안녕하세요.
압구정 교정치과 입니다.
오늘은 6개월 이내로 끝나는 간단한 앞니 부분교정 이야기를 해보겠습니다.

25.04~25.10
중심선 교합관계 등등 모든 것을 하나도 빠짐없이 100점을 만다는 교정이 있는가 하면 환자분이 고치고 싶어하는 부분 위주로 기간과 비용을 적게 가져가는 교정이 있습니다.
결혼, 취업, 이민 등으로 인한 기간의 제약때문일 수 있고
잇몸상태 등등을 고려하여 꼭 필요한 부분만 선택적으로 움직이는 교정이 될 수도 있습니다.
오늘 이야기는 후자의 이야기 즉 앞니 부분교정 이야기 입니다.
오직 치아배열을 위해 찾아온 환자분입니다.

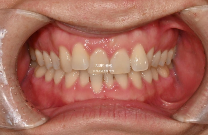
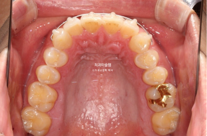
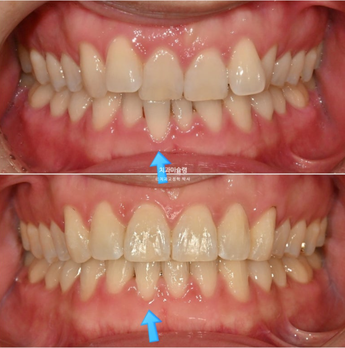
25.04
중심선이 맞지 않고 잇몸라인이 들쑥날쑥 합니다.

잇몸라인이 들쑥날쑥한 이유는 덧니 때문입니다.
어금니 교합관계는 좌우가 다른 상태라 위아래 중심선이 맞지 않습니다.

이렇게 측절치만 튀어나가있고 중절치는 옥니처럼 안으로 들어간 상태를 2급 2류 부정교합이라고 합니다.

기간과 비용을 고려하여 오직 배열만 원했기에 앞니 부분교정 권유드렸습니다.
MTA 장치와 설측 2D 장치중 보이는 것 상관없다 하여 MTA 추천드렸습니다.

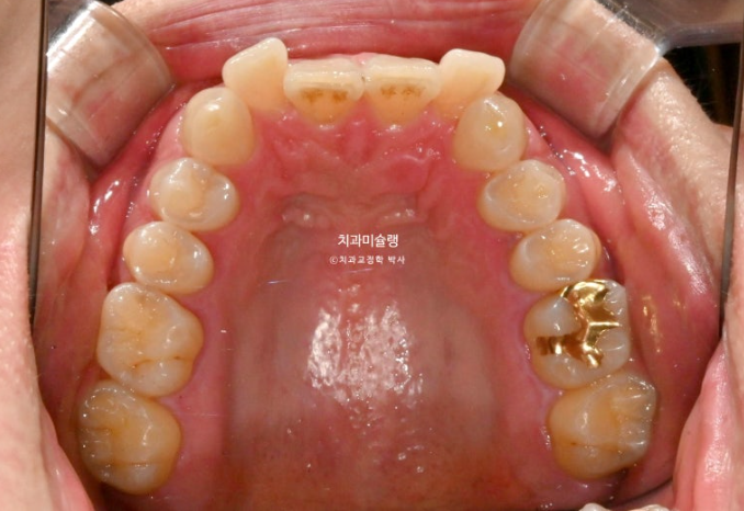
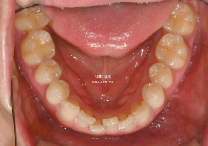
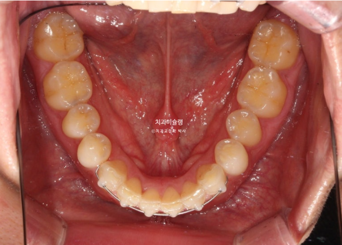
25.08
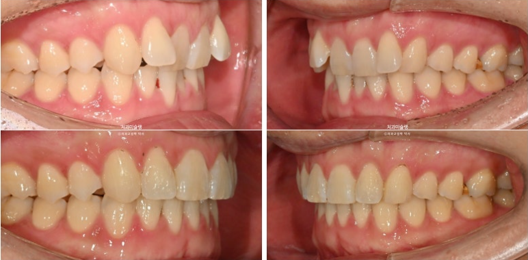
치료시작 4개월차 모습입니다.

윗니배열은 완벽하며

아랫니 배열이 조금 부족합니다.
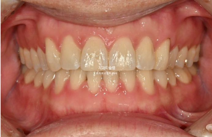
약 2개월간 교정을 더 진행하여 10월, 드디어 장치를 뗍니다.

앞니 높낮이가 맞아지면 들쑥날쑥 했던 잇몸라인은 자연스럽게 맞아집니다.

앞니만 교정하는 부분교정이기에 어금니 교합은 그대로 유지됩니다.
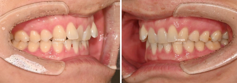
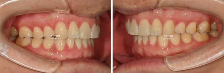
이제 전후 비교 보겠습니다.
총 치료기간은 6개월 입니다.

25.04~25.10
중심선 불일치는 부분교정의 한계점으로 그대로 덧니를 포함한 배열만은 완벽합니다.
특히 아래 앞니 중 튀어나와있던 파란 화살표 앞니는 배열 과정에서 잇몸라인도 자연스럽게 주변과 맞아집니다.

25.04~25.10

환자분이 투자한 기간과 비용 대비 아주 만족스러운 결과입니다.
이제 안모 비교 보겠습니다.

25.04~25.10
덧니 앞니 부분교정 급속교정 후 깔끔한 치열과

25.04~25.10
덧니 앞니 부분교정 급속교정 후 깔끔한 인상

25.04~25.10
처음에 비하여 치아가 뻗쳐나오지 않도록 치간삭제를 소량 동반하여 입매는 그대로 유지가 되었습니다.

25.10
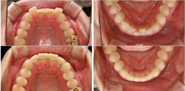
단기간에 필요한 최소한의 치아이동만 했으므로 치근흡수는 없었습니다.
덧니 앞니 부분교정 급속교정 소개 해드렸는데 도움이 되셨나요?
결혼이나 취업을 앞두고 시간과 비용의 제약으로 간단한 교정을 원하시는 분들에게
이 포스팅이 도움이 되셨기를 바랍니다.

