안녕하세요
50대 발치교정 소개해드릴 압구정 인비절라인 치과 입니다.
잇몸병 즉 치주염이 심해지면 주변 뼈를 녹이게 되면서 치아를 빼야 하는 경우가 있습니다.
이런 경우 치아를 뺀 공간을 이용해 교정으로 치아를 가지런히 배열할 수 있다면 임플란트를 안해도 되고 예뻐지며 장기적으로 구강건강에 매우 이로운 치료가 됩니다.

24.09~25.09
오늘은 치주염으로 인해 치아를 발치해야 하는 상황에서 현명하게 교정치과를 찾아오셔서 좋은 결과를 얻고 가신 50대 환자분 이야기를 해보겠습니다.
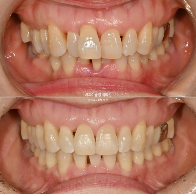
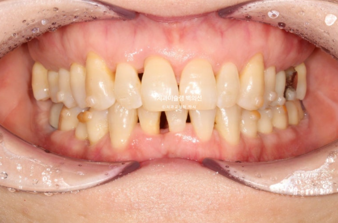
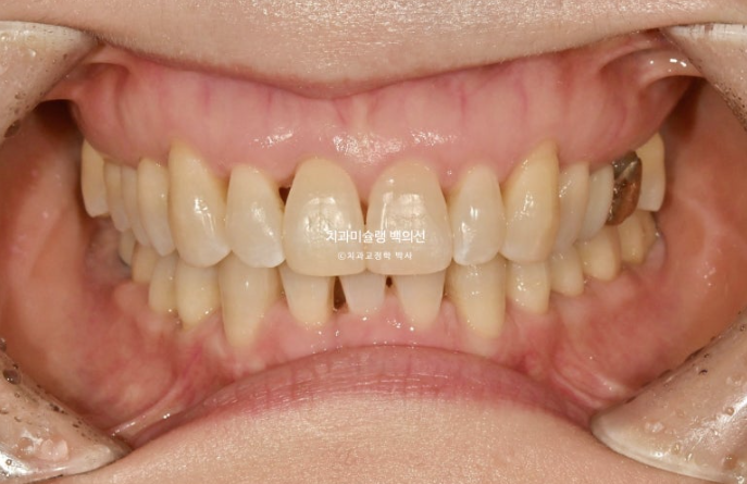
1년 전 치아 틀어짐이 점점 심해지면서 찾아오신 50대 환자분
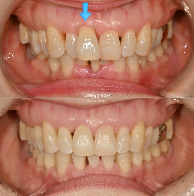
예전에는 입이 편하게 다물어졌었는데 치아가 틀어지고 벌어지고 내려오면서 이제는 입이 편하게 안 다물어지는 것도 불편한 상태입니다.

24.09
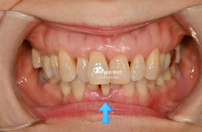
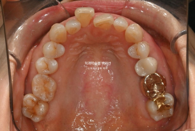
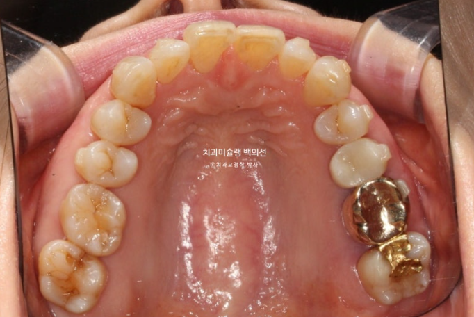
파란 화살표 치아는 잇몸이 검붉게 보입니다.
엑스레이상 이미 치주염이 상당히 진행이 되어 발치가 불가피한 상황이였습니다.


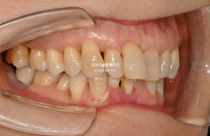
위 앞니는 잇몸이 꽉 잡아주지를 못해서 점점 솟아 내려오고 튀어나오면서 치아사이가 벌어졌습니다.


