안녕하세요
압구정 교정치과입니다.
오늘은 비발치 비수술 주걱턱 교정에 대해 이야기 해보겠습니다.

23.09~25.07
23년 9월 재교정을 결심하신 분 입니다.

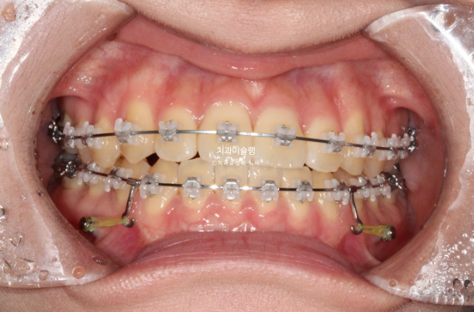
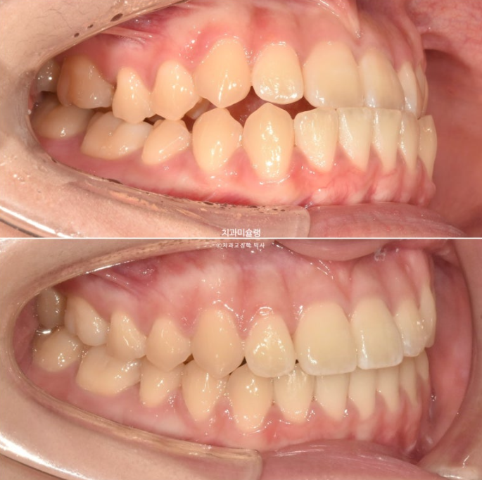
23.09
어릴때 교정을 했었고 아래턱이 자라 앞니가 거꾸로 물리게 되었습니다.

측방치군, 즉 송곳니와 작은어금니에 개방교합이 보입니다.

아래 앞니가 위 앞니보다 앞에 물려 거꾸로 물림, 반대교합이 보입니다.
아래 매복 사랑니가 있어서 사랑니를 발치하고 사랑니 공간으로 아래 전체치열을 뒤로 미는 교정이 필요합니다.

기존에 붙어있던 유지장치 제거 후 클리피씨 교정을 하기로 합니다.
비수술 비발치 주걱턱 교정에서는 아랫치열이 윗치열보다 시간이 많이 걸리므로
아래치열 먼저 장치 부착 후 교정을 시작하여 진행하다가 최소 6개월 이후 윗 치열에 장치를 붙입니다.
굳이 이렇게 하는 이유는 환자분이 장치 붙이고 있는 시간을 최소화 하여 불편감을 줄이기 위함입니다.
윗니에 장치가 붙어있지 않으면 남들은 교정하는 줄 모르죠.

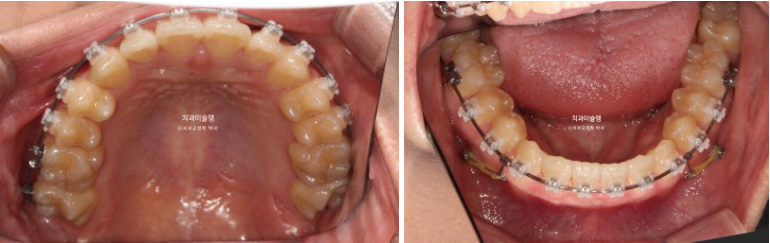
24.07
치료시작 1년째 모습입니다.
아래는 23년 9월에 클리피씨 장치를 부착하고 윗니는 24년 4월에 처음 장치를 붙였습니다.
치료 시작 8개월 차에 위 치열 교정을 뒤늦게 시작한 셈입니다.

아래는 교정용 나사를 심어 사랑니 공간으로 전체치열을 후방이동 시키는 중입니다.

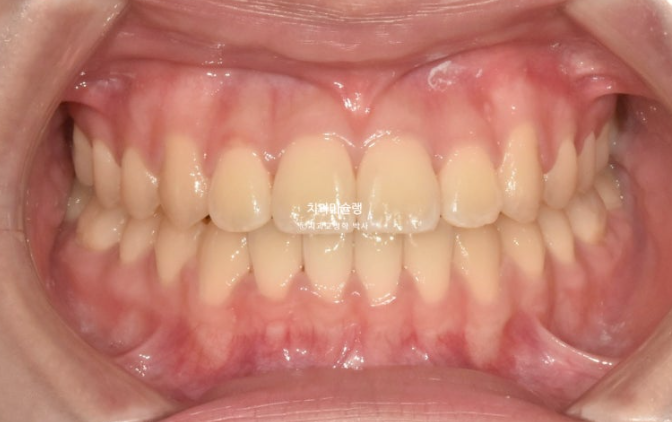
그렇게 치료를 이어가 25년 7월 드디어 치료 마무리가 되었습니다.

