안녕하세요
압구정 연세바로치과입니다.
연세바로치과 네트워크는 인비절라인 케이스 수 기준 최고 등급인 레드다이아몬드 등급입니다.
다 같은 인비절라인이 아닌 교정 결과로 보여드리겠습니다.
오늘은 인비절라인 라이트 이야기 해드리겠습니다.
6~9달 안에 치료가 가능한 부정교합은 인비절라인 라이트 교정이 가능합니다.
그 이상의 부정교합은 인비절라인 컴프레헨시브로 해야합니다.
그런데 환자분의 상태가 1년 이하의 인비절라인 라이트로도 충분히 가능하냐, 1년 이상 걸리는 인비절라인 컴프레헨시브를 해야하느냐는 원장님이 결정합니다.
이 얘기는 원장님 능력으로 6-9개월 안에 해결할 수 있냐 아니냐에 따라 나뉜다는 이야기입니다.
원장님이 인비절라인 경험이 많고 실력이 좋으면 난이도가 낮게 느껴질테고 교정기간도 짧아집니다.

이미 여러군데 인비절라인 교정 상담을 받고 온 분들이
다른치과에서는 인비절라인 라이트로는 안된다고 했다더라 인비절라인 컴프레헨시브로 1년 이상 해야한다 라고 들었다고 하지만 실제로 보면 인비절라인 라이트로 충분한 경우가 꽤 많습니다.
오늘은 인비절라인으로 반대교합과 과개교합을 어떻게 완벽하게 해결하는 지 소개하겠습니다

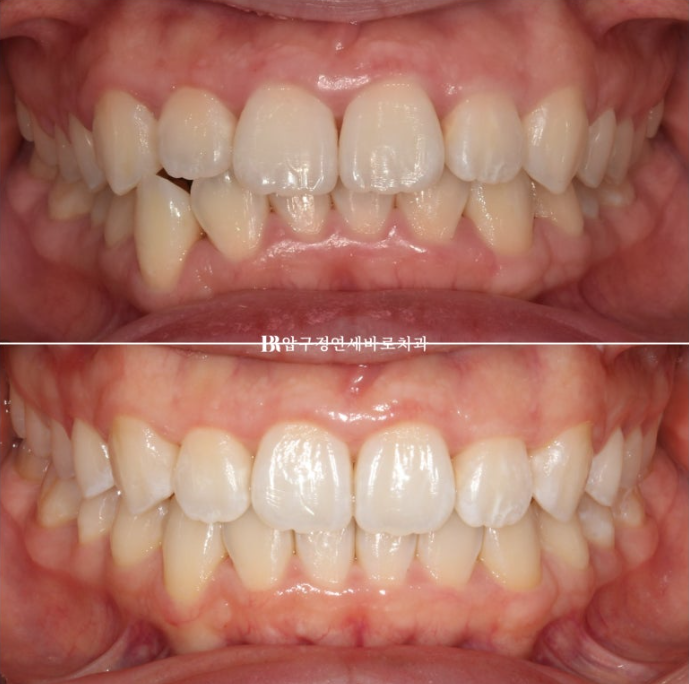
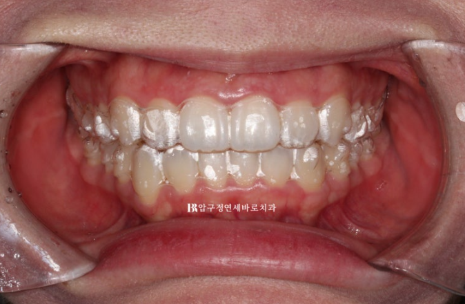
23.07
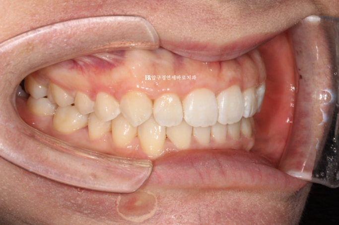
교정을 위해 내원한 환자분
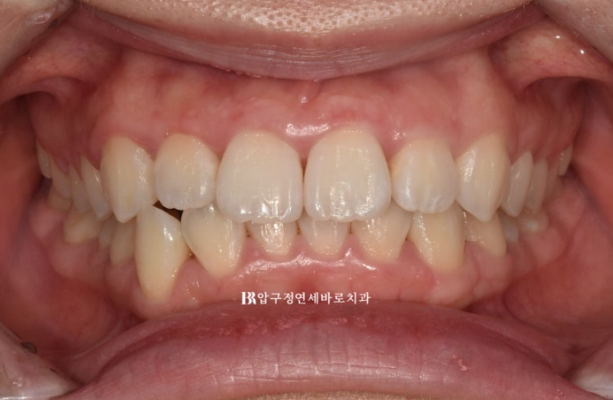
윗니가 아랫니를 많이 덮어서 앞니가 깊게 물리는 과개교합이 보이고 위 아래 치아 중심선이 맞지 않습니다.

23.07
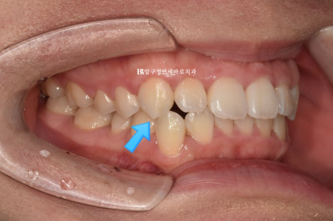
파란 화살표는 송곳니끼리 거꾸로 물리는 반대교합도 보입니다.

앞니가 삐뚤하고 아래 악궁 모양이 둥글지 않고 네모진 형태입니다.
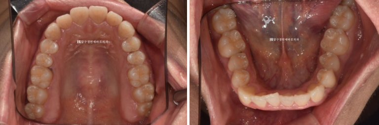
어금니 교합은 좋았기에 인비절라인 라이트로 교정치료 권유드렸습니다.
장치 제작 한달 반 기다린 후 23년 8월 치료 시작했습니다.

