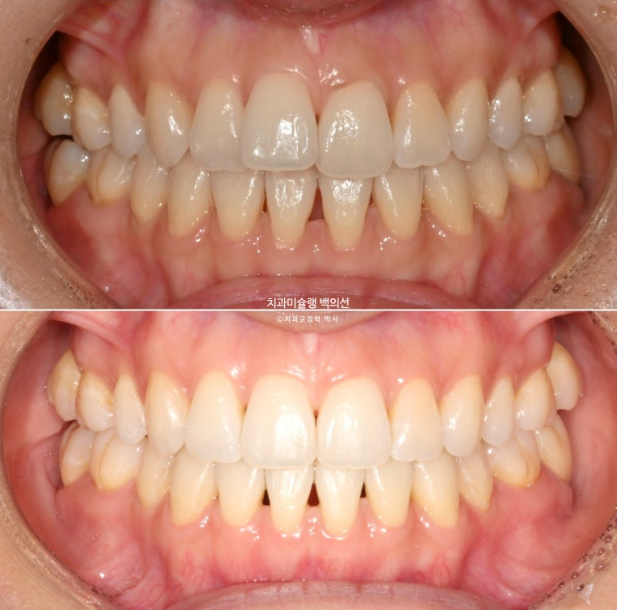
3월부터 5월까지 2달간 7개 장치를 모두 낀 후 모습입니다.

25.05
윗니는 제자리로 잘 들어갔으나 아래 앞니 블랙트라이앵글이 여전히 큽니다.

앞니 배열 완료입니다.

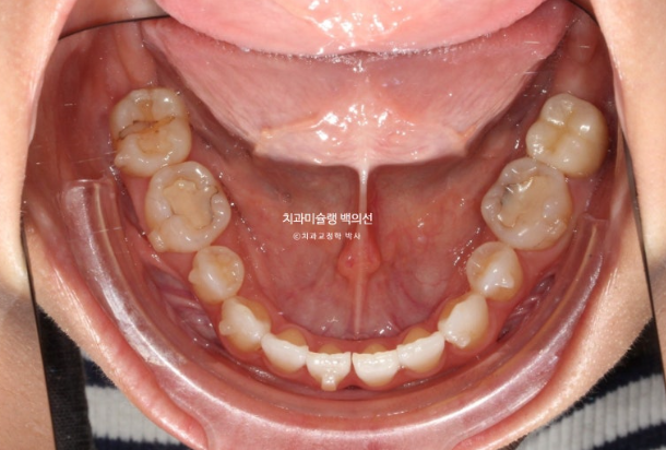
아래 앞니 블랙트라이앵글을 더 없애고자 추가장치 제작에 들어갑니다.

25년 7월부터 9월까지 7개 추가장치를 낀 후 치료를 마무리 했습니다.

25.09
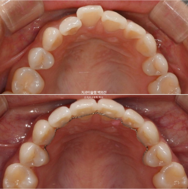
총 치료기간은 6개월이고 재제작은 1회 했습니다.


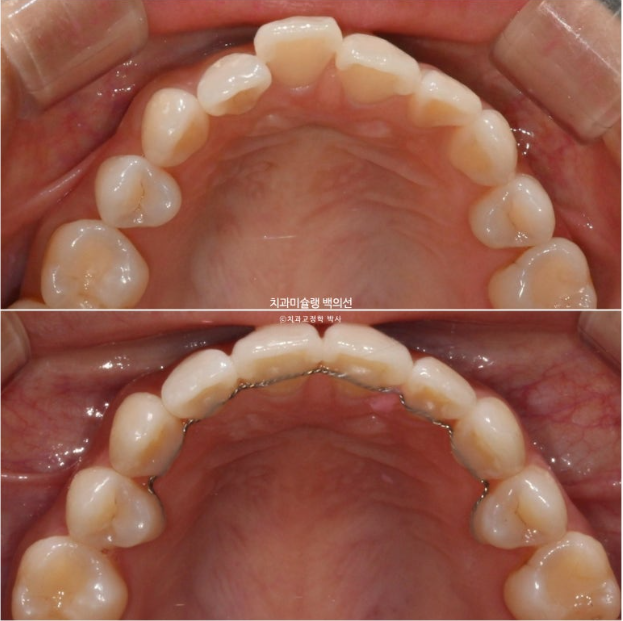
철사 교정식 유지장치까지 꼼꼼하게 들어갑니다.
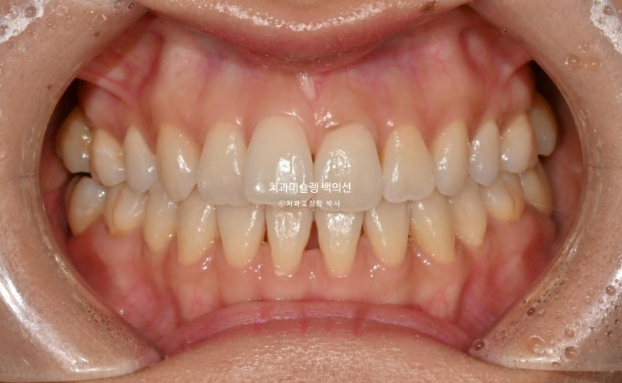
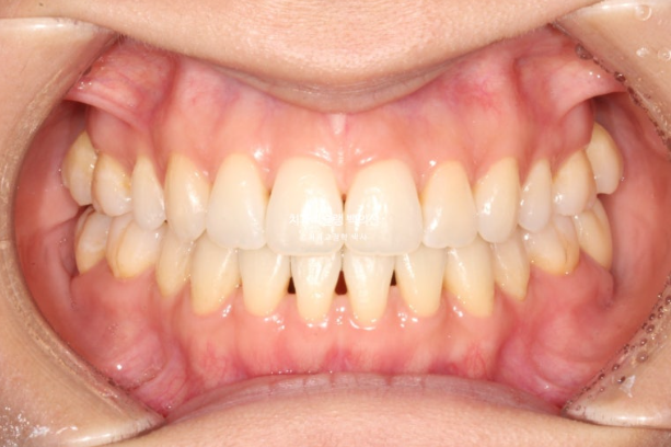
이제 전 후 비교 보겠습니다.

25.03~25.09




25.03~25.09
깔끔해진 미소가 돋보입니다.
인비절라인 익스프레스 궁금하신 분들에게 혹은 교정치료 후 앞니가 다시 틀어지거나 벌어져 고민 중인 분들에게 이 포스팅이 도움이 되길 바랍니다.

