안녕하세요
압구정 인비절라인 교정치과입니다.
오늘은 비발치 인비절라인 교정 이야기를 들려드리겠습니다.
진단상담을 하다보면 타병원 상담시 들은 내용에 대한 해명 요구를 많이 받습니다.
마찬가지로 인비절라인 사랑니 공간 후방이동은 절대 안된다던데요? 라는 부분에 대한 답변 포스팅입니다.

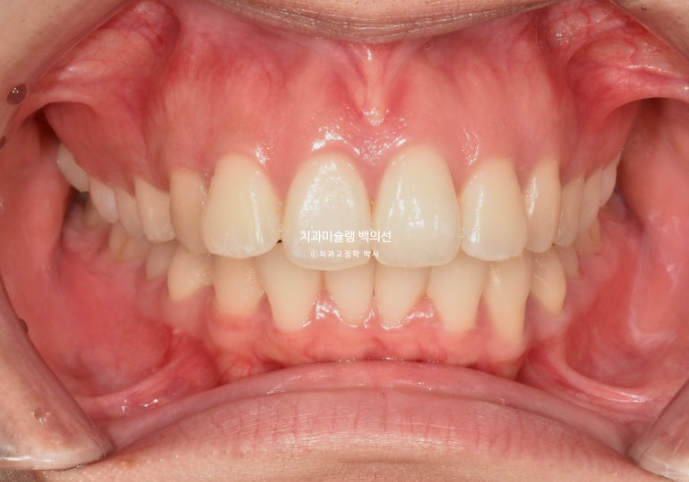
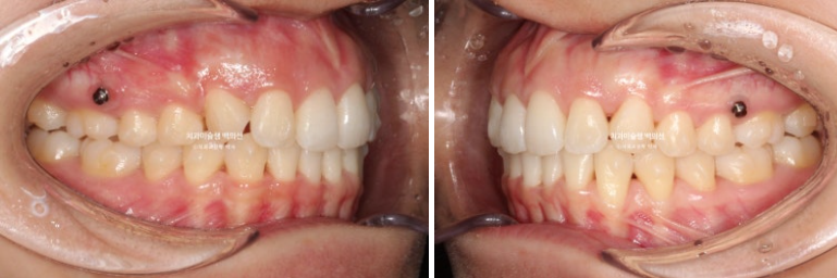
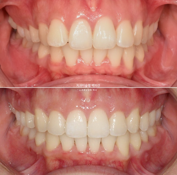
23.09~25.09
2년 전 23년 9월 약간의 돌출과 입술부전증 치료를 위해 오신 환자분입니다.

23.09
입술부전이란 돌출때문에 입이 편하게 안 다물리는 상태를 이야기 합니다.
입을 다물려면 턱끝에 힘이 들어가기에 호두턱 또는 호두주름과 항상 같이 언급이 됩니다.


앞니가 삐뚠 부분이 있습니다.
골격적으로는 아래턱이 작은 무턱입니다.
환자분은 발치교정은 원치 않았기에 치료계획은 사랑니 발치하고 사랑니 공간으로 어금니를 밀어 앞니를 가지런히 펴고 뒤로 넣는 계획입니다.
인비절라인 치료를 선택하셨고

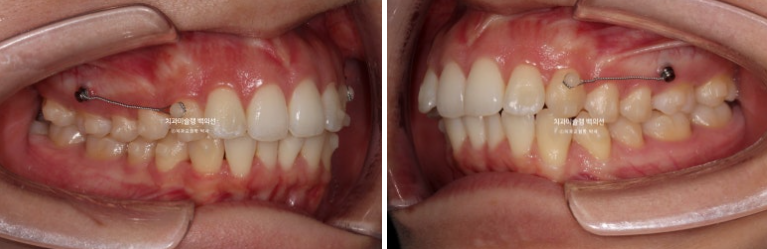
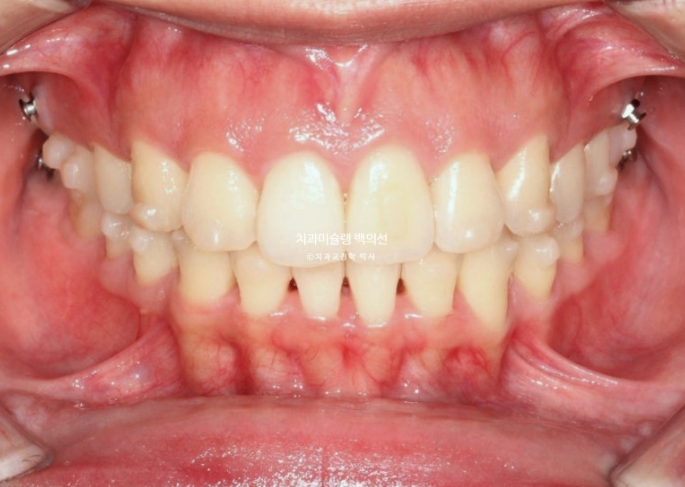
23.10
어금니 후방이동에 필요한 교정용 나사를 심고 진행합니다.

