안녕하세요
압구정 교정치과입니다.
오늘은 인비절라인 라이트 이야기를 하겠습니다.

24.11~25.10
어금니가 엇갈려 교합이 안되는 상태를 가위교합 이라고 합니다.
오늘은 중심선 불일치, 가위교합, 벌어짐, 과개교합 네가지 문제를 인비절라인 라이트로 어떻게 치료하는 지 보여드리겠습니다.
1년 전 본원에 교정치료를 위해 내원한 환자분입니다.
이미 인비절라인 교정 중인 다른 환자분의 소개로 오셨는데 소개자보다 먼저 치료가 마무리가 되셨어요.

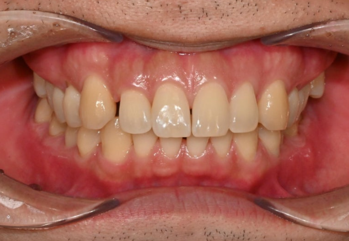
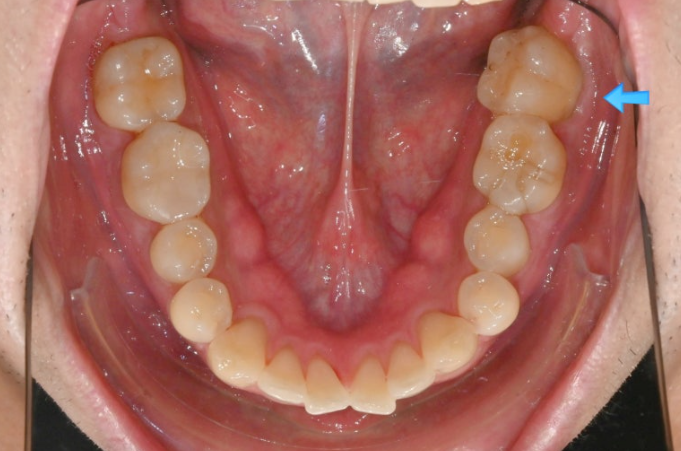
24.11
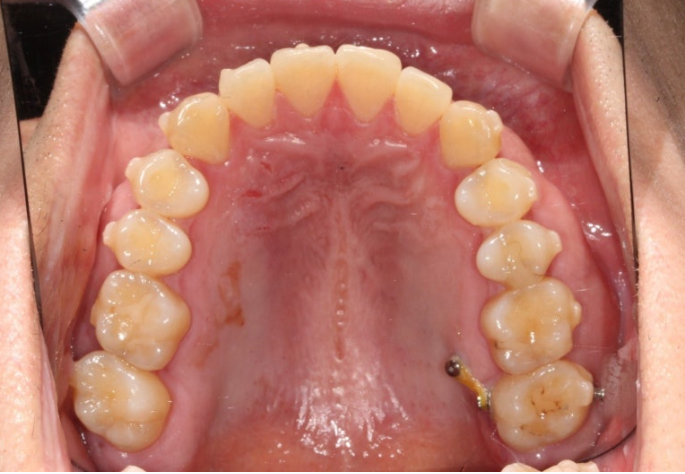
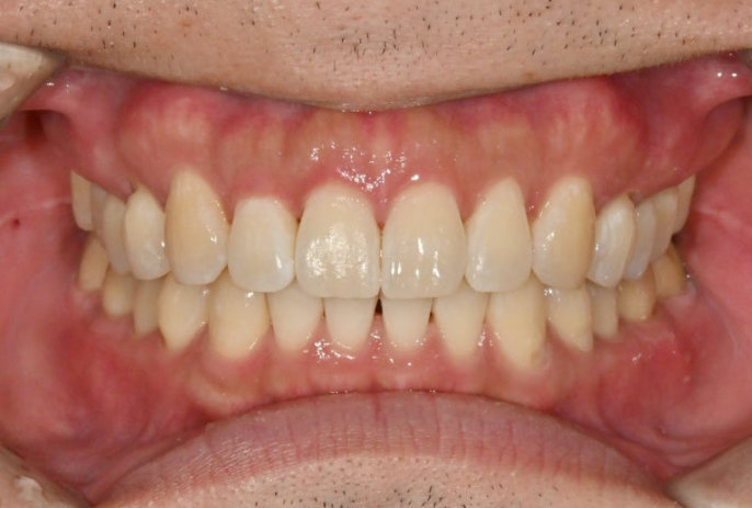
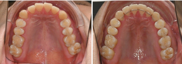
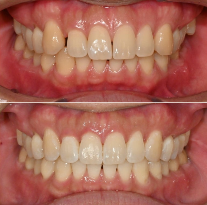
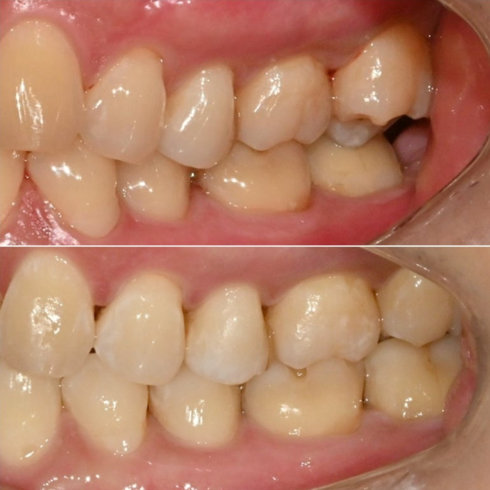
앞에서 보면 윗니가 아랫니를 많이 덮어서 앞니가 깊게 물리는 과개교합, 중심선 불일치,벌어진 앞니 등이 보입니다.


