안녕하세요
압구정 인비절라인 교정치과 입니다.
인비절라인 모더레이트는 26개 장치 안에서 해결가능한 부정교합에 쓰는 프로그램입니다.
인비절라인 라이트 (장치갯수 제한 14개) 와 컴프레헨시브 (장치갯수 제한 99개) 사이에 있는 말그대로 '중간'의 위치입니다.
치료기간 2년 가까이 걸리는 발치교정이나 비발치돌출입 교정 등에는 사용이 힘들지만
단순 배열 위주의 교정에서는 컴프레헨시브보다 저렴한 비용으로 유용하게 쓸 수 있죠.

인비절라인 모더레이트 프로그램은 우리나라에 런칭된지 1년이 채 안됐습니다.
즉 그 전에 인비절라인 라이트도 어려운 교정은 무조건 컴프레헨시브 프로그램을 써야했던 시대
오늘은 치료시작 당시 모더레이트 프로그램이 있었다면 모더레이트로 치료가능했던 케이스를 보여드리겠습니다.

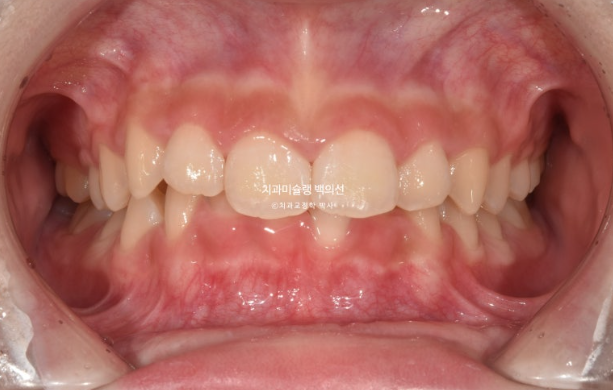
24.01
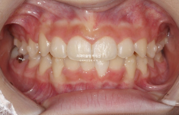
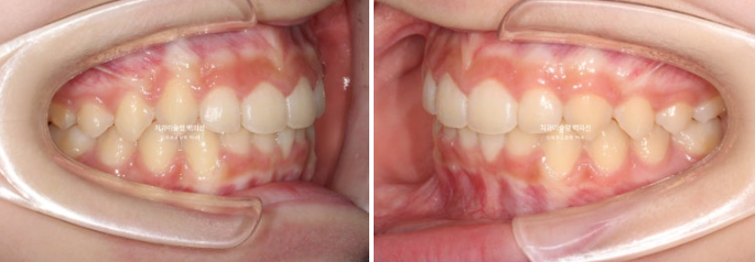
교정치료를 위해 내원한 중학생 친구입니다.
앞니 높낮이 차이가 눈에 띕니다.
가운데 앞니 두개가 내려와 토끼이처럼 보입니다.

윗니가 아랫니를 과하게 덮어 아랫니가 보이지 않을 정도입니다.
과개교합 이라고 합니다.


인비절라인 모더레이트의 적응증인 상태이지만 이 당시에는 모더레이트 포르그램이 런칭 되기 전이였습니다.
어쩔 수 없이 인비절라인 컴프레헨시브 프로그램으로 시작했습니다.

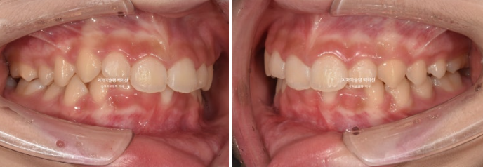
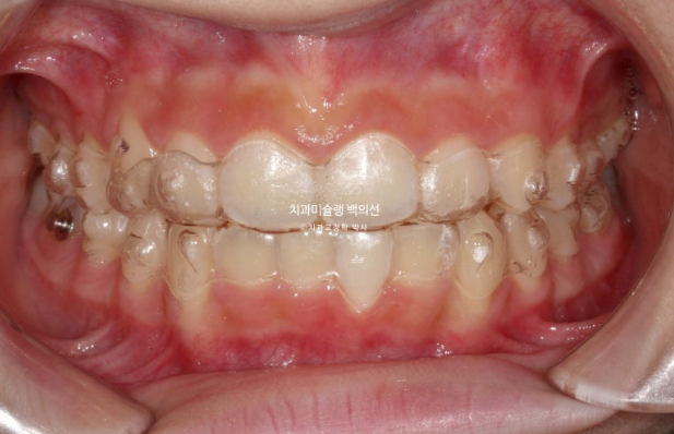
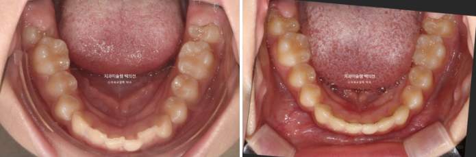
24.09
첫 세트 장치는 26개가 나왔고 고무줄 처방이 함께 들어갔습니다.
장치 26개면 모더레이트 프로그램으로 가능하다는 이야기 입니다.
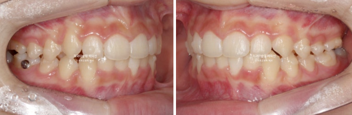
24년 2월부터 9월까지 장치를 모두 낀 후 모습입니다.

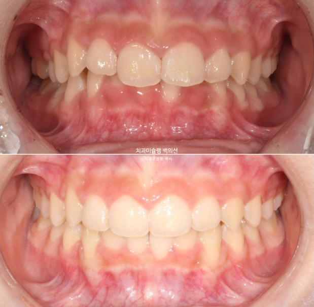
24.09
중심선이 아직 맞지는 않지만 과개교합이 해소가 되었습니다.

어금니 교합이 아직 완벽하진 않습니다.


배열은 좋습니다.
중심선, 교합 개선을 위해 추가장치 제작에 들어갔습니다
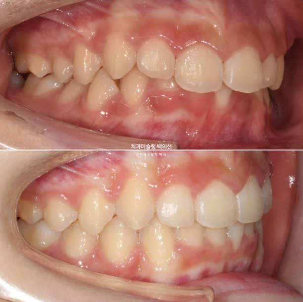
24년 10월부터 25년 4월까지 6개월간 18개 장치를 더 낀 후 치료를 마무리 했습니다.

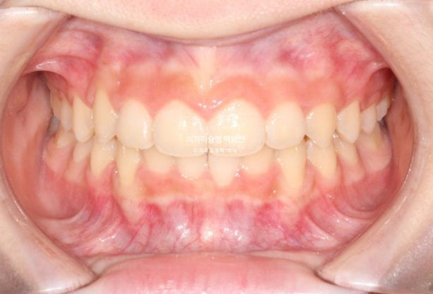
25.04
중심선은 정확하게 맞으며 과개교합이 잘 해소되었습니다.

어금니 교합은 물샐틈 없는 1급입니다.

2024.02~2025.04

유지장치까지 들어간 모습입니다.
총 치료기간은 1년 2개월, 재제작은 1회 했습니다.


2024.02~2025.04
안모 비교 보겠습니다.

2024.02~2025.04
깔끔한 미소

2024.02~2025.04
정돈된 입매
좋은 결과를 유지하기위해 환자분은 현재 비베라 유지장치 착용중입니다.
인비절라인 모더레이트는 언제 쓸까?
에 대한 답변이 되었길 바랍니다.
오늘도 긴글 읽어주셔서 감사합니다.

