안녕하세요
압구정 교정치과입니다.
비발치로 충분히 가능하고 입매의 문제도 없는데도 불구하고 타치과에서 발치교정 진단을 받고 온 환자분입니다.
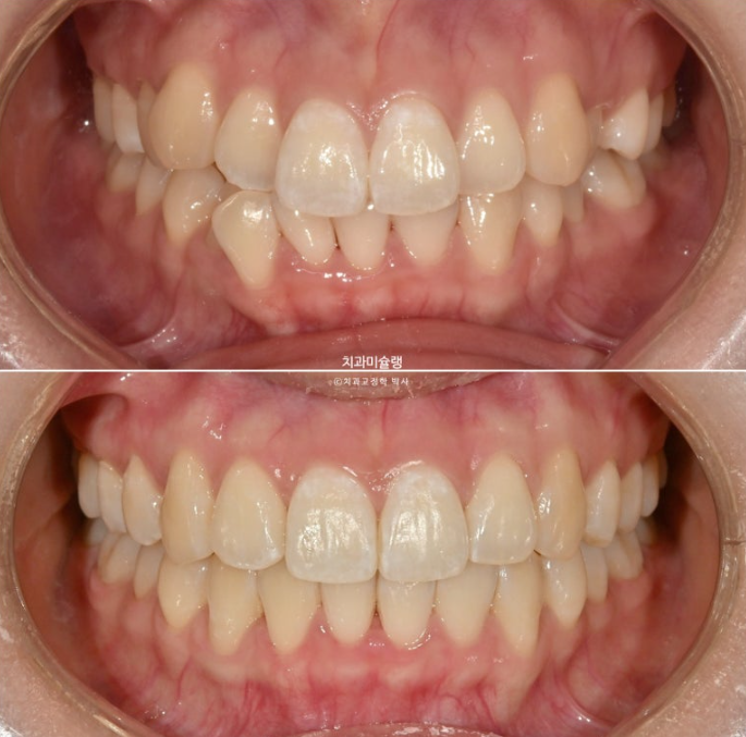
오늘은 비발치 교정 사랑니 공간을 이용하여 덧니와 중심선, 가위교합을 개선한 증례를 보여드리겠습니다.

24.02~25.10
24년 2월 교정을 위해 온 환자분입니다.
고치고 싶은 것은
배열
토끼이
원하는 것은 현재 입매 유지

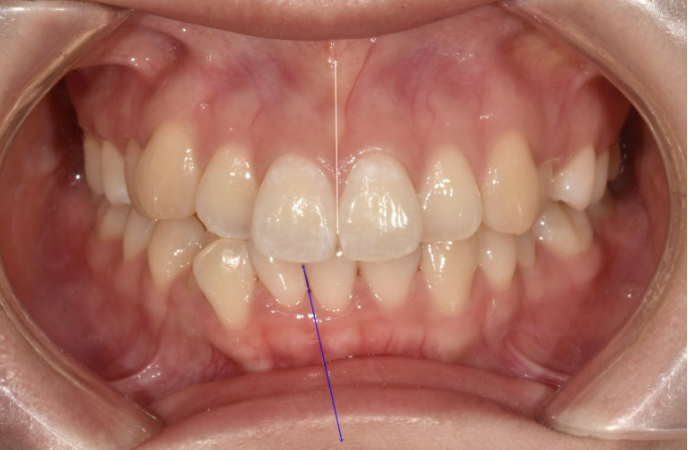
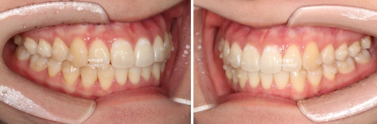
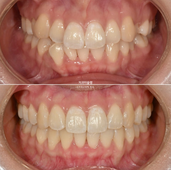
중심선이 약 3mm 어긋나 있습니다.

덧니가 보이고 파란화살표에 소구치에 가위교합도 있습니다.


환자분은 이미 다른 치과 교정 상담에서 "발치를 하지 않으면 처음보다 입이 나올 것이니 발치를 해야한다."는 설명을 듣고오셨습니다.
발치가 필요할 정도의 덧니나 돌출입은 아니여서 비발치로 매복된 사랑니를 빼고 사랑니 공간을 이용하여 어금니를 뒤로 이동 시키는 치료를 권유드렸습니다.
25년 4월까지 첫 세트의 51개 장치를 모두 낀 후 모습입니다,