24.02
앞니와 송곳니가 뒤로 가야하는 단계에서는 이런 장치도 붙입니다.
현재는 여러가지 이유로 환자분이 뺐다 꼈따 하는 고무줄 처방이 같이 나갔겠지만 저 당시에는 고무줄 처방 없이 저렇게 후방이동을 시켰습니다.
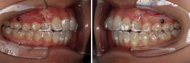
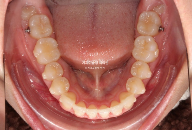
24년 7월까지 10개월간 42개 장치를 모두 낀 후 모습입니다.

24.07
중심선은 잘 맞지만

후방이동에 필요한 장치를 붙여놓았던 송곳니의 회전이 보입니다.

미진한 부분들을 정리하고자 추가장치 제작에 들어갑니다.
추가장치 갯수는 20개가 나왔고 24년 8월부터 25년 1월까지 꼈습니다.

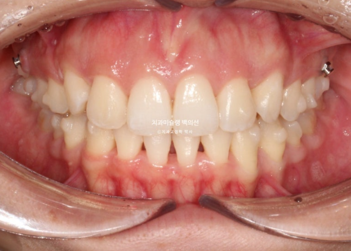
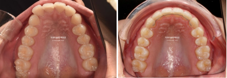
25.01
첫번째 추가장치를 모두 낀 후 모습입니다.

교합은 이미 1급 교합관계로 완성 상태입니다.


배열도 완벽합니다.
치료를 마무리 해도 되는 상황이나 환자분이 앞니 각도 개선을 좀 더 원하셔서 두번째 추가장치 제작에 들어갔습니다.
재제작 하는 김에 앞니 뿌리도 치조골 속으로 더 이동시켜서 잇몸건강 측면에서도 안정적인 결과를 도모합니다.
또한 아래 앞니 블랙트라이앵글 사이즈도 치간삭제를 통해 줄이기로 합니다.
25년 2월부터 25년 9월까지, 23개 추가장치를 모두 낀 후 치료를 마무리 합니다.

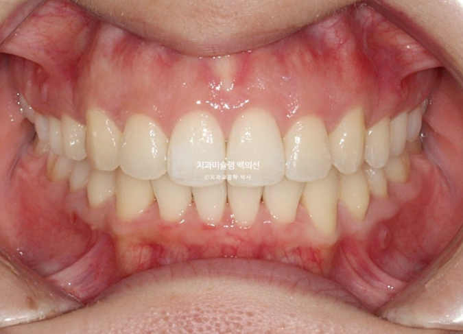
25.09
블랙트라이앵글 사이즈는 많이 줄였고 중심선은 잘 맞습니다.

어금니 교합은 물샐틈 없는 1급관계입니다.
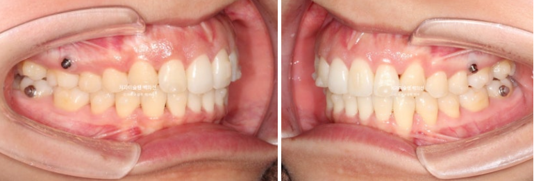
이제 전 후 비교 보겠습니다.
총 치료기간은 2년입니다.

23.09~25.09


23.09~25.09
안모 비교 보겠습니다.

23.09~25.09
앞니 후방이동으로 비로소 입술이 편안하게 다물립니다.

23.09~25.09
스마일라인은 아랫입술과 평행하게 완벽한 호를 그립니다.

23.09~25.09

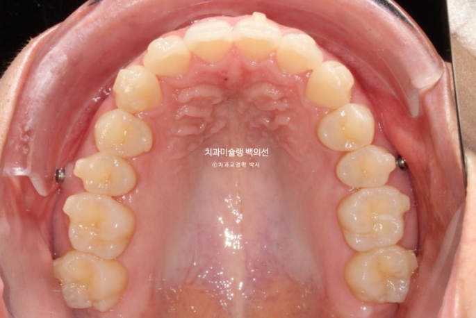
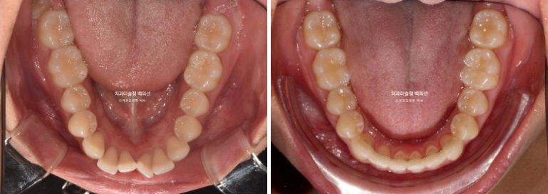
25.09
2년간 치료기간 동안 치근흡수는 없고 치아뿌리 평행도는 좋습니다.
앞니가 뒤로 들어가면서 입을 다무는 것이 편해졌고
큰어금니가 약 2mm 사랑니 공간으로 잘 이동했습니다.
치료기간동안 전체치열의 함입이 전체적으로 소량 일어나 아래턱이 자가회전 하면서 앞으로 나왔습니다.
하악 자가회전은 아래턱이 더 다물리게 되면서 턱끝 기준 앞으로 나오면서 위로도 올라가게 되는데
하관이 미세하게 짧아지는 효과와 무턱이 미미하게나마 개선이 되는 효과를 볼 수 있습니다.
인비절라인은 교합면에 장치가 씹히게끔 되어있어서 평소 씹는힘에 의하여 어느정도 함입이 일어납니다.
특히 무는 힘이 센 분들은 어금니 함입이 꽤 많이 일어납니다.
연구에 따르면 치료기간과 관계없이 인비절라인 교정 후 위 아래 어금니에 평균 약 0.9mm 함입이 일어납니다.
교정 후 얼굴이 길어지는 부작용이 생길까봐 고민이신 분들에게 인비절라인이 좋은 치료방법이 됩니다.