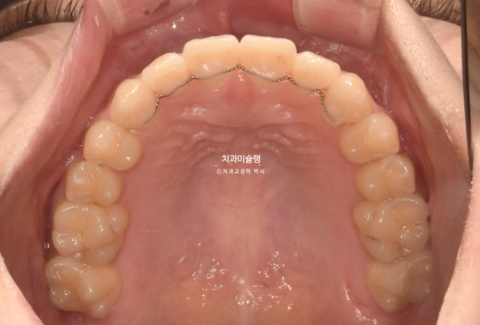
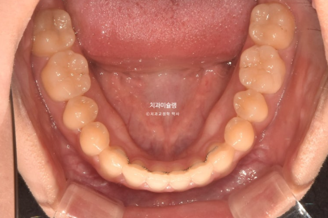
25.07
중심선은 정확히 맞고

양측 어금니는 1급 교합 관계를 보입니다.


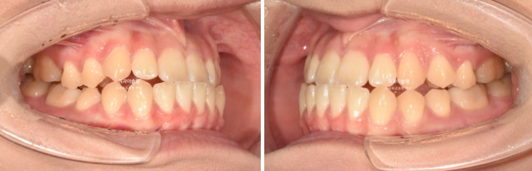
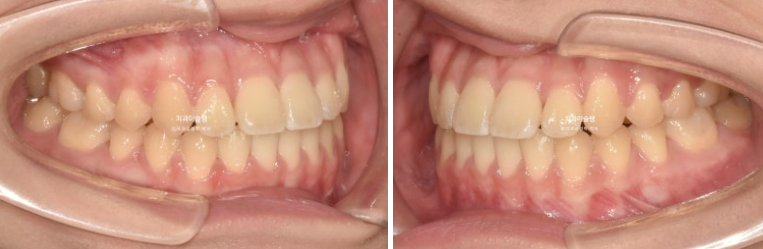
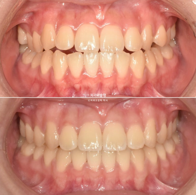
이제 전 후 비교 보겠습니다.
총 치료기간은 1년 10개월 입니다.

23.09~25.07
개방교합은 해소가 되었습니다.

23.09~25.07
교합은 1급 교합관계를 보입니다.

23.09~25.07
아랫니가 뒤로 들어가면서 앞니가 거꾸로 물리는 상태 즉 반대교합은 해소되었습니다.

23.09~25.07

23.09~25.07
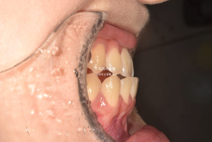
활짝 웃는 미소가 더 보기 좋습니다.

23.09~25.07

23.09~25.07
윗입술은 유지되었으며 아랫입술이 뒤로 들어가 입술 밸런스가 좋아졌습니다.
교정으로 아래턱이 뒤로 들어갈 수는 없으나 아랫입술을 적정선 뒤로 넣어주면 주걱턱이 완화되어 보이게 됩니다.
그러나 만약 발치까지 동반하여 앞니를 뒤로 너무 많이 넣으면 턱끝이 처음보다 도드라져 보여 주걱턱이 부각될 수 있어 주의가 필요합니다.

23.09~25.7
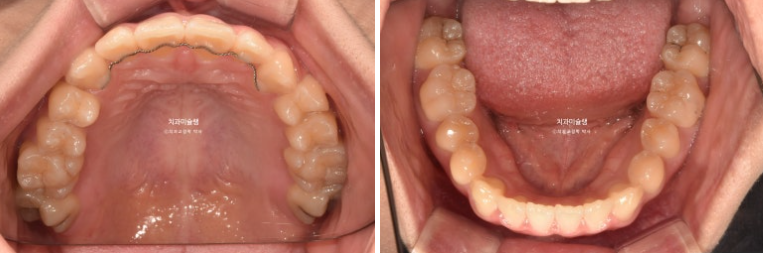
위 앞니에 초진시 이전 교정에 의한 치근흡수가 꽤 있는 상태였는데
이번 1년 10개월의 재교정 치료 기간동안 더 심해지지는 않았습니다.
치근 평행도는 좋습니다.
아래앞니와 아랫입술의 후방이동으로 인하여 좋아진 입술 밸런스 덕분에 주걱턱이 완화되어 보이는 효과가 있습니다.
주걱턱으로 교정을 고민 중이신 분들에게 이 포스팅이 도움이 되셨기를 바랍니다.

