안녕하세요
압구정 연세바로치과입니다.
오늘은 부원장님 인비절라인 케이스를 보면서 앞니 2개가 선천적으로 없는 경우 (결손치) 인비절라인 교정 후 임플란트까지 치료 진행과정에 대해 보여드리겠습니다.

23.01~25.09
인비절라인 교정이 끝난 후 높낮이 단차 등 미세하게 아쉬운 부분이 있을 때 MTA 부분교정으로 어떻게 해결하는 지 보시면 좋습니다.
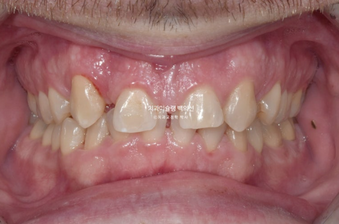
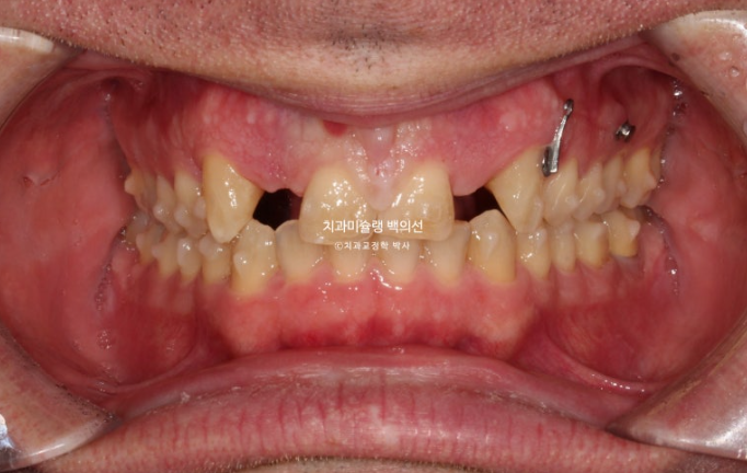
24년 1월 교정치료를 위해 내원한 외국인 환자분입니다.

23.01
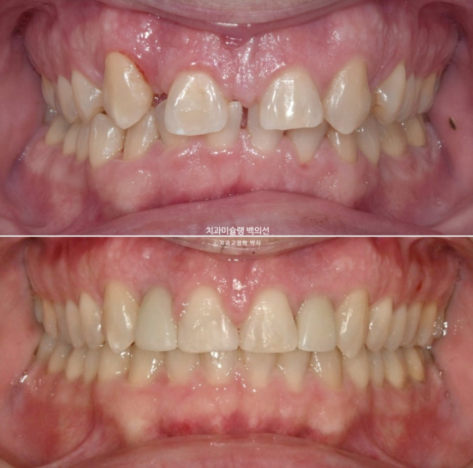
위 앞니 4개중 2개가 없습니다. 앞니가 크게 벌어져 있고 아래 앞니가 위로 솟아 위 입천장 잇몸을 칠 정도의 심한 과개교합이 있습니다.

만약 이렇게 선천적 결손치아와 돌출입이 혼재한다면 결손치아를 발치한 셈 치고 벌어진 공간을 모으며 돌출을 해소하는 방향으로 치료를 하기도 합니다.

하지만 환자분은 전형적인 caucasian의 안모를 보입니다.
즉 입술이 얇고 콧대가 높고 턱끝이 튀어나와 앞니가 뒤로 더 들어가면 큰일날 상입니다.
이런 경우라면 공간을 한쪽으로 몰아 결손치 자리에 임플란트를 하는 것이 좋습니다.
앞니 자리로 밀려온 송곳니를 원위치로 보내어 결손된 앞니자리에 임플란트 2개를 하기로 했습니다.


1년 후 본국으로 돌아갈수도 있는 점을 고려하여 해외에서도 치료를 이어갈 수 있도록 인비절라인 치료를 권유드렸습니다.
첫세트 장치는 32개가 나왔으며 23년 2월부터 장치를 끼기 시작했습니다.

23.07
치료 중 앞니부분에서 장치가 뜨는 부분이 생겼습니다.
앞니가 이동하는 과정에서 뿌리가 따라오지 못 하고 머리가 쓰러지는 현상입니다.
이 부분은 추가장치에서 바로잡기로 하고 임플란트 공간 확보를 위해 진도를 나갑니다.

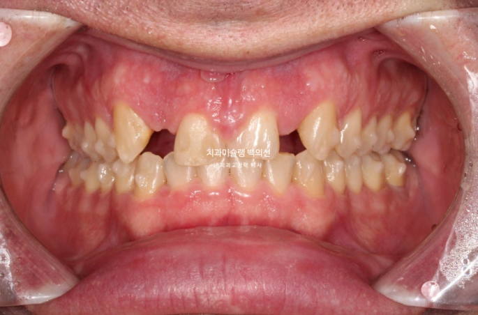
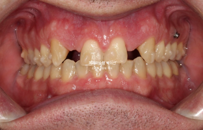
23.10
23년 10월, 9개월간 32개 장치를 모두 낀 후 모습입니다.
중절치 두 개 단차가 보입니다. 중심선이 약 1mm 안 맞습니다.

어금니 교합이 뜨는 부분이 있습니다.

배열은 좋습니다.
중심선 개선, 어금니 교합관계 개선, 쓰러진 앞니 뿌리각도 개선 등을 목표로 추가장치 제작에 들어갔습니다.
24년 4월까지 5개월간 24개 추가장치를 모두 낀 후 모습입니다.

24.04
중심선은 잘 맞으며 쓰러진 앞니 뿌리 및 중절치 단차는 개선되었습니다.