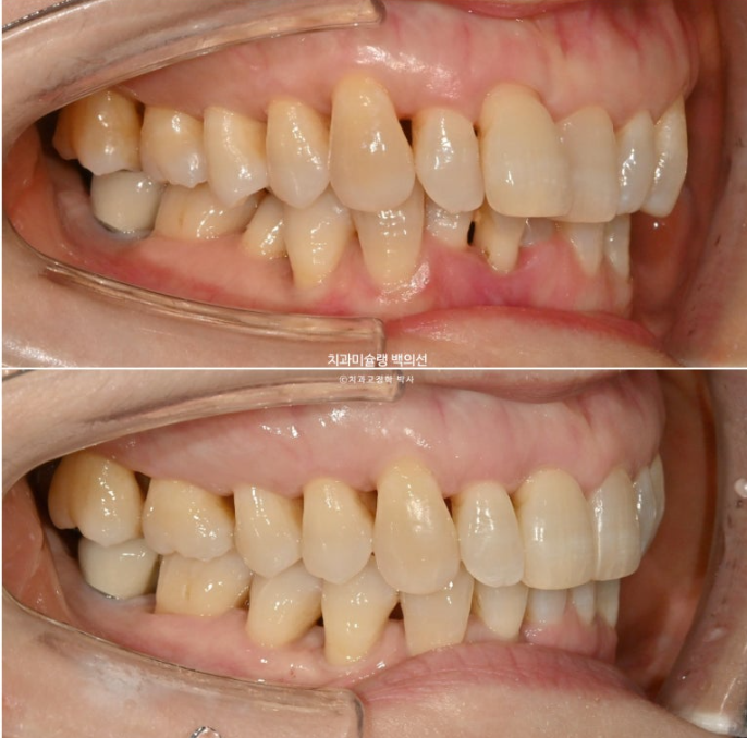
작은어금니도 안으로 쓰러져 있어서 이 부분은 윗니와 엇갈려 물리는 가위교합 입니다.

24.09
아래 앞니를 하나 빼어 그 공간으로 치아를 가지런히 하고 솟아내려온 위 앞니를 원위치 시키는 교정을 하기로 했습니다.
치주적으로 이미 상당히 약해진 상태에서는 거창한 치료계획을 세우지 않습니다.
문제가 되는 부분을 집중적으로 움직이며 다른 치아에는 불필요한 치아이동을 최소화 하여 잇몸부담을 줄입니다.
인비절라인 라이트로 앞니 배열, 솟아내려온 치아의 함입, 과개교합 해결, 가위교합 해결등을 목표로 치료에 들어갔습니다.
통상 발치교정은 인비절라인 라이트로는 불가능하지만 하악전치 1개 발치 교정만은 예외적으로 인비절라인 라이트로 좋은 결과를 얻을 수 있습니다.
치료 전 전악 잇몸치료를 통해 치주염을 다스려 놓고 교정치료를 시작합니다,.
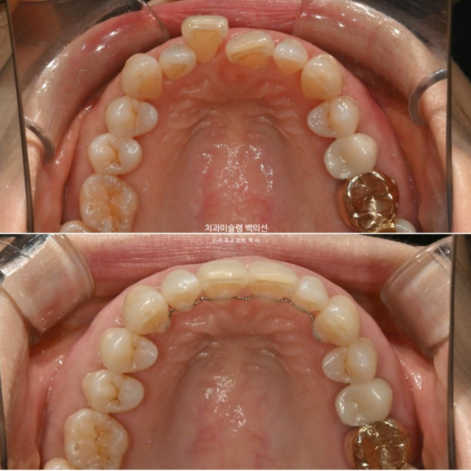
6개월 간 첫번째 세트 14개 장치를 모두 낀 후 모습입니다.
잇몸이 약한 상태에서는 교체주기를 통상의 7일보다 더 길게 가져가며 치료를 합니다.

25.02
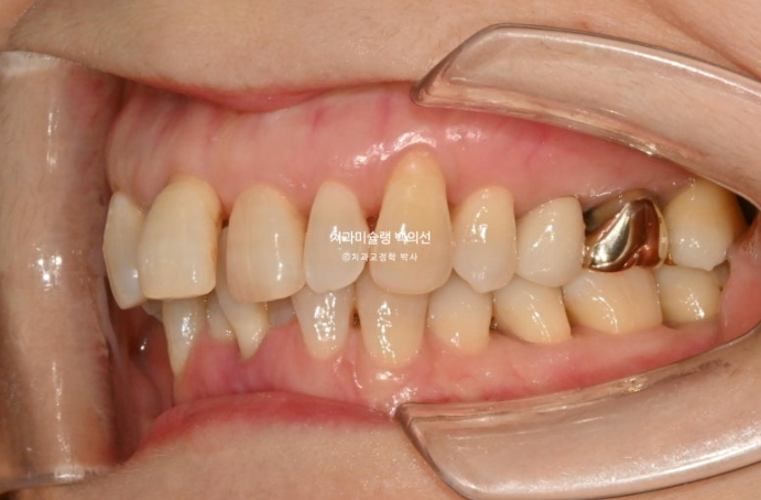
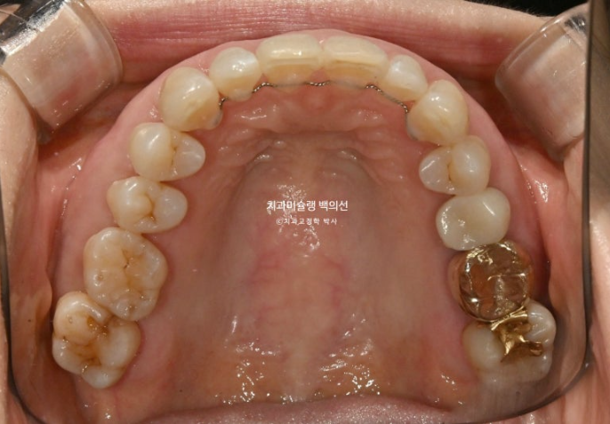
발치공간은 거의 개선이 되었으나 이를 뺐던 자리에는 부득이하게 블랙트라이앵글이 크게 보입니다.