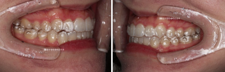
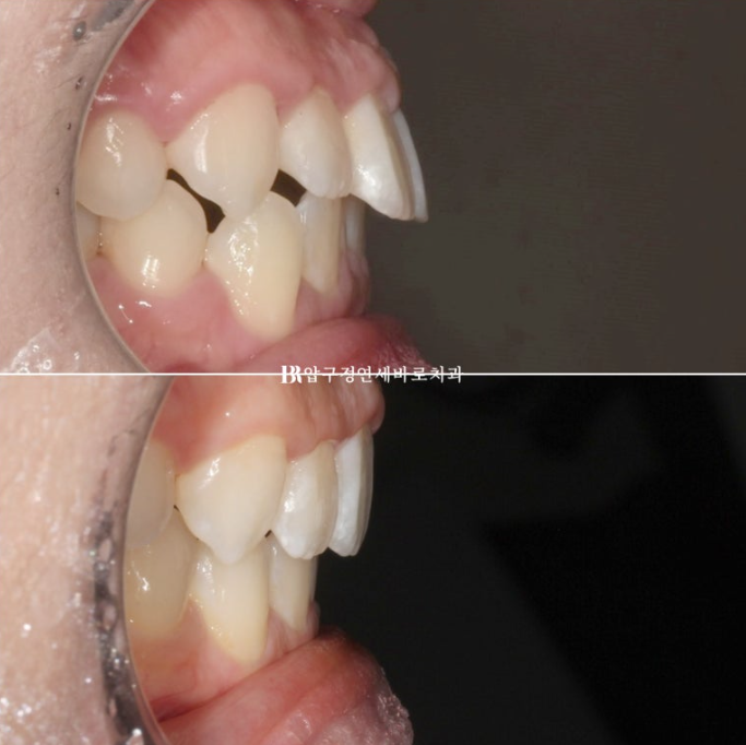
23.11

23.11
4달간 인비절라인라이트에서 가능한 14개의 장치를 모두 낀 후 모습입니다.
7일에 하나씩 교체할 경우 14개의 장치를 다 끼면 약 4달의 시간이 흐릅니다.

배열이 잡혀 가지런해졌으나

23.11
송곳니 반대교합이 아직 남아있고 중심선이 개선이 되긴 했으나 완벽하게 맞지 않습니다.

인비절라인 시뮬레이션
클린체크 시뮬레이션상 최종 교합입니다.
계획대로라면 이 시뮬레이션처럼 앞니 중심선이 맞아지고 반대교합이 고쳐져야 하는데 말이죠.
왜 이런 차이가 생기는 지 궁금하시죠?
환자분이 장치를 열심히 안 꼈을 수도 있고, 열심히 꼈더라도 치아나 잇몸뼈는 컴퓨터가 아닌 살아있는 조직이여서 치아가 시뮬레이션 대로 100% 이동하지 않을 수 있습니다.
이런 변수를 대비해서 인비절라인 라이트에서는 1회의 추가제작 기회가 있습니다.
추가제작에 들어가기로 하고 장치제작에 소요되는 한달간 쉬는 시간을 가집니다.

23.11
추가장치 낀 모습입니다.
중심선과 반대교합의 완벽한 개선을 위해 추가장치에서는 고무줄 처방이 들어갔습니다.
파란 화살표는 고무줄을 거는 고리이고 앞니는 보이는 부위라서 투명한 고리에 치아를 붙였습니다.

23.11
위에는 입천장 보이지 않는 부위라 튼튼한 메탈 고리를 붙이고 고무줄을 걸기 시작합니다.

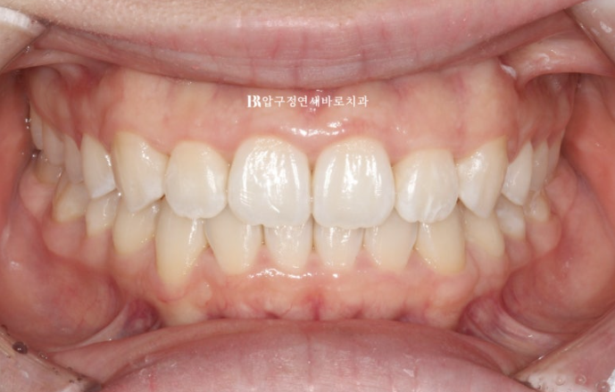
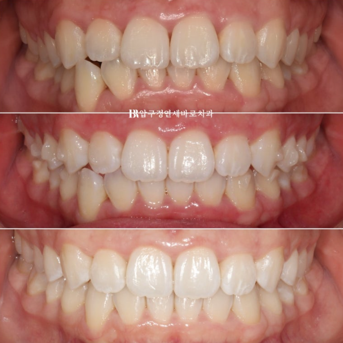
24.04
추가장치 14개를 4개월에 걸쳐 다 낀 후 모습입니다.
중심선이 맞아지고

24.04
송곳니 반대교합이 완벽하게 개선되었습니다.

돌출되어 뻗쳐있던 앞니 각도가 개선이 되면서 돌출감이 개선되었습니다.

23.07-24.04
순서대로 23.07 초진 - 23.11 1차세트 후 재제작 - 24.04 치료 종료
총 치료기간은 중간에 장치 주문 후 기다리는 시간을 제외하면 실제 8개월 입니다.
치간삭제로 윗니 가운데 블랙트라이앵글도 없어졌습니다.
환자분이 가장 편하게 교정하면서 좋은 결과를 얻을 수 있도록 최선을 다해 진료하겠습니다.