어금니 교합도 양측 모두 1급 달성되었고 뜨는 부분도 없습니다.


임플란트 식립 부위를 좀 더 안정적으로 만들기 위해서 두번째 추가장치 제작에 들어갑니다.
보이는 부분은 아니지만 환자분을 위해 필요한 치료입니다.
24년 5월부터 10월까지 20개 장치를 더 낀 후 교정치료를 종료했습니다.

24.10

24.11

24.10
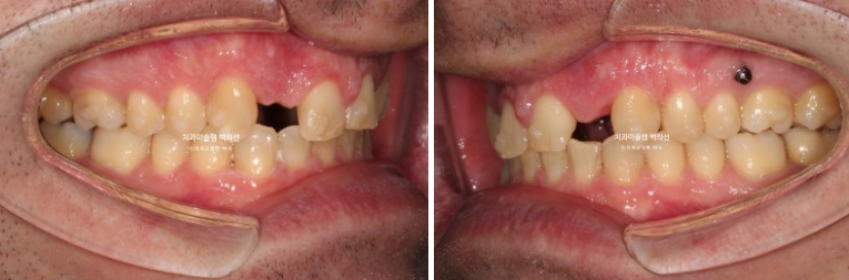
아래는 유지장치까지 붙여서 마무리 한 뒤 임플란트를 심습니다.

25.04
임플란트는 먼저 뿌리를 심고 몇달간 안정화 기간을 거쳐서 치아머리를 만듭니다.
약 6개월간 안정기간을 충분히 가진 후 25년 4월 임플란트 머리를 올립니다.

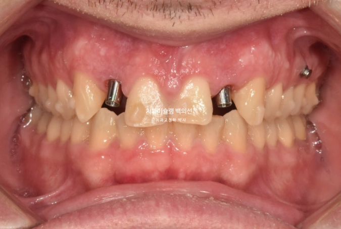
25.05
6개월의 기다리는 기간동안 환자분이 유지장치를 소홀히 끼셨는지 세워놨던 앞니 뿌리가 다시 약간 기울어졌죠
이 부분 개선을 위해 앞니 4개에 부분교저용 mta 장치를 붙이기로 했습니다.

25.05
MTA 부분교정용 장치를 붙인 직후 환자분은 세달간 긴 여름 휴가를 보내기 위해 본국으로 갔고 25년 9월 다시 한국에 돌아왔습니다.
앞니 치축 개선을 확인 한 후 드디어 치료를 종료 합니다.

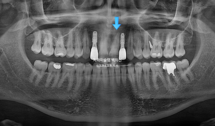
25.09
치아 뿌리 평행도는 사랑니까지 좋습니다.

25.09
중심선은 잘 맞고 과개교합은 깔끔하게 개선이 되었습니다.

25.09
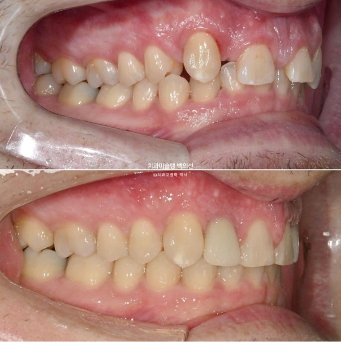
어금니 교합은 물샐틈 없이 좋고 1급 교합관계를 보입니다.
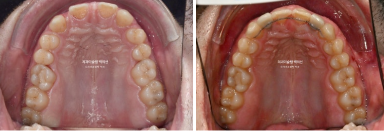
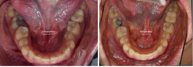
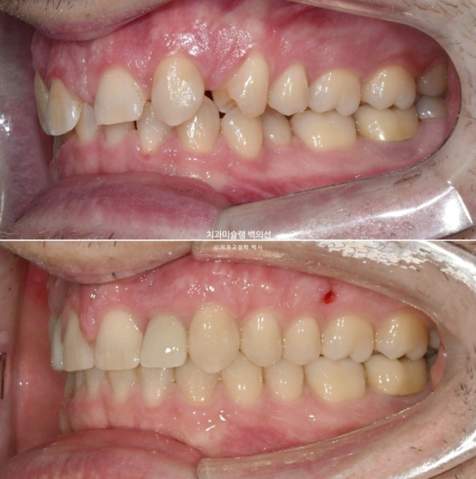
이제 전 후 비교 보겠습니다.
치료기간은 1년 9개월, 재발된 앞니 치축을 바로 잡는데는 4개월이 걸렸습니다.

23.01~25.09

23.01~25.09
사랑니까지 잘 배열이 되었습니다.

23.01~25.09

23.01~25.09

23.01~25.09

23.01~25.09
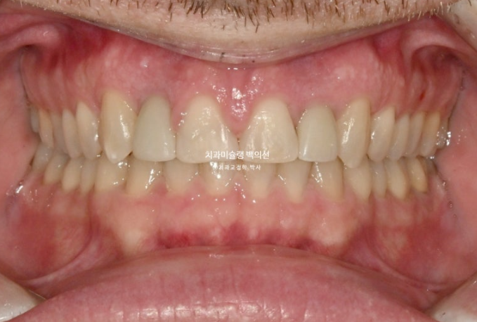
깔끔해진 미소

23.01~25.09

23.01~25.09
입매는 잘 유지가 되었습니다.
결손치의 치료방법은 이렇게 초진 시 안모와 돌출 여부에 따라 천차 만별입니다.
결손치나 벌어짐으로 교정치료를 고민 중인 분들에게 도움이 되길 바랍니다.