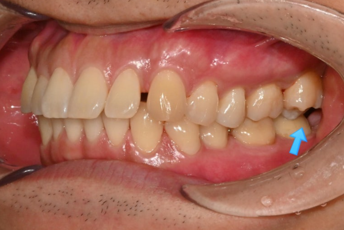
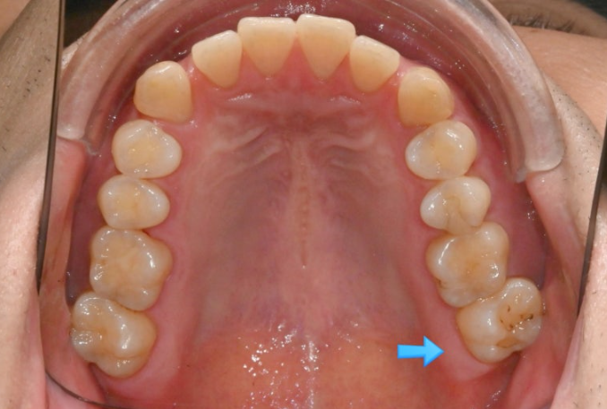
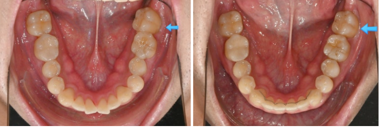
파란 화살표와 같이 물리는 상태를 가위교합이라고 합니다.
맨 뒤 큰 어금니에 흔하게 보이는 부정교합입니다.

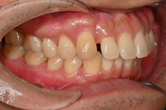
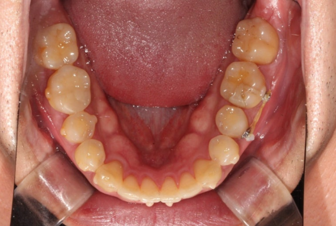
위 어금니는 배열에서 바깥으로 나가있고

아래 어금니는 안으로 쓰러져 있습니다.
경미한 총생과 중심선 불일치, 가위교합, 벌어짐, 과개교합 문제가 있는 상황입니다.
인비절라인 라이트로 충분해서 인비절라인 라이트 권유드렸습니다.
24년 12월부터 25년 4월까지 라이트 프로그램에서 허용하는 장치 14개 모두 낀 후 모습입니다.

25.04
중심선은 처음에 비해 많이 맞아졌고 여전히 약간의 불일치가 남아있습니다.


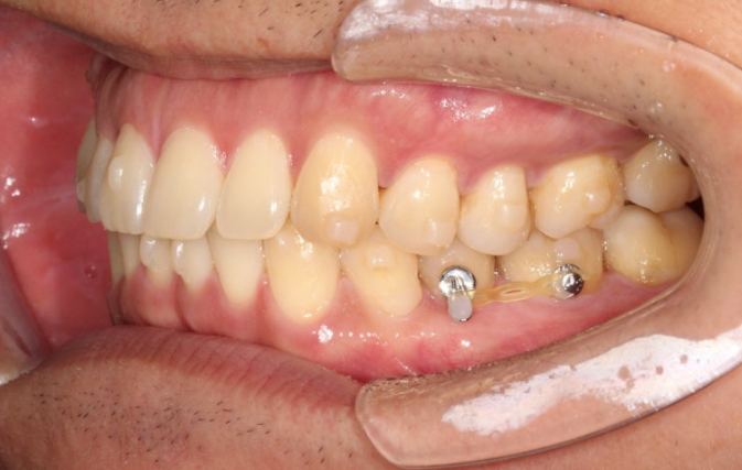
아래 작은어금니의 완벽한 회전을 위해서 고무를 걸 부가장치를 붙인채 치료를 진행했습니다.

가위교합의 빠른 해결을 위한 입천장의 교정용 나사도 썼습니다.