교합은 좋고


배열상 미진한 부분들을 더 개선하고자 재제작에 들어갑니다.
25년 3월부터 9월까지 6개월간 14개 장치를 모두 낀 후 치료를 마무리 했습니다.

25.09
블랙트라이앵글 사이즈는 치간삭제를 통해 소량 줄였습니다.

교합은 완벽하고


배열은 좋습니다.
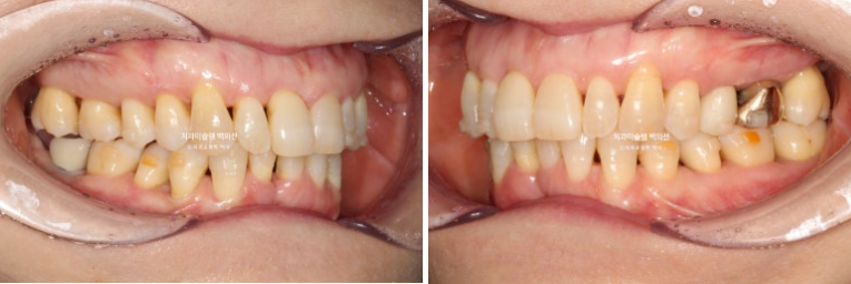
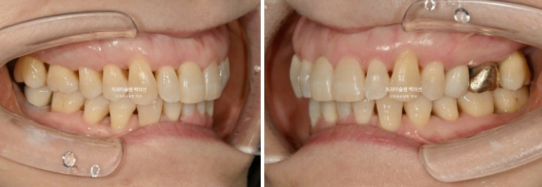
이제 전 후 비교 보겠습니다.
총 치료기간은 통상 인비절라인 라이트 치료기간보다 긴 1년이고 재제작은 1회 했습니다.

24.09~25.09
앞니가 깊게 물리는 과개교합이 개선되었습니다.
특히 뿌리가 보일 정도로 솟아내려와있던 파란 화살표 앞니가 건강하게 제 위치로 함입이 되고 노출된 뿌리 부분이 다시 잇몸속으로 안정적으로 들어갔습니다.

24.09~25.09

24.09~25.09

24.09~25.09
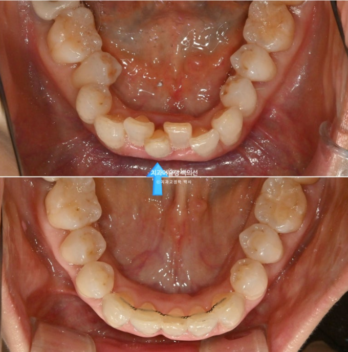
배열은 아주 깔끔합니다.

24.09~25.09
파란 화살표 치아가 치주염이 심해 발치한 치아입니다.
이제 안모 비교해보겠습니다.

24.09~25.09

24.09~25.09

24.09~25.09
약해진 잇몸으로 인해 솟아나온 앞니 때문에 편하게 안 다물리던 입술이 비로소 편하게 다물리는 것 역시 기능적으로 큰 개선입니다.

24.09~25.09
1년간의 교정치료 기간 동안 잇몸뼈는 잘 유지가 되었고 치근평행도는 양호합니다.
개인적으로 안 보이는 부분까지 완벽을 기하기 위해서 치근평행도에 집착하는 편입니다만 아래 앞니 뿌리가 완벽히 평행하지 못한 부분이 조금 아쉽습니다.
파란화살표가 발치한 치아 자리이고 이미 심한 치주염으로 골손실이 심해 인접치아 뿌리가 해당 부위로 충분히 이동해주지 못하기 때문입니다.
뼈가 튼튼해야 그쪽으로 치아이동이 잘 됩니다. 반대로 뼈가 없는 부위로 치아가 이동하진 못합니다.
잇몸병으로 고생 중인 환자분들에게 이 포스팅이 도움이 되기를 바랍니다.
잇몸상태를 고려하여 세심한 치료계획을 세운다면 잇몸 건강한 젊은 성인 못지 않은 좋은 결과를 얻을 수 있습니다.