25.04
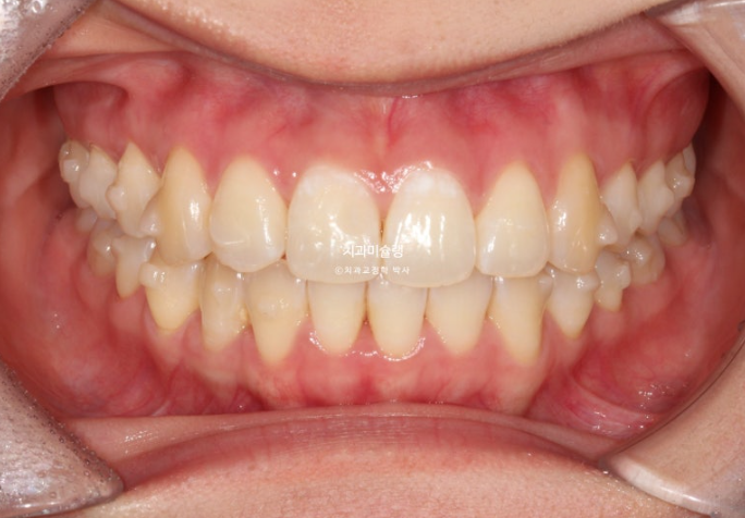
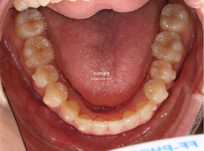
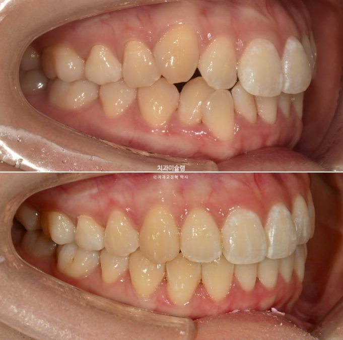
중심선 불일치가 여전히 남아있으나 앞니 배열은 좋습니다.

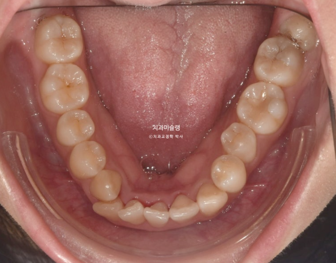
어금니 교합도 좋습니다.

사랑니 공간을 이용하여 어금니를 뒤로 밀기 위한 교정용 나사를 입천장에 심고 진행했습니다.

중심선과 앞니 배열을 좀 더 개선하고자 추가장치 제작에 들어갑니다.
25년 5월~10월까지 11개 추가장치를 모두 낀 후 모습입니다.

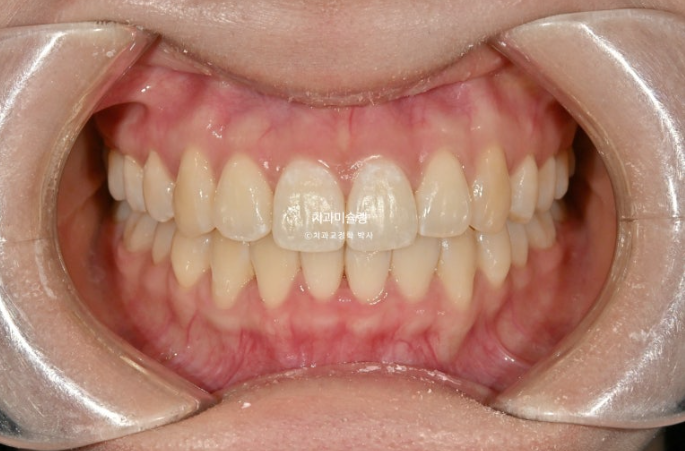
25.10
중심선은 정확히 맞고

어금니 교합은 물샐틈 없는 1급 교합관계 입니다.
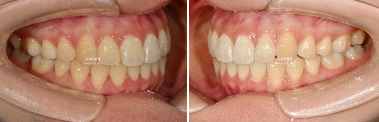
이제 전 후 비교 보겠습니다.
총 치료기간은 1년 8개월 재제작은 1회 했습니다.

24.02~25.10
개선된 덧니와 가위교합

24.02~25.10

24.02~25.10
이제 안모 비교 보겠습니다.

24.02~25.10
토끼이가 개선되면서 스마일라인이 조화롭습니다.

24.02~25.10
앞니각도는 깔끔하고

24.02~25.10
처음에 비하여 입이 나오지 않았습니다.
예쁜 입매도 잘 유지가 되었습니다.

치근흡수도 없고 치근평행도도 좋습니다.
교정 후 부작용 치아교정부작용 입매가 변할까봐 안 예뻐질까봐 고민하는 분들에게 이 포스팅이 도움이 되길 바랍니다.