안으로 쓰러져 있던 큰어금니도 잘 세워졌고 가위교합도 해소가 되었습니다.
또 고무줄의 힘으로 아래 작은어금니 회정는 1차세트에서 대부분 개선이 됩니다.
중심선 일치, 미세공간 등 추가개선을 위해 추가장치 제작에 들어갑니다.
25년 5월부터 10월까지 추가장치를 모두 낀 후 치료를 마무리

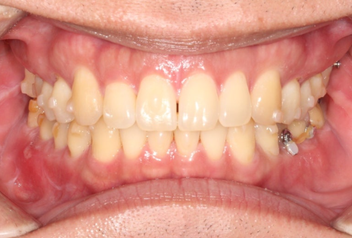
25.10
정확히 일치하는 중심선이 눈에 띕니다.
과개교합은 개선되어 이제 아래 앞니가 절반 이상 보입니다.

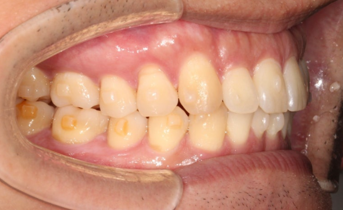
25.10
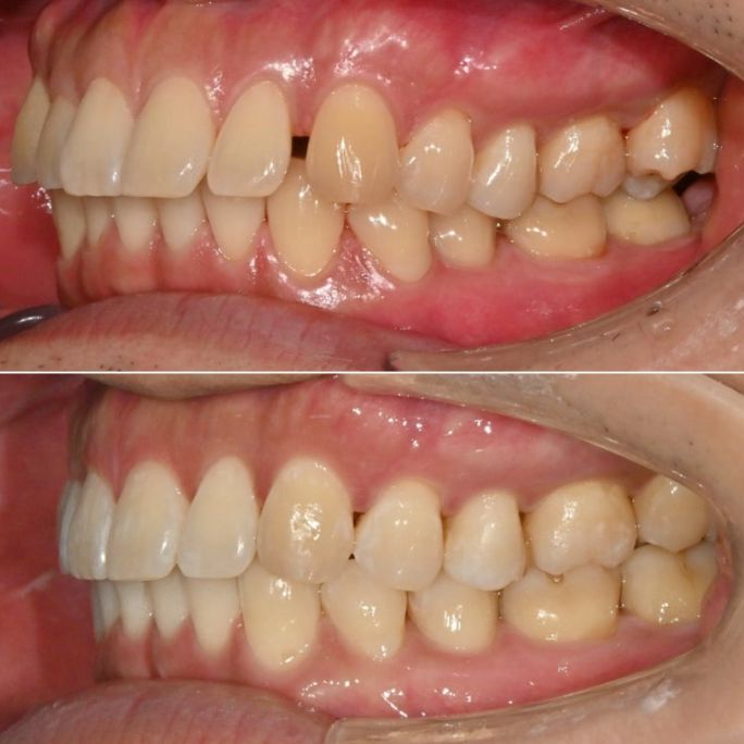
어금니 교합은 물샐틈 없는 1급 교합관계를 보입니다.
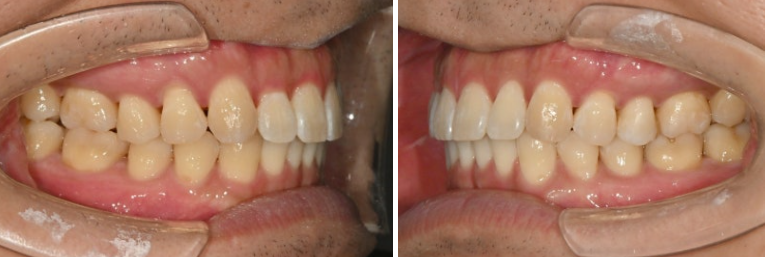
이제 전후 볼까요
총 치료기간은 11개월에 재제작 1회 입니다.

24.11~25.10
앞니 사이 벌어진 공간은 없어졌고 다시 벌어지지 않도록 고정식 철사 유지장치로 단단히 고정되었습니다

쓰러진 큰어금니가 잘 섰습니다.

24.11~25.10

24.11~25.10

24.11~25.10
가위교합의 개선으로 서로 엇갈려 물리지 못하던 큰어금니가 이제 잘 교합이 됩니다.
이제 안모 비교 보겠습니다.

24.11~25.10
코와 인중과 어긋나 있던 중심선이 얼굴과 맞아지면서 대칭성이 돋보입니다.

24.11~25.10
벌어져 있던 앞니공간을 이용하여 돌출감도 어느정도 개선이 되었고

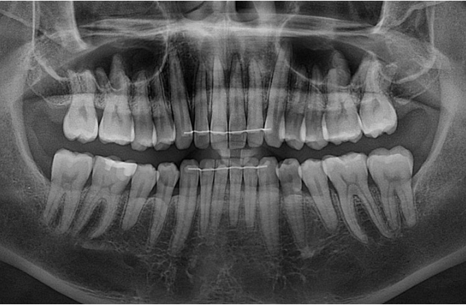
치근흡수 없이 치근평행도도 양호합니다.
비록 교정으로 고쳐야할 문제점이 여러가지여도 인비절라인 치료 경험과 노하우가 있다면
길지 않은 기간내에 깔끔하고 좋은 결과가 나올 수 있습니다.

